Множественные метастазы в грудную клетку.

Пол пациента: 
Методы исследования: 

Катенёв В.Л.

Случай из практики «Множественные метастазы в грудную клетку».

(Рентгенологическое отделение МУЗ «Красногвардейская центральная районная больница» Белгородской области).

Пациент мужчина преклонного возраста (отец одного из врачей нашей больницы) направлен урологом для производства внутривенной урографии и флюорографии органов грудной клетки. С учетом необходимости специальной подготовки для урографии исследование назначили на определенное число и время, а рентгенограмму органов грудной полости произвели сразу.

1..jpg
1..jpg
2.JPG
2.JPG

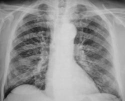
Иллюстрации 1, 2. На обзорной рентгенограмме органов грудной полости, произведенной в прямой стандартной проекции с обеих сторон, на фоне усиленного и обогащенного легочного рисунка определяются множественные полиморфные очаговые тени различных размеров, преимущественно средней интенсивности во всех отделах легочных полей. Тень корней преимущественно левого представляется несколько расширенной, гомогенизированной. Справа в малой междолевой щели плевра утолщена.

3.jpg
3.jpg
4.JPG
4.JPG

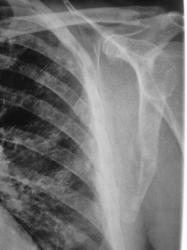
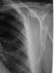
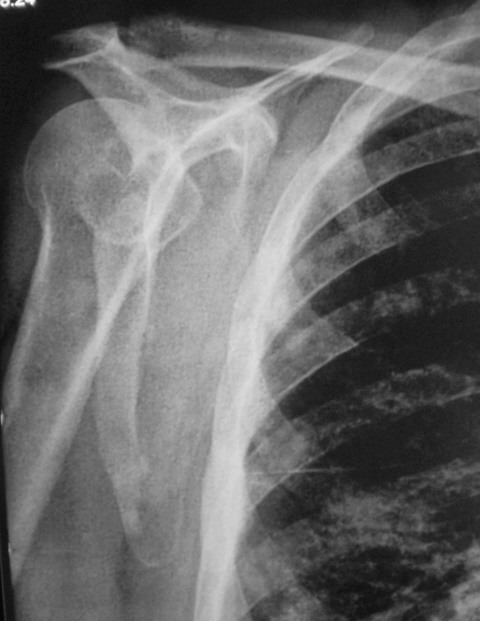
Иллюстрации 3. 4. Слева в области латерального латерального края лопатки, в ребрах определяются участки остеопоротической перестройки структуры костной ткани — литический вариант.

5.JPG
5.JPG
6..jpg
6..jpg

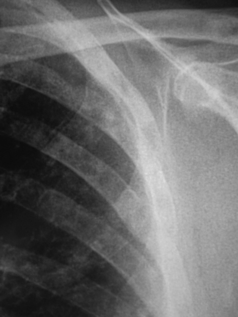
Иллюстрации 5, 6. Справа аналогичные изменения в ребрах и лопатке.

Предположительно выставлен диагноз метастазирования из первичного узла, расположенного в предстательной железе.


ВложениеРазмер
Иконка изображения 1..jpg81.55 КБ
Иконка изображения 2.JPG95.64 КБ
Иконка изображения 3.jpg86.54 КБ
Иконка изображения 4.JPG77.56 КБ
Иконка изображения 5.JPG64.16 КБ
Иконка изображения 6..jpg87.04 КБ