Поиск
- « первая
- ‹ предыдущая
- 1
- 2
- 3
- 4
- 5
- 6
- 7
- 8
- 9
- …
- последняя »
- следующая ›
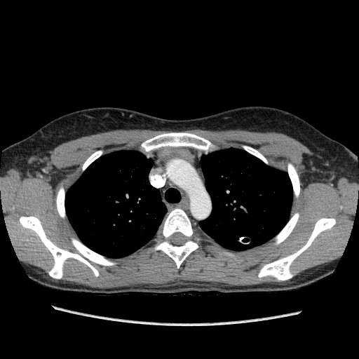
Коллеги помогите определиться. Девушка 1987 г.р. Со спонтанным пневмотораксом. Данных за миастению нет. На КТ случайная находка образование в переднем средостении. Похоже на тимому? или гиперплазия...
Тип: Клиническое наблюдение
Область: Грудная клетка и верхние дыхательные пути
Модальность: КТ
Дата: 14.10.2015 - 12:26
Мужчина 1940 г.р. направлен после УЗИ (образование левой почки). Вижу простые и осложненные кисты, а также множественные образования. Помогите пожалуйста определиться с генезом очаговых изменений в...
Тип: Клиническое наблюдение
Область: Мочеполовая система
Модальность: КТ
Дата: 04.11.2015 - 12:40
Здравствуйте уважаемые коллеги.Помогите определиться.Собственно пазухи дамы около 50 лет.Жалобы на головные боли.Пазуха справа уменьшенна проекционно или за счет гиперплазии слизистой?
Тип: Клиническое наблюдение
Область: Череп и головной мозг, Челюстно-лицевая область и шея
Модальность: Rg
Дата: 19.02.2016 - 22:06
Мужчина 59 лет, активно жалоб не предъявляет. Помогите определиться с изменениями в левом легком. Это плевральные наслоения, пневмофиброз. Выявлено случайно месяц назад на флюшке. Сейчас динамики...
Тип: Клиническое наблюдение
Область: Грудная клетка и верхние дыхательные пути
Модальность: Rg
Дата: 15.06.2016 - 18:27
25. Расшифровка КТ
Здравствуйте! Помогите пожалуйста в расшифровке МРТ и КТ. Врачи не могут однозначно сказать, что на снимках и соответственно не могут определится с дальнейшим лечением. Спасибо!
Тип: Тема форума
Дата: 24.03.2020 - 11:25
Не могу определится с патологией.
Тип: Клиническое наблюдение
Область: Скелетно-мышечная система
Модальность: Rg
Дата: 18.01.2018 - 12:15
Пациентка 25 лет, пришла по направлению от терапевта с диагнозом остеохондроз ПОП, из анамнеза - в течение года беспокоят боли в ПОП спонтанно и при физ. нагрузке, рожавшая, соматически без...
Тип: Клиническое наблюдение
Область: Скелетно-мышечная система
Модальность: Rg
Дата: 24.12.2011 - 07:03
Доброго времени суток, коллеги. Женщина, 65 лет. Дообследование левого плечевого сустава поле ФЛГ. Пациентку беспокоят периодические боли в левом плечевом суставе. Помогите определиться с заключением...
Тип: Клиническое наблюдение
Область: Скелетно-мышечная система
Модальность: Rg
Дата: 28.11.2013 - 16:25
Уважаемые коллеги, помогите, пожалуйста, с заключением. Образование средостения под вопросом. Мало опыта, не могу определиться, образование это или лимфоузел. В азальном отделе правого легкого...
Тип: Тема форума
Дата: 17.05.2014 - 13:38
В октябре 14 года я поставила остеомиелит под вопросом. В феврале 15 года другой доктор ставит асептический некроз таранной кости. В анамнезе флегмона голеностопного сустава.Сейчас боли, гнойный свищ...
Тип: Клиническое наблюдение
Область: Скелетно-мышечная система
Модальность: Rg
Дата: 19.11.2015 - 12:41
- « первая
- ‹ предыдущая
- 1
- 2
- 3
- 4
- 5
- 6
- 7
- 8
- 9
- …
- последняя »
- следующая ›


















