В.Л. Катенёв
О ВК+ и о прочих прелестях с этим связанных (динамические наблюдение в течение 2 – х лет).
(Рентгенологическое отделение МУЗ «Красногвардейская центральная районная больница», г. Бирюч Белгородской области).
Все рентгенологи, работающие в практическом здравоохранении и участвующие в интерпретации флюорограмм органов грудной полости или обследовании и дообследовании пациентов с легочным туберкулёзом, знают, что «обнаружение микобактерии туберкулёза» в 100 % случаев влечёт за собой постановку именно диагноза «Туберкулёз», особенно если ВК были обнаружены неоднократно.
В последнее время в литературе, в сообщениях отдельных авторов, все чаще и чаще появляются сообщения, в которых высказываются мнения и выводы, статистически подтвержденные следующего характера:
- у некоторых пациентов, с заведомо активным туберкулёзом лёгких, с наличием полостей распада, в ряде случаев, даже при многократном исследовании микобактерии туберкулеза выявлены не были;
- у пациентов, с верифицированным диагнозом «Рак лёгких», в ряде случаев (по данным некоторых авторов до 25 % случаев), неоднократно были обнаружены микобактерии. Этот феномен, по всей видимости, связан с экзацербацией (поглощением) растущей опухолью старых очагов, и в последующем в фазе распада, эти ранее инкапсулированные палочки, могут быть обнаружены;
- при воспалительных заболеваниях лёгких (пневмонии) также имеют место случаи выявления МБТ.
Каждый врач, и особенно врач-рентгенолог, прекрасно знаком с ситуацией, когда, порой необоснованно наклеивается на врача ярлык – «Вы пропустили туберкулёз!», а далее всевозможные разбирательства – «А подать сюда Тяпкина – Ляпкина», которые нередко заканчиваются взысканиями, и не всегда адекватными разборами.
Мы также имели честь, с подачи противотуберкулёзного диспансера, получить головомойку от заместителя Департамента, с довольно гневными высказываниями, что с рентгенологов надо «поснимать категории» и пр. и пр., да еще и оказалось, что коллегами была инициирована жалоба родственников «по поводу пропуска туберкулёза». Учитывая все вышеприведенное, мы считаем необходимым, ознакомить коллег врачей-рентгенологов с данным случаем.
Пациентка Щ., 57 лет. Ранее находилась на учете у фтизиатра, на момент обследования с учета «была снята» уже в течение нескольких лет. На рентгенологическое исследование была направлена участковым терапевтом, по поводу жалоб на повышение температуры, кашель, головные боли. Была произведена цифровая флюорографии. Пациентка была «взята на контроль», была произведена рентгенография в прямой стандартной проекции, линейная томография в прямой проекции – срезы 7, 9 см.
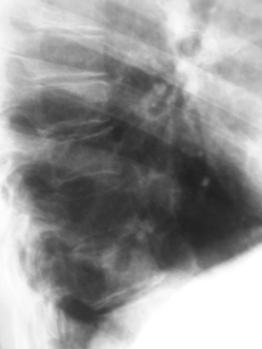
Иллюстрация 1. Рентгенограмма. Справа медио-базально определяется некоторое усиление и обогащение легочного рисунка. Слева определяется снижение прозрачности легочной ткани базально за счет нежного фиброза и участков уплотнения плевры в нижних отделах главной междолевой щели (по левой боковой рентгенограмме). Левый купол диафрагмы частично подтянут и фиксирован за счет плевро-диафрагмальной шварты. Определяется некоторое увеличение дуги conus pulmonalis.
Иллюстрации 2, 3. Томограммы – срезы 7 и 9 см.
Иллюстрации 4, 5. Фрагмент рентгенограммы правого лёгкого с увеличением. Фрагмент рентгенограммы левого лёгкого с увеличением.
После назначенного и проведенного лечения терапевтом пациентка жалоб не предъявляет.
Через 5 месяцев у пациентки появились «грудные жалобы», кашель с выделением значительного количества мокроты, повышение температуры. Больная самостоятельно едет в туб. диспансер, где в мокроте обнаруживаются МБТ, там же проводится рентгенологическое исследование.
Иллюстрация 6. Рентгенограмма в прямой проекции.
Иллюстрации 7, 8, 9 – фрагменты рентгенограммы с увеличением. Справа медио-базально определяется полостное образование с довольно «толстой» стенкой, с нечётким наружным контуром. В окружающей ткани «очаги отсева» не определяются. Рисунок правого корня в области хвоста незначительно усилен, обогащен, тень его структурна.
Иллюстрации 10, 11. Томограммы фиксируют полостное образование медио-базально.

Иллюстрации 12, 13. Фрагменты томограмм с увеличением. Теневая картина по рентгенограммам в прямой проекции и по томограммам свидетельствует, с большей степенью вероятности, о наличии полостного образования (дренировавшегося, очистившегося абсцесса).
Но обнаруженные МБТ перевесили все доводы по поводу нетипичности картины в общем (полостное образование с довольно толстыми стенками, отсутствие очагов отсева), нетипичности положения (медио-базальный отдел).
Даже боковая рентгенограмма, фиксирующая типичную картину «очистившегося» абсцесса – иллюстрация 14, не смогли склонить фтизиатров в сторону наличия «неспецифического» процесса.
Иллюстрации 15, 16, 17 демонстрируют «динамику специфической полости распада».
Иллюстрации 18, 19, 20 фрагменты боковых рентгенограмм с увеличением.
После выписки из туб. диспансера, через 5 месяцев теневая картина соответствует, приведенным выше иллюстрациям 1, 2, 3.
Прошу коллег высказать свою точку зрения по поводу представленного случая.
Уважаемый Валентин Львович! Понятно, что на все случаи в жизни страховку не оформишь, и все-таки..." Справа медио-базально определяется некоторое усиление и обогащение легочного рисунка" + "опасный" возраст+ весьма сомнительной структурности корень правого легкого (возможно, за счет качества представленных иллюстраций) и при этом нет правой боковой РГ. Непонятно, почему при ТГ выбраны именно 7 и 9, а не срединные срезы? Соглашусь, диагноз tbc на ум не приходит, но в плане дифдиагностики с Са? Какие аргументы кроме МБТ+ у фтизиатров "сыграли" в пользу "их" диагноза? (" у пациентов, с верифицированным диагнозом «Рак лёгких», в ряде случаев (по данным некоторых авторов до 25 % случаев), неоднократно были обнаружены микобактерии. Этот феномен, по всей видимости, связан с экзацербацией (поглощением) растущей опухолью (или вовлеченной в процесс вторично легочной тканью? - мое прим. ) старых очагов, и в последующем в фазе распада, эти ранее инкапсулированные палочки, могут быть обнаружены"!!!) Учитывая лишь представленные данные, с моей точки зрения, не стоит сбрасывать со счетов центральную форму Са с ретростенотическим абсцедированием. И еще: а что в плане динамики в сравнении с предидущими исследованиями? (Ведь больная состояла на ДУ у фтизиатров). И почему "медиобазальные отделы", если полость в заднебазальном (10) сегменте?
С уважением, Hеlеnmar.
Делай, что должно, и будь, что будет.
Здравствуйте уважаемый Hеlеnmar! Отвечаю по-порядку: 1.По поводу первично произведенной правой боковой рентгенограммы. Она была произведена, но была "утеряна" пациенткой и только исходя из этого иллюстрация не представлена. 2.Срезы 7 и 9 (первично при производстве контроля) выбраны исходя из того, что ранее пациентка находилась на учете у фтизиатра, хотя произведенные прямая и боковая рентгенограммы никаких сомнений по поводу отсутствия "новой патологии" не вызывали, и были произвежены именно по настоянию нашего фтизиатра. 3.Безусловно, с Вами нельзя не согласиться, что полостная форма Са при проведении дифференциального диагноза должна быть учтена. 4."Какие аргументы кроме МБТ+ у фтизиатров "сыграли" в пользу "их" диагноза?". После очередного "Вот рентгенологи пропустили туберкулёз", я грубо говоря "психанул" и поехал на "разборку" в обл. туб. диспансер, где и был постален диагноз ТВС. Вы наверное, прекрасно понимаете структуру разборки, когда врач-рентгенолог, приехавший из ЦРБ (глубокая периферия) в обл.туб. диспансер, пытается доказать что-то. Тем не менее собрав рентгенолога и зав, отделением, где лежала данная больная, по рентгенограммам, с акцентом не типичности картины, не типичности локализации, не типичности клиники я пытался доказать, что диагноз туберкулёза в данном случае нонсенс. Со мной "вяло согласились", выкинули "козырную карту" ВК+, и вещали "Динамика покажет". Динамика "показала", но диагноз остался. Все рентгенограммы "с динамикой" били произведены в обл. туб. диспансере. 5.Данная пациентка после выписки "попала" к нам через 6 месяцев (направлена нашим фтизиатром) "по рекомендации диспансера". Было произведено все, включая томографию в боковой проекции. В задне-базальном сегменте локалдьный участок склероза.
Термин "медио-базальные отделы" - описание картины по "прямой рентгенограмме".
Спасибо за исчерпывающий ответ.
Делай, что должно, и будь, что будет.
Добрый вечер уважаемый Hеlеnmar!
Всегда рад Вашим комментариям и критическим замечаниям.
С уважением В. Катенёв
Из ранних публикаций, но интересный случай.
но есть вопросы, ответы на которые помогут мне высказаться. 1.Каким методом исследования были обнаружены МБТ; 2.Сколько раз были обнаружены? 3. Какой формой туберкулеза ранее страдала больная ; 4. В каком легком был исходный процесс? 5. Продолжительность лечения противотуберкулезными препаратами? 6. Снимки, сделанные Вами через 6 мес.? "По данным некоторых авторов до 25 % случаев, неоднократно были обнаружены микобактерии".Очень интересно прочитать эти работы! С уважением Ваш коллега Nik