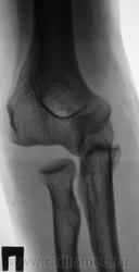
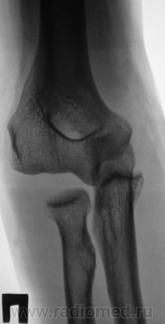
Травма. Пациент направлен на рентгенографию локтевого сустава.

Пол пациента: 
Тип патологии: 
Область исследования: 
Методы исследования: 

Травма.  Пациент направлен на рентгенографию локтевого сустава.

  • https://radiomed.ru/sites/default/files/styles/case_slider_image/public/user/12/2..p9150050a.jpg?itok=rNko2WSK
  • https://radiomed.ru/sites/default/files/styles/case_slider_image/public/user/12/3.p9150051.jpg?itok=xSZwBKPN
  • https://radiomed.ru/sites/default/files/styles/case_slider_image/public/user/12/4.p9150051-1.jpg?itok=owY55klr
ID:19963
Игорь Иванович аватар
Не на сайте
Был на сайте: 3 года 9 месяцев назад
Зарегистрирован: 23.01.2010 - 14:56
Публикации: 3695

Аглицким владею (как писал раньше, заполняя различные совеЦкие анкеты) со словарем (хотя уровень этого знания таков, что никакогословаря не хватит), поэтому не могу прочитать предыдущий комментарий. А по поводу случая - я так понимаю медиальный вывих предплечья.

borisova аватар
Не на сайте
Был на сайте: 13 лет 9 месяцев назад
Зарегистрирован: 19.07.2011 - 17:36
Публикации: 8

а можно так описать? это вообще правильно?

кости предплечья, сохраняя свое положение по отношению друг к другу, смещены в медиально и каудально. Дистальный эпифиз плечевлй кости с латеральной стороны лежит свободно (так можно писать??) Смещение в медиальную сторону составляет примерно половину ширины головки лучевой кости. Суставные поверности плечевой и локтевой кости не соприкасаются. Перелом не определяется.

Заключение: медиальный вывих предплечья ?

И.Бондаренко аватар
Не на сайте
Был на сайте: 1 день 2 часа назад
Зарегистрирован: 13.09.2011 - 22:55
Публикации: 9206

У пациента что-то сильно отбирали.