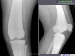
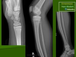
Остеопетроз. Он относится к группе редких наследственных заболеваний, характеризующихся дисфункцией остеокластов. Нарушение функции этих клеток приводит к диффузному симметричному склерозу костей. Название болезни указывает на появление каменистой плотности (от греч. petra — камень) костной ткани. Кроме этого, кости больного человека становятся аномально хрупкими и ломкими. Остеопетроз, который называют еще болезнью мраморной кости (мраморная болезнь, или болезнь Альберс-Шенберга; H.E.Albers-Schoenberg), делят на 4 основных варианта по типу наследования и клиническим данным. Наиболее частыми вариантами являются аутосомно-рецессивный злокачественный и аутосомно-доминантный доброкачественный. Точная причина дисфункции остеокластов при этих вариантах неизвестна. Исключением является вариант, связанный с недостаточностью углеродной ангидразы II. Указанный фермент нужен остеокластам и клеткам почечных канальцев для выделения ионов водорода и окисления своего микроокружения. Отсутствие этого фермента предохраняет остеокласты от растворения и рассасывания матрикса, блокирует окисление мочи клетками почечных канальцев. В экспериментах показано, что у животных остеопетроз может быть вызван ретровирусом, а также с помощью мутаций гена, кодирующего колониестимулирующий фактор макрофагов, и гена C-src. Весьма вероятно, что некоторые из упомянутых причин играют роль и в заболевании остеопетрозом человека. Морфологические изменения при остеопетрозе объясняются недостаточной активностью остеокластов. Макроскопически видно, что кости теряют костномозговой канал, концы длинных костей приобретают грушевидную форму (колбовидная деформация). Невральные отверстия становятся маленькими и сдавливают выходящие нервы. Первичная спонгиоза, которая удаляется в ходе начального роста, остается и заполняет полость костномозгового канала. Она не оставляет места для кроветворной части костного мозга и препятствует формированию зрелых костных балок. Формирующаяся кость не восстанавливает естественные структуры и имеет тенденцию к сохранению в грубоволокнистом состоянии. В конечном итоге эти внутренние аномалии делают кость хрупкой. Гистологически существенных изменений в количестве остеокластов обнаружить не удается, их число может быть чуть увеличенным, нормальным или уменьшенным. Злокачественный аутосомно-рецессивный вариант выявляют обычно еще во внутриутробном периоде или же вскоре после рождения больного ребенка. Переломы, анемия, гидроцефалия нередко становятся причиной гибели в послеродовом периоде. Пациенты, пережившие в детстве указанный вариант заболевания, имеют осложнения, связанные с поражением черепных нервов (оптическая атрофия, лицевой паралич, глухота), а также повторяющиеся, нередко смертельные инфекции из-за недостаточного экстрамедуллярного кроветворения. Экстрамедуллярный гемопоэз часто сопровождается существенной сплено- и гепатомегалией. Признаки аутосомно-доминантной доброкачественной формы могут не определяться вплоть до взрослого периода жизни человека, пока не будут выявлены с помощью рентгеноскопии в связи с частыми переломами. У больных этой формой могут быть также более легкие поражения черепных нервов и анемия.
Болезни костей и нарушения минерального обмена у детей.
Д. Гертнер
Нарушения обмена кальция
Остеопетроз
Общие сведения. Под этим названием объединяют группу наследственных и спорадических заболеваний, характеризующихся разрастанием костной ткани. Причина остеопетроза - нарушение резорбции костной ткани, обусловленное функциональными дефектами остеокластов.
Клиническая картина
Остеопетроз у новорожденных и грудных детей - это тяжелое аутосомно-рецессивное заболевание. Во время внутриутробного развития компактное вещество костей врастает в костномозговые полости и замещает губчатое вещество. В результате угнетается костномозговое и усиливается экстрамедуллярное кроветворение. Поэтому у новорожденных и грудных детей остеопетроз проявляется в первую очередь панцитопенией, гепатоспленомегалией и увеличением лимфоузлов. Кроме того, сужаются отверстия черепа и сдавливаются черепные нервы, что приводит к слепоте и тугоухости. Из-за большого веса головы нарушается моторное развитие. Больные обычно не доживают до 10 лет.
У детей старшего возраста и подростков болезнь может быть как спорадической, так и наследственной (с аутосомно-доминантным наследованием) и протекает не так тяжело. Иногда остеопетроз выявляют случайно при рентгенологическом исследовании. В других случаях болезнь обнаруживают при обследовании по поводу патологических переломов, боли в костях, остеомиелита, поражений черепных нервов.
Лабораторная и инструментальная диагностика. Характерны гипокальциемия, гипофосфатемия и повышение уровня ПТГ в сыворотке (вторичный гиперпаратиреоз). Всасывание кальция в кишечнике усилено, но гипокальциемия тем не менее сохраняется, поскольку ПТГ не активирует остеокласты. При рентгенографии и денситометрии костей обнаруживают их равномерное уплотнение и увеличение костной массы; компактное и губчатое вещество имеют одинаковую плотность. При гистологическом исследовании биоптатов кости выявляются толстые прослойки неминерализованного органического матрикса, иногда встречаются признаки остеомаляции (рахита). Количество остеокластов нормальное или даже увеличенное, но они малоактивны.
Мраморная болезнь (болезнь Альберс-Шенберга) - семейный генерализованный остеосклероз, протекающий с лейкемической реакцией крови у детей, с анемией и лейкопенией у взрослых, нередко с атрофией зрительных нервов и глухотой. Характерны деформация мозгового и лицевого черепа, заращение придаточных полостей носа плотной бесструктурной костной тканью. Ввиду постепенного сужения отверстий в черепе и межпозвонковых отверстий могут возникать полиморфные проявления поражения периферической нервной системы как на черепном, так и на позвоночном уровнях. В позвонках костные балки губчатого вещества утолщены и уплотнены. В трубчатых костях отмечается сужение, а затем и исчезновение костномозговых полостей, эпифизы булавовидно утолщены и поперечно исчерчены, имеется склонность к патологическим переломам. Наследуется по аутосомно-рецессивному типу и тогда, проявляясь в фенотипе в первые годы жизни, быстро приводит к смерти, или же - по аутосомно-доминантному типу, проявляясь в 20-40-летнем возрасте. Описал болезнь в 1907 г. Н.Е. Albers-Schonberg.
Продолжение.
Продолжение.
Продолжение.
Продолжение.
Остеопетроз
Остеопетроз. Он относится к группе редких наследственных заболеваний, характеризующихся дисфункцией остеокластов. Нарушение функции этих клеток приводит к диффузному симметричному склерозу костей. Название болезни указывает на появление каменистой плотности (от греч. petra — камень) костной ткани. Кроме этого, кости больного человека становятся аномально хрупкими и ломкими.
Остеопетроз, который называют еще болезнью мраморной кости (мраморная болезнь, или болезнь Альберс-Шенберга; H.E.Albers-Schoenberg), делят на 4 основных варианта по типу наследования и клиническим данным. Наиболее частыми вариантами являются аутосомно-рецессивный злокачественный и аутосомно-доминантный доброкачественный. Точная причина дисфункции остеокластов при этих вариантах неизвестна. Исключением является вариант, связанный с недостаточностью углеродной ангидразы II. Указанный фермент нужен остеокластам и клеткам почечных канальцев для выделения ионов водорода и окисления своего микроокружения. Отсутствие этого фермента предохраняет остеокласты от растворения и рассасывания матрикса, блокирует окисление мочи клетками почечных канальцев. В экспериментах показано, что у животных остеопетроз может быть вызван ретровирусом, а также с помощью мутаций гена, кодирующего колониестимулирующий фактор макрофагов, и гена C-src. Весьма вероятно, что некоторые из упомянутых причин играют роль и в заболевании остеопетрозом человека.
Морфологические изменения при остеопетрозе объясняются недостаточной активностью остеокластов. Макроскопически видно, что кости теряют костномозговой канал, концы длинных костей приобретают грушевидную форму (колбовидная деформация). Невральные отверстия становятся маленькими и сдавливают выходящие нервы. Первичная спонгиоза, которая удаляется в ходе начального роста, остается и заполняет полость костномозгового канала. Она не оставляет места для кроветворной части костного мозга и препятствует формированию зрелых костных балок. Формирующаяся кость не восстанавливает естественные структуры и имеет тенденцию к сохранению в грубоволокнистом состоянии. В конечном итоге эти внутренние аномалии делают кость хрупкой. Гистологически существенных изменений в количестве остеокластов обнаружить не удается, их число может быть чуть увеличенным, нормальным или уменьшенным.
Злокачественный аутосомно-рецессивный вариант выявляют обычно еще во внутриутробном периоде или же вскоре после рождения больного ребенка. Переломы, анемия, гидроцефалия нередко становятся причиной гибели в послеродовом периоде. Пациенты, пережившие в детстве указанный вариант заболевания, имеют осложнения, связанные с поражением черепных нервов (оптическая атрофия, лицевой паралич, глухота), а также повторяющиеся, нередко смертельные инфекции из-за недостаточного экстрамедуллярного кроветворения. Экстрамедуллярный гемопоэз часто сопровождается существенной сплено- и гепатомегалией. Признаки аутосомно-доминантной доброкачественной формы могут не определяться вплоть до взрослого периода жизни человека, пока не будут выявлены с помощью рентгеноскопии в связи с частыми переломами. У больных этой формой могут быть также более легкие поражения черепных нервов и анемия.
Болезни костей и нарушения минерального обмена у детей.
Д. Гертнер
Нарушения обмена кальция
Остеопетроз
Общие сведения. Под этим названием объединяют группу наследственных и спорадических заболеваний, характеризующихся разрастанием костной ткани. Причина остеопетроза - нарушение резорбции костной ткани, обусловленное функциональными дефектами остеокластов.
Клиническая картина
Остеопетроз у новорожденных и грудных детей - это тяжелое аутосомно-рецессивное заболевание. Во время внутриутробного развития компактное вещество костей врастает в костномозговые полости и замещает губчатое вещество. В результате угнетается костномозговое и усиливается экстрамедуллярное кроветворение. Поэтому у новорожденных и грудных детей остеопетроз проявляется в первую очередь панцитопенией, гепатоспленомегалией и увеличением лимфоузлов. Кроме того, сужаются отверстия черепа и сдавливаются черепные нервы, что приводит к слепоте и тугоухости. Из-за большого веса головы нарушается моторное развитие. Больные обычно не доживают до 10 лет.
У детей старшего возраста и подростков болезнь может быть как спорадической, так и наследственной (с аутосомно-доминантным наследованием) и протекает не так тяжело. Иногда остеопетроз выявляют случайно при рентгенологическом исследовании. В других случаях болезнь обнаруживают при обследовании по поводу патологических переломов, боли в костях, остеомиелита, поражений черепных нервов.
Лабораторная и инструментальная диагностика. Характерны гипокальциемия, гипофосфатемия и повышение уровня ПТГ в сыворотке (вторичный гиперпаратиреоз). Всасывание кальция в кишечнике усилено, но гипокальциемия тем не менее сохраняется, поскольку ПТГ не активирует остеокласты. При рентгенографии и денситометрии костей обнаруживают их равномерное уплотнение и увеличение костной массы; компактное и губчатое вещество имеют одинаковую плотность. При гистологическом исследовании биоптатов кости выявляются толстые прослойки неминерализованного органического матрикса, иногда встречаются признаки остеомаляции (рахита). Количество остеокластов нормальное или даже увеличенное, но они малоактивны.
Мраморная болезнь (болезнь Альберс-Шенберга) - семейный генерализованный остеосклероз, протекающий с лейкемической реакцией крови у детей, с анемией и лейкопенией у взрослых, нередко с атрофией зрительных нервов и глухотой. Характерны деформация мозгового и лицевого черепа, заращение придаточных полостей носа плотной бесструктурной костной тканью. Ввиду постепенного сужения отверстий в черепе и межпозвонковых отверстий могут возникать полиморфные проявления поражения периферической нервной системы как на черепном, так и на позвоночном уровнях. В позвонках костные балки губчатого вещества утолщены и уплотнены. В трубчатых костях отмечается сужение, а затем и исчезновение костномозговых полостей, эпифизы булавовидно утолщены и поперечно исчерчены, имеется склонность к патологическим переломам. Наследуется по аутосомно-рецессивному типу и тогда, проявляясь в фенотипе в первые годы жизни, быстро приводит к смерти, или же - по аутосомно-доминантному типу, проявляясь в 20-40-летнем возрасте. Описал болезнь в 1907 г. Н.Е. Albers-Schonberg.
Остеопетроз
http://www.ajronline.org/doi/full/10.2214/ajr.184.2.01840702
Остеопетроз
http://www.jaypeejournals.com/eJournals/ShowText.aspx?ID=682&Type=FREE&TYP=TOP&IN=_eJournals/images/JPLOGO.gif&IID=64&isPDF=NO
Из литературных источников
Продолжение.
Продолжение.
Продолжение.
Остеопетроз.
http://www.nejm.org/doi/full/10.1056/NEJMicm1609871
6-летнюю девочку привезли к дантисту ее родители