Поиск
- « первая
- ‹ предыдущая
- …
- 21
- 22
- 23
- 24
- 25
- 26
- 27
- 28
- 29
- …
- последняя »
- следующая ›
травма ДТП, множественный перелом ребер слева, рентгенограммы в динамике, помогите разобраться что за образование! отметил стрелками.
Тип: Клиническое наблюдение
Область: Грудная клетка и верхние дыхательные пути
Модальность: Rg
Дата: 24.08.2010 - 18:14
Уважаемые коллеги помогите с диагнозом. Мужчина лет 40 жалобы на боль иногда припухлость .
Тип: Клиническое наблюдение
Область: Скелетно-мышечная система
Модальность: Rg
Дата: 25.05.2011 - 19:50
Помогите разобраться, пожалуйста. Опыта нет. Такого не видел. Предполагаю последствия геморрагического инфаркта костного мозга плечевой кости.
Тип: Клиническое наблюдение
Область: Скелетно-мышечная система
Модальность: МРТ
Дата: 09.07.2011 - 22:37
очень срочно нужна диссертация Кириллова Наталья Юрьевна "Ультразвуковая диагностика острой кишечной непроходимости" живу не в России помогите
Тип: Тема форума
Дата: 21.01.2012 - 19:47
Помогите пожалуйста. Обратилась женщина 55 лет, беспокоят боли в коленных суставах и кистях рук. Имеется пяточная шпора в анамнезе.
Тип: Клиническое наблюдение
Область: Скелетно-мышечная система
Модальность: Rg
Дата: 24.02.2012 - 00:04
Если возможно помогите с диагнозом и степенью всего что там написанно в МРТ.Спасибо.
Тип: Тема форума
Дата: 21.04.2012 - 19:42
247. Пациент умер.
Помогите, пожалуйста с описанием! Снимок сделан в пять утра и вскоре после этого пациент умер. Жду историю...
Тип: Клиническое наблюдение
Область: Грудная клетка и верхние дыхательные пути
Модальность: Rg
Дата: 04.05.2012 - 10:03
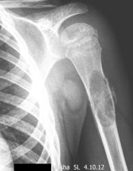
248. Просто киста?
Ребенок 5 лет.Травма накануне. Смущают линейные остеофиты по наружной и внутренней поверхностям. Уважаемые коллеги, пожалуйста, помогите разобраться.
Тип: Клиническое наблюдение
Область: Скелетно-мышечная система
Модальность: Rg
Дата: 05.10.2012 - 18:14
Помогите разобраться пожалуйста. 1 и 2. Это перелом? 3. Подвывиха вроде бы нет?
Тип: Клиническое наблюдение
Область: Скелетно-мышечная система
Модальность: Rg
Дата: 14.10.2012 - 15:55
Женщина 57 лет с направлением пяточная шпора! помогите с зоной просветления с подошвенной стороны пятки с тонким ободком склероза....
Тип: Клиническое наблюдение
Область: Скелетно-мышечная система
Модальность: Rg
Дата: 16.10.2012 - 17:08
- « первая
- ‹ предыдущая
- …
- 21
- 22
- 23
- 24
- 25
- 26
- 27
- 28
- 29
- …
- последняя »
- следующая ›










