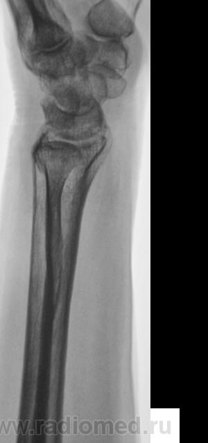
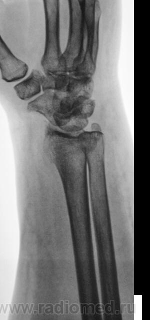
Травма. Пациент направлен на рентгенографию лучезапястного сустава.

Пол пациента: 
Тип патологии: 
Область исследования: 
Методы исследования: 

Травма.   Пациент направлен на рентгенографию лучезапястного сустава.

СЛУЧАЙ № 1.

СЛУЧАЙ № 2.

 

  • https://radiomed.ru/sites/default/files/styles/case_slider_image/public/user/12/2.TRU_..jpg?itok=LnD-Bqbr
  • https://radiomed.ru/sites/default/files/styles/case_slider_image/public/user/12/3.TRU_..jpg?itok=xMqirIAo
  • https://radiomed.ru/sites/default/files/styles/case_slider_image/public/user/12/4.TRU_..jpg?itok=ierD_mFw
  • https://radiomed.ru/sites/default/files/styles/case_slider_image/public/user/12/5.TRU_..JPG?itok=DqEZ5iBg
  • https://radiomed.ru/sites/default/files/styles/case_slider_image/public/user/12/6.TRU_..jpg?itok=IJM5diVb
  • https://radiomed.ru/sites/default/files/styles/case_slider_image/public/user/12/7.TRU_.JPG?itok=jXR8XNjd
  • https://radiomed.ru/sites/default/files/styles/case_slider_image/public/user/12/8.TRU_..jpg?itok=HNRy1GKm
  • https://radiomed.ru/sites/default/files/styles/case_slider_image/public/user/12/1.TRIK_.jpg?itok=MiwzAvAo
  • https://radiomed.ru/sites/default/files/styles/case_slider_image/public/user/12/2.TRIK_.jpg?itok=aQuPuHxK
  • https://radiomed.ru/sites/default/files/styles/case_slider_image/public/user/12/3.TRIK_.jpg?itok=3iBvSdKE
  • https://radiomed.ru/sites/default/files/styles/case_slider_image/public/user/12/4.TRIK_.jpg?itok=DaOi-3x5
  • https://radiomed.ru/sites/default/files/styles/case_slider_image/public/user/12/5.TRIK_.jpg?itok=lz1l7pEV
  • https://radiomed.ru/sites/default/files/styles/case_slider_image/public/user/12/6.TRIK_.jpg?itok=ZWjMAD-Z
ID:524