Патология правого корня.

Пол пациента: 
Методы исследования: 

Приводимый случай из практики, прислан нашим коллегой Лодатко Кириллом Игоревичем, заведующим рентгенологическим отделением ММ ЛПУ "Интинская ЦГБ".

Больной жалоб не предъявляет, обращает внимание на периодическое «подкашливание» и с недавно появившийся субфебрилитет до 37,4.

1.jpg
1.jpg
2.jpg
2.jpg

 

 

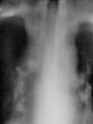
На обзорной рентгенограмме органов грудной полости, произведенной в прямой стандартной проекции, в области хвоста правого корня определяется неоднородное затемнение округлой формы с нечеткими неровными контурами.

3..jpg
3..jpg
4.jpg
4.jpg

 

 

На боковой рентгенограмме затемнение в проекции S8-S9.

5.jpg
5.jpg
6.jpg
6.jpg

 

 

Пациент взят на ТГ ЦБД. Определяются увеличенные л/узлы трахеобронхиальной и бронхопульмональной группы справа, также в области хвоста корня округлая тень с просветлением в центре и сужение промежуточного бронха.

7.jpg
7.jpg
8.jpg
8.jpg

 

 

Слева, если я правильно понял, кольцевидная тень обусловлена ортопроекцией верхнедолевого бронха.

 

Просим коллег высказать своё мнение.

 

 

ВложениеРазмер
Иконка изображения 1.jpg42.4 КБ
Иконка изображения 2.jpg45.55 КБ
Иконка изображения 3..jpg34.65 КБ
Иконка изображения 4.jpg51.68 КБ
Иконка изображения 5.jpg40.81 КБ
Иконка изображения 6.jpg43.02 КБ
Иконка изображения 7.jpg43.81 КБ
Иконка изображения 8.jpg39.94 КБ
Катенёв Валентин Львович аватар
Не на сайте
Был на сайте: 7 лет 2 недели назад
Зарегистрирован: 22.03.2008 - 22:15
Публикации: 54876

Обращает на себя внимание:

1. Расширение, уплотнение и гомогенизация тени правого корня, с неровным наружным контуром, с компонентами (линейными), направленными латерально. С большой степенью вероятности можно предположить центральный рак.

2. Уплотнение и гомогенизация структур в области хвоста правого корня – возможно гиперплазированные лимфатические узлы, возможно «парапроцесс».

3. На томограммах в одних срезах «деформация» промежуточного бронха, на других «культя». С наибольшей степенью вероятности – центральный рак (уже смешанный – эндо-экзобронхиальный).

4. На срезе в медиальных отделах верхушечного сегмента справа определяется неоднородное снижение прозрачности легочной ткани с довольно четкой наружной границей – по всей видимости гиперплазированные паратрахеальные лимфатические узлы.

По всей видимости, имеет место центральный рак правого легкого с наличием секундарных изменений в правом корне и справа в паратрахеальных лимфатических узлах.