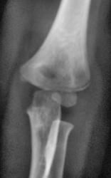
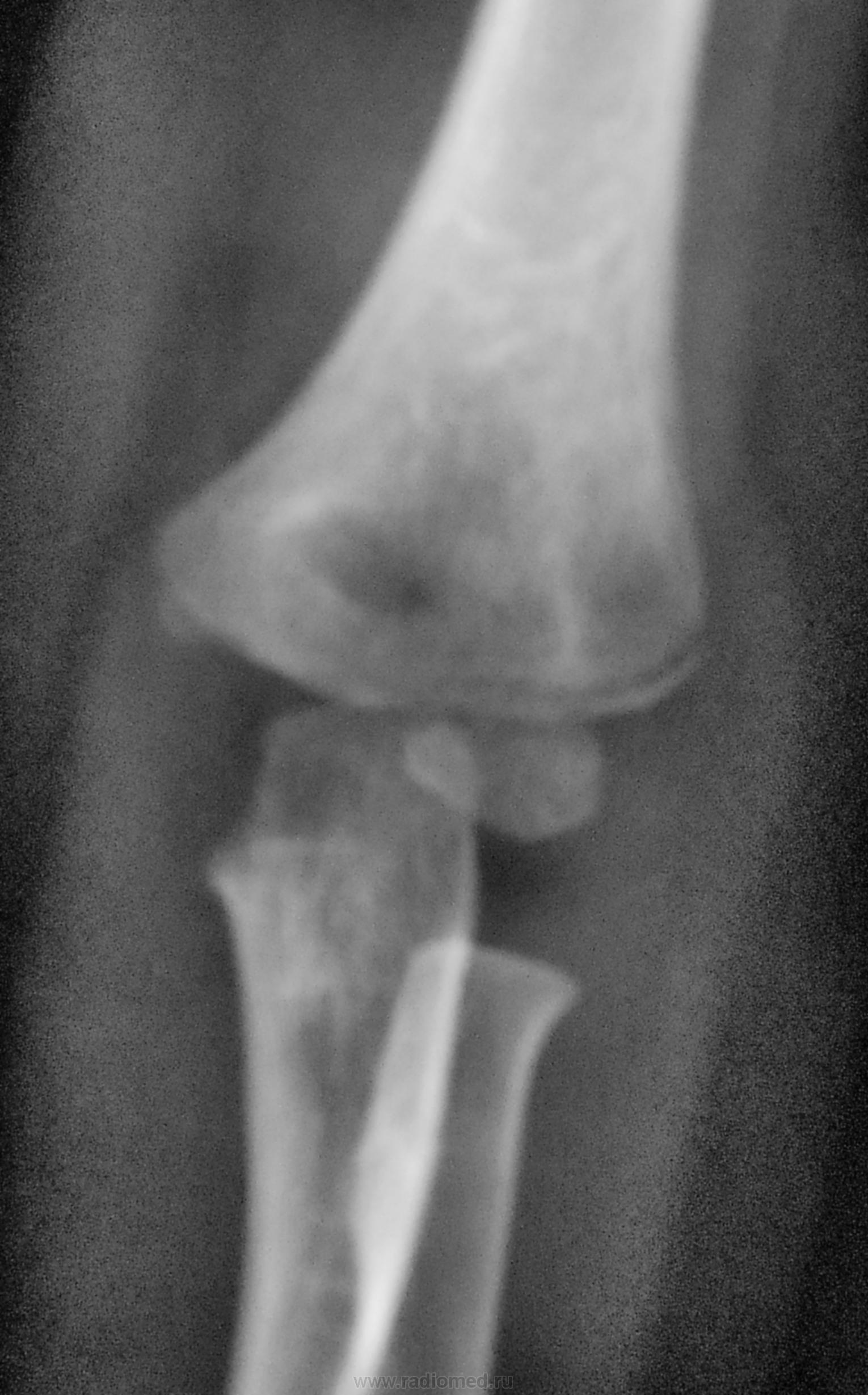
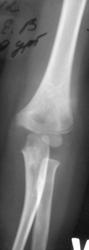
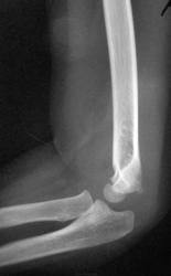
Пол пациента: Мужской пол Тип патологии: Травма Область исследования: Скелетно-мышечная система Методы исследования: Rg Травма. Пациент направлен на рентгенографию локтевого сустава https://radiomed.ru/sites/default/files/styles/case_slider_image/public/user/12/12.dscn0089a.jpg?itok=3NNM8UuI https://radiomed.ru/sites/default/files/styles/case_slider_image/public/user/12/13.dscn0090a.jpg?itok=sb-OhKYV https://radiomed.ru/sites/default/files/styles/case_slider_image/public/user/12/14.dscn0090ab.jpg?itok=Q4D_a_r1 ID:23259 Чт, 20/09/2012 - 21:19 #1 Сан Саныч1 Не на сайте Был на сайте: 11 месяцев 4 недели назад Зарегистрирован: 07.06.2010 - 21:17 Публикации: 2114 Вывих локтевой с эпифизеолизом локтевой и лучевой? Хочешь сделать что-то нормально - сделай это сам! Чт, 20/09/2012 - 23:16 #2 И.Бондаренко Не на сайте Был на сайте: 2 дня 6 минут назад Зарегистрирован: 13.09.2011 - 22:55 Публикации: 9206 Не работаю с детьми, поэтому вопрос: почему вывих локтевой? Вроде всё на месте. Эпифизеолиз согласен, только лучевой. Пт, 21/09/2012 - 14:50 #3 pronto Не на сайте Был на сайте: 1 год 2 месяцев назад Зарегистрирован: 22.02.2011 - 18:50 Публикации: 114 норма Пт, 21/09/2012 - 17:39 #4 Соломин Виталий... Не на сайте Был на сайте: 6 лет 7 часов назад Зарегистрирован: 04.04.2012 - 21:47 Публикации: 1096 pronto wrote: норма Почему-то при увеличении у меня снимки синие, ничего не понять. А если смотреть маленькие изображения (хотя может там чего-то не так разглядел) на возрастную норму похоже у маленького ребенка. Сб, 22/09/2012 - 10:02 #5 Dr.Yllich Не на сайте Был на сайте: 1 год 4 месяцев назад Зарегистрирован: 01.05.2011 - 22:52 Публикации: 1196 Остео-эпифизеолиз плеча (головчатого возвышения) без смещенияПриложения: С уважением. Ильич. Сб, 22/09/2012 - 10:08 #6 olle Не на сайте Был на сайте: 9 лет 9 месяцев назад Зарегистрирован: 07.10.2011 - 21:25 Публикации: 136 Мне кажется Dr.Yllich прав Сб, 22/09/2012 - 13:52 #7 Dr.Yllich Не на сайте Был на сайте: 1 год 4 месяцев назад Зарегистрирован: 01.05.2011 - 22:52 Публикации: 1196 Поддержка красивой девушки окрыляет. Спасибо! Ильич. С уважением. Ильич. Сб, 22/09/2012 - 13:56 #8 Катенёв Валенти... Не на сайте Был на сайте: 7 лет 1 месяц назад Зарегистрирован: 22.03.2008 - 22:15 Публикации: 54876 olle wrote: Мне кажется Dr.Yllich прав Мне тоже. Сб, 22/09/2012 - 20:08 #9 olle Не на сайте Был на сайте: 9 лет 9 месяцев назад Зарегистрирован: 07.10.2011 - 21:25 Публикации: 136 Пасибки, Yllich, я польщена... Сб, 22/09/2012 - 21:57 #10 Соломин Виталий... Не на сайте Был на сайте: 6 лет 7 часов назад Зарегистрирован: 04.04.2012 - 21:47 Публикации: 1096 Dr.Yllich wrote: Остео-эпифизеолиз плеча (головчатого возвышения) без смещения Рассмотрел «поближе». Похоже, все-таки ошибся, перелом плеча есть.
Вывих локтевой с эпифизеолизом локтевой и лучевой?
Хочешь сделать что-то нормально - сделай это сам!
Не работаю с детьми, поэтому вопрос: почему вывих локтевой? Вроде всё на месте. Эпифизеолиз согласен, только лучевой.
норма
Почему-то при увеличении у меня снимки синие, ничего не понять. А если смотреть маленькие изображения (хотя может там чего-то не так разглядел) на возрастную норму похоже у маленького ребенка.
Остео-эпифизеолиз плеча (головчатого возвышения) без смещения
С уважением. Ильич.
Мне кажется Dr.Yllich прав
Поддержка красивой девушки окрыляет. Спасибо!
Ильич.
С уважением. Ильич.
Мне тоже.
Пасибки, Yllich, я польщена...




![]()
Рассмотрел «поближе». Похоже, все-таки ошибся, перелом плеча есть.