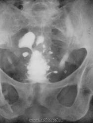
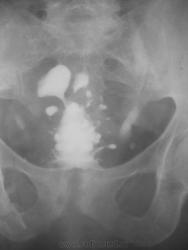
Архив. Выраженный хронический цистит. Цистография.

Пол пациента: 
Тип патологии: 
Область исследования: 
Методы исследования: 

Из архива кафедры. Нечасто встретишь такое. Цистография. Фаза тугого заполнения и после микции.

  • https://radiomed.ru/sites/default/files/styles/case_slider_image/public/user/1954/IMG_8627_0.JPG?itok=JzsFDByk
  • https://radiomed.ru/sites/default/files/styles/case_slider_image/public/user/12/1.Skelet..jpg?itok=BQFFpaWv
ID:607
Катенёв Валентин Львович аватар
Не на сайте
Был на сайте: 7 лет 2 недели назад
Зарегистрирован: 22.03.2008 - 22:15
Публикации: 54876

Видел от силы 3, но чтобы такую "махровость" - никогда. Интересно, чем объяснить заброс контраста в дистальные отделы мочеточников после опорожнения?

lupan аватар
Не на сайте
Был на сайте: 6 лет 10 месяцев назад
Зарегистрирован: 07.01.2010 - 17:17
Публикации: 1406

Видимо, недостаточность клапанной функции устья из-за рестриктивных изменений.

Великое преймущество врача заключается в том, что он не обязан следовать собственным советам. ( А. Кристи)

ЛГ аватар
Не на сайте
Был на сайте: 8 лет 10 месяцев назад
Зарегистрирован: 06.01.2010 - 12:31
Публикации: 3523

А это не множественные дивертикулы?

Анатолий Владимирович Шумаков аватар
Не на сайте
Был на сайте: 7 лет 10 месяцев назад
Зарегистрирован: 16.10.2009 - 21:16
Публикации: 1941

Такое сам вижу в первый раз, это кто то из наших корифеев обнаружил... Теперь смотрим скелет...

Nela аватар
Не на сайте
Был на сайте: 6 лет 4 недели назад
Зарегистрирован: 12.05.2009 - 20:43
Публикации: 1847

Это Вы на лонное сочленение нас направляете?

Анатолий Владимирович Шумаков аватар
Не на сайте
Был на сайте: 7 лет 10 месяцев назад
Зарегистрирован: 16.10.2009 - 21:16
Публикации: 1941

Но - Симфизит? Периферическая форма болезни Бехтерева?, Что-то ревматоидное или хламидийное наверняка есть, и может быть с дивертикулами связано... Проверить не сможем, но хоть согреемся?

Катенёв Валентин Львович аватар
Не на сайте
Был на сайте: 7 лет 2 недели назад
Зарегистрирован: 22.03.2008 - 22:15
Публикации: 54876

А вот под "согрев" и иллюстрации.

 

Приложения: 
1.SoGREV..jpg2.Sogrev.jpg3.Sogrev..jpg
Nela аватар
Не на сайте
Был на сайте: 6 лет 4 недели назад
Зарегистрирован: 12.05.2009 - 20:43
Публикации: 1847

Что-то было у Рейнберга про остит лонных костей, связанный с урологическими заболеваниями у пожилых пациентов. Один раз такое встречала. Вот нашла: Рейнберг, 2 том, стр. 485 (в диф. диангностике раковой костоеды). Может оно?

Анатолий Владимирович Шумаков аватар
Не на сайте
Был на сайте: 7 лет 10 месяцев назад
Зарегистрирован: 16.10.2009 - 21:16
Публикации: 1941

Эти Случаи нас научат...

stovbav аватар
Не на сайте
Был на сайте: 2 года 2 месяцев назад
Зарегистрирован: 20.12.2009 - 17:28
Публикации: 7066

В подтверждение наличия хр.симфизитов при хр.заболеваниях урогенитальной зоны - женщина, хр.цистит, специфические изменения лонного сочленения....

Приложения: 
hr_simfizit1.jpg
Катенёв Валентин Львович аватар
Не на сайте
Был на сайте: 7 лет 2 недели назад
Зарегистрирован: 22.03.2008 - 22:15
Публикации: 54876

Интересный случай.