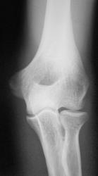
Пол пациента: Женский пол Тип патологии: Травма Область исследования: Скелетно-мышечная система Методы исследования: Rg Травма. Пациент направлен на рентгенографию локтевого сустава https://radiomed.ru/sites/default/files/styles/case_slider_image/public/user/12/3.dscn0251a.jpg?itok=j1nUGa_8 ID:23522 Чт, 04/10/2012 - 21:53 #1 Andreasponcho Не на сайте Был на сайте: 13 лет 2 месяцев назад Зарегистрирован: 24.09.2012 - 21:09 Публикации: 8 Перелом проксимальной1/3 лучевой кости. Чт, 04/10/2012 - 22:05 #2 Наталия Васильевна Не на сайте Был на сайте: 5 лет 9 месяцев назад Зарегистрирован: 25.09.2011 - 09:02 Публикации: 754 Красивый перелом, только не срастется-головку резецируют. Пт, 05/10/2012 - 21:54 #3 djubelj Не на сайте Был на сайте: 9 лет 3 недели назад Зарегистрирован: 13.09.2012 - 20:14 Публикации: 41 Катенёв Валентин Львович wrote: Травма. Пациент направлен на рентгенографию локтевого сустава Пт, 05/10/2012 - 22:06 #4 djubelj Не на сайте Был на сайте: 9 лет 3 недели назад Зарегистрирован: 13.09.2012 - 20:14 Публикации: 41 Вколоченый внесуставной перелом шейки лучевой кости.Гипсовая иммобилизация в течение двух недель,потом шарнирный ортез. Сб, 06/10/2012 - 11:11 #5 Брысковский Дмитрий Не на сайте Был на сайте: 9 месяцев 3 недели назад Зарегистрирован: 08.11.2011 - 11:00 Публикации: 187 Ортез - это одобряю. Только пациент его будет снимать, чтоб помыться и прочее - тут может так статься, что и не срастется вообще. Больного надо хорошенько напугать... None are more hopelessly enslaved than those who falsely believe they are free Сб, 06/10/2012 - 21:04 #6 Катенёв Валенти... Не на сайте Был на сайте: 7 лет 3 недели назад Зарегистрирован: 22.03.2008 - 22:15 Публикации: 54876 Брысковский Дмитрий wrote: Больного надо хорошенько напугать... Это интересно. Чем это наших пациентов можно напугать? Вс, 07/10/2012 - 10:52 #7 Наталия Васильевна Не на сайте Был на сайте: 5 лет 9 месяцев назад Зарегистрирован: 25.09.2011 - 09:02 Публикации: 754 Катенёв Валентин Львович wrote: Брысковский Дмитрий wrote: Больного надо хорошенько напугать... Это интересно. Чем это наших пациентов можно напугать? Не надо! У наших пациентов, как и у всех славян, реакция на "бу-бу-бу" не всегда адекватная, как бы потом доктору переломы не пришлось лечить.
Перелом проксимальной1/3 лучевой кости.
Красивый перелом, только не срастется-головку резецируют.
Вколоченый внесуставной перелом шейки лучевой кости.Гипсовая иммобилизация в течение двух недель,потом шарнирный ортез.
Ортез - это одобряю. Только пациент его будет снимать, чтоб помыться и прочее - тут может так статься, что и не срастется вообще. Больного надо хорошенько напугать...
None are more hopelessly enslaved than those who falsely believe they are free
Это интересно. Чем это наших пациентов можно напугать?
Не надо! У наших пациентов, как и у всех славян, реакция на "бу-бу-бу" не всегда адекватная, как бы потом доктору переломы не пришлось лечить.