«Девица-красавица», "Его Величество", "любовь - морковь"...

Пол пациента: 
Тип патологии: 
Методы исследования: 

«Девица-красавица»

История случая.

1. Пришла во флюорографический кабинет «тетка» (иначе назвать не возможно). У ней на «одном месте» вскочил прыщ (со слов тетки), и так как она «флюшку не проходила 3 года, работники регистратуры, перед записью к хирургу направили её для прохождения профилактической флюорографии. Тетка возражала, шипела, крыла всех «по матушке и по батюшке», но флюшка сделана была.

2. Как и следовало ожидать «тетка» была взята на контроль, было проведено дообследование согласно стандарту (рентгенография, линейная томография), был выявлено инфильтративный туберкулез верхушки правого легкого с распадом, с очагами отсева в верхнюю долю левого лёгкого. Отдельные очаги малой интенсивности, имели место быть слева в нижнем легочном поле. «палки» были обнаружены во множестве, и «тётка с прыщиком» была упакована и помещена в областную туббольницу.

3. На «теткино семейство» была накинута мелкая фтизиатрическая «рыболовная сеть», и все рядом живущие – «семейный клан» были доставлены в рентгеновский кабинет. Оказалось, что семейный клан состоит только из представительниц «прекрасного пола» и их детей. «Мужиков» в клане не оказалось, «мужики» были приходящие.

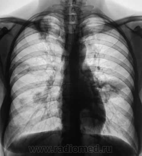
4. Это снимки одной из дочерей «тетки», у которой, как и у всякой любвиобильной дамы есть и ребеночек.

5. «Девица красавица» была дообследована соглано минимальному стандарту – томография. Микроскопия, тоже не подкачала. Пациентка была направлена в областную туббольницу, где было начато интенсивное специфическое лечение.

6. У ребеночка «девицы-красавиды» при линейной томографии справа были обнаружены значительно увеличенные лимфатические узлы, визуализировались и очаговые компоненты. Детские фтизиатры сразу же забрали дитя в областную детскую больницу, где ребеночек находится и по настоящее время.

7. Девица в течение 2-х месяцев получала лечение, но вдруг «исчезла» в неизвестном направлении. Оказалось, что режим туббольницы и «лихие гормоны» сводвигли «девицу», прямо в туббольнице на «половые услады».

Там, во «владениях фтизы», девица-красавица повстречала своего «Очередного Принца» - молодого «тубаря» с фиброзно-кавернозным туберкулёзом, с комплексно-устойчивой палкой, и пошла у них «штормовая любовь».

8. Но не даром говорят, что «человек предполагается», а «жизнь располагает». Принц закончив полный курс 4-месячного лечения, отказался от предлагаемой операции и выписался «по месту жительства». По всей видимости, облилось сердце девицы кровями по любимому, и она не долечившись 2 месяца, забыв ребеночка своего в областной детской туббольнице, сбежала. Не смогли их отыскать, и даже с милицией, и прочими гражданскими и фискальными органами.

9. Но у девицы, оказывается, была еще «одна вавочка» - «головка не того», и находилась она на учёте у психиатра. Таблетоны – колёсики закончились, и стала она совсем «никакая». И прокралась девица к психиатру, дабы заполучить «заветный» рецептик. А медсестра (психиатра) помятуя, что что-то было «не того» позвонила фтизиатру, и фтизиатр на крыльях полетел туда где девица ждала рецептика (не знал родимый фтизиатр какая новость его ожидает).

10. Сгреб фтизиатр «голубицу» в охапку и припер с мольбами в рентгеновский кабинет, дабы, хоть что-то отрентгенографировать.

11. Но, девица стала в позу, сказав, что «рентген» ей противопоказан, так как она беременная от Принца и оборт делать не собирается, так как ей будет положен «материнский капитал».

12. После этой новости бедный фтизиатр покачнулся и изменился в лице (девица принимала весь «тяжелый» спектр специфической терапии в туббольнице, да и препараты, выписываемые психиатром – не «фунт изюму»). На фтизиатра было больно смотреть. По всей видимости, он представил «то дитя» которое родится.

Вот то, что удалось сделать….

По всей видимости, надо привести информацию о «гнезде-семье».

1. Все представительницы прекрасного пола оказались поданными «Его Величества» от «очагового» до «диссеминированного и были «упакованы» в областную туббольницу, и все кроме «девицы-красавицы» прошли полный курс специфической терапии.

2. Детки (трое) все также находились на излечении в детской туббольнице, а в последующем были определены в детский противотуберкулёзный санаторий.

3. «Приходящее» мужское население данного села, в данную семью вычислено не было, так как, по образному, выражению батюшки (попа), а батюшка знает свою паству – там были «почти все».

Вот такие, вот времена.

Жалко только фтизиатра, приобрел он на будущее «большой геморрой».

  • https://radiomed.ru/sites/default/files/styles/case_slider_image/public/user/12/2.p3050004.jpg?itok=V-P7BKjN
  • https://radiomed.ru/sites/default/files/styles/case_slider_image/public/user/12/1.p3050005.jpg?itok=gY7d2NK_
  • https://radiomed.ru/sites/default/files/styles/case_slider_image/public/user/12/2.p3050006.jpg?itok=k3HqFLk7
  • https://radiomed.ru/sites/default/files/styles/case_slider_image/public/user/12/3.p3050007.jpg?itok=1yHgbAA0
  • https://radiomed.ru/sites/default/files/styles/case_slider_image/public/user/12/4.p3050008.jpg?itok=0dk_8bEU
  • https://radiomed.ru/sites/default/files/styles/case_slider_image/public/user/12/5.p3050010.jpg?itok=FthE6D8F
  • https://radiomed.ru/sites/default/files/styles/case_slider_image/public/user/12/6.p3050011.jpg?itok=Ad05JbbO
  • https://radiomed.ru/sites/default/files/styles/case_slider_image/public/user/12/7.p3050012.jpg?itok=IX90Ttuv
  • https://radiomed.ru/sites/default/files/styles/case_slider_image/public/user/12/8.p3050013.jpg?itok=CI0mIUog
  • https://radiomed.ru/sites/default/files/styles/case_slider_image/public/user/12/9.p3050014.jpg?itok=0MBEHahf
  • https://radiomed.ru/sites/default/files/styles/case_slider_image/public/user/12/10._p3050015.jpg?itok=1pzajaYE
  • https://radiomed.ru/sites/default/files/styles/case_slider_image/public/user/12/1.p3050016.jpg?itok=ms6iHJqk
  • https://radiomed.ru/sites/default/files/styles/case_slider_image/public/user/12/2.p3050017.jpg?itok=YqImhLvm
  • https://radiomed.ru/sites/default/files/styles/case_slider_image/public/user/12/3.p3050018.jpg?itok=SNoarzGD
  • https://radiomed.ru/sites/default/files/styles/case_slider_image/public/user/12/4.p3050019.jpg?itok=wLLR0wvE
  • https://radiomed.ru/sites/default/files/styles/case_slider_image/public/user/12/5.p3050020.jpg?itok=F4zs9Yhk
ID:12512
DR.RAD аватар
Не на сайте
Был на сайте: 11 лет 8 месяцев назад
Зарегистрирован: 25.03.2009 - 18:22
Публикации: 805

а ВИЧ инфекция есть в анамнезе?

Катенёв Валентин Львович аватар
Не на сайте
Был на сайте: 7 лет 2 недели назад
Зарегистрирован: 22.03.2008 - 22:15
Публикации: 54876

Пока вроде-бы ВИЧ нет.

Евгений1313 аватар
Не на сайте
Был на сайте: 13 лет 5 дней назад
Зарегистрирован: 15.10.2010 - 19:13
Публикации: 808

Я предположу что женщина устраивается на работу в столовую.

Катенёв Валентин Львович аватар
Не на сайте
Был на сайте: 7 лет 2 недели назад
Зарегистрирован: 22.03.2008 - 22:15
Публикации: 54876

История случая.

1. Пришла во флюорографический кабинет «тетка» (иначе назвать не возможно). У ней на «одном месте» вскочил прыщ (со слов тетки), и так как она «флюшку не проходила 3 года, работники регистратуры, перед записью к хирургу направили её для прохождения профилактической флюорографии. Тетка возражала, шипела, крыла всех «по матушке и по батюшке», но флюшка сделана была.

2. Как и следовало ожидать «тетка» была взята на контроль, было проведено дообследование согласно стандарту (рентгенография, линейная томография), был выявлено инфильтративный туберкулез верхушки правого легкого с распадом, с очагами отсева в верхнюю долю левого лёгкого. Отдельные очаги малой интенсивности, имели место быть слева в нижнем легочном поле. «палки» были обнаружены во множестве, и «тётка с прыщиком» была упакована и помещена в областную туббольницу.

3. На «теткино семейство» была накинута мелкая фтизиатрическая «рыболовная сеть», и все рядом живущие – «семейный клан» были доставлены в рентгеновский кабинет. Оказалось, что семейный клан состоит только из представительниц «прекрасного пола» и их детей. «Мужиков» в клане не оказалось, «мужики» были приходящие.

4. Это снимки одной из дочерей «тетки», у которой, как и у всякой любвиобильной дамы есть и ребеночек.

Евгений1313 аватар
Не на сайте
Был на сайте: 13 лет 5 дней назад
Зарегистрирован: 15.10.2010 - 19:13
Публикации: 808

Айсберг всегда крупнее верхушки.

lupan аватар
Не на сайте
Был на сайте: 6 лет 10 месяцев назад
Зарегистрирован: 07.01.2010 - 17:17
Публикации: 1406

Разворошили осиное гнездо. А сколько еще подобных гнезд-рассадников на просторах нашей великой Родины?

Великое преймущество врача заключается в том, что он не обязан следовать собственным советам. ( А. Кристи)

Катенёв Валентин Львович аватар
Не на сайте
Был на сайте: 7 лет 2 недели назад
Зарегистрирован: 22.03.2008 - 22:15
Публикации: 54876

Так, это не все...

Продолжение следует...

stovbav аватар
Не на сайте
Был на сайте: 2 года 2 месяцев назад
Зарегистрирован: 20.12.2009 - 17:28
Публикации: 7066

Продолжения стоило то и ждать....памятуя выставленые Вами прошлогодние "семейные туберкулезно-рентгенологические" романы......

Катенёв Валентин Львович аватар
Не на сайте
Был на сайте: 7 лет 2 недели назад
Зарегистрирован: 22.03.2008 - 22:15
Публикации: 54876

Здравствуйте Виктор Григорьевич!

Вы правы. Это "то" продолжение. Но, я так думаю, еще не вечер, и "девство" будет продолжаться... уж сильно фемины в той деревне красивые...

stovbav аватар
Не на сайте
Был на сайте: 2 года 2 месяцев назад
Зарегистрирован: 20.12.2009 - 17:28
Публикации: 7066

Здравствуйте, Валентин Львович!

Такие романы надо "презентовать" на заседаниях власть имущих...вот бы "почитали"....детективчики то эти....