Онкология. Гигантоклеточная опухоль 1. +

Гигантоклеточная опухоль.

Катенёв Валентин Львович аватар
Не на сайте
Был на сайте: 7 лет 2 месяцев назад
Зарегистрирован: 22.03.2008 - 22:15
Публикации: 54876

Продолжение.

Приложения: 
1.g.slayd47.jpg2.g.slayd48.jpg3.g.slayd49.jpg4.g.slayd50.jpg
Катенёв Валентин Львович аватар
Не на сайте
Был на сайте: 7 лет 2 месяцев назад
Зарегистрирован: 22.03.2008 - 22:15
Публикации: 54876

Продолжение.

Приложения: 
1.gko_.slayd27.jpg
Катенёв Валентин Львович аватар
Не на сайте
Был на сайте: 7 лет 2 месяцев назад
Зарегистрирован: 22.03.2008 - 22:15
Публикации: 54876

Гигантоклеточная опухоль.

Приложения: 
1.gigantoslayd15.jpg1.gko_.slayd156.jpg2.gko_.slayd157.jpg3.gko_.slayd158.jpg4.gko_.slayd159.jpg
Катенёв Валентин Львович аватар
Не на сайте
Был на сайте: 7 лет 2 месяцев назад
Зарегистрирован: 22.03.2008 - 22:15
Публикации: 54876

Гигантоклеточная опухоль.

Приложения: 
1.gi_.slayd40.jpg2.gi_.slayd41.jpg3.gi_.slayd42.jpg4.gi_.slayd43.jpg5.gi_.slayd44.jpg6.gi_.slayd45.jpg
Катенёв Валентин Львович аватар
Не на сайте
Был на сайте: 7 лет 2 месяцев назад
Зарегистрирован: 22.03.2008 - 22:15
Публикации: 54876

.

Приложения: 
1.ogl_.slayd148.jpg2.ogl_.slayd175.jpg3.ogl_.slayd176.jpg4.oglslayd179.jpg
Катенёв Валентин Львович аватар
Не на сайте
Был на сайте: 7 лет 2 месяцев назад
Зарегистрирован: 22.03.2008 - 22:15
Публикации: 54876

Гигантоклеточная опухоль.

Приложения: 
1.gig_.slayd187.jpg2.gig_.slayd188.jpg3.gig_.slayd189.jpg4.gig_.slayd190.jpg5.gig_.slayd191.jpg
Катенёв Валентин Львович аватар
Не на сайте
Был на сайте: 7 лет 2 месяцев назад
Зарегистрирован: 22.03.2008 - 22:15
Публикации: 54876

Гигантоклеточная опухоль.

Приложения: 
1.gko_.slayd149.jpg2.gko_.slayd150.jpg3.gko_.slayd151.jpg4.gko_.slayd152.jpg
Катенёв Валентин Львович аватар
Не на сайте
Был на сайте: 7 лет 2 месяцев назад
Зарегистрирован: 22.03.2008 - 22:15
Публикации: 54876

Гигантоклеточная опухоль.

Приложения: 
1.gig_.slayd192.jpg2.gig_.slayd193.jpg3.gig_.slayd194.jpg4.gig_.slayd195.jpg5.gig_.slayd196.jpg
Катенёв Валентин Львович аватар
Не на сайте
Был на сайте: 7 лет 2 месяцев назад
Зарегистрирован: 22.03.2008 - 22:15
Публикации: 54876

Гигантоклеточная опухоль.

Приложения: 
1.gig_.slayd75.jpg2.gig_.slayd76.jpg3.gig_.slayd77.jpg4.gig_.slayd78.jpg
Катенёв Валентин Львович аватар
Не на сайте
Был на сайте: 7 лет 2 месяцев назад
Зарегистрирован: 22.03.2008 - 22:15
Публикации: 54876

Гигантоклеточная опухоль.

Приложения: 
1.gko_.slayd22.jpg2.gko_.slayd23.jpg
Катенёв Валентин Львович аватар
Не на сайте
Был на сайте: 7 лет 2 месяцев назад
Зарегистрирован: 22.03.2008 - 22:15
Публикации: 54876

Гигантоклеточная опухоль.

Приложения: 
0.3.cover_.gif11.f4.mediumgigantskie_opuholey.gif
Катенёв Валентин Львович аватар
Не на сайте
Был на сайте: 7 лет 2 месяцев назад
Зарегистрирован: 22.03.2008 - 22:15
Публикации: 54876

Гигантоклеточная опухоль

Приложения: 
1.slayd25.op_...jpg2.slayd26.op_...jpg3.slayd27.op_...jpg4.slayd28.op_...jpg
Катенёв Валентин Львович аватар
Не на сайте
Был на сайте: 7 лет 2 месяцев назад
Зарегистрирован: 22.03.2008 - 22:15
Публикации: 54876

Из литературных источников

Приложения: 
y11slayd94.jpgy11slayd95.jpgy11slayd96.jpgy11slayd97.jpg
Катенёв Валентин Львович аватар
Не на сайте
Был на сайте: 7 лет 2 месяцев назад
Зарегистрирован: 22.03.2008 - 22:15
Публикации: 54876

Продолжение.

 

Приложения: 
2.0.slayd170.jpg0.slayd186.jpg0.slayd187.jpg0.slayd198.jpg0.slayd199.jpg0.slayd200.jpg0.slayd201.jpg
Катенёв Валентин Львович аватар
Не на сайте
Был на сайте: 7 лет 2 месяцев назад
Зарегистрирован: 22.03.2008 - 22:15
Публикации: 54876

Продолжение

 

Приложения: 
0.slayd207.jpg0.slayd213.jpg
Катенёв Валентин Львович аватар
Не на сайте
Был на сайте: 7 лет 2 месяцев назад
Зарегистрирован: 22.03.2008 - 22:15
Публикации: 54876

С Радиопедии.

 

Приложения: 
1.c4c3a0942939fa09989865228b6e63_jumbo.jpeg2.eff1f6af4a4427cf606a2a3ab6f965_jumbo.jpeg3.6fd0e87a7ffe8_jumbo.jpeg11.19b7f328f48583d74178c58625c6a9_big_gallery.jpeg12.a1acd4f1a146afe69f8347a6e35258_big_gallery.jpeg13.921919eff44a24fa88de0840b3f171_big_gallery.jpeg14.23f5a1f56cfa5338_big_gallery.jpeg15.e0dab0c23d678f4337b9a1e139ecc6_big_gallery.jpeg21.5f0e4a8dc1e4a94d56f310c0a5167f_big_gallery.jpeg22.a6b61d25e0b665746f3c0d6cd63016_big_gallery.jpeg23.0257387bcf44029a9c23e64dae6ab8_big_gallery.jpeg24.ff425558b8c1ebe2efc93d097c2cf6_big_gallery.jpeg258f123374a0ff9c7a5e44b3bde7878c_big_gallery.jpeg2636ee626acb7ae3c10fd274781352cd_big_gallery.jpeg27.1f65f2348e83c3c694c2c98f253061_big_gallery.jpeg
Катенёв Валентин Львович аватар
Не на сайте
Был на сайте: 7 лет 2 месяцев назад
Зарегистрирован: 22.03.2008 - 22:15
Публикации: 54876

ОБК - ОСТЕОБЛАСТОКЛАСТОМА

(Гигантоклеточная опухоль)

Название этой опухоли - остеобластокластома, принятое у нас в стране, дано ей А. Русаковым, а в зарубежной литературе чаще определяется термином «остеокластома».

Как самостоятельное заболевание эта опухоль известна более 100 лет. О природе этого заболевания споры ведутся до нашего времени. Рентгенологами и некоторыми другими специалистами приводились доводы в пользу дистрофической сущности остеобластокластомы, тогда как костные патологи - клиницисты, в том числе и морфологи, приводят веские доказательства опухолевой природы заболевания, выставляя следующие доводы: остеобластокластома способна к рецидивам, в том числе и в окружающих кость мягких тканях, метастазированию в отдаленные органы, озлокачествлению доброкачественных форм, существованию первичнозлокачественных остеобластокластом. По-видимому, в группу остеобластокластом включались разные, но сходные по клиническим и рентгенологическим проявлениям нозологические формы, с чем может быть связана разная их оценка.

В 1965 г. на страницах журнала «Хирургия» по этому вопросу проводилась дискуссия. Обсуждались различные точки зрения по поводу остеобластокластомы, является ли она опухолью или под этим названием фигурируют и случаи с дисплазией кости. Дискуссию заключала статья профессора В. Я. Шлапоберского и Л. П. Кузьминой, которые четко и доказательно утверждали точку зрения об опухолевой природе остеобластокластомы. Эту точку зрения подтвердила также редакция журнала «Хирургия».

При изучении клинических особенностей остеобластокластом выявлены различные ее формы, которые отражены в классификации остеобластокластом, предложенной В. Я. Шлапоберским.

Выделяются доброкачественные остеобластокластомы с более спокойным течением (рентгенологически - ячеистая фаза) и более агрессивным течением (рентгенологически - литическая фаза).

Злокачественные формы: первичнозлокачественная, озлокачествленная (вторично злокачественная) и метастазирующая с доброкачественной анатомической структурой.

Дифференциальную диагностику остеобластокластом прежде всего проводят с юношеской кистой, так как лечебная тактика при этих формах процесса различна. Остеобластокластома и аневризмальная киста подлежат хирургическому удалению. При юноше­ской кисте операция показана в случае отсутствия репаративных процессов в кисте в течение 2-3 лет, увеличения вздутия, рас­пространения кисты по длиннику кости и возникновения рециди­ва после операции (Корж А. А. и др., 1977). Однако, учитывая неопухолевый характер процесса, необходимо выжидать, пока киста окажется на некотором расстоянии от ростковой зоны.

Остеобластокластому и кисту нередко приходится дифферен­цировать от монооссальной формы фиброзной дисплазии. Для пер­вых характерен ячеисто-трабекулярный фон поражения. При фиб­розной дисплазии фон однородный, структура смазанная, нечет­кая, как правило, наряду с основным очагом в этой же кости можно обнаружить участки измененной костной структуры.

При эозинофильной гранулеме клинические симптомы более выражены, рентгенологически очаг имеет штампованные четкие границы, нередко значительно выражена периостальная реакция.

Злокачественная остеобластокластома по характеру течения и клинико-рентгенологическим проявлениям практически не отли­чается от остеогенной саркомы. Установить окончательный диаг­ноз можно лишь на основании результатов гистологического ис­следования.

Катенёв Валентин Львович аватар
Не на сайте
Был на сайте: 7 лет 2 месяцев назад
Зарегистрирован: 22.03.2008 - 22:15
Публикации: 54876

Продолжение.

 

Приложения: 
0.slayd126.jpg0.slayd127.jpg0.slayd128.jpg0.slayd129.jpg0.slayd130.jpg0.slayd131.jpg0.slayd132.jpg0.slayd133.jpg0.slayd134.jpg0.slayd135.jpg0.slayd136.jpg0.slayd137.jpg0.slayd138.jpg0.slayd139.jpg0.slayd140.jpg0.slayd141.jpg
Катенёв Валентин Львович аватар
Не на сайте
Был на сайте: 7 лет 2 месяцев назад
Зарегистрирован: 22.03.2008 - 22:15
Публикации: 54876

Продолжение.

 

Приложения: 
222.slayd182.jpg
Катенёв Валентин Львович аватар
Не на сайте
Был на сайте: 7 лет 2 месяцев назад
Зарегистрирован: 22.03.2008 - 22:15
Публикации: 54876

фигура
Просмотр увеличенной версии (175K)

Фиг.1А. -21-летняя женщина с сакральной гигантоклеточной опухолью.

 

 

фигура
Открыть увеличенную версию (128K)

Фиг.1В. -21-летняя женщина с сакральной гигантоклеточной опухолью. 


 http://www.ajronline.org/doi/full/10.2214/ajr.174.2.1740417?src=recsys

Катенёв Валентин Львович аватар
Не на сайте
Был на сайте: 7 лет 2 месяцев назад
Зарегистрирован: 22.03.2008 - 22:15
Публикации: 54876
Катенёв Валентин Львович аватар
Не на сайте
Был на сайте: 7 лет 2 месяцев назад
Зарегистрирован: 22.03.2008 - 22:15
Публикации: 54876

Клинический подход к ГКО

https://www.ncbi.nlm.nih.gov/pmc/articles/PMC4012970/

Рецидив ГКО.

https://www.ncbi.nlm.nih.gov/pmc/articles/PMC4387340/

https://www.ncbi.nlm.nih.gov/pmc/articles/PMC5725224/

ГКО, реакция на предоперационное лечение кратковременным denosumab

https://www.ncbi.nlm.nih.gov/pmc/articles/PMC5708101/

 

 

Катенёв Валентин Львович аватар
Не на сайте
Был на сайте: 7 лет 2 месяцев назад
Зарегистрирован: 22.03.2008 - 22:15
Публикации: 54876

Суставная реконструкция. ГКО.

https://www.ncbi.nlm.nih.gov/pmc/articles/PMC5702711/

Спинальная ГКО.

https://www.ncbi.nlm.nih.gov/pmc/articles/PMC5689738/

ГКО надколенника.

https://www.ncbi.nlm.nih.gov/pmc/articles/PMC5669526/

 

 

Катенёв Валентин Львович аватар
Не на сайте
Был на сайте: 7 лет 2 месяцев назад
Зарегистрирован: 22.03.2008 - 22:15
Публикации: 54876

Хирургическое лечение ГКО диффузного типа 

https://www.ncbi.nlm.nih.gov/pmc/articles/PMC5686795/

An acetabular-preserving procedure for pelvic giant cell tumor involving partial acetabulum

https://www.ncbi.nlm.nih.gov/pmc/articles/PMC5684757/

 

Катенёв Валентин Львович аватар
Не на сайте
Был на сайте: 7 лет 2 месяцев назад
Зарегистрирован: 22.03.2008 - 22:15
Публикации: 54876

Первичные опухоли надколенника

https://www.ncbi.nlm.nih.gov/pmc/articles/PMC4435649/

Катенёв Валентин Львович аватар
Не на сайте
Был на сайте: 7 лет 2 месяцев назад
Зарегистрирован: 22.03.2008 - 22:15
Публикации: 54876
Приложения: 
1.125089fig02a.jpeg
Катенёв Валентин Львович аватар
Не на сайте
Был на сайте: 7 лет 2 месяцев назад
Зарегистрирован: 22.03.2008 - 22:15
Публикации: 54876

https://radiologykey.com/imaging-of-sacral-tumors-and-tumor-simulators-experience-of-the-mayo-clinic/

A339464_1_En_4_Fig5_HTML.gif

Рисунок 4.5 

типичные особенности изображения гигантской клеточной опухоли крестца у 29-летней женщины.
Катенёв Валентин Львович аватар
Не на сайте
Был на сайте: 7 лет 2 месяцев назад
Зарегистрирован: 22.03.2008 - 22:15
Публикации: 54876
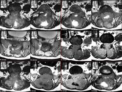
A339464_1_En_4_Fig6_HTML.gif
 МР-изображения гигантской клеточной опухоли у пациента, показанные выше.
Катенёв Валентин Львович аватар
Не на сайте
Был на сайте: 7 лет 2 месяцев назад
Зарегистрирован: 22.03.2008 - 22:15
Публикации: 54876

https://radiologykey.com/imaging-of-sacral-tumors-experience-of-the-rizzoli-institute/

A339464_1_En_5_Fig5_HTML.gif

Рисунок 5.5 

Гигантская клеточная опухоль ( GCT ) у 30-летнего мужчины:
A339464_1_En_5_Fig6_HTML.jpg

Рисунок 5.6 

Гигантская клеточная опухоль у 25-летнего мужчины.
Катенёв Валентин Львович аватар
Не на сайте
Был на сайте: 7 лет 2 месяцев назад
Зарегистрирован: 22.03.2008 - 22:15
Публикации: 54876

Продолжение.

https://radiopaedia.org/images/130247

  • Распределение g ...

     
    Рисунок 1: Распределение
  •  
    Случай 1: типичный
  •  
    Рисунок 2: гистология  
  •  
    Случай 2
  • GCT с ABC T1 ...
     
    Случай 3: с ассоциированной аневризматической костной кистой
  • GCT
     
    Случай 4
  •  
     Случай 5
  • Гигантская клеточная опухоль
     
    Случай 6: (нетипичный) 
  •  
    Случай 7
  •  
    Случай 8: рентгеновский снимок
  •  
    Случай 8: МРТ
  • Просмотр AP
     
    Случай 9
  •  
    Случай 10
  • гигантская клеточная опухоль
     
    Случай 12
  •  
    Случай 13
  • Неоднородно h ...
     
    Случай 14
  • Периферийно ...
     
    Случай 15
  •  
    Случай 16
  •  
    Случай 17
  •  
    Случай 18
  •  
    Случай 19: с патологическим переломом
  •  
    Случай 20

Дифференциальная диагностика изображения

  •  
    фиброма
  •  
    Метастазы (почечные клетки)
  •  
    Брауна опухоль