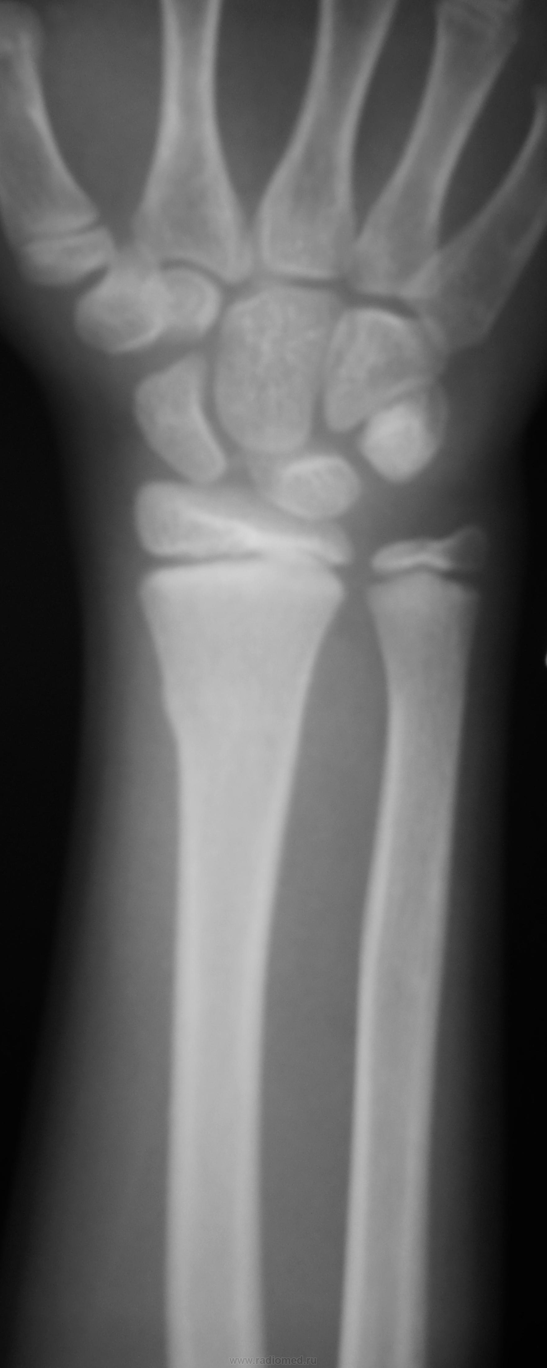
Травма. Пациент направлен на рентгенографию лучезапястного сустава

Пол пациента: 
Тип патологии: 
Область исследования: 
Методы исследования: 

Травма. Пациент направлен на рентгенографию лучезапястного сустава

  • https://radiomed.ru/sites/default/files/styles/case_slider_image/public/user/12/12.dscn0097zh.jpg?itok=-mQFCyCn
  • https://radiomed.ru/sites/default/files/styles/case_slider_image/public/user/12/13.dscn0098.jpg?itok=oUOneT-A
  • https://radiomed.ru/sites/default/files/styles/case_slider_image/public/user/12/14.dscn0098lu.jpg?itok=PyraPln_
  • https://radiomed.ru/sites/default/files/styles/case_slider_image/public/user/12/15.dscn0098lzh.jpg?itok=GLfwD2dB
  • https://radiomed.ru/sites/default/files/styles/case_slider_image/public/user/12/16.dscn0098lzhzh.jpg?itok=yOpRSwkU
ID:23268
И.Бондаренко аватар
Не на сайте
Был на сайте: 2 дня 4 часа назад
Зарегистрирован: 13.09.2011 - 22:55
Публикации: 9206

Осколок ладьевидной кости.

july аватар
Не на сайте
Был на сайте: 13 лет 3 месяцев назад
Зарегистрирован: 14.04.2010 - 14:47
Публикации: 17

+ перелом дистального метафиза лучевой кости

pronto аватар
Не на сайте
Был на сайте: 1 год 2 месяцев назад
Зарегистрирован: 22.02.2011 - 18:50
Публикации: 114

поднадкостничный перелом дистального метадиафиза лучевой кости....без смещения отломков...ладьевидная кость так не ломается.)  сверхкомплектная кость...сочетать с клиникой ..с локализацией болезнености.

Соломин Виталий Юрьевич аватар
Не на сайте
Был на сайте: 6 лет 12 часов назад
Зарегистрирован: 04.04.2012 - 21:47
Публикации: 1096

Поднадкостничный перелом лучевой кости в нижней трети без смещения. Краевой перелом ладьевидной кости? Остеохондропатия ладьевидной кости? 

Гипсовый лонгет "на луч". Наблюдение в динамике, рентген-контроль по показаниям. 

Соломин Виталий Юрьевич аватар
Не на сайте
Был на сайте: 6 лет 12 часов назад
Зарегистрирован: 04.04.2012 - 21:47
Публикации: 1096

Микрофокусная рентгенография ладьевидной кости? http://www.radiomed.ru/publications/kss-mikrofokusnaya-rentgenografiya-v-obsledovanii-kostno-sustavnoi-sistemy