Поиск
- « первая
- ‹ предыдущая
- …
- 7
- 8
- 9
- 10
- 11
- 12
- 13
- 14
- 15
- …
- последняя »
- следующая ›
101. ФЛГ
Мужчина 70 лет. Проф. Флг. Справа в в\д инфильтрация, ателектаз? Сейчас информации нет, как придет, доснимем правый бок и будет больше информации . Ваше мнение коллеги? Архива нет. Приехал с другого...
Тип: Клиническое наблюдение
Область: Грудная клетка и верхние дыхательные пути
Модальность: Rg
Дата: 09.11.2018 - 22:04
102. Гиповентиляция
Мужчина 1950 г.р. теряет весь,слабость,одышка 3 месяца. С района по знакомству. Лаборантка сняла только прямую. Возможно будет бок. Жалобы вычитал в карточке-осмотр терапевта. Коллеги на ателектаз...
Тип: Клиническое наблюдение
Область: Грудная клетка и верхние дыхательные пути
Модальность: Rg
Дата: 02.12.2018 - 17:37
Мужчина 1968 года. В 2014 году оперативное удаление аденокациномы. Архивные снимки за март 2018 год (только прямая проекция и сегодняшние снимки в двух проециях) . Это осумкованный плеврит или...
Тип: Клиническое наблюдение
Область: Другое
Модальность: Rg
Дата: 13.02.2019 - 11:13
104. Ателектаз?
Посмотрите пожалуйста, мужчина 1987г со спинальнлй травмой. Жалобы на повыщение температуры, снимок лёжа. Травма 21.06.19г переведён из другого мед. учреждения. Слева в нижней доле похоже на...
Тип: Клиническое наблюдение
Область: Грудная клетка и верхние дыхательные пути
Модальность: Rg
Дата: 23.08.2019 - 12:16
Женщина 54 лет, что доминирует - ушиб легкого, ателектаз, свернувшийся гемоторакс, гидроторакс или субплевральная гематома? Кт выполнена на 10 сутки после множественных переломов ребер.
Тип: Клиническое наблюдение
Область: Грудная клетка и верхние дыхательные пути
Модальность: КТ
Дата: 13.11.2019 - 08:14
106. Ателектаз.
Ателектаз верхушки правого лёгкого. Склеротические изменения. Трахею потянуло в поражённую сторону. Возможно состояние после перенесённого туберкулёза. Анамнеза нет, можно заподозрить центральный рак...
Тип: Клиническое наблюдение
Область: Грудная клетка и верхние дыхательные пути
Модальность: Rg
Дата: 29.10.2020 - 17:39
Пациент на каталке, одышка, архива нет. Гидроторакс? Почему нет окошка Прозорова? Да и средостение вроде на месте, возможно чуть в противоположную. Ателектаз? Тем более средостение явно не на стороне...
Тип: Клиническое наблюдение
Область: Грудная клетка и верхние дыхательные пути, Средостение и сердце
Модальность: Rg
Дата: 23.12.2020 - 09:06
108. ФЛГ4
Здравствуйте. ФЛГ. Женщина 1956г Жалоб нет. Подскажите справа в S3 тонкая полоска 1,7мм дисковидный ателектаз ? Принесла снимок за 1996г уже тогда это было.
Тип: Клиническое наблюдение
Область: Грудная клетка и верхние дыхательные пути
Модальность: Rg
Дата: 27.01.2021 - 09:04
Ж. 55 лет, падение, множ. переломы ребер слева. Гемопневмоторакс дренировали. ИВЛ 5-е сутки. После трахестомии через несколько часов левое легкое коллабировалось. Ателектаз какой этиологии?
Тип: Клиническое наблюдение
Область: Грудная клетка и верхние дыхательные пути
Модальность: Rg, КТ
Дата: 28.04.2022 - 11:09
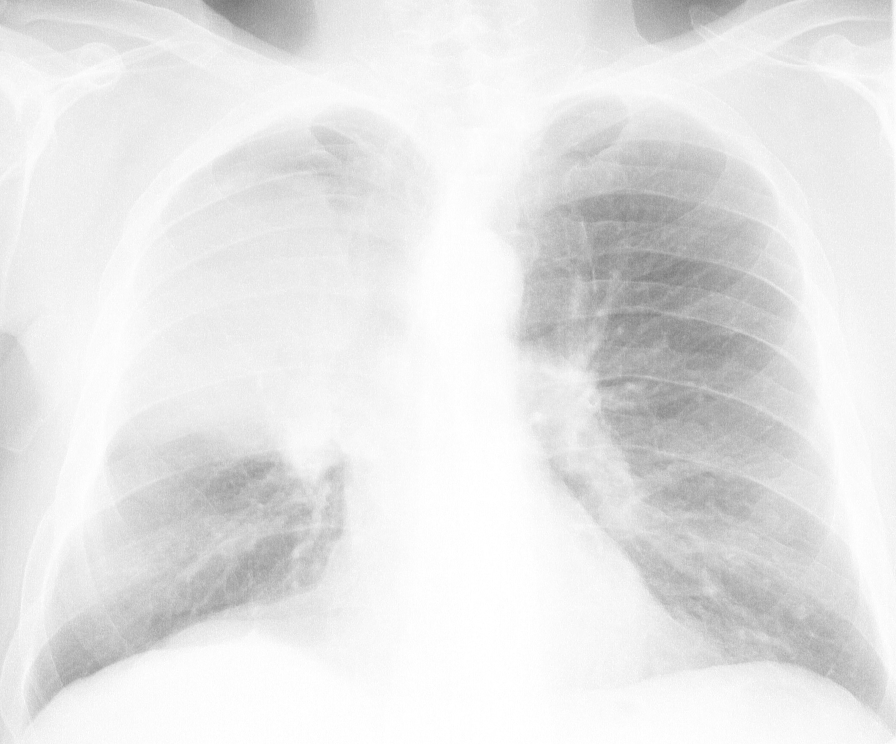
110. Р-ОГК
Добрый день. Посмотрите пожалуйста снимки . Мужчина 73г.р жалобы на кашель и второй день температура 40. Уж не ателектаз СД справа ? И слева интересно. Пациент не местный, архива нет.
Тип: Клиническое наблюдение
Область: Грудная клетка и верхние дыхательные пути
Модальность: Rg
Дата: 12.07.2023 - 09:17
- « первая
- ‹ предыдущая
- …
- 7
- 8
- 9
- 10
- 11
- 12
- 13
- 14
- 15
- …
- последняя »
- следующая ›



















