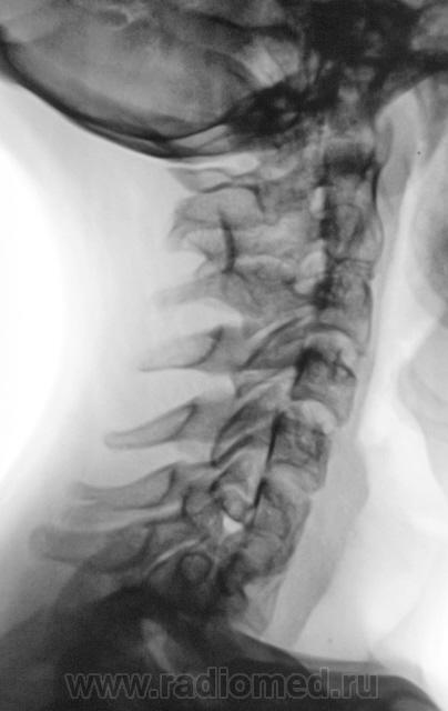
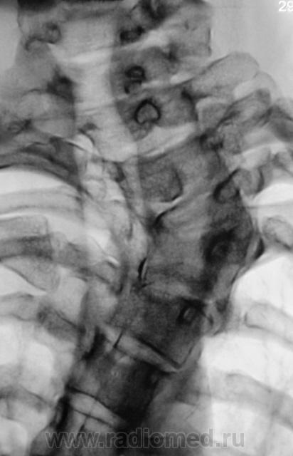
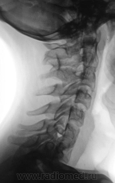
Подросток направлен в рентгеновский кабинет с диагнозом "сколиоз"...

Пол пациента: 
Тип патологии: 
Область исследования: 
Методы исследования: 

Подросток направлен в рентгеновский кабинет с диагнозом "сколиоз"...

  • https://radiomed.ru/sites/default/files/styles/case_slider_image/public/user/12/2.p8030009a.jpg?itok=Z_QAmzkH
  • https://radiomed.ru/sites/default/files/styles/case_slider_image/public/user/12/3.p8030010.jpg?itok=ZXvrZopy
  • https://radiomed.ru/sites/default/files/styles/case_slider_image/public/user/12/4.p8030010a.jpg?itok=0g5d0gJD
  • https://radiomed.ru/sites/default/files/styles/case_slider_image/public/user/12/5.p8030011.jpg?itok=wxUobZ1o
  • https://radiomed.ru/sites/default/files/styles/case_slider_image/public/user/12/6.p8030011a.jpg?itok=xT7WM41P
  • https://radiomed.ru/sites/default/files/styles/case_slider_image/public/user/12/7.p8030012.jpg?itok=zhxWuEvP
  • https://radiomed.ru/sites/default/files/styles/case_slider_image/public/user/12/8.p8030012a.jpg?itok=Vf0iHOvo
  • https://radiomed.ru/sites/default/files/styles/case_slider_image/public/user/12/9.p8030013.jpg?itok=n70s39H-
  • https://radiomed.ru/sites/default/files/styles/case_slider_image/public/user/12/10.p8030013a.jpg?itok=etG19wlQ
ID:5154
Nela аватар
Не на сайте
Был на сайте: 6 лет 4 недели назад
Зарегистрирован: 12.05.2009 - 20:43
Публикации: 1847

Ну что же, сколиоз есть.

Катенёв Валентин Львович аватар
Не на сайте
Был на сайте: 7 лет 2 недели назад
Зарегистрирован: 22.03.2008 - 22:15
Публикации: 54876

Сколиоз-то сколиоз, но генеза "аномального".

stroganoff аватар
Не на сайте
Был на сайте: 15 лет 2 месяцев назад
Зарегистрирован: 26.05.2010 - 16:53
Публикации: 57

Это синостоз тел верхних шейных позвонков и С6-С7? И боковые клиновидные полупозвонки в верхнегрудном отделе? Это синдром Клиппеля-Файля? А может и Шпренгеля...

Vikkur аватар
Не на сайте
Был на сайте: 4 года 8 месяцев назад
Зарегистрирован: 24.09.2009 - 14:34
Публикации: 1749

Поражает, что только сейчас выявлена такая выраженная дисплазия..там видимо и по органам проблемм хватает.. 

Виктор.

Катенёв Валентин Львович аватар
Не на сайте
Был на сайте: 7 лет 2 недели назад
Зарегистрирован: 22.03.2008 - 22:15
Публикации: 54876

Vikkur wrote:

Поражает, что только сейчас выявлена такая выраженная дисплазия..там видимо и по органам проблемм хватает.. 

Совершенно верно. Ведь детей и подростков "смотрят" каждый год. Возникает вопрос, как смотрят и каким "органом"?

Nela аватар
Не на сайте
Был на сайте: 6 лет 4 недели назад
Зарегистрирован: 12.05.2009 - 20:43
Публикации: 1847

Разумется аномалия. А ведь в карточке, наверно все аккуратно записано.

Катенёв Валентин Львович аватар
Не на сайте
Был на сайте: 7 лет 2 недели назад
Зарегистрирован: 22.03.2008 - 22:15
Публикации: 54876

Nela wrote:

Разумется аномалия. А ведь в карточке, наверно все аккуратно записано.

Увы, по "данному поводу" карточка девственно чиста.