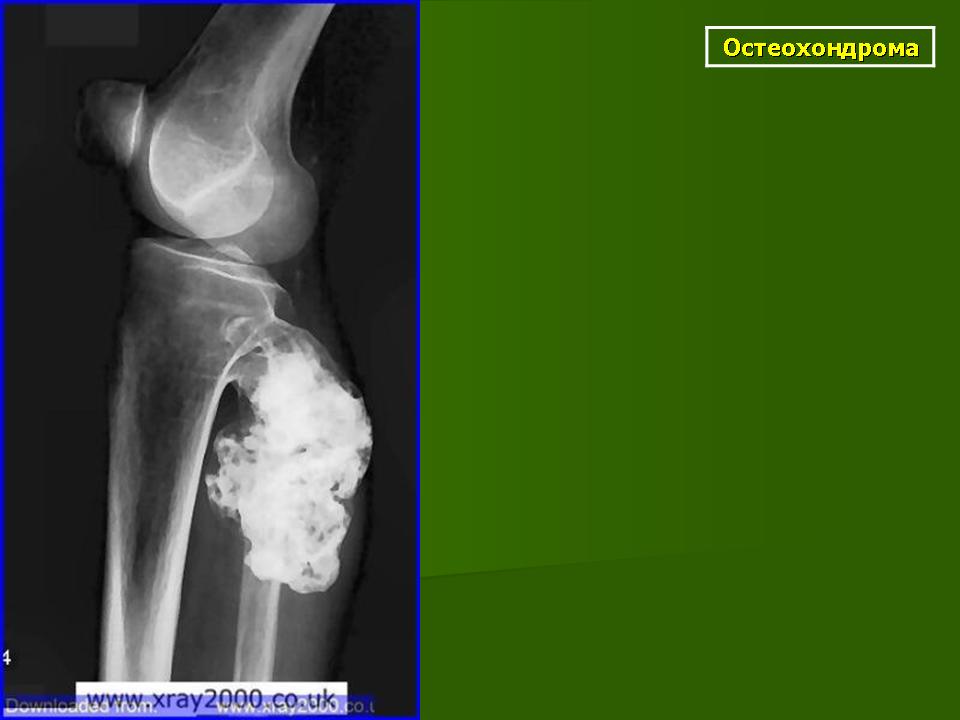
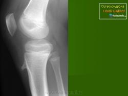
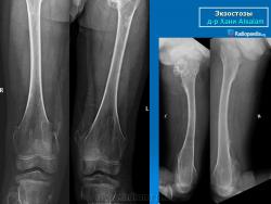
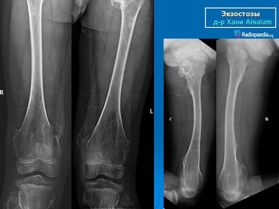
Остеохондрома (син. экзостоз) - это опухолевидное поражение в виде выроста костной ткани, покрытого «шапочкой» из хряща. Аналогичное образование, остеофит, по своему патогенезу не имеет ничего общего с остеохондромой и появляется при остеоартрите вблизи пораженного сустава. Следовательно, термины «остеохондрома» и «остеофит» нельзя использовать как синонимы. Большая часть больных остеохондромой находятся в возрасте до 20 лет. Многие ортопеды считают, что это порок развития, растущий синхронно с эпифизарной пластинкой в течение первых 20 лет жизни. Одним из факторов, вызывающих остеохондрому, является ионизирующая радиация. Показано, что эта опухоль развивается у 12 % больных, получавших в детстве лучевую терапию в дозе 1000-6000 рад. Чувствительными к облучению являются не только эпифизы длинных трубчатых костей, но и зоны роста в костях позвоночника и таза. Период развития пострадиационной остеохондромы, которая бывает множественной, варьирует от 17 мес до 16 лет. Истинная частота находок одиночного новообразования неизвестна, поскольку очень часто при его наличии больные жалоб не предъявляют, и остеохондрома обнаруживается на рентгенограмме лишь как случайная находка. В других случаях пациенты ощущают рост узла и боль. У некоторых из них развивается болезненный спонтанный инфаркт или перелом кости. На боль жалуются и тс больные, у которых над остеохондромой формируются сумки, в просвете которых имеются хрящевые тельца. При увеличении объема такой сумки надлежит проводить дифференциальную диагностику остеохондромы от малигнизированной остеохондромы. К числу осложнений остеохондромы относят тромбоз подколенной вены и развитие ложной аневризмы подколенной артерии.
Локализация остеохондромы: частота поражения отдельных костей различна; нижний коней бедренной кости, верхние отделы плечевой и большеберцовой костей поражаются более чем у половины больных. На всем протяжении остеохондрома покрыта надкостницей. Она может быть обнаружена и в других костях, за исключением костей лицевого черепа. Все же поражение костей позвоночника, кистей рук и стоп встречается редко. При рентгенологическом исследовании видна типичная картина узкого или широкого выроста вблизи эпифизарной части пораженной кости. Обычно плотность узла неоднородная, имеются многочисленные плотные участки, соответствующие обызвествленным хрящевым долькам. Хрящевая «шапочка» большей частью не определяется, поскольку хрящ остается необызвествленным. Она может быть выявлена только при магнитно-резонансной томографии.
Остеохондрома может достигать в диаметре 14 см, не подвергаясь малигнизации (максимальный срок наблюдения - 40 лет). Вероятность малигнизации этого поражения не превышает 1 - 2 % случаев. Обычно рост остеохондромы прекращается по мере завершения роста костей и исчезновения эпифизарной пластинки. В небольшом числе случаев остеохондрома может рецидивировать спустя 1-26 мес после удаления первичного узла. Как правило, это происходит в тех случаях, когда первая операция была недостаточно радикальной и хрящевая шапочка не была удалена целиком.
При дифференциальной диагностике остеохондромы надо иметь в виду лишь одну нозологическую форму - хондросаркому, возникающую из остеохондромы. Дифференциальная диагностика остеохондромы и паростальной остеосаркомы не представляет затруднений.
Остеохондрома (син. экзостоз) - это опухолевидное поражение в виде выроста костной ткани, покрытого «шапочкой» из хряща. Аналогичное образование, остеофит, по своему патогенезу не имеет ничего общего с остеохондромой и появляется при остеоартрите вблизи пораженного сустава. Следовательно, термины «остеохондрома» и «остеофит» нельзя использовать как синонимы. Большая часть больных остеохондромой находятся в возрасте до 20 лет. Многие ортопеды считают, что это порок развития, растущий синхронно с эпифизарной пластинкой в течение первых 20 лет жизни. Одним из факторов, вызывающих остеохондрому, является ионизирующая радиация. Показано, что эта опухоль развивается у 12 % больных, получавших в детстве лучевую терапию в дозе 1000-6000 рад. Чувствительными к облучению являются не только эпифизы длинных трубчатых костей, но и зоны роста в костях позвоночника и таза. Период развития пострадиационной остеохондромы, которая бывает множественной, варьирует от 17 мес до 16 лет. Истинная частота находок одиночного новообразования неизвестна, поскольку очень часто при его наличии больные жалоб не предъявляют, и остеохондрома обнаруживается на рентгенограмме лишь как случайная находка. В других случаях пациенты ощущают рост узла и боль. У некоторых из них развивается болезненный спонтанный инфаркт или перелом кости. На боль жалуются и тс больные, у которых над остеохондромой формируются сумки, в просвете которых имеются хрящевые тельца. При увеличении объема такой сумки надлежит проводить дифференциальную диагностику остеохондромы от малигнизированной остеохондромы. К числу осложнений остеохондромы относят тромбоз подколенной вены и развитие ложной аневризмы подколенной артерии.
Локализация остеохондромы: частота поражения отдельных костей различна; нижний коней бедренной кости, верхние отделы плечевой и большеберцовой костей поражаются более чем у половины больных. На всем протяжении остеохондрома покрыта надкостницей. Она может быть обнаружена и в других костях, за исключением костей лицевого черепа. Все же поражение костей позвоночника, кистей рук и стоп встречается редко. При рентгенологическом исследовании видна типичная картина узкого или широкого выроста вблизи эпифизарной части пораженной кости. Обычно плотность узла неоднородная, имеются многочисленные плотные участки, соответствующие обызвествленным хрящевым долькам. Хрящевая «шапочка» большей частью не определяется, поскольку хрящ остается необызвествленным. Она может быть выявлена только при магнитно-резонансной томографии.
Остеохондрома может достигать в диаметре 14 см, не подвергаясь малигнизации (максимальный срок наблюдения - 40 лет). Вероятность малигнизации этого поражения не превышает 1 - 2 % случаев. Обычно рост остеохондромы прекращается по мере завершения роста костей и исчезновения эпифизарной пластинки. В небольшом числе случаев остеохондрома может рецидивировать спустя 1-26 мес после удаления первичного узла. Как правило, это происходит в тех случаях, когда первая операция была недостаточно радикальной и хрящевая шапочка не была удалена целиком.
При дифференциальной диагностике остеохондромы надо иметь в виду лишь одну нозологическую форму - хондросаркому, возникающую из остеохондромы. Дифференциальная диагностика остеохондромы и паростальной остеосаркомы не представляет затруднений.
Продолжение.
Продолжение.
Продолжение.
Продолжение.
Остеохондрома
Остеохондрома
Продолжение.
Костно-хрящевые экзостозы (остеохондрома).
Остеохондрома.
Костно-хрящевые экзостозы
Костно-хрящевые экзостозы