Пол пациента:
Тип патологии:
Область исследования:
Методы исследования:
- https://radiomed.ru/sites/default/files/styles/case_slider_image/public/user/12/2uro.risunok78.jpg?itok=HFnQTmwe
- https://radiomed.ru/sites/default/files/styles/case_slider_image/public/user/12/3.uro_.risunok79.jpg?itok=tJEqpouw
- https://radiomed.ru/sites/default/files/styles/case_slider_image/public/user/12/4.uro_.risunok80.jpg?itok=KNFB5oSp
- https://radiomed.ru/sites/default/files/styles/case_slider_image/public/user/12/5.uro_.risunok71.jpg?itok=InData-Y
- https://radiomed.ru/sites/default/files/styles/case_slider_image/public/user/12/6.uro_.risunok72.jpg?itok=7o7gKqkV
- https://radiomed.ru/sites/default/files/styles/case_slider_image/public/user/12/7.uro_.risunok73.jpg?itok=szL-1Atu
- https://radiomed.ru/sites/default/files/styles/case_slider_image/public/user/12/8.uro_.risunok74.jpg?itok=xcD_e-5r
- https://radiomed.ru/sites/default/files/styles/case_slider_image/public/user/12/10.uro_.risunok76.jpg?itok=kz-5cNoN
ID:10984
1.А где же сама в\в урография?
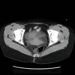
2. Похоже на новообразование мочевого пузыря, распространяющееся на устье мочеточника (это с моих скромных познаний в КТ)
Болезни ног: виды, симптомы, причины, профилактика и лечение
Здравствуйте Виктор Григорьевич!
В соседних районах, в ЦРБ, постепенно начали устанавливать эту достойную аппаратуру, езжу, смотрю, иногда кое-что и из изображений конфискую.
Здравствуйте, Валентин Львович!
Это здорово, что есть новые поступления аппаратуры....так что с моим предположением?
Болезни ног: виды, симптомы, причины, профилактика и лечение
Да, рак. Прооперировали в области в урологии.
КТ (СКТ) у нас в области стали ставить довольно интенсивно. МРТ, конечно есть в областном центре и в двух более менее крупных городах. Но, частник тоже не зевает, в двух районах уже открыли 2 (платных) центра МРТ - крыша Воронеж.
У нас частники тоже....впереди планеты всей....открыли КТ/МРТ всего через год или немногим более того после первого государственного МРТ.
Да оно и хорошо, доступность лучше, а работают там...те же самые люди....
Болезни ног: виды, симптомы, причины, профилактика и лечение
Спорный вопрос
-------------------------------------------------------------------------------------------------
Я получил счет от хирургов. Теперь мне понятно, почему эти парни работают в масках.
В чем спорность?
Болезни ног: виды, симптомы, причины, профилактика и лечение
1. В кадрах. Действительно ли те же самые?. Согласно моему пониманию, доктор, проработав в гос. медицине определенное кол-во лет (6+) редко уходит в частную. Только если его толкает крайняя нужда. В частных центрах хотят и опыт и степени и звания для солидности, но платить высокие зарплаты из своих в прямом смысле денег готовы не всегда. В свою очередь "выросший" доктор будет требовать себе з. п.согласно своему списку достижений. Посему зачастую туда набирают неопытную молодежь, заманив деньгами после ординатуры. Повторюсь, доктор, обжившийся в одном гос. учреждении уйдет оттуда только в случае высокой степени той или иной напряженности. Так же обычно присутсвует понимание того, что рост как специалиста в платных центрах неизмеримо ниже по сравнению с работой в гос ЛПУ. Есть совмещение, да. Но тут уже завсиит от конкретного места. Например, у нас, нами выращенный доктор втихую ушел на совмещение в платный. А там сутки через сутки. Плюс каждый выход это денюжка. Постепенно, туда стал ходить больше, чем сюда. Плюс после суток выйти тоже не торт. Так что совмещение совмещению рознь.
Вышесказанное относится в большей степени к диагностическим службам, где присутствует большой поток, в иных не столь загруженных специальностях вопрос совмещения более дружелюбен.
2. В подходе. В частных лавочках благосостояние доктора напрямую зависит от количества. В гос ведь как? Ну не успел сегодня посмотреть- оставил на завтра. А там не успел- тоже оставил на завтра. Но только уже не себе, а сменщику :). Поэтому качество со временем начинает переходить в количество. Разве есть у доктора в платном учреждении время посидеть, подумать, посоветоватсья со старшими коллегами из своего и смежных подразделений и розобраться с конкретным случаем? В большинстве своем нет. Зато есть другая сторона. Накрутка исследований. Здесь тебе и дополнительные "очень нужные" исследования, и дополнительные зоны и контрасты и все что угодно. Из личного опыта приходилось общаться с массой таких пациентов, которые платят сами за себя, а не страховые.Хотя и там тоже :). Вот из последнего. Молодой парень, конный спорт на уровне хобби-любителя. Посоветовали прежде чем заниматься проверить позвоночник. Сделали КТ (!) шейный, грудной, поясничный и крестцовый. Поясничный и кресцовый делать раздельно это сила. На мой вопрос- зачем весь этот дорогостой, если нет клиники, ответил что нашли грыжи шморля и грыжи м/п дисков в поясничном, и на основании этого предположили, что могут быть и в остальных отделах. И ведь нашли. Вернее пришлось найти. Не зря же делали. Много грыж нашли. Дальше лечение 10 дней, каждый день 2.5к без учета доп. процедур. На его вопрос - а что, собственно, будем лечить, если кроме мышц после скакания нечего особенно и не болит да и те не сильно и не шибко долго, ответили длинной заумной тирадой об укрплении, профилактике, стабилизации, предотвращении и повышении. Плюс, конечно, якобы найденные грыжи. Под конец он заподозрил. Волею судеб пришел к нам. Сделали магнит. Ни одной грыжи нет. Может вылечили, спросил он. Что бы ответить на этот вопрос пришлось применить максимум дипломатии. Это я к чему. Это я о подходах.
Да Вы и сами это прекрасно знаете, это я по случаю свободного времени в первый рабочий день разошелся :)
-------------------------------------------------------------------------------------------------
Я получил счет от хирургов. Теперь мне понятно, почему эти парни работают в масках.
1. Против сказаного Вами мне возразить нечего, да, впрочем, и не собираюсь, все АБСОЛЮТНО правильно. Конечно, сделаем скидку на частности, на индивидуальность...но это скорее исключения, нежели правила.
2. В первую очередь я имел ввиду доступность, ибо 1 МРТ (к тому же не лучших кровей) на 1 млн 100 тыс населения это одно, а 2 - это ДРУГОЕ (хотя в идеале надо бы не меньше 5-ти, а то и 10).
3. Думаете мне не хотелось бы работать на такой технике, конечно - хотелось, но ведь и молодежи где то надо прикладывать свои силы ...посему отношусь вполне спокойно к тому, что молодые специалисты хотят все работать на КТ/МРТ..даст бог научатся.
Болезни ног: виды, симптомы, причины, профилактика и лечение
Ну, грыжи-то нашли в частно-платной клинике....
Здравствуйте, Валентин Львович!
Знаете, для того, чтобы "найти" грыжи и "вправить" диски не надо ТАКИХ усилий прилагать...многие и многие делают это и без КТ/МРТ...главное мозги научиться хорошо "вправлять"...освоить пару-тройку нехитрых психологических приемов, умный вид, обаятельная благополучная внешность...масса сочуствия...и. т.д. ...и т.п. ....
Болезни ног: виды, симптомы, причины, профилактика и лечение
Здравствуйте Виктор Григорьевич!
Да, это я так, в своё время, в частно-платных клиниках, учитывая желание пациента, могли обнаружить и геморрой волос...
Ну да, Шморля. Других не было.
-------------------------------------------------------------------------------------------------
Я получил счет от хирургов. Теперь мне понятно, почему эти парни работают в масках.
Есть только три изображения. Что-бы "это" могло быть?