Сужение левого предсердно-желудочкового отверстия (митральный стеноз)
- Митральный стеноз, как правило, имеет ревматическое происхождение.
В ряде случае, у 20 % всех больных с поражением митрального клапана ревматический диагноз может отсутствовать. - В отдельных случаях этот порок является врожденным, сочетается с другими врожденными пороками
- Поражение эндокарда другой природы обычно не сопровождается развитием выраженного митрального стеноза, однако у отдельных больных, например, при адекватно леченном инфекционном эндокардите, могут определяться отдельные признаки нерезкого сужения атриовентрикулярного отверстия без выраженного нарушения внутрисердечной гемодинамики

Створки клапана обычно утолщены, сращены между собой; иногда эти сращения выражены нерезко и относительно легко разделяются при оперативном вмешательстве. Эта форма стеноза носит название "пиджачной петли".
В других случаях сращение створок клапана сопровождается выраженными склеротическими процессами с обезображиванием подклапанного аппарата, который не подлежит простой комиссуротомии. При этом митральное отверстие превращается в канал воронкообразной формы, стенки которого образуются створками клапана и припаянными к ним сосочковыми мышцами. Такой стеноз сравнивают с "рыбьим ртом". Последняя форма стеноза требует протезирования митрального клапана.

Ограничению подвижности створок способствует также кальцификация клапана.
Митральный стеноз нередко сопровождается и митральной недостаточностью, хотя у 1/3 больных с этим пороком бывает "чистое" сужение. Женщины составляют 75% больных митральным стенозом.
В норме площадь митрального отверстия составляет 4- 6 см2. При уменьшении этой площади вдвое достаточное наполнение кровью левого желудочка происходит лишь при повышении давления в левом предсердии. При уменьшении площади митрального отверстия до 1 см давление в левом предсердии достигает 20 мм рт. ст. В свою очередь, повышение давления в левом предсердии и в легочных венах приводит к повышению давления в легочной артерии (легочной гипертензии).
Умеренное повышение давления в легочной артерии может происходить в результате пассивной передачи давления из левого предсердия и легочных вен на артериальное русло легких. Более значительное повышение давления в легочной артерии обусловлено рефлекторно вызываемым спазмом артериол легких из-за повышения давления в устьях легочных вен и левом предсердии.
При длительно существующей легочной гипертензии возникают органические склеротические изменения артериол с их облитерацией. Они необратимы и стойко поддерживают высокий уровень легочной гипертензии даже после устранения стеноза.
Нарушения внутрисердечной гемодинамики при этом пороке характеризуются прежде всего некоторым расширением и гипертрофией левого предсердия и, одновременно, гипертрофией правых отделов сердца. В случаях чистого митрального стеноза левый желудочек практически не страдает, и его изменения указывают на митральную недостаточность или другое сопутствующее заболевание сердца.
Клиническая картина.
Заболевание длительно может оставаться почти бессимптомным и обнаруживаться при случайном врачебном осмотре.
При достаточно выраженном стенозе, на тон или ином этапе заболевания, прежде всего появляется одышка при физическом напряжении, а затем и в покое.
Одновременно могут быть кашель, кровохарканье, сердцебиение с тахикардией, нарушение ритма сердца в виде экстрасистолии, мерцательной аритмии. В более тяжелых случаях митрального стеноза периодически может возникать отек легких в результате значительного повышения давления в малом круге кровообращения, например, при физическом напряжении.
Приблизительно у 1/10 больных отмечаются упорные боли в области сердца, обычно в связи с выраженной легочной гипертензией.
При осмотре больного с митральным стенозом выявляется акроцианоз, нередко своеобразный румянец на щеках. Больные обычно выглядят моложе своего возраста.
На верхушке сердца может пальпироваться своеобразное дрожание, соответствующее диастолическому шуму при аускульптации сердца (так называемое, мурлыканье). В подложечной области, при достаточно выраженной гипертрофии правого сердца, возможна пульсация.
При перкуссии сердца его верхняя граница определяется не по нижнему, а по верхнему краю III ребра или во втором межреберье. При аускульптации на верхушке выслушивается хлопающий I тон; через 0,06- 0,12 с после II тона определяется добавочный тон открытия митрального клапана.
Для порока характерен диастолический шум, более интенсивный в начале диастолы, или чаще в пресистоле, в момент сокращения предсердий.
При мерцательной аритмии пресистолический шум исчезает. При синусовом ритме шум может выслушиваться только перед I тоном (пресистолический).
У некоторых больных при митральном стенозе шумы в сердце отсутствуют, могут не, определяться и указанные изменения тонов сердца ("молчаливый" митральный стеноз), что обычно встречается при незначительном сужении отверстия. Но и в таких случаях выслушивание после физической нагрузки в положении больного на левом боку может выявить типичные аускульптативные признаки митрального стеноза.
Аускультативная симптоматика бывает атипичной и при выраженном, далеко зашедшем митральном стенозе, особенно при мерцательной аритмии и сердечной недостаточности, когда замедление кровотока через суженное митральное отверстие приводит к исчезновению характерного шума.
Уменьшению тока крови через левое предсердно-желудочковое отверстие способствует образованию тромба в левом предсердии. Частой локализацией тромба является ушко левого предсердия и при больших тромбах - в полости левого предсердия.
При чистом митральном стенозе может быть также мягкий систолический шум I- II степени громкости, который лучше всего выслушивается на верхушке сердца и вдоль левого края грудины. По-видимому, это шум изгнания, связанный с большими изменениями подклапанного аппарата сердца. Возможен акцент II тона на легочной артерии. При высокой легочной гипертензии во втором межреберье слева иногда прослушивается диастолический шум- шум Грехема Стилла, обусловленный регургитацией крови из легочной артерии в правый желудочек при относительной недостаточности клапана легочной артерии в связи с выраженной легочной гипертензией. Также может выслушиваться систолический тон изгнания над легочной артерией. Эти феномены обычно возникают тогда, когда давление в легочной артерии в 2- 3 раза превышает норму. При этом часто развивается и относительная недостаточность трехстворчатого клапана, которая проявляется грубым систолическим шумом в области абсолютной тупости сердца у края грудины. Этот шум усиливается на вдохе и уменьшается во время форсированного выдоха.
Инструментальные исследования
На ранней стадии заболевания рентгенологические изменения могут отсутствовать. Начальные рентгенологические признаки митрального стеноза выявляются при исследовании больного в косых положениях с приемом бария.
Наблюдается отклонение пищевода на уровне левого предсердия по крутой дуге радиусом 4- 5 см. На более поздних стадиях, в типичных случаях отмечается расширение второй и третьей дуг левого контура сердца. При тяжелом митральном стенозе определяются увеличение всех камер сердца и сосудов выше сужения, кальцификация створок митрального клапана.
На ЭКГ выявляют расширение и зазубренность зуба Р в I и II отведениях, что указывает на перегрузку и гипертрофию левого предсердия. В дальнейшем, в связи с прогрессированием гипертрофии правого желудочка, отмечается тенденция к правому типу ЭКГ, увеличение зубца R в правых грудных отведениях и другие изменения.
Нередко, иногда уже на ранних стадиях митрального стеноза, возникает мерцательная аритмия.
Эхокардиография является наиболее чувствительным и специфичным неинвазивным методом диагностики митрального стеноза. При записи в М-режиме обнаруживают отсутствие существенного разделения в диастолу передней и задней створок митрального клапана, однонаправленное их движение, снижение скорости прикрытия передней створки, увеличение левого предсердия при нормальном размере левого желудочка. Выявляются также деформация, утолщение, кальцификация створок.
После появления признаков нарушения кровообращения, на фоне лекарственной терапии через 5 лет, умирает до половины больных.
Диагностика и дифференциальная диагностика.
В практической деятельности врача распознавание митрального стеноза основывается прежде всего на аускультативных данных. Однако в ряде случаев его аускульптативные признаки (диастолический шум на верхушке, хлопающий I тон, тон открытия) могут отсутствовать. Это часто бывает у лиц пожилого возраста, при мерцательной аритмии и, особенно при сочетании этих факторов. В таких случаях мысль о возможности митрального стеноза может возникнуть при выслушивании лишь тона открытия митрального клапана, выраженной правограмме на ЭКГ и типичной для этого порока конфигурации сердца.
Причиной атипичности аускультативной картины могут быть как слабая выраженность митрального стеноза, так и значительное изменение сердечной мышцы в результате ИБС.
Наряду с этим, аускулътативные признаки, характерные для митрального стеноза, могут появиться при ряде других патологических состояний. Так, пресистолический шум на верхушке сердца иногда определяют при недостаточности клапана аорты (шум Флинта), при стенозе трехстворчатого клапана, когда шум может отчетливо выслушиваться и в проекции митрального клапана; при тяжелой легочной гипертензии различного происхождения, наряду с шумом Грехема Стилла.
Наиболее трудной бывает дифференциальная диагностика митрального стеноза с миксомой левого предсердия, при которой может выслушиваться не только диастолический шум с пресистолическим усилием, но и хлопающий I тон на верхушке и тон открытия митрального клапана. Тон открытия митрального клапана можно смешать с дополнительным тоном в диастоле при констриктивном перикардите.
Громкий I тон наблюдается при тиреотоксикозе и других состояниях, сопровождающихся гиперкинетическим кровообращением, что при тахикардии и систолическом шуме может вызвать подозрение на митральный порок.
При длительной легочной гипертензии у больных с митральным стенозом расширение легочной артерии иногда приводит к возникновению ее аневризмы.
После своевременно проведенной закрытой комиссуротомии частой причиной ухудшения состояния больного является развитие митрального рестеноза.
Повторные операции в связи с этим производятся у 1/3 больных, истинная же частота рестенозов - по некоторым оценкам встречается у 2/3 больных. По-видимому, главной причиной рестеноза является рецидивирование ревматического процесса, но не исключается неполное разделение комиссур при пальцевой комиссуротомии.
В течении митрального стеноза выделяют три периода.
В первом периоде, при котором степень сужения умеренная, достигается полная компенсация порока гипертрофированным левым предсердием. При этом могут сохраняться работоспособность и отсутствовать какие-либо жалобы.
Во втором периоде, когда гипертрофированное левое предсердие уже не может полностью компенсировать нарушение внутрисердечной гемодинамики, возникают те или иные признаки застоя в малом круге кровообращения. Вначале сердцебиение, одышка, кашель (иногда с примесью крови в мокроте) возникают лишь при физической нагрузке. В некоторых случаях возможно появление длительных болей типа кардиалгии. Одышка и цианоз имеют тенденцию к нарастанию.
В третьем периоде, при легочной гипертонии, развиваются гипертрофия и дилатация правого желудочка. Появляются характерные симптомы правожелудочковой недостаточности, набухание шейных вен, увеличение печени, отеки, асцит, гидроторакс; нарастает истощение.
Недостаточность митрального клапана
В отличие от митрального стеноза, митральная недостаточность может возникнуть в результате многих причин, таких как:
- Ревматизм - наиболее тяжелое поражение самих створок митрального клапана с развитием выраженной регургитации (чаще в сочетании с сужением левого венозного отверстия)
- Инфекционном эндокардите
- Разрыв створок в результате травмы или спонтанных
- Отрыв попилярных мышц митрального клапана при инфарктах миокарда
Поражение митрального клапана с его недостаточнотью может быть также при ряде системных заболеваний:
- Системной красной волчанке
- Ревматоидном артрите
- Системной склеродермии
- Эозинофильном эндокардите Леффлера и др
Обычно при этих заболеваниях регургитация через митральное отверстие невелика, лишь в редких случаях она бывает значительной и требует протезирования клапана.
Изменение створок митрального клапана с его недостаточностью, в сочетании с другими дефектами, может быть проявлением врожденного порока сердца.
Иногда повреждение створок является следствием системного дефекта соединительной ткани, например, при синдромах Элерса- Данло, Марфана.
К митральной недостаточности без патологии створок клапана может приводить изменение хорд: их отрыв, удлинение, укорочение и врожденное неправильное расположение, а также - повреждение папиллярных мышц.
Митральная недостаточность возникает также в результате расширения полости левого желудочка и фиброзного кольца митрального клапана без повреждения клапанного аппарата (так называемая, относительная митральная недостаточность). Это возможно при поражении миокарда левого желудочка в результате прогрессирования артериальной гипертензии, аортальных пороков сердца, атеросклеротического кардиосклероза, застойкой кардиомиопатии, тяжелых миокардитов.
При значительной митральной недостаточности наблюдаются следующие расстройства внутрисердечной гемодинамики. Уже в начале систолы, до открытия створок аортального клапана, в результате повышения давления в левом желудочке, происходит возврат крови в левое предсердие. Он продолжается в течение всей систолы желудочка.
Величина регургитации крови в левое предсердие зависит от размеров клапанного дефекта, градиента давления в левом желудочке и левом предсердии.
В тяжелых случаях она может достигнуть 50- 75% общего выброса крови из левого желудочка. Это приводит к увеличению диастолического давления в левом предсердии. Его объем также увеличивается, что сопровождается большим наполнением левого желудочка в диастолу с увеличением его конечного диастолического объема.
Такая повышенная нагрузка на левый желудочек и левое предсердие приводит к дилатации камер и гипертрофии их миокарда. Таким образом, в результате митральной недостаточности увеличивается нагрузка левых камер сердца. Повышение давления в левом предсердии вызывает переполнение венозного отдела малого круга кровообращения и застойные явления в нем.
Для прогноза у больного митральной недостаточностью имеет значение не только выраженность застойной недостаточности кровообращения, но и состояние миокарда левого желудочка, которое можно оценить по его конечному систолическому объему. При нормальном конечном систолическом объеме (30 мл/м2) или его умеренном увеличении (до 90 мл/м2) больные обычно хорошо переносят операцию протезирования митрального клапана.
При значительном увеличении конечного систолического объема прогноз существенно ухудшается.
Клиническая картина.
Проявление митральной недостаточности широко варьирует и зависит в основном от степени повреждения клапана и выраженности регургитации в левое предсердие.
Тяжелое поражение клапана с чистой митральной недостаточностью наблюдается относительно редко.
При регургитации 25- 50% выявляются признаки расширения левых камер сердца и сердечная недостаточность.
При небольшой регургитации, обусловленной незначительным повреждением створок митрального клапана или чаще другими факторами, определяются только систолический шум на верхушке сердца и небольшая гипертрофия левого желудочка, а другие объективные признаки и жалобы у больных могут отсутствовать.
Жалобы больных при митральной недостаточности бывают связаны с сердечной недостаточностью, прежде всего с застоем в малом круге кровообращения. Отмечаются сердцебиение и одышка, возникающая сначала при физическом напряжении.
Острая сердечная недостаточность с отеком легкого бывает значительно реже, чем при митральном стенозе, так же как и кровохарканье. Застойные явления в большом круге кровообращения (увеличение печени, отеки) появляются поздно, прежде всего у больных с мерцательной аритмией.
При исследовании сердца отмечают гипертрофию и дилатации левого желудочка, левого предсердия, а позже, и правого желудочка: верхушечный толчок несколько усилен и смещен влево, иногда вниз, верхняя граница сердца - по верхнему краю III ребра.
Инструментальные исследования
Изменение размеров камер сердца сердца особенно четко выявляется при рентгеновском исследовании.
При выраженной митральной недостаточности увеличено левое предсердие, что еще более четко выявляется в косых положениях с одновременный приемом бария. В отличие от митрального стеноза, пищевод отклоняется кзади предсердием по дуге большого радиуса (8- 10 см).
На ЭКГ определяют признаки гипертрофии левого желудочка, а также увеличение левого предсердия и иногда - мерцание предсердий. Приблизительно у 15% больных обнаруживают признаки гипертрофии правого желудочка, что указывает на имеющуюся легочную гипертензию.
Диагностика митральной недостаточности наиболее достоверна при левожелудочковой вентрикулографии, когда контрастное вещество через катетер вводят непосредственно в полость левого желудочка.
Для диагностики этого порока важны и данные эхокардиографии, позволяющие уточнить увеличение и гипертрофию левого желудочка и левого предсердия. Сочетанное применение эхокардиографии и цветной допплерэхографии надежно выявляет обратный ток крови из левого желудочка в левое предсердие и даже его выраженность.
Диагностика и дифференциальная диагностика
Чаще всего подозрение на митральную недостаточность возникает при аускультации сердца.
При выраженной регургитации вследствие повреждения клапанов, I тон на верхушке обычно ослаблен.
У большинства больных имеется систолический шум, начинающийся сразу за I тоном; он продолжается в течение всей систолы. Шум чаще всего убывающий или постоянный по интенсивности, дующий.
Зона выслушивания шума распространяется в подмышечную область, реже - в подлопаточное пространство, иногда шум проводится и в строну грудины, и даже до точки аорты, что обычно связано с аномалией задней створки митрального клапана.
Громкость систолического шума не зависит от выраженности митральной регургитации. Более того, при наиболее выраженной недостаточности митрального клапана, - шум может быть довольно мягким и даже отсутствовать. Систолический шум ревматической митральной недостаточности мало изменяется при дыхании, чем отличается от систолического шума, вызванного недостаточностью трехстворчатого клапана, который усиливается при глубоком вдохе и ослабевает при выдохе.
При незначительной митральной недостаточности систолический шум может выслушиваться только во второй половине систолы, как и при пролапсе митрального клапана. Систолический шум на верхушке при митральной регургитации напоминает шум при дефекте межжелудочковой перегородки, однако, последний более громок у левого края грудины и иногда сопровождается систолическим дрожанием в той же области.
У больных с остроразвившейся митральной регургитацией в результате отрыва хорды задней створки митрального клапана, иногда возникает отек легких, при этом возвратная струя крови может приводить к появлению систолического шума, наиболее выраженного на основании сердца.
При отрыве хорды, прикрепленной к передней створке, систолический шум может проводиться в межлопаточное пространство. В этих случаях обычно развивается легочная гипертензия, что сопровождается акцентом II тона на легочной артерии.
Весьма трудно бывает отличить ревматическую митральную недостаточность с небольшим повреждением клапана от митральной регургитации, вызванной другими причинами. При этом следует искать клинические симптомы указанных выше заболеваний.
Появление систолического шума у ребенка старше 8 лет после ревматической атаки свидетельствует в пользу ревматической митральной недостаточности.
Если при этом нет существенных изменений конфигурации и размеров камер сердца, то следует говорить о формирующейся недостаточности митрального клапана.
При отсутствии динамики размеров камер сердца в течение нескольких лет и сохранении шума, возникшего в период ревматической атаки, по нашему мнению, можно предполагать наличие ревмосклероза митрального клапана или пролапса его створок.
При обнаружении систолического шума на верхушке следует помнить о большой распространенности функциональных (случайных) систолических шумов. В отличие от митрального порока, эти шумы редко достигают III степени громкости; обычно это систолические шумы изгнания (а не регургитации, как при митральной недостаточности) и поэтому они усиливаются при понижении давления после приема амилнитрита или нитроглицерина. Они не сопровождаются ослаблением I тона и выслушиваются чаще кнутри от верхушки, редко распространяясь на подмышечную впадину.
Такой шум обычно занимает только часть систолы и по тембру более "мягкий", существенно меняется при изменении положения тела и при физической нагрузке.
Для подтверждения диагноза митральной недостаточности весьма ценны дополнительные методы исследования.
В ряде случаев, при несомненной митральной недостаточности, трудно уточнить этиологию порока.
Следует иметь в виду возможность появления регургитации при инфаркте миокарда с вовлечением сосочковых мышц, а также развитие синдрома дисфункции папиллярных мышц.
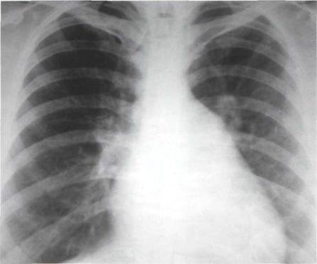
Митральный стеноз рентгенологическое исследование
Изменения рентгенографической конфигурации сердца в переднезадней проекции обусловлены, прежде всего, сглаживанием талии из-за увеличения полости левого предсердия и его ушка с расширением третьей дуги по левому контуру сердечной тени
Рентгенограмма сердца в переднезадней проекции больного с митральным стенозом. Митральная конфигурация сердца
Увеличение размеров сердечной тени при митральном стенозе не столь велико, как при митральной недостаточности. В большинстве случаев поперечник сердца увеличивается равномерно в обе стороны. Степень выбухания и протяженность третьей дуги соответствуют размерам ушка левого предсердия. За - падение третьей дуги отмечается у больных, перенесших закрытую митральную комиссуротомию, что соответствует маленькому, сморщенному или перевязанному, а иногда ротированному кзади ушку левого предсердия. При западении третьей дуги можно
Предполагать тромбоз ушка левого предсердия, которое обычно сморщивается. Часто при увеличении левого предсердия выявляется добавочная дуга на фоне верхней половины сердечной тени близ правого контура или она непосредственно участвует в образовании правого контура. Добавочная дуга обрисовывает нижний правый контур левого предсердия, что на фоне тени сердца выглядит как тень двойной интенсивности из-за значительного увеличения переднезаднего размера левого предсердия. Особенностью сердечной тени у больных митральным стенозом в переднезадней проекции является хорошая дифференциация дуг левого контура из-за подчеркнутой выпуклости ушка левого предсердия и легочной артерии.
Вследствие увеличения третьей дуги размеры дуги левого желудочка могут быть относительно уменьшены. Иногда верхушка сердца слегка приподнимается над диафрагмой из-за оттеснения ее влево и вверх правым желудочком, размеры которого при высокой степени легочной гипертензии преобладают над размерами левого желудочка .
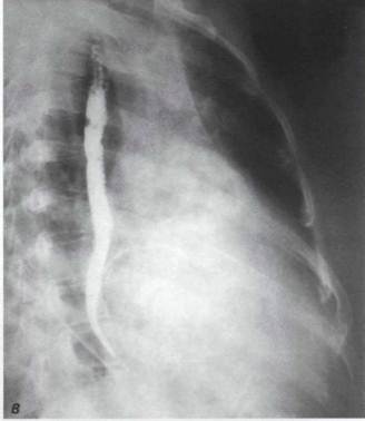
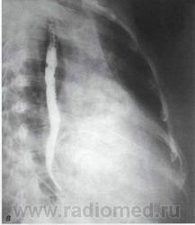
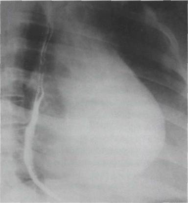
Правая (первая) косая проекция
В правой передней косой проекции определяются ранние и самые выразительные признаки увеличения левого предсердия. При этом тень сердца проступает в ретрокардиальное пространство, частично или полностью занимая его, или даже накладываясь на тень позвоночника.
По мере увеличения левого предсердия пищевод, тесно прилегающий к его задней стенке, отклоняется кзади и вправо. Степень уменьшения ретрокардиаль - ного пространства, протяженность дуги и ее радиус воспроизводят форму левого предсердия и позволяют судить о степени его увеличения. При чистом или преобладающем митральном стенозе отклонение пищевода происходит по дуге малого радиуса.
Рентгенологические признаки дилатации левого предсердия в правой косой проекции с контрастированным пищеводом: а, б, в - I, II и III степени увеличения левого предсердия.
В норме ретрокардиальное пространство на уровне левого предсердия составляет не менее 3 см. При первой степени увеличения левого предсердия ретрокардиальное пространство сужено до половины. При второй степени контрастированный пищевод располагается уже в задней половине ретрокарди - ального пространства. При третьей степени тень сердца и контрастированный пищевод накладываются на тень позвоночника .
Заметно все большее отклонение контрастированного пищевода кзади и сужение ретрокардиального пространства.
В левой передней косой проекции лучше выявляется увеличение левого предсердия (кзади и вверх) и путей притока правого желудочка. К признакам увеличения левого предсердия относятся уменьшение размеров «светлого треугольника» между левым главным бронхом, задним контуром левого предсердия и передним контуром позвоночника, его полное исчезновение и наложение тени левого предсердия на тень позвоночника. Ясные очертания заднего контура сердца можно получить, используя большой (около 70°) угол поворота. Иногда при этом удается уловить небольшое углубление - инцизуру - на границе между левыми предсердием и желудочком, которая при митральном стенозе значительно смещается книзу из-за увеличения левого предсердия. По той же причине контур левого предсердия часто резко выступает кзади по сравнению с контуром левого желудочка.
Нередко в левой передней косой проекции имеются рентгенологические признаки увеличения левого желудочка. Эти признаки являются мнимыми и обусловлены смещением левого желудочка кзади, влево и книзу увеличенными правым желудочком и левым предсердием.
Однако при сочетании митрального стеноза и недостаточности такая картина соответствует истинному увеличению левого желудочка. В левой передней косой проекции отмечаются признаки увеличения правых полостей сердца: более выраженное, чем в норме, проступание контуров
правых отделов сердца кпереди и увеличение образованной ими дуги в вертикальном направлении.
Обызвествление клапанов сердца является довольно частым исходом ревматического вальвулита. Обызвествления митрального клапана лучше всего определяются при флюороскопии в правой передней косой проекции.
Обызвествления митрального клапана при митральном стенозе
При этом атриовентрикулярная перегородка располагается перпендикулярно плоскости проекции, что позволяет получить профильное изображение обызвествленного клапана. Кальцина - ты имеют вид полосы длиной до 4 см, состоящей из множественных мелких теней, либо двух крупных узлов, расположенных на концах этой полосы или в виде солитарных узлов. Края полосы соответствуют комиссурам клапана: верхний - переднелатеральной комиссуре, нижний - заднемедиальной комиссуре. Большая длина полосы в проекции митрального клапана говорит о распространении обызвествления на фиброзное кольцо. В левой передней косой проекции кальцинированный митральный клапан имеет вид полукольца или даже полного кольца, проецируясь в области задней трети сердечной тени ближе к позвоночнику. Обызвествление митрального клапана не всегда является исходом только ревматического поражения. Оно может быть и атеросклеротической природы у людей пожилого возраста. Кальциноз митрального клапана встречается при длительно существующем Пороке, но может быть обнаружен даже у подростка. У женщин обызвествление клапанов встречается вдвое реже, чем у мужчин.
При выявлении внутрисердечных кальцинатов следует помнить о возможности обызвествления стенки левого предсердия, которое представляет собой редкое осложнение ревматического поражения сердца с длительным и тяжелым течением. Эти обызвествления выглядят как обширная пятнистая или кольцевидная тень, охватывающая полость левого предсердия в виде скорлупы.
Обызвествление стенки левого предсердия.
Недостаточность митрального клапана по сравнению с митральным стенозом отличается большими размерами сердца. Особенно значительно увеличиваются левое предсердие и левый желудочек. Преимущественное увеличение размеров этих полостей лежит в основе многих рентгенологических признаков митральной недостаточности.
Переднезадняя проекция
Правый атриовазальный угол часто смещен вверх. Но не из-за увеличения правых отделов сердца, а потому, что у этих больных в его образовании участвует выходящее на правый контур значительно увеличенное левое предсердие.
Для формы сердца при митральной недостаточности, как и при митральном стенозе, характерно отсутствие талии, однако при митральной недостаточности форма сердца отличается значительно большим разнообразием, т. к. зависит от направления, в котором происходит увеличение левого предсердия, что, в свою очередь, определяется локализацией дефекта в клапане и направлением струи регургитации крови. Часто отмечается резкое расширение третьей дуги левого контура, обусловленное перерастяжением ушка левого предсердия. Однако изменения левого контура нередко ограничиваются лишь выравниванием талии или незначительным выбуханием третьей дуги. Резкое увеличение левого предсердия преимущественно вправо образует добавочную дугу на правом контуре, отличающуюся от таковой при митральном стенозе большими размерами и гораздо большим расширением в правое легочное поле. Иногда контуры левого предсердия равномерно и резко расширены в обе стороны в верхних отделах сердечной тени, придавая сердцу сходство с «фигурой желудя». В других случаях огромное аневризматически расширенное левое предсердие прилегает к диафрагме справа или выступает влево в виде добавочного образования средостения . Вслед за увеличением размеров левого предсердия происходит расширение тени левого желудочка. Увеличение объема этой полости также зависит от степени регургитации крови через митральный клапан.
Правая (первая) косая проекция
При митральной недостаточности, в отличие от митрального стеноза, в правой передней косой проекции нет резкого расширения дуги конус пульмоналис и между передним контуром сердца и реберной границей остается свободным широкое клиновидное пространство. При митральной недостаточности контрастированный пищевод в правом переднем косом положении отклоняется кзади по дуге большого радиуса (рис. 35). Из-за резкого увеличения левого предсердия и атрофических изменений клетчатки средостения пищевод приобретает чрезмерную подвижность. При этом в течение одной рентгеноскопии он может изменять свое положение. Это явление носит название «соскальзывания» пищевода с левого предсердия.
Отклонение контрастированного пищевода при митральной недостаточности в правой косой проекции
Левая (вторая) косая проекция
При митральной недостаточности в левой передней косой проекции почти всегда определяется увеличение левого желудочка, но по степени выраженности оно часто уступает увеличению левого предсердия. Если левое предсердие увеличивается влево и кзади, то в левом переднем косом положении его контур резко расширяется кзади в виде дуги, значительно превосходящей выпячивание дуги левого желудочка. Очертания дуги аорты при митральной недостаточности не изменены. Только при «функциональном стенозе», когда ударный объем левого желудочка уменьшается, аорта становится узкой, гипопластичной.
В переднезадней проекции на границе третьей и четвертой дуг левого контура сердца определяется «симптом коромысла» - асинхронные движения левого предсердия и левого желудочка, вызванные регургитацией крови в левое предсердие
Митральная недостаточность. Рентгенограмма сердца в переднезадней проекции. Схематически изображены движения «коромысла» на левом контуре сердца - между левым предсердием и левым желудочком
В левой передней косой проекции движения коромысла видны на заднем контуре сердца, верхний край которого образуется левым предсердием, а нижний - левым желудочком.
Важным и довольно часто встречающимся признаком митральной недостаточности служит пульсация правого корня легкого. Это передаточная пульсация с прилежащего левого предсердия со смещением корня кнаружи в систолу желудочка. Пульсация корня иногда отмечается и при митральном стенозе, но она не достигает такой глубины.
Гемосидероз легких, как одно из проявлений нарушения легочной гемодинамики у больных митральным стенозом, является следствием длительно существующей легочной гипертензии. Частота гемосидероза при митральном стенозе достигает 6% .
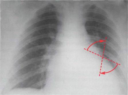
Простой признак легочной гипертензии - увеличение диаметра и протяженности дуги легочной артерии как в переднезадней, так и в правой передней косой проекциях
Степень расширения легочной артерии довольно хорошо коррелирует со степенью легочной гипертензии, поэтому для ее количественной оценки используется индекс Moore - выраженное в процентах отношение расстояния от средней линии до точки наибольшей выпуклости дуги легочной артерии к половине базального диаметра грудной клетки. В норме при среднем типе телосложения этот индекс равен 18,4% у мужчин и 20,1% у женщин . Для легочной гипертензии характерно сохранение структуры корня и четкие его очертания. Калибр артериальных сосудов в прикорневых зонах, а иногда и в средних зонах, увеличен. Достаточно часто отмечается их извитость, внезапный обрыв - «ампутация». В отличие от венозного застоя при легочной гипертензии сосудистый рисунок (преимущественно артериальный) отчетливо выделяется на прозрачном фоне легочных полей, а в периферических зонах не дифференцируется. При митральном стенозе наряду с расширением артериальных сосудов отмечается сужение вен, в то время как при недостаточности митрального клапана, наоборот, расширены венозные сосуды при неизмененном диаметре артериальных, что имеет значение для дифференциального диагноза стеноза и недостаточности при митральном пороке.
При венозном застое в легких отмечается расширение теней корней легких, повышение их интенсивности, гомогенизация, размытость очертаний. В прикорневых зонах виден сложный полиморфный легочный рисунок.
Он прослеживается на всем протяжении легочных полей до наружных границ, постепенно ослабевая к периферии. Отмечается общее понижение прозрачности легочных полей. При венозном застое элементы легочного рисунка не имеют четких очертаний, на фоне обильных мелких теней плохо дифференцируются тени крупных артериальных стволов [7,11-13]. Ранний признак венозного застоя в легких - расширение вен в верхних долях легких. Это связано с перераспределением кровотока в виде «краниали - зации». При этом сосуды верхних сегментов расширяются, ветви базальных сегментов спазмируют - ся. Формируется симптом «оленьих рогов». При митральном стенозе хронический интерстици - альный отек легочной ткани может проявляться признаком нарушения лимфообращения с формированием «перегородочных» или «горизонтальных линий», описанных в 1958 г. Р. Кег1еу . Существует три типа линий - А, В и С. Чаще всего встречается тип В. Эти линии имеют вид ясно очерченных линейных теней шириной не более 2 мм (редко до 3-4 мм) и длиной от 5 до 30 мм, располагающихся в периферических отделах легочных полей над костодиафраг - мальными синусами. Эти «перегородочные линии» обычно бывают множественными от 2-3 до 10-15. Они дифференцируются на рентгенограммах в прямой и косых проекциях с обеих сторон, чаще справа в нижней доле, на расстоянии приблизительно 1 см друг от друга. Линии расположены горизонтально и направлены перпендикулярно к висцеральной плевре, соприкасаясь с ней слегка расширенным наружным концом.
Линии Кег1еу - типы А и В
Частота «перегородочных линий» при митральном стенозе превышает 30%. Реже определяются линии типа А. По поводу причин появления этих линий нет единого мнения. Ряд авторов считает, что это тень единичного расширенного лимфатического сосуда. Другие объясняют наличие этих линий отеком малой междолевой плевры, что соответствует «плевральным линиям». Локализация линий типа А соответствует уровню четвертого ребра. Они направляются справа горизонтально или сверху вниз к корню легкого. Появление линий типа С обусловлено наличием дисковид- ных ателектазов диаметром до 7 мм и длиной 2-5 см. «Перегородочные» и «плевральные линии» - один из самых динамичных рентгенологических признаков изменений легочного рисунка при митральном стенозе. Их исчезновение свидетельствует об эффективности лечения.
Большое спасибо за выставленный материал!Для меня очень познавательно и нужно!
Продолжение
Продолжение.
"Азбука" болезней сердца
http://www.learningradiology.com/lectures/cardiaclectures/abcs2012/ABCs%20of%20Heart%20Disease/ABCs%20of%20Heart%20Disease.html
Недостаточность митрального клапана
http://radiopaedia.org/cases/mitral-valve-regurgitation
Первичная легочная гипертензия
Валентин Львович за интересный материал!
Прийди к Себе
Большое Вам спасибо, Валентин Львович, за интересную и доступно изложенную информацию! Очень полезно для начинающих рентгенологов (т.е. для таких, как я)!
Спасибо на добром слове уважаемая коллега.
Надеюсь чаще видеть Вас на нашем сайте.
Radiology Key
https://radiologykey.com/anatomy-5/
анатомия