Рентгенография ОГП №1.

Пол пациента: 
Тип патологии: 
Методы исследования: 

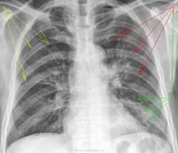
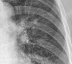
Мужчина обратился в приёмное отделение с жалобами: кашель с трудноотделяемой мокротой , повышение температуры тела,одышку, сухость во рту, общую слабость. Направлен к нам с предворительным диагнозом: пневмония, под вопросом. Из анализов ОАК Нb г/л 158 , СОЭ мм/ч  19.0 , Лейкоциты 8.9 , Эритроциты  4.74. 

:

Изображение   Изображение

 Ваше мнение?

В.Б. Серов аватар
Не на сайте
Был на сайте: 1 неделя 1 день назад
Зарегистрирован: 16.07.2008 - 10:15
Публикации: 1361

Пневмония справа на уровне 3 р, медиально, по типу перициссурита. Болше ничего не нашел.

Зри в корень!

v1tal аватар
Не на сайте
Был на сайте: 4 года 9 месяцев назад
Зарегистрирован: 07.06.2008 - 19:41
Публикации: 1779

В.Б. Серов wrote:

Пневмония справа на уровне 3 р, медиально, по типу перициссурита. Болше ничего не нашел.

Есть ещё в базальном отделе слева, прозрачность снижена.

"Знаешь, у некоторых врачей есть комплекс мессии — им необходимо спасать мир. А у тебя комплекс Рубика — тебе необходимо решать головоломки."

В.Б. Серов аватар
Не на сайте
Был на сайте: 1 неделя 1 день назад
Зарегистрирован: 16.07.2008 - 10:15
Публикации: 1361

За сердцем что ли? Возможно, но я бы хотел уточнить левым косым и/или боковым. Может просто сосуды так выглядят?

Зри в корень!

v1tal аватар
Не на сайте
Был на сайте: 4 года 9 месяцев назад
Зарегистрирован: 07.06.2008 - 19:41
Публикации: 1779

Меня учили обращать внимание на чёткость контуров диафрагмы.

"Знаешь, у некоторых врачей есть комплекс мессии — им необходимо спасать мир. А у тебя комплекс Рубика — тебе необходимо решать головоломки."

Катенёв Валентин Львович аватар
Не на сайте
Был на сайте: 7 лет 2 недели назад
Зарегистрирован: 22.03.2008 - 22:15
Публикации: 54876

В.Б. Серов: "Пневмония справа на уровне 3 р, медиально, по типу перициссурита. Болше ничего не нашел."

v1tal: "Есть ещё в базальном отделе слева, прозрачность снижена."

А что слева в прикорневой области?

 

v1tal аватар
Не на сайте
Был на сайте: 4 года 9 месяцев назад
Зарегистрирован: 07.06.2008 - 19:41
Публикации: 1779

Да, Валентин Львович, это тоже я расчитал как инрестециальные проявления.

"Знаешь, у некоторых врачей есть комплекс мессии — им необходимо спасать мир. А у тебя комплекс Рубика — тебе необходимо решать головоломки."

Катенёв Валентин Львович аватар
Не на сайте
Был на сайте: 7 лет 2 недели назад
Зарегистрирован: 22.03.2008 - 22:15
Публикации: 54876

Мы, конечно можем предполагать, что это усиление или обогащение легочного рисунка, высказывать предположение, что это "пневмонические изменения" или перисциссурит и т.д. и т.п., но без боковой проекции - это увы только предположения или рассуждения. Нужна боковая - боковые.

 

Ермолаев аватар
Не на сайте
Был на сайте: 8 лет 10 месяцев назад
Зарегистрирован: 07.02.2009 - 16:33
Публикации: 670

Конечно соглашусь с Валентином Львовичем. Без боковых можно только предполагать. Но скорее всего пневмония в S6 и S10 слева. Десятый сегмент слева, как раз за тенью сердца.

dok