Флюорографические будни.

Пол пациента: 
Методы исследования: 

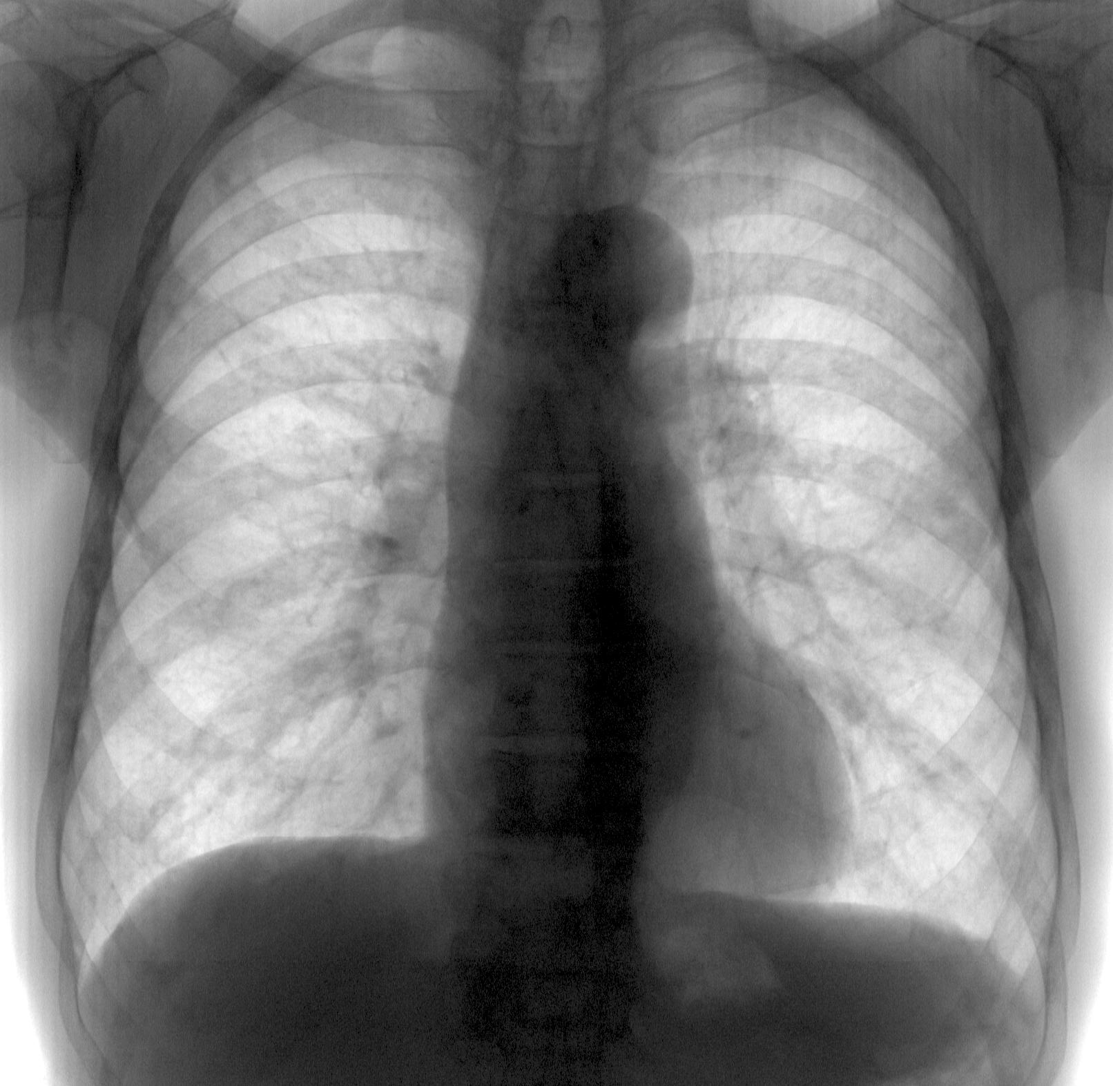
Трехлетняя динамика. Вторая флюшка сегодняшняя. Жалоб на легкиене не предьявляет, кроме аденомы простаты - никаких проблем. Отправил в онко. Но глаз упал на нижние углы лопаток. Там то же, что и в легких?

  • https://radiomed.ru/sites/default/files/styles/case_slider_image/public/user/3055/07.11.2014.jpg?itok=B5iUyRf2
ID:56783
Евгений Дорофеев аватар
Не на сайте
Был на сайте: 11 лет 3 недели назад
Зарегистрирован: 06.06.2013 - 17:28
Публикации: 1746

Лимфоузлы скорее всего кальцинированные. В лёгких расценил, как канцероматозную дессиминацию.  

Могу предположить опухоль в желудке. Пускай покритикуют

atexta аватар
Не на сайте
Был на сайте: 2 года 9 месяцев назад
Зарегистрирован: 08.02.2014 - 18:41
Публикации: 4842

Да, похоже метастазирование.

Не нам судить…

NIL аватар
NIL
Не на сайте
Был на сайте: 1 день 19 часов назад
Зарегистрирован: 25.11.2013 - 20:50
Публикации: 18203

atexta wrote:

Да, похоже метастазирование.

+1


"Слушай всех, прислушивайся к немногим, решай сам".©

Ola-la аватар
Не на сайте
Был на сайте: 10 месяцев 4 дня назад
Зарегистрирован: 06.12.2008 - 09:33
Публикации: 1786

Такое ощущение, что все это в ребрах, не в легких.

Игорь Иванович аватар
Не на сайте
Был на сайте: 3 года 9 месяцев назад
Зарегистрирован: 23.01.2010 - 14:56
Публикации: 3695

А как на счет углов лопаток? Или это все кааца? А если нет, то возможно это и в ребрах?

Приложения: 
07.11.2014_-_kopiya.jpg
Ola-la аватар
Не на сайте
Был на сайте: 10 месяцев 4 дня назад
Зарегистрирован: 06.12.2008 - 09:33
Публикации: 1786

Думаю, не кааца )))

И.Бондаренко аватар
Не на сайте
Был на сайте: 1 день 12 часов назад
Зарегистрирован: 13.09.2011 - 22:55
Публикации: 9206

А может миеломная ?

Mila85 аватар
Не на сайте
Был на сайте: 3 года 1 месяц назад
Зарегистрирован: 15.03.2012 - 16:59
Публикации: 1790

При метастазах и миеломной должна быть потеря костной массы, а тут наоборот более интенсивные тени очагов. На бластические тоже не похоже, я думаю, оно в легких

svetlana292929 аватар
Не на сайте
Был на сайте: 3 года 7 месяцев назад
Зарегистрирован: 18.06.2012 - 13:53
Публикации: 869

очаги лежат вне ребер, в легких!

atexta аватар
Не на сайте
Был на сайте: 2 года 9 месяцев назад
Зарегистрирован: 08.02.2014 - 18:41
Публикации: 4842

Невнятно выразила свою мысль, имела в виду костное метастазирование, в ребра и лопатки, Ola-la права.

Не нам судить…

NIL аватар
NIL
Не на сайте
Был на сайте: 1 день 19 часов назад
Зарегистрирован: 25.11.2013 - 20:50
Публикации: 18203

atexta wrote:

костное метастазирование, в ребра и лопатки, Ola-la права.

+1


"Слушай всех, прислушивайся к немногим, решай сам".©

svetlana292929 аватар
Не на сайте
Был на сайте: 3 года 7 месяцев назад
Зарегистрирован: 18.06.2012 - 13:53
Публикации: 869

Вот это же не в ребрах

Приложения: 
07.11.2014.jpg
atexta аватар
Не на сайте
Был на сайте: 2 года 9 месяцев назад
Зарегистрирован: 08.02.2014 - 18:41
Публикации: 4842

Мне кажется, это сосудистый рисунок

Не нам судить…

Сольвейг аватар
Не на сайте
Был на сайте: 3 года 5 месяцев назад
Зарегистрирован: 05.02.2013 - 20:25
Публикации: 2239

Мне видятся метастазы и в легких, и в костях. Рак простаты так себя ведёт.Да собственно, не только он. Пересмотреть надо "аденому"