Новорожденный

Пол пациента: 
Тип патологии: 
Методы исследования: 

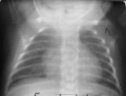
Недоношенный 34 недели находится в стационаре с диагнозом Синдром дыхат.расстройств.На ЭХО: ДМЖП, ОАП, ООО, сброс слева направо.3 снимка.Между 1 и2 сн. 6 дней,. между 2 и3 сн. 10 дней.3 и 4 сн. один и тот же,лучше сфотограф.не получается.На последнем снимке признаки лег.гипертензии за счет ВПС или воспаление? Динамика?

  • https://radiomed.ru/sites/default/files/styles/case_slider_image/public/user/14624/p1010081.jpg?itok=A8swaYbr
  • https://radiomed.ru/sites/default/files/styles/case_slider_image/public/user/14624/p1010091.jpg?itok=5EGD8cmb
  • https://radiomed.ru/sites/default/files/styles/case_slider_image/public/user/14624/p1010097.jpg?itok=kflbB0gN
  • https://radiomed.ru/sites/default/files/styles/case_slider_image/public/user/2841/p1010078-.jpg?itok=ceI_W7Np
  • https://radiomed.ru/sites/default/files/styles/case_slider_image/public/user/2841/p1010081-.jpg?itok=uLgrivdV
  • https://radiomed.ru/sites/default/files/styles/case_slider_image/public/user/2841/p1010091-.jpg?itok=w4bg1pOh
  • https://radiomed.ru/sites/default/files/styles/case_slider_image/public/user/2841/p1010097-.jpg?itok=GrAhNmbH
ID:33604
Ola-la аватар
Не на сайте
Был на сайте: 10 месяцев 3 дня назад
Зарегистрирован: 06.12.2008 - 09:33
Публикации: 1786

Убедительных данных за пневмонию нет. 

Алексей Игоревич Чернявский аватар
Не на сайте
Был на сайте: 6 лет 10 месяцев назад
Зарегистрирован: 08.08.2012 - 21:52
Публикации: 786

Из-за разного качества снимков судить о динамике сложно, но помоему она есть, позитивная. Пневмонию тоже не вижу. Признаки гипертензии, отека, РДС у деток малоспецифичны. А гидроперикарда на ЭХО не было?

"Обучая других - учишься сам". Н.И.Пирогов
 

Almo аватар
Не на сайте
Был на сайте: 20 часов 25 минут назад
Зарегистрирован: 28.09.2008 - 18:50
Публикации: 8248

"Слегка" опоздал к началу обсужденияsad.  ИМХО: легкие без очаговых и инфильтративыных изменений( норма). Сердце:" круглое"( вероятно порок, но это переготива эхокардиографии).Сообщите пожалуста,какой окончательный диагноз будет у пациента!

P.S. выполнялось ли матери периналальная УЗИ диагностика и каково было заключение?

Gulnara аватар
Не на сайте
Был на сайте: 5 лет 10 месяцев назад
Зарегистрирован: 14.12.2011 - 18:54
Публикации: 168

Всем большое спасибо!Я тоже думаю,что за счет разной глубины вдоха, сгущение рисунка на 3 снимке.Клинически на данный момент все нормально.При переводе из род.дома была одышка,цианоз носогуб.треугольника.3-е УЗИ во время берем-ти не делала,поэтому ВПС был новостью для мамы.Перикардита на ЭХО нет.Готовится к выписке домой.

Almo аватар
Не на сайте
Был на сайте: 20 часов 25 минут назад
Зарегистрирован: 28.09.2008 - 18:50
Публикации: 8248

Спасибо, за ответ!