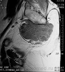
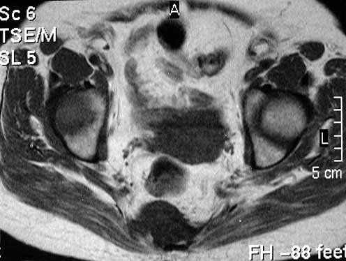
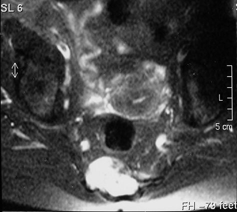
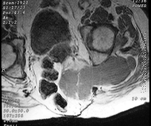
Сакральная хордома. Д-р Марсело Сенна Ксавье де Лима, Paul Roland Kaleff, и Антонио Рожерио del'Arco Roth Аугусто Варгас. Рецидив. Часть крестца была удалена ранее. Пнд, 27/11/2017 - 21:03 #1 Катенёв Валенти... Не на сайте Был на сайте: 7 лет 4 месяцев назад Зарегистрирован: 22.03.2008 - 22:15 Публикации: 54876 Внутричерепная хордома. http://pubs.rsna.org/doi/full/10.1148/rg.234025176 Пнд, 09/07/2018 - 20:44 #2 Катенёв Валенти... Не на сайте Был на сайте: 7 лет 4 месяцев назад Зарегистрирован: 22.03.2008 - 22:15 Публикации: 54876 Продолжение. Приложения:
Внутричерепная хордома.
http://pubs.rsna.org/doi/full/10.1148/rg.234025176
Продолжение.