Поиск
- « первая
- ‹ предыдущая
- …
- 175
- 176
- 177
- 178
- 179
- 180
- 181
- 182
- 183
- …
- последняя »
- следующая ›
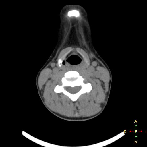
Уважаемые коллеги, помогите пожалуйста. Проводилось обследование МСКТ гортани, пациентка 40 лет, жалобы на осиплость голоса в течение последней недели, при физикальном осмотре ЛОР врачом - голосовые...
Тип: Тема форума
Дата: 10.12.2013 - 12:49
К нам в больницу в субботу поступил молодей человек, суицидальная попытка, (пытался повеситься), но его спасли. Привезли его в коме 2, сейчас он то в оглушении, то в сопоре (так написал анестезиолог...
Тип: Тема форума
Дата: 18.12.2013 - 23:27
1783. Как быть?
Здравствуйте, я молодой врач-рентгенолог. Вступила в профессию совсем недавно и сразу же оказалась перед неразрешимой для меня дилеммой. Помогите разобраться и найти выход. Дело в том, что меня хотят...
Тип: Тема форума
Дата: 12.01.2014 - 18:27
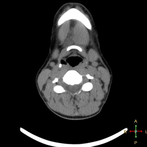
Добрый вечер! Помогите, пожалуйста,разобраться в МСКТ. Женщина, 55 лет. 27 января 2014г прооперировали по поводу ПРЩЖ с mts в лимфоузлы шеи , тиреоидэктомия с центральной лимфодиссекцией и футлярно-...
Тип: Тема форума
Дата: 03.03.2014 - 19:34
здравствуйте,уважаемые доктора!папе в апреле 2012 году поставили д-з рак носоглотки Т4N1М0.( гистология- недифференцированный рак) было выполнено комбинированное лечение ( 3 курса ПХТ, лучевая...
Тип: Тема форума
Дата: 15.11.2015 - 21:45
1786. Степени кифоза
Мучает вопрос, помогите разобраться. В последнем постановлении написано: "Угол кифотической деформации грудного отдела позвоночника измеряется на рентгенограммах в боковой проекции между линиями,...
Тип: Тема форума
Дата: 21.11.2015 - 20:53
1787. Разное 1
PDF ниже + ссылки: 3 слайд https://radiomed.ru/cases/zhidkost-v-perikarde 5 https://radiomed.ru/cases/kt-obp-omt-mnozhestvennye-obrazovaniya#new 7 https://radiomed.ru/cases/vnutrigrudnye-...
Тип: Презентация
Область: Спинной мозг и периферическая нервная система, Грудная клетка и верхние дыхательные пути, Средостение и сердце, Пищеварительная система
Модальность: КТ
Дата: 15.12.2015 - 08:08
1788. ОГК-4
PDF + ссылки 4 https://radiomed.ru/cases/pnevmoniya-10 6 https://radiomed.ru/cases/fibrozno-kavernoznyy-torakoplastika 8 https://radiomed.ru/cases/ostatochnye-yavleniya-pnevmoniitbc 11 https://...
Тип: Презентация
Область: Грудная клетка и верхние дыхательные пути
Модальность: КТ
Дата: 24.01.2016 - 15:33
1789. ОГК-7
4 https://radiomed.ru/cases/sarkoidoz-2 6 https://radiomed.ru/cases/kt-ogk-2 9 https://radiomed.ru/cases/pnevmoniya-25 11 https://radiomed.ru/cases/sovsem-melkaya-tela 13 https://radiomed.ru/cases/...
Тип: Презентация
Область: Грудная клетка и верхние дыхательные пути
Модальность: КТ
Дата: 19.02.2016 - 17:05
Здраствуйте,лечу глаз несколько месяцев начал слезиться,и неприятные ощущения,и веком постоянно неприятно моргать ,ходил к офтальмологам,один ставит птоз,другой косоглазие-это не шутка!Я пошёл делать...
Тип: Тема форума
Дата: 18.03.2016 - 15:07
- « первая
- ‹ предыдущая
- …
- 175
- 176
- 177
- 178
- 179
- 180
- 181
- 182
- 183
- …
- последняя »
- следующая ›





















