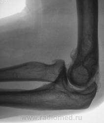
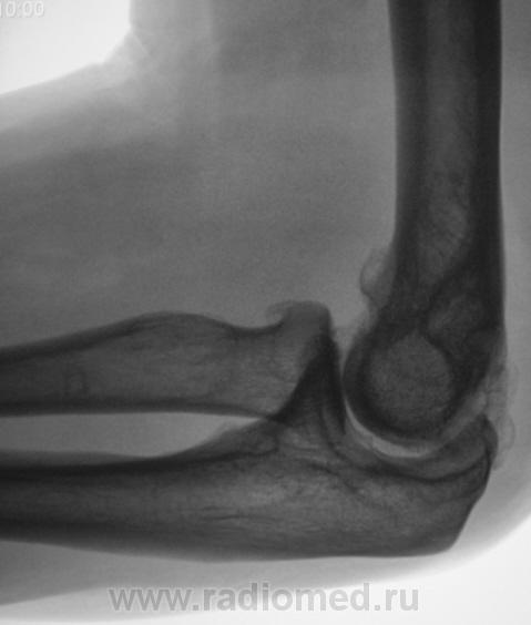
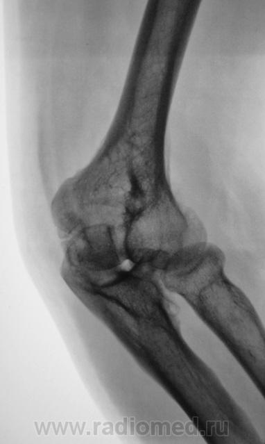
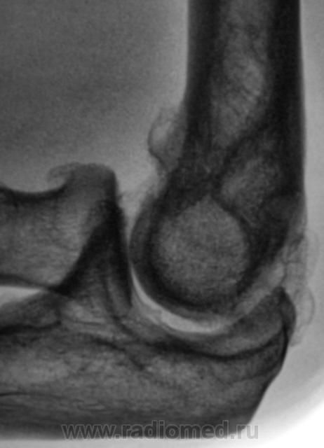
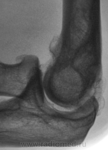
Пациент направлен на рентгенографию локтевого сустава.

Пол пациента: 
Тип патологии: 
Область исследования: 
Методы исследования: 

Пациент направлен на рентгенографию локтевого сустава. Была травма или не была не помнит. Пациент весьма пьющий, направлен хирургом с диагнозом "перелом". Рука в локтевом суставе полность не разгибается.

Ваше мнение уважаемые коллеги?

  • https://radiomed.ru/sites/default/files/styles/case_slider_image/public/user/12/2.Alk_..jpg?itok=bM_F1ErA
  • https://radiomed.ru/sites/default/files/styles/case_slider_image/public/user/12/3.Alk_.JPG?itok=SKlabLc8
  • https://radiomed.ru/sites/default/files/styles/case_slider_image/public/user/12/4._Alk.JPG?itok=ivhw1zxJ
  • https://radiomed.ru/sites/default/files/styles/case_slider_image/public/user/12/5.Alk_..jpg?itok=4o807DSD
  • https://radiomed.ru/sites/default/files/styles/case_slider_image/public/user/12/6.Alk_..JPG?itok=ZB-W-7fd
  • https://radiomed.ru/sites/default/files/styles/case_slider_image/public/user/12/7.Alk_..JPG?itok=efq__iyR
  • https://radiomed.ru/sites/default/files/styles/case_slider_image/public/user/12/8.Alk_..JPG?itok=RlBKGGmT
  • https://radiomed.ru/sites/default/files/styles/case_slider_image/public/user/12/9.ALK_..jpg?itok=H0tVZ5gP
  • https://radiomed.ru/sites/default/files/styles/case_slider_image/public/user/12/10.ALK_.jpg?itok=TDL5Zgep
  • https://radiomed.ru/sites/default/files/styles/case_slider_image/public/user/12/11.ALK_.jpg?itok=aRzmiR86
  • https://radiomed.ru/sites/default/files/styles/case_slider_image/public/user/12/12.ALK_..jpg?itok=_n4IVNqq
ID:322
Наталия аватар
Не на сайте
Был на сайте: 8 лет 7 месяцев назад
Зарегистрирован: 30.07.2008 - 13:24
Публикации: 538

Наверно, застарелый перелом в области блока плечевой кости. Не понятен периостит.