От УЗИста.

Пол пациента: 
Методы исследования: 

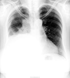
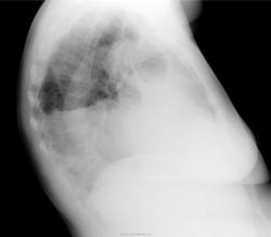
Женщина лет 70.Лечится у невролога по поводу болей в спине.Сегодня сделала УЗИ почек, доктор сказал. что подозревает жидкость в грудной клетке.На лекгие жалоб нет.

  • https://radiomed.ru/sites/default/files/styles/case_slider_image/public/user/17114/kam2.jpg?itok=bjRhqNRm
ID:41722
Nikolas аватар
Не на сайте
Был на сайте: 2 месяцев 8 часов назад
Зарегистрирован: 21.12.2010 - 20:37
Публикации: 4559

в категории указали "злокачественное образование", для которого зарактерен так называемый "холодный выпот" без температурной реакции. Должно быть затрудненное дыхание. Так как при таком большом выпоте нет смещения средостения в противоположную, следует думать об ателектазе (средняя доля?)

Дмитрий Волегов аватар
Не на сайте
Был на сайте: 3 года 6 месяцев назад
Зарегистрирован: 22.05.2013 - 00:32
Публикации: 1148

Осумкованный выпот справа. Свободная жидкость в плевральной полости тоже есть. Должна быть одышка. Если есть отёки на ногах - сердечная недостаточность. Ещё много причин, вызывающих скопление жидкости в плевральной полости, в том числе онко, сдавление полой вены. 

С Уважением, Дмитрий.

Сергей Кузьминов аватар
Не на сайте
Был на сайте: 1 год 2 недели назад
Зарегистрирован: 06.10.2012 - 15:51
Публикации: 11813

Как Вам, коллеги, тень в верхней доле справа?Смещения нет, ателектаз, вероятно. компенсирует выпот.Лёгочных жалоб, отёков и лихорадки нет.

Nikolas аватар
Не на сайте
Был на сайте: 2 месяцев 8 часов назад
Зарегистрирован: 21.12.2010 - 20:37
Публикации: 4559

Торакоцентез срочно для изучения характера выпота, посев, поиск раковых клеток. Лучше биопсию плевры.

алкс аватар
Не на сайте
Был на сайте: 10 лет 3 недели назад
Зарегистрирован: 24.10.2012 - 22:55
Публикации: 2915

Nikolas wrote:

в категории указали "злокачественное образование", для которого зарактерен так называемый "холодный выпот" без температурной реакции. Должно быть затрудненное дыхание. Так как при таком большом выпоте нет смещения средостения в противоположную, следует думать об ателектазе (средняя доля?)

Вы абсолютно правы, тут ателектаз + выпот. Выпот за счет Мт в верхних отделах, м.б. и в паракостальную плевру.  Думаю не только средняя доля, а весь центральный бронх.

Сергей Кузьминов аватар
Не на сайте
Был на сайте: 1 год 2 недели назад
Зарегистрирован: 06.10.2012 - 15:51
Публикации: 11813

Так оно и есть.Всем спасибо.Больная сразу направлена к онкологу.