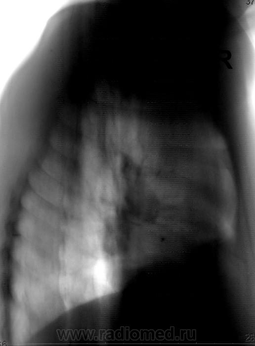
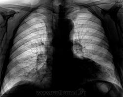
Не ясный... В клинике превалирует одышка...

Пол пациента: 
Тип патологии: 
Методы исследования: 

Не ясный...  В клинике превалирует одышка...

  • https://radiomed.ru/sites/default/files/styles/case_slider_image/public/user/12/2.201404180137.jpg?itok=5YJUCS41
  • https://radiomed.ru/sites/default/files/styles/case_slider_image/public/user/12/3.201404180136.jpg?itok=EcnfJEFk
  • https://radiomed.ru/sites/default/files/styles/case_slider_image/public/user/12/4.201404180139.jpg?itok=mMtl_TIY
  • https://radiomed.ru/sites/default/files/styles/case_slider_image/public/user/12/5.201404180141.jpg?itok=8aEJKYrV
  • https://radiomed.ru/sites/default/files/styles/case_slider_image/public/user/12/5.201404180145.jpg?itok=yRLB-2cb
  • https://radiomed.ru/sites/default/files/styles/case_slider_image/public/user/12/6.201404180143.jpg?itok=7XrEAX_X
ID:37538
Катенёв Валентин Львович аватар
Не на сайте
Был на сайте: 7 лет 2 недели назад
Зарегистрирован: 22.03.2008 - 22:15
Публикации: 54876

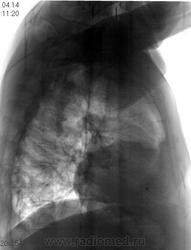
Более контрастные изображения.

 

Приложения: 
1.201404190135.jpg2.201404190138.jpg3.201404190140.jpg4.201404190142.jpg5.201404190144.jpg6.201404190146.jpg
Марина Сергеевна аватар
Не на сайте
Был на сайте: 6 месяцев 2 недели назад
Зарегистрирован: 26.04.2011 - 11:56
Публикации: 996

Отмечает внезапно возникшую одышку? ЭХО-КГ было? Мне чудится симптом Вестермарка в верхней доле справа и нежная интерстициальная инфильтрация в S6 справа. Хвост правого корня не красивый, может он "обрублен"? Ну и признаки ХОБЛ есть.

"There is no teacher, who can teach us anything new. He just can help us to remember the things we always knew" (c) Enigma.

atexta аватар
Не на сайте
Был на сайте: 2 года 10 месяцев назад
Зарегистрирован: 08.02.2014 - 18:41
Публикации: 4842

Плевральные наложения справа, пока больше ничего плхого не вижу

Не нам судить…

Сольвейг аватар
Не на сайте
Был на сайте: 3 года 5 месяцев назад
Зарегистрирован: 05.02.2013 - 20:25
Публикации: 2239

Ох, сердешная...А тмг на что конкретно выполнялись?

Сергей Кузьминов аватар
Не на сайте
Был на сайте: 1 год 2 недели назад
Зарегистрирован: 06.10.2012 - 15:51
Публикации: 11813

Тень сердца объясняет причину одышки.

Сольвейг аватар
Не на сайте
Был на сайте: 3 года 5 месяцев назад
Зарегистрирован: 05.02.2013 - 20:25
Публикации: 2239

Сергей Кузьминов wrote:

Тень сердца объясняет причину одышки.

Во-во: аортальный порок опять.

Сольвейг аватар
Не на сайте
Был на сайте: 3 года 5 месяцев назад
Зарегистрирован: 05.02.2013 - 20:25
Публикации: 2239

Может, конечно, еще чего. Валентин Львович завтра скажет.

schlyapa аватар
Не на сайте
Был на сайте: 8 лет 1 неделя назад
Зарегистрирован: 27.09.2013 - 22:15
Публикации: 613

Может, ляпну глупость: а разве есть признаки застоя?

Сольвейг аватар
Не на сайте
Был на сайте: 3 года 5 месяцев назад
Зарегистрирован: 05.02.2013 - 20:25
Публикации: 2239

schlyapa wrote:
Может, ляпну глупость: а разве есть признаки застоя?

Есть.

алкс аватар
Не на сайте
Был на сайте: 10 лет 2 недели назад
Зарегистрирован: 24.10.2012 - 22:55
Публикации: 2915

Марина Сергеевна wrote:

Отмечает внезапно возникшую одышку? ЭХО-КГ было? Мне чудится симптом Вестермарка в верхней доле справа и нежная интерстициальная инфильтрация в S6 справа. Хвост правого корня не красивый, может он "обрублен"? Ну и признаки ХОБЛ есть.

И так пробовал и этак, не двигается изображение для с-ма Вестермарка в верхней доле справа...( ну не дышит  и все.) А интерстициальная инфильтрация это как? Ну нежная - ммм... понятно слово. А признаки ХОБЛ вообще интересно бы узнать...

Или Вы просто думаете за ателектаз? Тогда согласен.

Сольвейг аватар
Не на сайте
Был на сайте: 3 года 5 месяцев назад
Зарегистрирован: 05.02.2013 - 20:25
Публикации: 2239

Добрый вечер, алкс! А в каком месте- ателектаз? Или Вы дисковидные имеете ввиду?

NIL аватар
NIL
Не на сайте
Был на сайте: 16 часов 7 минут назад
Зарегистрирован: 25.11.2013 - 20:50
Публикации: 18206

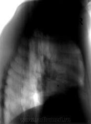
Коллеги, а как Вы объясните эту тень? Что-то я на ней зависла. Не ателектаз, не междолевой плеврит. Абдоминомедиастинальная липома?

Приложения: 
2.201404180137.jpg


"Слушай всех, прислушивайся к немногим, решай сам".©

алкс аватар
Не на сайте
Был на сайте: 10 лет 2 недели назад
Зарегистрирован: 24.10.2012 - 22:55
Публикации: 2915

Миргалина wrote:
Добрый вечер, алкс! А в каком месте- ателектаз? Или Вы дисковидные имеете ввиду?

А вот уже и ответили...smiley

Сольвейг аватар
Не на сайте
Был на сайте: 3 года 5 месяцев назад
Зарегистрирован: 05.02.2013 - 20:25
Публикации: 2239

алкс wrote:

Миргалина wrote:
Добрый вечер, алкс! А в каком месте- ателектаз? Или Вы дисковидные имеете ввиду?

А вот уже и ответили...smiley

Понятно. ТЭЛА, конечно, тоже может быть. Но все равно-сердешная

Mila85 аватар
Не на сайте
Был на сайте: 3 года 1 месяц назад
Зарегистрирован: 15.03.2012 - 16:59
Публикации: 1790

Тень это жир, по прямому тоже хорошо видно что сердце жирновато

Марина Сергеевна аватар
Не на сайте
Был на сайте: 6 месяцев 2 недели назад
Зарегистрирован: 26.04.2011 - 11:56
Публикации: 996

алкс wrote:

Марина Сергеевна wrote:

Отмечает внезапно возникшую одышку? ЭХО-КГ было? Мне чудится симптом Вестермарка в верхней доле справа и нежная интерстициальная инфильтрация в S6 справа. Хвост правого корня не красивый, может он "обрублен"? Ну и признаки ХОБЛ есть.

И так пробовал и этак, не двигается изображение для с-ма Вестермарка в верхней доле справа...( ну не дышит  и все.) А интерстициальная инфильтрация это как? Ну нежная - ммм... понятно слово. А признаки ХОБЛ вообще интересно бы узнать...

Или Вы просто думаете за ателектаз? Тогда согласен.

Попробую объяснить. Стрелок на картинках не нарисую, по причине что я сейчас однорукая (отдыхаю на больничном со сломаной правой). Я не настаиваю на своем мнении, мне только "почудилось". Если сравнивать лег рисунок верхних долей, то справа он мне кажется обедненным. Для такого-то сердца и сосудов по лег полям должно быть поболее. А интерстиц инфильтрация, потому что нет "пятен" и "хлопьев" сливающейся альвелярной (простите КТ-шный термин), а есть нежное сетчатое затемнение, на фоне которого прослеж сосуды. Вот дисковидных коллапсов я не нашла, покажете?

Насчет ХОБЛ - стенки бронхов утолщены муфтой, хрящевые кольца трахеи, главных, долевых и устьев сегментарных кальцинированы, это отлично видно на линейках. 

У такого человека в возрасте мне кажется сейчас важнее всего как раз исключить ТЭЛА, ХОБЛ и застой это меньшее из зол.

Очень важна клиника, ЭХО-КГ, димеры.

"There is no teacher, who can teach us anything new. He just can help us to remember the things we always knew" (c) Enigma.

Катенёв Валентин Львович аватар
Не на сайте
Был на сайте: 7 лет 2 недели назад
Зарегистрирован: 22.03.2008 - 22:15
Публикации: 54876

NIL wrote:

Коллеги, а как Вы объясните эту тень?

+1

Катенёв Валентин Львович аватар
Не на сайте
Был на сайте: 7 лет 2 недели назад
Зарегистрирован: 22.03.2008 - 22:15
Публикации: 54876

Mila85 wrote:

Тень это жир

И часто "жир" имеет такие контуры?

Mila85 аватар
Не на сайте
Был на сайте: 3 года 1 месяц назад
Зарегистрирован: 15.03.2012 - 16:59
Публикации: 1790

А что это еще может быть? Может, на плевре, но по прямому снимку не похоже. Жировая подушка, я считаю, тем более пациент судя по всему не худенький

NIL аватар
NIL
Не на сайте
Был на сайте: 16 часов 7 минут назад
Зарегистрирован: 25.11.2013 - 20:50
Публикации: 18206

Как-то сомневаюсь я в абдоминомедиастинальной липоме. Огроменные размеры, фестончатый контур. Подумала ещё о парастернальной диафрагмальной грыже. Валентин Львович, а в архиве что?


"Слушай всех, прислушивайся к немногим, решай сам".©

atexta аватар
Не на сайте
Был на сайте: 2 года 10 месяцев назад
Зарегистрирован: 08.02.2014 - 18:41
Публикации: 4842

NIL wrote:

Коллеги, а как Вы объясните эту тень? Что-то я на ней зависла. Не ателектаз, не междолевой плеврит. Абдоминомедиастинальная липома?

Так я вообще эту тень и имела в виду, но детально её не могу разглядеть, даже с учетом т\грамм- у меня все какое-то непрозрачное, нечеткое . Чтобы не гадать взяла бы на скопию. Про корень ничего не скажу, видимо, они все так на цифровых выглядят.

Не нам судить…

NIL аватар
NIL
Не на сайте
Был на сайте: 16 часов 7 минут назад
Зарегистрирован: 25.11.2013 - 20:50
Публикации: 18206

atexta wrote:

Чтобы не гадать взяла бы на скопию. Про корень ничего не скажу, видимо, они все так на цифровых выглядят.

Я тоже о скопии подумала. Всё же полипозиционное исследование часто выручает. Посмотреть, пульсирует или нет, куда с кашлевым толчком смещается и т.д.


"Слушай всех, прислушивайся к немногим, решай сам".©

Катенёв Валентин Львович аватар
Не на сайте
Был на сайте: 7 лет 2 недели назад
Зарегистрирован: 22.03.2008 - 22:15
Публикации: 54876

NIL wrote:

Как-то сомневаюсь я в абдоминомедиастинальной липоме. Огроменные размеры, фестончатый контур. Подумала ещё о парастернальной диафрагмальной грыже. Валентин Львович, а в архиве что?

Архива нет. Пациент иногородний.

NIL аватар
NIL
Не на сайте
Был на сайте: 16 часов 7 минут назад
Зарегистрирован: 25.11.2013 - 20:50
Публикации: 18206

Валентин Львович, а каким было Ваше заключение, или хотя бы диф.ряд? ( обмен опытом)


"Слушай всех, прислушивайся к немногим, решай сам".©

Катенёв Валентин Львович аватар
Не на сайте
Был на сайте: 7 лет 2 недели назад
Зарегистрирован: 22.03.2008 - 22:15
Публикации: 54876

Пациента лечат, правда не понятно от чего, а раз лечат, то на контроль дадут.

Будем посмотреть...

NIL аватар
NIL
Не на сайте
Был на сайте: 16 часов 7 минут назад
Зарегистрирован: 25.11.2013 - 20:50
Публикации: 18206

Катенёв Валентин Львович wrote:

Пациента лечат, правда не понятно от чего, а раз лечат, то на контроль дадут.

Будем посмотреть...

Валентин Львович, простите за настырность (не из вредности).Клиницисты пациента лечат отчасти и с нашей подачи. Пациент побывал в Р-кабинете, ему проведено исследование. Ему что-то написано Вами в истории болезни (заключение? диф. ряд?) Понятно, что случай сложный. Мы не боги - можем заблуждаться.Когда вижу такую картину, сразу думаю, а что бы я писала в данном конретном случае...Интересен опыт компетентных коллег.( Вот поэтому к Вам и клеюсь)


"Слушай всех, прислушивайся к немногим, решай сам".©