Наблюдение в динамике или угадываем верифицированный диагноз 3.

Довольно не простой диагностический случай. Есть снимки в динамике. Но выложу их не сразу - интересно мнение коллег последовательно, на каждом этапе.

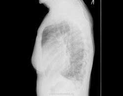
Вводные данные: 47 лет, жалобы на одышку, боли за грудиной. терапевт направил на рентгенографию грудной клетки

Какое заключение по этим снимкам вы бы сделали, коллеги?

  • https://radiomed.ru/sites/default/files/styles/case_slider_image/public/user/1158/image2_4.jpg?itok=MTy42sCp
ID:53341
Student_Andrew аватар
Не на сайте
Был на сайте: 13 лет 8 месяцев назад
Зарегистрирован: 21.08.2011 - 23:18
Публикации: 106

Ассиметрия грудной клетки, S-образная деформация хребта: шейно-грудной сколиоз (вершина искривления на уровне Th5 - Th6), угол сколиоза 26о и грудопоясничный сколиоз (вершина искривления на уровне Th11), угол сколиоза 17о. Легочные поля сниженной прозрачности, усилен легочной рисунок. Сердце увеличено за счет ПЖ и ЛЖ талия, сердца сглажена, КТИ=0,6

Сколиоз ІІІ степени. Пневмофиброз. Хроническое легочное сердце.
 

Medicus curat, natura sanat

Анатолий Владимирович Шумаков аватар
Не на сайте
Был на сайте: 7 лет 10 месяцев назад
Зарегистрирован: 16.10.2009 - 21:16
Публикации: 1941

Вероятен дефект межпредсердной перегородки, диффузное снижение тонуса миокаарда, венозный застой в малом круге 1 ст. Правосторонний, с вершиной на Th 5 сколиоз 2-3 ст. Справа внизу несколько тонкостенных ячеистых структур - порок развития бронхов.

Демчев Валентин Анатольевич аватар
Не на сайте
Был на сайте: 7 лет 7 месяцев назад
Зарегистрирован: 08.02.2011 - 15:40
Публикации: 445

Не думаю, что сколиоз мог вызвать такие проблемы с легкими. Все таки точно определить степень сколиотической деформации на данном снимке затруднительно.

Петрович аватар
Не на сайте
Был на сайте: 7 лет 2 месяцев назад
Зарегистрирован: 22.03.2009 - 01:13
Публикации: 3908

То, что мы видим в лёгких, на мой взгляд, заслуживает названия гиперволемия…, но не застой (вены-то не очень). Ещё мне кажется, здесь более вероятен дефект межжелудочковой перегородки (предсердия как-то не манифестируют вроде) и по размерам он небольшой (неурожай «вишен» корнях и лёгочной гипертензии к 47 годам нет). С интересом буду ждать рентгенограммы в динамике: наверное, развитие лёгочной гипертензии увидим. Если, конечно, не ошибаюсь))

Неоднозначно всё

tatyana аватар
Не на сайте
Был на сайте: 4 года 1 месяц назад
Зарегистрирован: 24.06.2009 - 08:33
Публикации: 2090

Спасибо за комментарии, коллеги. Анамнестических данных за порок сердца не было. На практике: заподозрен гидроперикард, подтвержденный при УЗИ, двухсторонняя пневмония. Пациентка пролечена в кардиологическом стационаре.

Снимки через 2 месяца:

image3.jpg
image4.jpg
 
Приложения: 
image3.jpgimage4.jpg

"самоуверенность дилетантов - предмет зависти профессионалов"

Петрович аватар
Не на сайте
Был на сайте: 7 лет 2 месяцев назад
Зарегистрирован: 22.03.2009 - 01:13
Публикации: 3908

Один вопрос: последовательность картинок правильная? На первых снимках «пневмония» как пневмония не видна, после пролечивания сомнений уже не вызывает

Неоднозначно всё

tatyana аватар
Не на сайте
Был на сайте: 4 года 1 месяц назад
Зарегистрирован: 24.06.2009 - 08:33
Публикации: 2090

Да. Последовательность правильная. Я потому снимки и размещаю не наверху, а в ветке, на всякий случай, чтобы не перепутались

"самоуверенность дилетантов - предмет зависти профессионалов"

Петрович аватар
Не на сайте
Был на сайте: 7 лет 2 месяцев назад
Зарегистрирован: 22.03.2009 - 01:13
Публикации: 3908

А клиника и анализы ко второму этапу как изменились?

Неоднозначно всё

tatyana аватар
Не на сайте
Был на сайте: 4 года 1 месяц назад
Зарегистрирован: 24.06.2009 - 08:33
Публикации: 2090

Одышка несколько уменьшилась, сохраняются боли в грудной клетке на вдохе, СОЭ 25, в остальном анализы нормальные

"самоуверенность дилетантов - предмет зависти профессионалов"

Петрович аватар
Не на сайте
Был на сайте: 7 лет 2 месяцев назад
Зарегистрирован: 22.03.2009 - 01:13
Публикации: 3908

Это мне напомнило один случай.... Короче: у дамы вашей часом не ТЭЛА? Мелких ветвей, конечно.

Неоднозначно всё

tatyana аватар
Не на сайте
Был на сайте: 4 года 1 месяц назад
Зарегистрирован: 24.06.2009 - 08:33
Публикации: 2090

Нет, не ТЭЛА. Но, Вашего позволения, еще немного подожду комментариев других коллег, а потом скажу диагноз

"самоуверенность дилетантов - предмет зависти профессионалов"

Петрович аватар
Не на сайте
Был на сайте: 7 лет 2 месяцев назад
Зарегистрирован: 22.03.2009 - 01:13
Публикации: 3908

Конечно. Не спешите, пусть угадывают хотя бы до завтра: сегодня активность мала, наверное грибы собирают)).

Неоднозначно всё

Kat аватар
Kat
Не на сайте
Был на сайте: 12 лет 6 месяцев назад
Зарегистрирован: 19.04.2011 - 19:10
Публикации: 365

Раковый лимфангит по сетчато-тяжистому типу без аденопатии (или без отображения на Rg), прогрессирует в течение 1-2 месяцев;такие осложнения как экссуд.перикардит, недостаточность желудочка(-ов), дыхательная недостаточноть-то,что можно применить к нашей пациентке.Предположу рак желудка,т.к. в груди ниче не увидела)

Временно отсутствую на сайте...

Петрович аватар
Не на сайте
Был на сайте: 7 лет 2 месяцев назад
Зарегистрирован: 22.03.2009 - 01:13
Публикации: 3908

Для ракового лимфангита по любому типу вроде бы должно быть сначала препятствие оттоку лимфы. Кто-нибудь видит его… или хотя бы где искать.

Но между тем на второй серии рентгенограмм лимфостаз действительно есть. Его проявление – линии Керли, которые энтузиасты как-то находили и на фантиках)). Однако, в рентгеновской картине, на мой взгляд, доминируют мелкие очаги. Наверное, это можно назвать мелкоочаговой диссеминацией. Канцероматоз?

Неоднозначно всё

krok аватар
Не на сайте
Был на сайте: 13 лет 4 месяцев назад
Зарегистрирован: 04.08.2011 - 18:13
Публикации: 13

А переломы ребер банальные, да?слева точно седьмое,справа не уверен

а посмотрел еще,уже и деструкция головки десятого ребра справа рисуется.

Геннадий.

Kat аватар
Kat
Не на сайте
Был на сайте: 12 лет 6 месяцев назад
Зарегистрирован: 19.04.2011 - 19:10
Публикации: 365

это моя мысль-не примазывайся к ней!))

P.S. krok, если только ты умеешь читать мысли)) но перелома,думаю,нет

Временно отсутствую на сайте...

krok аватар
Не на сайте
Был на сайте: 13 лет 4 месяцев назад
Зарегистрирован: 04.08.2011 - 18:13
Публикации: 13

Девушка,Вы не мне надеюсь?cool

Геннадий.

Катенёв Валентин Львович аватар
Не на сайте
Был на сайте: 7 лет 2 недели назад
Зарегистрирован: 22.03.2008 - 22:15
Публикации: 54876

На первый снимках, по "боковому", наверно " с дуру" показалось мне, что смотрели желудок...

На мой взгляд, скиалогически "синдром диссеминации", вспомнил любимую мною "томку", мелькнула мысль про любимый мною "тубер", но помятуя профиль и ранг Вашего учреждения, по всей видимости, нужно склониться в пользу "злокачественной диссеминации" ...

Сколиоз не кажется мне банальным, смущает паравертебральное напластование, а в боковой проекции именно этот отдел не отражен.

krok аватар
Не на сайте
Был на сайте: 13 лет 4 месяцев назад
Зарегистрирован: 04.08.2011 - 18:13
Публикации: 13

Долго не мог сообразить как картинку поставить с переломом,врядли связь с травмой,а на патологический перелом кажется не похоже.На фоне диссеминации тяжело исключить костную деструкцию.Молочная железа причиной?

Приложения: 
perelom_rebra.jpg

Геннадий.

Катенёв Валентин Львович аватар
Не на сайте
Был на сайте: 7 лет 2 недели назад
Зарегистрирован: 22.03.2008 - 22:15
Публикации: 54876

krok wrote:

Девушка, Вы не мне надеюсь?cool

Нет конечно. Это она мне.

Кстати, хорошая девушка!

Здравствуйте Катюша!

Kat аватар
Kat
Не на сайте
Был на сайте: 12 лет 6 месяцев назад
Зарегистрирован: 19.04.2011 - 19:10
Публикации: 365

Здравствуйте! Да-а-а-а-а-а, я така-а-а-а-я)))

Ну где уже Татьяна?))

Временно отсутствую на сайте...

Петрович аватар
Не на сайте
Был на сайте: 7 лет 2 месяцев назад
Зарегистрирован: 22.03.2009 - 01:13
Публикации: 3908

krok wrote:

А переломы ребер банальные, да?слева точно седьмое,справа не уверен

а посмотрел еще,уже и деструкция головки десятого ребра справа рисуется.

Гена, вы не krok, вы Adler! Наверное, в вашей ЦРБ с рёбрами полный ажур)).

Позволю себе скромно присоединится к вашим достижениям. Кроме X ребра видятся мне подобные изменения в задних отд. IX и VIII ребер

Неоднозначно всё

krok аватар
Не на сайте
Был на сайте: 13 лет 4 месяцев назад
Зарегистрирован: 04.08.2011 - 18:13
Публикации: 13

Зарапортовался!Стороны перепутал,перелом 7р. СПРАВА, эх,я...

Геннадий.

Student_Andrew аватар
Не на сайте
Был на сайте: 13 лет 8 месяцев назад
Зарегистрирован: 21.08.2011 - 23:18
Публикации: 106

Небольшой междолевой выпот слева. Это из-за пневмонии? Или из-за легочной гипертензии?

Medicus curat, natura sanat

Петрович аватар
Не на сайте
Был на сайте: 7 лет 2 месяцев назад
Зарегистрирован: 22.03.2009 - 01:13
Публикации: 3908

Неужели к правильному диагнозу мы не приблизились даже?

Неоднозначно всё

tatyana аватар
Не на сайте
Был на сайте: 4 года 1 месяц назад
Зарегистрирован: 24.06.2009 - 08:33
Публикации: 2090

Спасибо за комментарии, уважаемые коллеги. Практически все дали части правильного ответа. да есть диссеминированный процесс в легких метастатического характера, есть деструкция и патологические переломы ребер с обеих сторон, частично консолидирующиеся Однако, сначала поясню зачем я вообще разместила это наблюдение.

Причина первая: редко когда рентгенологу попадают вот так снимки в динамике, с известным диагнозом, но в таких случаях, зная прикуп, хочется проверить себя - поставила б я диагноз по первым снимкам? Про себя скажу честно - в этом случае - нет

Причина вторая: этот случай мне ясен не до конца. По динамике процесса я бы скорее поставила  "бронхиолоальвеолярный рак". Хотя по второй серии снимков можно найти признаки болезни. Однако, это не имеет клинического значения

Не буду вас дальше утомлять, теперь по случаю:

 

После вторых снимков была сделана КТ (не видела, не покажу, делали не у нас). Заключение: центральный рак н/долевого бронха левого легкого, узловая перибронхиальная форма роста с прорастанием в перикард, мts в легкие, кости

При бронхоскопии получена гистологическая верификация: муцинозная аденокарцинома.

Вот такая динамика после 2 курса х/т

image5.jpg
image6.jpg
Приложения: 
image5.jpgimage6.jpg

"самоуверенность дилетантов - предмет зависти профессионалов"

Гриша Хата аватар
Не на сайте
Был на сайте: 10 лет 1 неделя назад
Зарегистрирован: 09.02.2011 - 20:40
Публикации: 665

Немного опоздал с ответом, но наблюдение очень интересное.

Петрович аватар
Не на сайте
Был на сайте: 7 лет 2 месяцев назад
Зарегистрирован: 22.03.2009 - 01:13
Публикации: 3908

Уважаемая tatyana, то что видим в лёгких после второго курса х/тут, Вы расценивали как чистый фиброз, или отмечали сохранение специфической пролиферации, или также воспалительной? Каков по вашему прогноз, сколько проживёт женщина?

Неоднозначно всё

tatyana аватар
Не на сайте
Был на сайте: 4 года 1 месяц назад
Зарегистрирован: 24.06.2009 - 08:33
Публикации: 2090

Уважаемый Петрович, в настоящий момент динамика безусловно положительная: уменьшение размеров и количества мтс, часть из них рассасывается, часть - фиброзируется, часть остается, улучшение вентиляции, уменьшение инфильтрации. О наличии активной опухолевой пролиферации, можно ориентироваться по ПЭТ или по дальнейшей динамике. Но это только 2 курс, это очень мало, поэтому давать какие-либо прогнозы занятие бессмысленное, есть конечно некие средне-статистические данные, но у всех по-разному.

"самоуверенность дилетантов - предмет зависти профессионалов"

Катенёв Валентин Львович аватар
Не на сайте
Был на сайте: 7 лет 2 недели назад
Зарегистрирован: 22.03.2008 - 22:15
Публикации: 54876

Да, для нас, такое наблюдение ново.

Makcimalist аватар
Не на сайте
Был на сайте: 11 лет 8 месяцев назад
Зарегистрирован: 08.05.2010 - 14:28
Публикации: 1994

Не стал создавать отдельную ветку, решил здесь притулиться... Надеюсь автор случая не обидется.

Не нужно ничего угадывать, ибо сам плохо помню - что к чему, наблюдал - случай "почти" не мой...

Больная 1949 г.р., состояние тяжёлое, выраженная одышка смешанного типа в покое, температура была невысокая (цифры "стёрлись"), но была, кашель был (какой не помню...). После поступления в стационар прожила недолго. Диагноз с гистологической верификацией был выставлен лечащими врачами, коллеги (каюсь, и я руку приложил...) не поспособствовали.
ККФ - за 09/2010, Rg-граммы за 13/,.. 15/10/10, КТ за 18/10/10, МСКТ за 25/10/10.

...Как считаете, мы - парамедики?

Приложения: 
0.jpg1.jpg3.jpg4.jpg4a.jpg5.jpg6.jpg6a.jpg

--------------

"Просто, по видимости, не видеть логики в очевидных вещах - это тоже одно из свойств некоторых умов, наряду с грустными думами о свойствах ума других."  © Vega 08/10/2011

tatyana аватар
Не на сайте
Был на сайте: 4 года 1 месяц назад
Зарегистрирован: 24.06.2009 - 08:33
Публикации: 2090

Нет, Макс (если Вы не против такого сокращения, кстати с точки зрения орфографии английского языка ваш ник следует писать Мaximalist, проверьте по словарю, если хотите). Мы не парамедики. Мы - диагносты. Мне известны 2 значения этого слова: 1. санитары скорой, обученые приемам оказания первой медицинской помощи; 2 - целитили, колдуны и прочие экстрасенсы, занимающиеся нетрадиционными (не принятыми официальной медициной) методами лечения.

Применительно к рентгенологии, я это слово считаю ругательством (это глубоко личное), поэтому прошу в моей ветке не обсуждать

Касательно размещения Вашего случая - не возражаю. Понимаю, вы и так несколько поступились собственными принципами.

P.S. случай хотите обсудить?

"самоуверенность дилетантов - предмет зависти профессионалов"

Makcimalist аватар
Не на сайте
Был на сайте: 11 лет 8 месяцев назад
Зарегистрирован: 08.05.2010 - 14:28
Публикации: 1994

Вопрос был риторический! В америке, сказывали, рентгенологов причисляют к ... ним. Кстати, второе значение-то откуда?..

Случай не для обсуждения. Верифицированный, ветка схожая и Вы разрешаете. Основное заболевание - множественные mts в... ОГК (не помню про перикард) и т.д. (...)

Случай - наглядная иллюстрация сочетанной патологии, тяжести состояния и соответствующей трудности диагностики. В подтверждение того, что у лечащего врача априори больше информации о пациенте, чем у рентгенолога, того, что наш метод - один из!

Можно его интерпретировать как иллюстрацию слов Виктора Григорьевича (в "вопросной" ветке), всегда ли можно "выбить" 100 из 100. Нет, не всегда!

(Про свой ник - "так и было" задуманоsmiley - исключения есть из любого правила,.. наверное!enlightened Предпочёл бы обращение по нику, можно русским транслитом!)

--------------

"Просто, по видимости, не видеть логики в очевидных вещах - это тоже одно из свойств некоторых умов, наряду с грустными думами о свойствах ума других."  © Vega 08/10/2011

tatyana аватар
Не на сайте
Был на сайте: 4 года 1 месяц назад
Зарегистрирован: 24.06.2009 - 08:33
Публикации: 2090

В США рентгенологов (там - радиологов) ни в коем случае не причисляют к парамедикам! Там это одна из самых престижных и высокооплачиваемых медицинских специальностей, наряду с патологоанатомами. Более престижная, чем хирургия. Кстати там есть лечащий врач, а есть хирург (в клинике Мейо по крайней мере). Как раз в штатах парамедиками называют санитаров скорой. Так что, это чисто отечественное изобретение.

Второе значение вытекает из названия того, чем занимаются вышеозначенные целители "парамедицина".

Что касается остального, то мне кажется это настолько очевидным, не вижу, что здесь обсуждать.

По Вашему случаю: по рентгенограммам - можно предполагать что угодно, но по КТ, считаю, мтс видны.

Вопрос: первичный очаг нашли?

"самоуверенность дилетантов - предмет зависти профессионалов"

Петрович аватар
Не на сайте
Был на сайте: 7 лет 2 месяцев назад
Зарегистрирован: 22.03.2009 - 01:13
Публикации: 3908

Приветствую Нового рентгенолога, приносящего пользу сообществу)). На этом пути недолго снискать уважение и помириться с Петровичем)).

Я считаю, что метастазы видны и на обзорных рентгенограммах. Патология, конечно, сочетанная. От пневмонии скончалась больная?

Неоднозначно всё

Makcimalist аватар
Не на сайте
Был на сайте: 11 лет 8 месяцев назад
Зарегистрирован: 08.05.2010 - 14:28
Публикации: 1994

tatyana wrote:
.

По Вашему случаю: по рентгенограммам - можно предполагать что угодно, но по КТ, считаю, мтс видны. (1)

Вопрос: первичный очаг нашли? (2)

1 - и сам так предполагал,.. ан, нет!

2 - помню, что на гистологии нашли c-r двух видов,.. помню, что один был в почке, а что (какой тип) в лёгких - не помню...

Петрович wrote:

...

Я считаю, что (1) метастазы видны и на обзорных рентгенограммах. Патология, конечно, сочетанная. (2) От пневмонии скончалась больная?

1 - жаль, Вас и не пригласили на консилиум!.. Одного и не хватило!.. Бывает.

2 - плохо помню, вроде, да - от пневмонии (двусторонней, полисегментарной, гнойной (?)) умерла...

 

--------------

"Просто, по видимости, не видеть логики в очевидных вещах - это тоже одно из свойств некоторых умов, наряду с грустными думами о свойствах ума других."  © Vega 08/10/2011