Пол пациента:
Тип патологии:
Область исследования:
Методы исследования:
- https://radiomed.ru/sites/default/files/styles/case_slider_image/public/user/12/22.201201010045.jpg?itok=wLyAPKnt
- https://radiomed.ru/sites/default/files/styles/case_slider_image/public/user/12/1.201201010042.jpg?itok=4v6jAYbC
- https://radiomed.ru/sites/default/files/styles/case_slider_image/public/user/12/2.201308060043.jpg?itok=M3soZJ6p
- https://radiomed.ru/sites/default/files/styles/case_slider_image/public/user/12/3.201201010041.jpg?itok=5XoZENyB
- https://radiomed.ru/sites/default/files/styles/case_slider_image/public/user/12/4.201201010035.jpg?itok=LtzzQV8t
- https://radiomed.ru/sites/default/files/styles/case_slider_image/public/user/12/5.201308060036.jpg?itok=w7E_lXsp
- https://radiomed.ru/sites/default/files/styles/case_slider_image/public/user/12/6.201201010037.jpg?itok=wv-F1h-L
- https://radiomed.ru/sites/default/files/styles/case_slider_image/public/user/12/7.201308060038.jpg?itok=unoWsqsm
- https://radiomed.ru/sites/default/files/styles/case_slider_image/public/user/12/8.201201010039.jpg?itok=qxKXhJwv
- https://radiomed.ru/sites/default/files/styles/case_slider_image/public/user/12/9.201308060040.jpg?itok=6uOjk4SJ
ID:30542
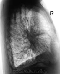
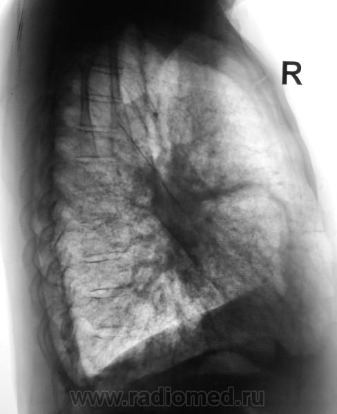
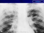
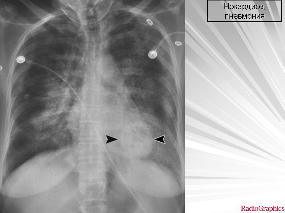
Двусторонняя интерстициальная. Гипертрофия правого корня, перисциссурит малой щели справа. Как бы не вылез центральный справа с лимфогенными метастазами.
Verum plus uno esse non potest.
Раковый лимфангит скорее всего
возможен чаще всего у человека пожилого возраста. Возраст пациента не указан. Сходную картину может дать саркоидоз органов дыхания II. Диагноз за клиницистами с учетом всех результатов обследования. При интерстициальных заболеваниях легких показазано КТ-исследование, если имеется такая возможность.
Выскажусь, как и в параллельной ветке, за диссеминированный туберкулез. Наверное, здесь можно предположить казеозный очаг (л/у?).
С Уважением, Дмитрий.
Первая мысль о раке.Но не спешим,назначим контроль,как при пневмонии.
доктора Дмитрия Волегова. Диссеминированному туберкулезу лимфогенного генеза не противоречит преимущественная локализация очагов в средних и нижних отделах легких, особенно у больных с наличием Вич-инфекции.
Не поддержу версию туберкулёза.У ВИЧ-инфецированных она симметрична,как правило.
Двухсторонняя пневмония. А через 2 недели видно будет.
Если КТ под рукой есть, то лучше не тянуть время.. Изменения явно интерстициальные, на простую пневмонию никак не тянут. Было несколько пациентов с раковым лимфангитом - выглядело это все именно так как на этой ФЛГ
Жду авторского продолжения.
Двухсторонняя пневмония. А через 2 недели видно будет.
-------------------------------------------------------------------------------------------------------------------------------------------------------
+1. Пнемония как уже сказано, интерстициальная. В дифференциально-диагностический ряд можно выставить и раковый лимфангаит, оздачить клиницистов, но как-то в этом плане не очень убедительно.
Возраст пациента весьма пожилой, в районе 60 лет.
В протоколе было рекомендовано провести диаскин-тест
Контроль назначен после проведения массивной противовоспалительной терапии.
Эта версия обдумывалась и обговаривалась. Со слов курирующего врача данных за ВИЧ нет, но то со слов...
КТ нет ни под рукой, ни под ногой..., по правде сказать не в КТ уже сомневаться стал, а в "кучерах", что на том КТ "ездют".
Температура у пациента в течение двух недель в районе 37 с небольшим, только сегодня назначены антибиотики.
Хоть это и не очень вероятно, такую картину тоже может давать аллергический альвеолит
Конечно, не для диагностики, а для контроля, для сравнения один срезик на боку мы резанули...
Конечно Вы правы, но вот "аллергену", а я допрашивал с пристрастием нет..., мокрота светлая, без примесей крови, сначала была очень обильная, сейчас - поменее...
Не шахтер?
С уважением,
Наличие интерстициальных и узелковых изменений легких, в сочетании с патологией плевры, предполагает наличие лимфангического карциноматоза.
Анатолий Петрович
Профанамнеза нет.
Тогда присоединяюсь к лимфангоиту.
С уважением,
Вероятно, Вы "присоединяетесь" к лимфангическому (лимфатическому, лимфогенному) карциноматозу? Лимфангоит - другая "песня". Лимфангит (от лимфа и др.-греч. ἀγγεῖον — «сосуд») (лимфангит, лимфангоит, нокардиоз кожно-лимфатический) — воспаление лимфатических сосудов.
Анатолий Петрович
По поводу "нокардиоза" не дошло...
Лимфангит — Википедия
лимфангит, лимфангоит, нокардиоз кожно-лимфатический
Анатолий Петрович
В пользу лимфангита еще преимущественное распространение в средних и нижних отделах, неструктурные корни, еще cuffing (разбухание?) стенки бронхов, подчеркнутость междолевых щелей (на боковом хорошо видно, средняя доля "выделена")
С уважением,
слово "лимфангоит" немного устарело и употреблялось в книгах 60-70 г. Редко в поздних изданиях.
С уважением,
Нокардиоз, прежде всего, "грибная нозологическая единица"...
Нокардиоз
Нокардиоз (синонимы: стрептотрихоз, кладотрихоз, атипичный актиномикоз; Nocardiose - нем.; nocardiose - франц.) - микоз, характеризующийся длительным прогрессирующим течением с частым поражением легких, центральной нервной системы. Нередки летальные исходы.
Этиология. Возбудителями являются различные виды грибов рода No-cardia. Основные из них: Nocardia asteroides, N. Brasiliensis. N. caviae. В патологическом материале обнаруживаются в виде коротких ветвящихся грамположительных нитей. В отличие от возбудителя актиномикоза друз не образует. Хорошо растет на обычных питательных средах. Патогенен для морских свинок и кроликов. В естественных условиях встречается у коров и собак. Из химиотерапевтических препаратов нокардии чувствительны к сульфаниламидам, бактриму, в меньшей степени к антибиотикам - ампициллину, эритромицину, левомицетину, канамицину.
Эпидемиология. В отличие от актиномикоза нокардиоз является экзогенной инфекцией. Возбудитель обнаруживается в почве. Заражение наступает аэрогенным (воздушно-пылевым) путем, в результате чаше всего возникает легочная форма нокардиоза. Реже человек инфицируется через поврежденную кожу. Случаев заражения человека от больных людей и животных не наблюдалось. Больные животные могут выделять (с гноем, мокротой) нокардии, которые попадают в почву, где они длительно сохраняются. Так могут возникать новые очаги. Нокардиоз встречается во многих странах. Наибольшее число нокардиоза зарегистрировано в США, Англии, в странах Африки, в Индии, Японии. Встречается нокардиоз в европейских странах и в нашей стране.
Патогенез. Возбудитель проникает через респираторный тракт, реже - через поврежденную кожу. На месте внедрения возбудителя возникают инфильтраты. Характерна гематогенная диссеминация во внутренние органы, мозг, подкожную клетчатку, с образованием множества микроабсцессов. Нередко наслаивается вторичная, преимущественно стафилококковая инфекция. Мужчины заболевают в два раза чаще, возраст не имеет существенного значения. В возникновении болезни большое значение имеет преморбидное состояние организма. Предрасполагающими факторами являются длительное применение кортикостероидных препаратов, рак легкого, другие заболевания легких, у детей большое значение имеет наличие хронических гранулематозных заболеваний. Для нокардиоза характерно развитие нагноений, некрозов, абсцессов. В отличие от других глубоких микозов для нокардиоза не характерна выраженная аллергическая перестройка организма, внутрикожная аллергическая проба при этом микозе не используется.
Легочная инфекция, вызываемая Nocardia, редкая, но серьезная, которая обнаруживается главным образом у пациентов с иммуносупрессией. Даже когда клиническое подозрение на нокардиоз велико, заболевание часто путают с другими нагноительными заболеваниями легких и опухолями.
Этиология.
Nocardia относится к аэробным актиномицетам ответственным за локальные и диссеминированные инфекции. Nocardia spp. - аэробные ветвящиеся филаментозные грам-положительные слабокислотоустойчивые бактерии, которые существуют как почвенные сапрофиты. Члены комплекса N. asteroids гетерогенная группа организмов, Наиболее часто вызывают нокардиоз у людей. Другие виды, которые могут вызывать легочную или диссеминированную инфекцию, включают N. farcinica, N. nova, N. otitidiscaviarum, N. transvalensis и N. brasiliensis.
Эпидемиология.
Nocardia spp. - нередкий почвенный микроорганизм, который часто инфицирует больных с предлежащей иммунной недостаточностью, заболеваниями легких или наличием в анамнезе травмы или хирургической операции. Наиболее частый путь для попадания в организм аэрозольный, легкие - наиболее частое место инфекции. Так как Nocardia spp. не является частью нашей нормальной микрофлоры и является редким лабораторным контаминантом, то выделение Nocardia из ткани или стерильных в норме жидкостей организма игнорироваться не должно.
Ранние исследования предполагали, что в США в год регистрируется 500-1000 случаев нокардиоза. В течение последнего десятилетия отмечено увлечение числа наблюдений нокардиоза у больных с выраженной иммуносупрессией. Многие из них известны как экстремально чувствительные к развитию нокардиоза. Нокардиоз наблюдается во всем мире, во всех возрастных группах и расах и в 2-3 раза чаще встречается у мужчин, чем у женщин. Поражение легких является основным клиническим проявлением (более, чем 40% доложенных случаев) и почти в 90% случаев, вызывается N. asteroids. Большинство штаммов в нашей серии наблюдений, тем не менее, было вида N. farcinica (60%). Известно, что N. farcinica самый вирулентный штамм Nocardia spp. Недавно во Франции было доложено увеличение выделения вида N. farcinica и предполагается, что это связано с учащением случав ВИЧ-инфекции. Они также обнаружили у этих больных более высокий уровень смертности.
Патогенез.
Большинство случаев инфекции является результатом вдыхания бацилл; легкие - обычно первичное место заболевания. Легочные поражения характеризуются в основном некротическими абцессами, которые не хорошо инкапсулированы и поэтому легко распространяются и видны ветвящиеся четковидные, филаментозные бактерии, подобные тем, которыенаблюдают в мазках из культуры. Гранулемобразование происходит нечасто и в отличие от актиномикотических поражений фиброз редок. Серные гранулы, как при актиномикозе, при нокардиальных висцеральных поражениях не определяются.
Клеточно-опосредованпый иммунитет играет важную роль в защите от нокардиоза и предполагается, что иммуноскомпрометированные пациенты подвержены этой инфекции. Важность антиген-специфических Т-лимфоцитов иммунной функции доказано увеличением чувствительности к нокардиальной инфекции атимического клона мышей и способности Т-лимфоцитов, полученных от иммунизированных N. asteroids кроликов, усиливать фагоцитоз и ингибировать рост этих микроорганизмов макрофагами.
Клиническая картина.
Нокардиоз обычно возникает у больных, которые имеют любые повреждения местной легочной защиты или системную иммуносупрессию. Нокардиоз особенно часто случается у больных с лейкемией, лимфомами, трансплантациями органов, СПИДом и длительной кортикостероидной или цитотоксичной терапией, хотя в некоторых случаях предрасполагающих факторов вовсе не находят. В наших наблюдениях четыре (44,4%) больных не имели явных предрасполагающих факторов.
Возбудитель вызывает острую, часто некротическую пневмонию, обычно ассоциированную с образованием полости. Другие проявления заболевания могут включать медленно увеличивающиеся легочные узлы или пневмонию, сочетающуюся эмпиемой. У больных с образованием полостей отмечается медленно прогрессирующая лихорадка, озноб, продуктивный кашель, потливость, потеря веса, анорексия, одышкя и кровохарканье. Рентгенологические проявления включают узлы, ретикулонодулярные или диффузные легочные инфильтраты, единичные или множественные абсцессы, и области уплотнения с кавитацией и без нее, которые часто граничат с плевральной полостью. В связи со склонностью к гематогенной диссеминации, Nocardia нередко вызывает метастатические распространение, чаще в мозг (примерно 33% всех наблюдений). Инвазия в грудную стенку может встречаться, но нечасто.
Диагностика.
Клинические и рентгенологические проявления легочного нокардиоза неспецифичны и могут быть ошибочны для различных бактериальных инфекций легких, включая актиномикоз и туберкулез, так же как и грибковые инфекции и новообразования. Настороженность к возможности нокардиоза позволяет ускорить постановку диагноза, особенно у больных с иммуносупрессией. Нокардиоз может быть быстро диагностирован после исследования мокроты, плевральной жидкости, бронхиального лаважа или чрезкожного легочного аспирата с окраской по Граму и выделения кислотоустойчивых бактерий. При окраске по Граму четко видно ветвящиеся грам-положительные бациллы неотличимые от Actinonyces, но они являются кислотоустойчивыми бактериями, тогда как Actinomyces нет. Nocardia spp. Неприхотливы, растут в аэробных условиях в течение от 48 часов до нескольких недель и должны быть инкубированы от 4-6 недель. Исследование антимикробной чувствительности является полезным для терапии, но результаты этих исследований должны быть интерпритированы с осторожностью. Национальный комитет по клиническим лабораторным стандартам США не так давно одобрил метод для определения антимикробной чувствительности аэробных актиномицетов, включая бульоны для микроразведений . Е-тест (AB-biodisk, Solna, Sweden) и BACTEC радиометрический метод коррелируют с бульонами для микроразведений и могут быть более полезным при рутинной клинической лабораторной диагностике].
Нокардиоз
Нокардиоз
http://www.neurologyindia.com/article.asp?issn=0028-3886;year=2011;volume=59;issue=5;spage=779;epage=782;aulast=Patil
КТ. Карциноматозный лимфангит в сравнении с "нормальными лёгкими"
КТ. Карциноматозный лимфангит в сравнении с "нормальными лёгкими"
Вот и контроль после лечения подоспел...
Динамики нет... К онкологам пойдет?
А клиника после лечения как? Визуально-то - не "айс". Мягко говоря - без динамики.
С уважением,
К онкологам.
Жалоб нет, температуры нет, только кашель с мокротой. Мокрота со слов пациента и жены его светлая, без примесей.
А куда он денеться если надо..., немного покобенится конечно...