Онкология. Остеома. +

Остеома.

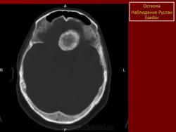
Остеома - это опухолеподобный узел очень плотной кости, при микроскопическом исследовании обнаруживающей все признаки нормальной костной ткани. Излюбленная локализация - кости черепа (у мужчин в 2 раза чаще, чем у женщин) и лицевые кости (в 3 раза чаще у женщин). Некоторые остеомы прорастают в полость черепа и могут сдавливать нервные стволы. Наличие остеомы в одном из параназальных синусов обычно сопровождается симптомами обструкции дыхательных путей. При наличии множественной остеомы или вовлечении в процесс длинных трубчатых костей речь идет большей частью о синдроме Гарднера. Обычно отмечаются опухолеподобные разрастания костной ткани по наружной поверхности той или иной трубчатой кости (так называемая паростальная остеома), которые при рентгенологическом исследовании могут иметь вид неравномерных волнистых утолщений кортикального слоя. Под микроскопом выделяют два типа остеомы. Первый тип, встречающийся наиболее часто, состоит из очень плотной компактной кости, другой - представляет собой пластинчатую кость, в ячейках которой располагается фиброзно-жировая ткань или же кроветворный костный мозг, его называют губчатой, трабекулярной или смешанной остеомой. При дифференциальной диагностике, помимо реактивного разрастания костной ткани, остеому следует отличать от оссифицированной фиброзной дисплазии и солидной одонтомы. В длинных трубчатых костях остеому необходимо дифференцировать от организованной периостальной мозоли и остеохондромы с эбурнеацией хрящевых капсул. Остеому трудно отличить от реактивных разрастаний костной ткани после инфекционного поражения, травмы, а также старых остеохондром с атрофированными хрящевыми краями.

Катенёв Валентин Львович аватар
Не на сайте
Был на сайте: 7 лет 4 месяцев назад
Зарегистрирован: 22.03.2008 - 22:15
Публикации: 54876

Продолжение.

 

Приложения: 
1.osteoma.slayd117.jpg
Катенёв Валентин Львович аватар
Не на сайте
Был на сайте: 7 лет 4 месяцев назад
Зарегистрирован: 22.03.2008 - 22:15
Публикации: 54876

Остеома.

Приложения: 
1.os_.slayd343.jpg2.os_.slayd344.jpg3.os_.slayd345.jpg
Катенёв Валентин Львович аватар
Не на сайте
Был на сайте: 7 лет 4 месяцев назад
Зарегистрирован: 22.03.2008 - 22:15
Публикации: 54876

Остеома.

Приложения: 
1.o.slayd278.jpg2.o.slayd279.jpg
Катенёв Валентин Львович аватар
Не на сайте
Был на сайте: 7 лет 4 месяцев назад
Зарегистрирован: 22.03.2008 - 22:15
Публикации: 54876

Остеома.

Приложения: 
1.os_.slayd100.jpg2.os_.slayd101.jpg
Катенёв Валентин Львович аватар
Не на сайте
Был на сайте: 7 лет 4 месяцев назад
Зарегистрирован: 22.03.2008 - 22:15
Публикации: 54876
Катенёв Валентин Львович аватар
Не на сайте
Был на сайте: 7 лет 4 месяцев назад
Зарегистрирован: 22.03.2008 - 22:15
Публикации: 54876

Из литературных источников

Приложения: 
77ggslayd120.jpg77ggslayd121.jpg77ggslayd122.jpg77ggslayd123.jpg77ggslayd124.jpg
Катенёв Валентин Львович аватар
Не на сайте
Был на сайте: 7 лет 4 месяцев назад
Зарегистрирован: 22.03.2008 - 22:15
Публикации: 54876

Паростеальная остеома (из литературных источников)

 

Приложения: 
1cccslayd83.jpg
Катенёв Валентин Львович аватар
Не на сайте
Был на сайте: 7 лет 4 месяцев назад
Зарегистрирован: 22.03.2008 - 22:15
Публикации: 54876

Остеома лобной области.

 

Приложения: 
1yoyo.slayd30.jpg
Катенёв Валентин Львович аватар
Не на сайте
Был на сайте: 7 лет 4 месяцев назад
Зарегистрирован: 22.03.2008 - 22:15
Публикации: 54876

Остеома передней черепной ямки.

Приложения: 
11yyslayd172.jpg
Катенёв Валентин Львович аватар
Не на сайте
Был на сайте: 7 лет 4 месяцев назад
Зарегистрирован: 22.03.2008 - 22:15
Публикации: 54876

Наблюдение Катенёва В.Л.

Остеома левой гайморовой пазухи.

 

Приложения: 
1.p4080036a.jpg2.p4080037a.jpg4.p4080039a.jpg5.p4080041ab.jpg
Катенёв Валентин Львович аватар
Не на сайте
Был на сайте: 7 лет 4 месяцев назад
Зарегистрирован: 22.03.2008 - 22:15
Публикации: 54876

Продолжение.

 

Приложения: 
0.slayd15.jpg0.zh_.slayd29.jpg0.zh_.slayd30.jpg0.zh_.slayd31.jpg0.zh_.slayd32.jpg0.zh_.slayd33.jpg0.zh_.slayd34.jpg0.zh_.slayd35.jpg0.zh_.slayd36.jpg0.zh_.slayd37.jpg0.zh_.slayd38.jpg0.zh_.slayd39.jpg0.zh_.slayd40.jpg0.zh_.slayd41.jpg
Катенёв Валентин Львович аватар
Не на сайте
Был на сайте: 7 лет 4 месяцев назад
Зарегистрирован: 22.03.2008 - 22:15
Публикации: 54876

Продолжение.

 

Приложения: 
0.zh_.slayd42.jpg0.zh_.slayd43.jpg0.zh_.slayd44.jpg0.zh_.slayd45.jpg0.zh_.slayd46.jpg
Катенёв Валентин Львович аватар
Не на сайте
Был на сайте: 7 лет 4 месяцев назад
Зарегистрирован: 22.03.2008 - 22:15
Публикации: 54876

Продолжение.

 

Приложения: 
000.slide118.jpg