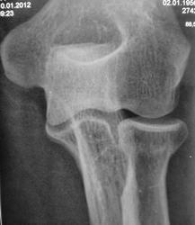
Травма. Пациент направлен на рентгенографию локтевого сустава.

Пол пациента: 
Тип патологии: 
Область исследования: 
Методы исследования: 

 Пациент направлен на рентгенографию локтевого сустава.

  • https://radiomed.ru/sites/default/files/styles/case_slider_image/public/user/12/2.p1110032.jpg?itok=CfATxCIH
  • https://radiomed.ru/sites/default/files/styles/case_slider_image/public/user/12/3.p1110033a.jpg?itok=RqUcs0ec
  • https://radiomed.ru/sites/default/files/styles/case_slider_image/public/user/12/4.p1110034a_0.jpg?itok=fpNoVrqQ
  • https://radiomed.ru/sites/default/files/styles/case_slider_image/public/user/12/5.p1110036a.jpg?itok=zL5AM4tC
  • https://radiomed.ru/sites/default/files/styles/case_slider_image/public/user/12/6.p1110037a.jpg?itok=Z3f81DA1
  • https://radiomed.ru/sites/default/files/styles/case_slider_image/public/user/12/7.p1110038a.jpg?itok=LMDBw5IE
  • https://radiomed.ru/sites/default/files/styles/case_slider_image/public/user/12/8.p1110039a.jpg?itok=QwLcpvsI
ID:18130
Петрович аватар
Не на сайте
Был на сайте: 7 лет 3 месяцев назад
Зарегистрирован: 22.03.2009 - 01:13
Публикации: 3908

Перелом шейки луча без смещения.

Неоднозначно всё

И.Бондаренко аватар
Не на сайте
Был на сайте: 6 часов 9 минут назад
Зарегистрирован: 13.09.2011 - 22:55
Публикации: 9206

+1

ДокRg аватар
Не на сайте
Был на сайте: 12 лет 3 месяцев назад
Зарегистрирован: 30.03.2011 - 20:05
Публикации: 105

+1