Онкология. Гигантоклеточная опухоль 2. +

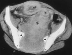
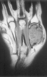
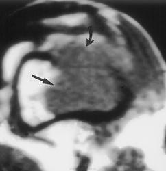
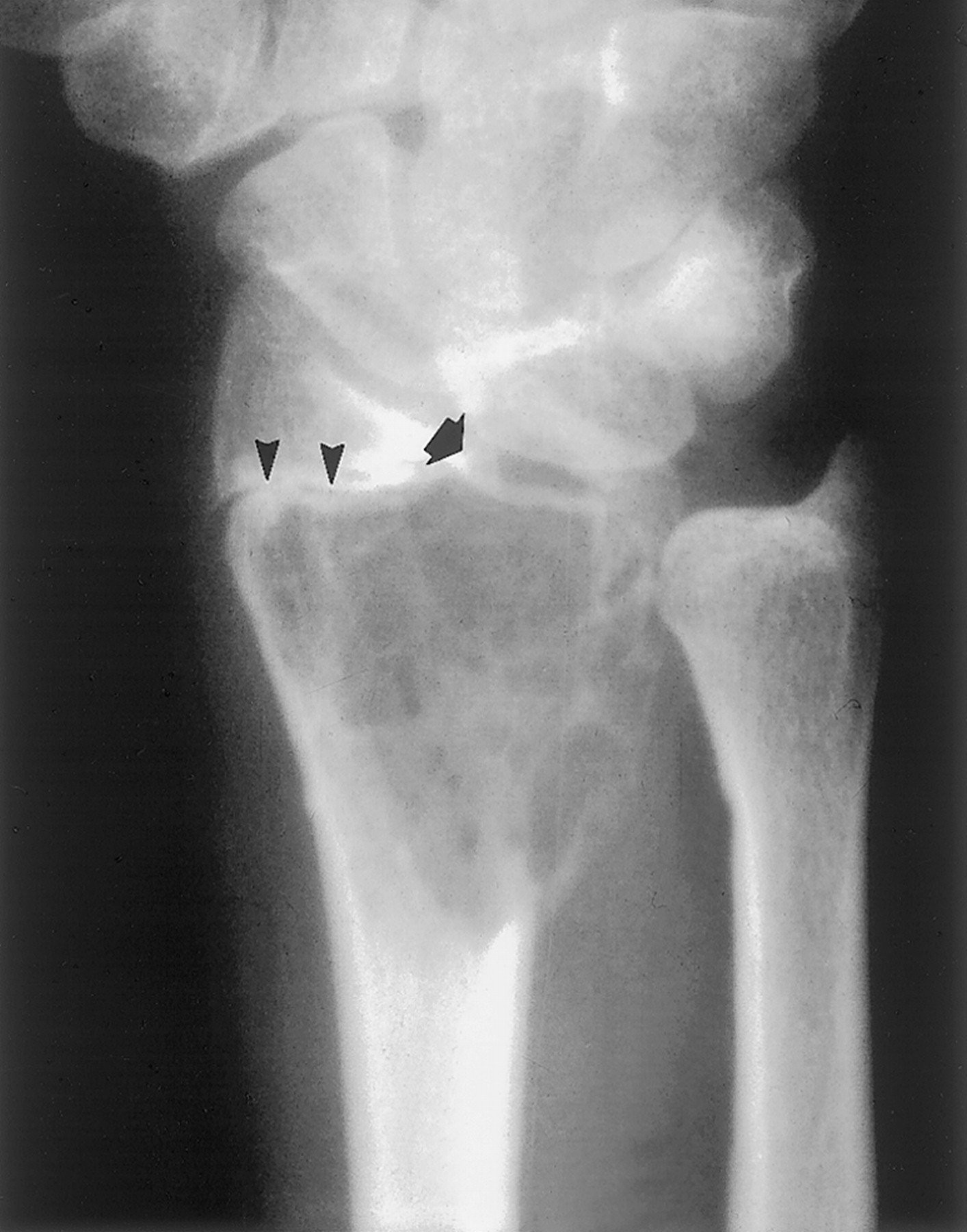
Гигантоклеточная опухоль.

 

Марк Д. Мерфи, доктор медицинских наук,  Джордж С. Nomikos, доктор медицинских наук,  Дональд Дж. Флеминг, CDR, USN, MC,  Фрэнсис Х. Ганнон, доктор медицинских наук,  Х. Томас храма, доктор медицинских наук и  Марк Дж. Kransdorf, доктор медицинских наук
 
 
Катенёв Валентин Львович аватар
Не на сайте
Был на сайте: 6 лет 11 месяцев назад
Зарегистрирован: 22.03.2008 - 22:15
Публикации: 54876

Злокачественная гигантоклеточная  опухоль возникает из доброкачественной (частота 10-20%). После операции возможно появление рецидива опухоли.

Катенёв Валентин Львович аватар
Не на сайте
Был на сайте: 6 лет 11 месяцев назад
Зарегистрирован: 22.03.2008 - 22:15
Публикации: 54876

Гигантоклеточная опухоль

Приложения: 
slayd1va.jpgslayd2va.jpgslayd3va.jpgslayd4va.jpgslayd5va.jpgslayd6va.jpgslayd7va.jpgslayd8va.jpgslayd9va.jpgslayd10va.jpgslayd11va.jpgslayd12va.jpgslayd13va.jpgslayd14va.jpgslayd15va.jpgslayd16va.jpgslayd17va.jpgslayd18va.jpgslayd19va.jpgslayd20va.jpgslayd21va.jpgslayd22va.jpgslayd23va.jpgslayd24va.jpgslayd25va.jpgslayd26va.jpg
Катенёв Валентин Львович аватар
Не на сайте
Был на сайте: 6 лет 11 месяцев назад
Зарегистрирован: 22.03.2008 - 22:15
Публикации: 54876

Продолжение

 

Приложения: 
slayd27va.jpgslayd28va.jpgslayd29va.jpgslayd30va.jpgslayd31va.jpgslayd32va.jpgslayd33va.jpgslayd34va.jpgslayd35va.jpgslayd36va.jpgslayd37va.jpgslayd38va.jpgslayd39va.jpgslayd40va.jpg