Наблюдение Nela. Состояние после перенесенного ишемического инсульта.

Пол пациента: 
Методы исследования: 

 

Наблюдение Nela.

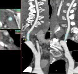
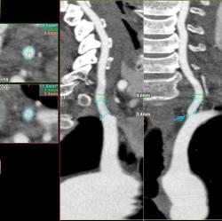
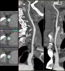
Мужчина, 62 года. Перенес ишемический инсульт в бассейне правой средней мозговой артерии.

На КТ-ангиографии выявлена окклюзия правой внутренней сонной артерии в области развилки в виде паламени свечи (красная стрелка), стеноз высокой степени в устье правой вертебральной артерии (желтая стрелка), небольшой перегиб в устье левой вертебральной артерии (голубая стрелка).

1.ISh_..jpg
1.ISh_..jpg
2.ISh_.jpg
2.ISh_.jpg

 

 

 

 

 

 

 

 

 

 

 

 

 

 

3.ISh_..jpg
3.ISh_..jpg
4.ISh_.jpg
4.ISh_.jpg

 

 

 

 

 

 

 

 

 

 

 

 

 

 

5.ISh_.jpg
5.ISh_.jpg
6.ISh_..jpg
6.ISh_..jpg
ВложениеРазмер
Иконка изображения 1.ISh_..jpg133.93 КБ
Иконка изображения 2.ISh_.jpg127.88 КБ
Иконка изображения 3.ISh_..jpg123.08 КБ
Иконка изображения 4.ISh_.jpg118.3 КБ
Иконка изображения 5.ISh_.jpg143.59 КБ
Иконка изображения 6.ISh_..jpg115.16 КБ
Катенёв Валентин Львович аватар
Не на сайте
Был на сайте: 7 лет 4 недели назад
Зарегистрирован: 22.03.2008 - 22:15
Публикации: 54876

По большому счету, по случаю, сказать уважаемая Nela, нечего. Ваш случай и иллюстрации достояны только удивления и восхищения. Но в очередной раз я задумался, о "правомерности" вечно муссирующего вопроса, что врач лучевой диагност должен владеть тем-то и тем-то - всем. Ваши иллюстрации и представляемые случаи, свидетельствуют о том, что в нашей "широченной специальности", должна иметь место "разумная специализация", что именно и позволит повысить качество проводимых исследований и обеспечить качественную интерпретацию проведенных исследовавний.

 

Огромное Вам спасибо за представленный материал.

Анатолий Владимирович Шумаков аватар
Не на сайте
Был на сайте: 7 лет 10 месяцев назад
Зарегистрирован: 16.10.2009 - 21:16
Публикации: 1941

Наблюдение конечно эффектное и поучительное. По моему мнению, чуть ли ни всем людям, после наступления  определенного возраста, надо проводить такие исследования (или менее инвазивные - МРТ) и вмешиваться на ранних этапах. Вот тогда заговорим об упреждении, а так это медицина - КОНСТАТИРУЮЩАЯ, когда мозг уже пострадал необратимо, и все наш потуги практически лишены смысла.

Nela аватар
Не на сайте
Был на сайте: 6 лет 1 месяц назад
Зарегистрирован: 12.05.2009 - 20:43
Публикации: 1847

Вы отчасти правы. Инсульт пациент перенес давно, тогда не было возможности ни диагностировать, не лечить. Сейчас ему планируют установить стент в правую позвоночную артерию.

Nela аватар
Не на сайте
Был на сайте: 6 лет 1 месяц назад
Зарегистрирован: 12.05.2009 - 20:43
Публикации: 1847

Больному успешно установлен стент в устье правой вертебральной артерии.