КСС. Гиперпаратиреоз. +

Гиперпаратиреоз.

 

Клинико-рентгенологические признаки

Остеобластокластома

Гиперпаратиреоидная остеодистрофия

Локализация

Эпиметадиафиз

Метадиафиз

Количество очагов поражения

Монооссальный процесс

Полиоссальный процесс

Деформация

Асимметричное булавовидное вздутие

Незначительное цилиндрическое вздутие

Контуры очага деструкции

Четкое отграничение от неповрежденного отдела кости

Нечеткое отграничение, особенно в зоне костномозгового канала.

Наличие остеопороза

Не характерно

Характерно

Состояние кортикального слоя

Истончен, волнистый, прерывается с выходом мягкотканной тени за пределы кости.

Истончен, может быть волнистым. Не прерывается. Выхода мягкотканной тени за пределы кости нет.

Биохимические сдвиги

Не наблюдаются

Гиперкальцемия

Катенёв Валентин Львович аватар
Не на сайте
Был на сайте: 7 лет 5 месяцев назад
Зарегистрирован: 22.03.2008 - 22:15
Публикации: 54876

М. К. МИХАИЛОВ, Г. И. ВОЛОДИНА, Е. К. ЛАРЮКОВА

ГИПЕРПАРАТИРЕОИДНАЯ ОСТЕОДИСТРОФИЯ (ПАРАТИРЕОИДНАЯ ОСТЕОДИСТРОФИЯ «БОЛЕЗНЬ РЕКЛИНГХАУЗЕНА»).

Это эндокринное заболевание, при котором отмечается повышенная функциональная активность околощитовидных желез. Гормон околощитовидных желез действует на всю костную систему, и происходит интенсивная перестройка структуры костей. Вновь образованные костные структуры не успевают созревать. В костях много незрелых слабо обызвествленных структур, что при рентгенологическом исследовании выражается остеопорозом.

Паратиреоидная остеодистрофия в два-три раза чаще встречается у женщин, чем у мужчин. Болезнь характеризуется хроническим течением, и выявляется преимущественно у молодых женщин в возрасте 30-40 лет.
Беспокоят боли в костях, возможны деформации костей, патологические переломы. Характерно повышенное содержание кальция в сыворотке крови. Иногда на первый план выступают симптомы двусторонней почечнокаменной болезни или нарастающая анемия. Это дает основание выделять преимущественно анемическую, почечнокаменную или костную форму гиперпаратиреоидной остеодистрофии.

Наиболее часто подвергаются изменениям кости таза, бедренные кости, большеберцовые, плечевые, кости черепа и позвонки. Интенсивность изменений различна в разных костях и в разных отделах одной и той же кости.

Пораженные длинные трубчатые кости несколько вздуты. Это цилиндрическое утолщение захватывает весь диафиз, метафизы также представляются несколько вздутыми. Кортикальный слой неравномерно истончается, может быть бугристым. Эпифизы, как правило, мало изменены. Характерна деформация метадиафиза бедренной кости по типу «пастушьей палки». Область большого вертела поднимается, анатомическая шейка бедренной кости располагается горизонтально, диафиз О-образно искривляется. Характерна также варусная деформация проксимального отдела плечевой кости. Деформации обычно не симметричны. Достаточно быстро развивается деформация костей таза в виде «карточного сердца». Реакция надкостницы отсутствует и лишь при патологических переломах, может выявляться незначительная периостальная реакция.

На рентгенограммах определяется перестройка костной структуры в виде очагового или диффузного крупнозернистого остеопороза. Характерна кистозная перестройка костной структуры. Кисты располагаются, как в зоне костномозгового канала, так и интракортикально. Форма их - овальная, вытянутая по длиннику кости. Кисты могут быть одиночными и множественными. Часто кисты сливаются одна с другой и в зоне костномозгового канала они имеют нечеткие контуры.

В плоских костях также отмечается истончение коркового слоя, остеопороз, кистовидные дефекты. В телах позвонков выражен остеопороз. Постепенно краниальные и каудальные пластинки вдавливаются, развиваются «рыбьи позвонки». В телах позвонков могут выявляться мелкие, сливного характера кисты. При этом сохраняется тонкий кортикальный слой. Межпозвонковые диски в процесс не вовлекаются в связи, с чем высота их не уменьшается.
Т. П. Виноградова отмечает, что при паратиреоидной остеодистрофии
в костях возникают образования, «неотличимые по своей структуре от остеобластокластомы, а также кисты». Становятся понятны трудности дифференциальной диагностики, с которыми приходится сталкиваться рентгенологам.

Катенёв Валентин Львович аватар
Не на сайте
Был на сайте: 7 лет 5 месяцев назад
Зарегистрирован: 22.03.2008 - 22:15
Публикации: 54876

Продолжение.

Приложения: 
1.g.slayd112.jpg1.g.slayd113.jpg3.g.slayd114.jpg4.g.slayd115.jpg5.g.slayd116.jpg6.g.slayd117.jpg7.g.slayd118.jpg1.giper_.slayd29.jpg
Катенёв Валентин Львович аватар
Не на сайте
Был на сайте: 7 лет 5 месяцев назад
Зарегистрирован: 22.03.2008 - 22:15
Публикации: 54876

Продолжение.

Приложения: 
1.gip_.5.l.slayd14.jpg2.gip_.7.l.slayd16.jpg3.gip_.8.l.slayd17.jpg
Катенёв Валентин Львович аватар
Не на сайте
Был на сайте: 7 лет 5 месяцев назад
Зарегистрирован: 22.03.2008 - 22:15
Публикации: 54876

Продолжение.

 

Приложения: 
1.giperparatireoz.slayd123.jpg
Катенёв Валентин Львович аватар
Не на сайте
Был на сайте: 7 лет 5 месяцев назад
Зарегистрирован: 22.03.2008 - 22:15
Публикации: 54876

Гиперпаратиреоз.

Приложения: 
1.gip_.slayd276.jpg2.gip_.slayd277.jpg3.gip_.slayd278.jpg4.gip_.slayd279.jpg5.gip_.slayd280.jpg6.gip_.slayd281.jpg7.gip_.slayd282.jpg8.gip_.slayd283.jpg
Катенёв Валентин Львович аватар
Не на сайте
Был на сайте: 7 лет 5 месяцев назад
Зарегистрирован: 22.03.2008 - 22:15
Публикации: 54876

Гиперпаратиреоз.

 

Приложения: 
1.gip_.slayd290.jpg2.gip_.slayd291.jpg3.gip_.slayd292.jpg4.gip_.slayd293.jpg5.gip_.slayd294.jpg6.gip_.slayd295.jpg
Катенёв Валентин Львович аватар
Не на сайте
Был на сайте: 7 лет 5 месяцев назад
Зарегистрирован: 22.03.2008 - 22:15
Публикации: 54876

.

Приложения: 
1.ogl_.slayd148.jpg2.ogl_.slayd164.jpg3.slayd169.jpg
Катенёв Валентин Львович аватар
Не на сайте
Был на сайте: 7 лет 5 месяцев назад
Зарегистрирован: 22.03.2008 - 22:15
Публикации: 54876

Гиперпаратиреоз.

 

Приложения: 
1.giper_.slayd58.jpg
Катенёв Валентин Львович аватар
Не на сайте
Был на сайте: 7 лет 5 месяцев назад
Зарегистрирован: 22.03.2008 - 22:15
Публикации: 54876

Из литературных источников.

Приложения: 
1._giperpara.slayd45.jpg2.giper_.slayd46.jpg3.giper_.slayd47.jpg
Катенёв Валентин Львович аватар
Не на сайте
Был на сайте: 7 лет 5 месяцев назад
Зарегистрирован: 22.03.2008 - 22:15
Публикации: 54876

Гиперпаратиреоз, имитирующий метастазы

http://www.eurorad.org/eurorad/case.php?id=10386

  • Рисунок 1

    Изображения CT в осевой плоскости без iv контрастной среды
    000001_thumb.png

    Склеротические поражения тела верхушки T9, правое подвздошное крыло, левое крестцовое крыло и тело левой подвздошной кости, а также смешанное литическое и склеротическое поражение левой ишио-лобковой ветви.

     
     
     
  • фигура 2
    АР-рентгенография таза 15.01.2010
    000002_thumb.png

    AP-рентгенограмма таза 15.01.2010, показывающая множественные склеротические повреждения (правое подвздошное крыло, левая подвздошная кость и левая бедренная головка) и гетерогенное смешанное литическое и склеротическое поражение левого лобкового кости.

  • Рисунок 3
    AP радиография таза 06.12.2007
    000003_thumb.png

    AP радиография таза, 06.12.2007. Никаких аномалий не видно.

  • Рисунок 4
    MRI T1 взвешенные и взвешенные изображения STIR
    000004_thumb.png

    MRI T1 взвешенные и взвешенные изображения STIR показывают гетерогенное поражение левой лобковой кости со сниженной интенсивностью сигнала на взвешенных изображениях T1 и увеличенной интенсивностью сигнала на взвешенных изображениях STIR.

  • Рисунок 5
    Сравнение брюшной ТТ 10.05.2010 и 12.10.2010
    000005_thumb.png

    Сравнение брюшной ТТ от 10.05.2010 и 12.10.2010,

    Область интересов: костно-мышечная система; Техника визуализации: КТ; 
     
     
Катенёв Валентин Львович аватар
Не на сайте
Был на сайте: 7 лет 5 месяцев назад
Зарегистрирован: 22.03.2008 - 22:15
Публикации: 54876

Гиперпаратиреоз.

H - hyperparathyroidism

Случаи и цифры

  •  
    Случай 1: позвоночник ребер-Джерси
  •  
    Случай 2: подпериостная резорбция
  •  
    Случай 3: опухоли коричневого цвета
  • Коричневые опухоли - Co ...
     
    Случай 4: опухоли коричневого цвета - МРТ
  •  
    Случай 5: эрозии пучков & amp; подпериостная резорбция
  • Hyperparathyroidi ...
     
    Случай 6: эрозия почек от гиперпаратиреоза
  •  
    Случай 7
  •  
    Случай 8
  •  
    Случай 9: костная сцинтиграфия
  •  
    Случай 10
Катенёв Валентин Львович аватар
Не на сайте
Был на сайте: 7 лет 5 месяцев назад
Зарегистрирован: 22.03.2008 - 22:15
Публикации: 54876

Продолжение.

 

Приложения: 
1fyayslayd11.jpg
Катенёв Валентин Львович аватар
Не на сайте
Был на сайте: 7 лет 5 месяцев назад
Зарегистрирован: 22.03.2008 - 22:15
Публикации: 54876

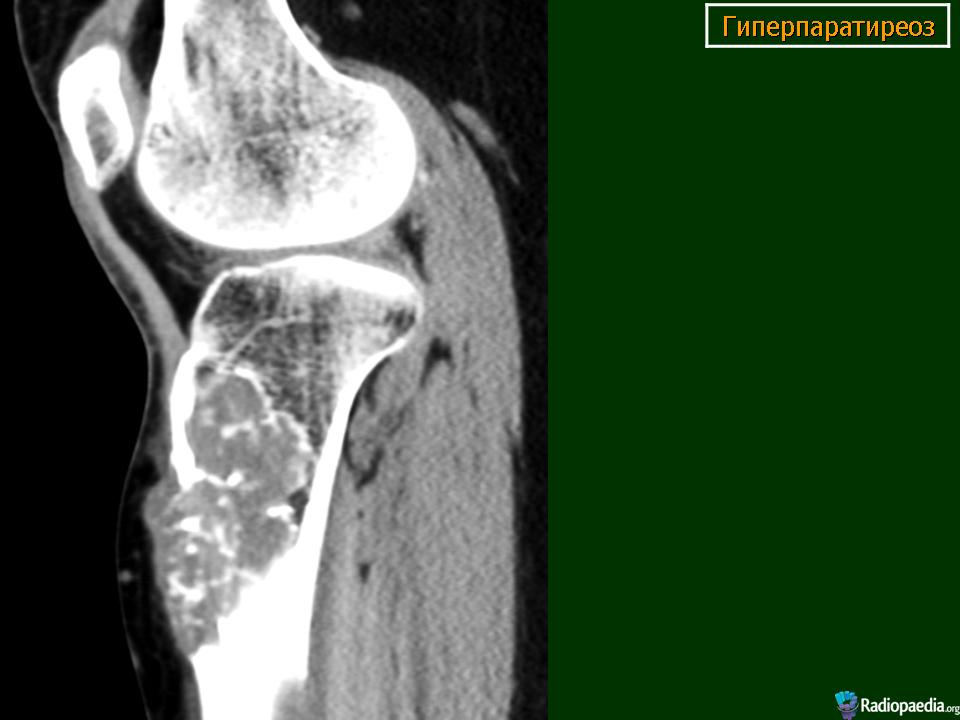
Гиперпаратиреоз, как правило, наблюдается у пациентов с заболеванием почек, что приводит к вторичному ГПТ.

Костные изменения при гиперпаратиреозе, в том числе диффузные поднадкостничные резорбции, или общая деминерализация наблюдаются весьма часто.

Поднадкостничная резорбции кости является патогномоничным признаком.

«Коричневые» опухоли являются результатом более агрессивной фокальной резорбции кости.

Они напоминает первичную опухоль кости или поражение метастатического характера, что может произойти в любой кости, наиболее часто в центре диафиза.

Как правило до 30 лет не наблюдается.

Границы, как правило, острые на обычных рентгенограммах, хотя и не имеют склеротического ободка.

«Коричневую» опухоль можно принять за ГКО, если она находится в эпифизе или метафизе длинной трубчатой кости.

На КТ-изображениях пациента с почечной недостаточностью визуализируются множественные четко очерченные поражения остеолитического характера
Дифференциальный диагноз включает метастазы, множественную миелому и гиперпаратиреоз.

Биопсия выявила «коричневую» опухоль.

Приложения: 
1.01.risunok1.jpg
Катенёв Валентин Львович аватар
Не на сайте
Был на сайте: 7 лет 5 месяцев назад
Зарегистрирован: 22.03.2008 - 22:15
Публикации: 54876

Мужчина 30-лет.

Определяется литическое поражение локтевого отростка и части локтевой кости с несколькими патологическими переломами. 
Дифференциальный диагноз - ГКО и аневризматическая костная киста.
По T2WI + FS делается заключение и наличии аневризматической костной кисты, однако на биопсии выявлена «коричневая опухоль».

 

Приложения: 
1.02.risunok1.jpg
Катенёв Валентин Львович аватар
Не на сайте
Был на сайте: 7 лет 5 месяцев назад
Зарегистрирован: 22.03.2008 - 22:15
Публикации: 54876
Катенёв Валентин Львович аватар
Не на сайте
Был на сайте: 7 лет 5 месяцев назад
Зарегистрирован: 22.03.2008 - 22:15
Публикации: 54876
Катенёв Валентин Львович аватар
Не на сайте
Был на сайте: 7 лет 5 месяцев назад
Зарегистрирован: 22.03.2008 - 22:15
Публикации: 54876