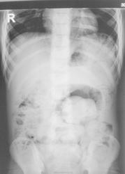
Подросток направлен на рентгенографию ОБП с диагнозом "Кишечная непроходимость".

Пол пациента: 
Тип патологии: 
Область исследования: 
Методы исследования: 

Подросток направлен на рентгенографию ОБП с диагнозом "Кишечная непроходимость".

Пассаж бария при пероральном применении.

  • https://radiomed.ru/sites/default/files/styles/case_slider_image/public/user/12/2.p1240004a.jpg?itok=ywcLpypA
  • https://radiomed.ru/sites/default/files/styles/case_slider_image/public/user/12/1.p1240005.jpg?itok=Tb4I0B5B
  • https://radiomed.ru/sites/default/files/styles/case_slider_image/public/user/12/2.p1240006.jpg?itok=KyBy9tON
  • https://radiomed.ru/sites/default/files/styles/case_slider_image/public/user/12/3.p1240007.jpg?itok=BEFSCd0c
  • https://radiomed.ru/sites/default/files/styles/case_slider_image/public/user/12/4.p1240008.jpg?itok=eXl4rQKJ
ID:18426
Евгений Второй аватар
Не на сайте
Был на сайте: 1 месяц 22 часа назад
Зарегистрирован: 13.09.2011 - 22:00
Публикации: 1772

Гиршпрунга?

stovbav аватар
Не на сайте
Был на сайте: 2 года 2 месяцев назад
Зарегистрирован: 20.12.2009 - 17:28
Публикации: 7066

Евгений Второй wrote:
Гиршпрунга?

+1

С ТАКИМИ "завалами" вполне....

Катенёв Валентин Львович аватар
Не на сайте
Был на сайте: 7 лет 2 недели назад
Зарегистрирован: 22.03.2008 - 22:15
Публикации: 54876

stovbav wrote:

Евгений Второй wrote:
Гиршпрунга?

+1

С ТАКИМИ "завалами" вполне....

Что делать? Эндоскопист болен, лежит в области.

stovbav аватар
Не на сайте
Был на сайте: 2 года 2 месяцев назад
Зарегистрирован: 20.12.2009 - 17:28
Публикации: 7066

Явного "непрохода" нет. Вести консервативно, паралельно обследовать...подумать и об ирригоскопии...

А что вообще со стулом? Запоры с детства? Или нормальный?

Катенёв Валентин Львович аватар
Не на сайте
Был на сайте: 7 лет 2 недели назад
Зарегистрирован: 22.03.2008 - 22:15
Публикации: 54876

Запоры с детства.

Катенёв Валентин Львович аватар
Не на сайте
Был на сайте: 7 лет 2 недели назад
Зарегистрирован: 22.03.2008 - 22:15
Публикации: 54876

Барий дан в четверг п/о, последний снимок "от сегодня", следовательно "пассаж" следовал почти пять дней.

Dr.Yllich аватар
Не на сайте
Был на сайте: 1 год 4 месяцев назад
Зарегистрирован: 01.05.2011 - 22:52
Публикации: 1196

Без ирригоскопии не обойтись, полагаю. Необходимо показать зону аганглиоза.

С уважением. Ильич.

И.Бондаренко аватар
Не на сайте
Был на сайте: 2 дня 4 часа назад
Зарегистрирован: 13.09.2011 - 22:55
Публикации: 9206

Да, хлопца придётся в обратном порядке контрастировать

Дмитрий86 аватар
Не на сайте
Был на сайте: 12 месяцев 3 дня назад
Зарегистрирован: 17.01.2012 - 08:49
Публикации: 285

ктонибудь из родных имеет такую же патологию, заболевание наследственное, может поможет отдифференцировать

Фил аватар
Не на сайте
Был на сайте: 6 лет 9 месяцев назад
Зарегистрирован: 13.09.2011 - 16:24
Публикации: 137

У Филипкиной есть монография по толстому кишечнику. Точное название не скажу. Есть там точно такая картинка , да  и мне такие в гастроотделении облдетбольницы часто приходилось описывать- так выглядит  левосторонний микстоколон. Когда  врожденное увеличение  нисходящего отдела ободочной кишки. Запоры - с детства. Иногда отстают в росте .При ирригографии- задержка контраста именно там , гда на обзоре - завалы. Их перед ирригорафией клизмами с магнезие ( кажется) приходится дня три "отмывать " , чтобы хорошо стала  была видна  стенка кишечника. Контуры рельефа- обычно- огрублены. Гаустрация- сглажена.

Катенёв Валентин Львович аватар
Не на сайте
Был на сайте: 7 лет 2 недели назад
Зарегистрирован: 22.03.2008 - 22:15
Публикации: 54876

Фил wrote:

Есть там точно такая картинка , да  и мне такие в гастроотделении облдетбольницы часто приходилось описывать- так выглядит  левосторонний микстоколон.

А, что такое микстоколон?

stovbav аватар
Не на сайте
Был на сайте: 2 года 2 месяцев назад
Зарегистрирован: 20.12.2009 - 17:28
Публикации: 7066

 

 

Микстоколон- оба фланга толстой кишки на некотором протяжении имеют брыжейку
Катенёв Валентин Львович аватар
Не на сайте
Был на сайте: 7 лет 2 недели назад
Зарегистрирован: 22.03.2008 - 22:15
Публикации: 54876

Спасибо Виктор Григорьевич!

stovbav аватар
Не на сайте
Был на сайте: 2 года 2 месяцев назад
Зарегистрирован: 20.12.2009 - 17:28
Публикации: 7066

Катенёв Валентин Львович wrote:

Спасибо Виктор Григорьевич!

 Да нет за что..."нарыл" в одной из диссертаций по аномалиям толстой кишки и по Гиршпрунгу у взрослых, так, в "свободном" хождениии, термин №"не замечен", по крайней мере в нашем регионе)))))

Фил аватар
Не на сайте
Был на сайте: 6 лет 9 месяцев назад
Зарегистрирован: 13.09.2011 - 16:24
Публикации: 137

Позвольте добавить : не только имеют брыжейку , но и удлинены и образуют дополнительные изгибы, что и способствует  запорам. Бывает  и правосторонний вариант. Если  интересно , могу картинки сфотографировать  , когда к коллегам в гости забегу. У них  в ординаторской на книжной полке стоит.

Катенёв Валентин Львович аватар
Не на сайте
Был на сайте: 7 лет 2 недели назад
Зарегистрирован: 22.03.2008 - 22:15
Публикации: 54876

Фил wrote:

 Если  интересно , могу картинки сфотографировать  , когда к коллегам в гости забегу. У них  в ординаторской на книжной полке стоит.

Интересно очень буду ждать.