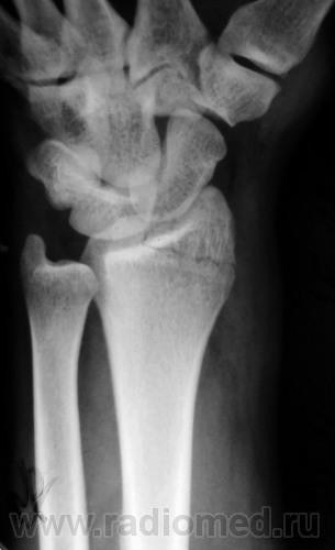
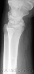
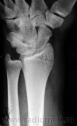
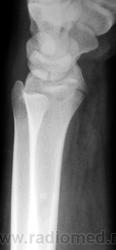
Пол пациента: Женский пол Тип патологии: Травма Область исследования: Скелетно-мышечная система Методы исследования: Rg Травма. Направлен на рентгенографию лучезапястного сустава https://radiomed.ru/sites/default/files/styles/case_slider_image/public/user/12/12.201307290023.jpg?itok=H4YeS5lg https://radiomed.ru/sites/default/files/styles/case_slider_image/public/user/12/13.201201010021.jpg?itok=RG4hVF1Z https://radiomed.ru/sites/default/files/styles/case_slider_image/public/user/12/14.201307290024.jpg?itok=6cA-21Nw ID:30173 Пнд, 29/07/2013 - 17:55 #1 brainmodel Не на сайте Был на сайте: 2 месяцев 3 недели назад Зарегистрирован: 18.03.2010 - 22:04 Публикации: 2881 Внутрисуситавной перелом наружного сектора дистального эпифиза луча без смещения. Verum plus uno esse non potest. Пнд, 29/07/2013 - 21:39 #2 maker4ik Не на сайте Был на сайте: 8 лет 7 месяцев назад Зарегистрирован: 19.10.2011 - 17:49 Публикации: 2682 Должно хорошо срастись.
Внутрисуситавной перелом наружного сектора дистального эпифиза луча без смещения.
Verum plus uno esse non potest.
Должно хорошо срастись.