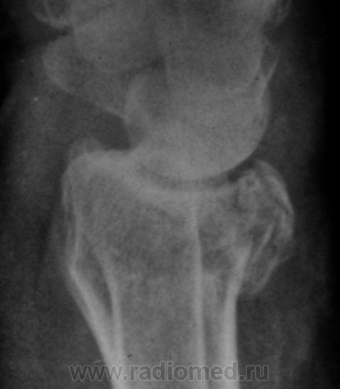
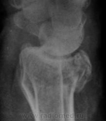
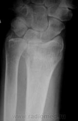
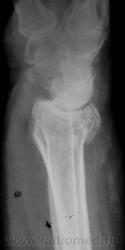
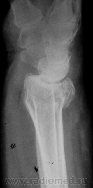
Травма. Пациент направлен на рентгенографию лучезапястного сустава.

Пол пациента: 
Тип патологии: 
Область исследования: 
Методы исследования: 

Травма. Пациент направлен на рентгенографию лучезапястного сустава.

  • https://radiomed.ru/sites/default/files/styles/case_slider_image/public/user/12/2.pc060035a.jpg?itok=eqU93Y4E
  • https://radiomed.ru/sites/default/files/styles/case_slider_image/public/user/12/3.pc060035-1.jpg?itok=HCi3LpFK
  • https://radiomed.ru/sites/default/files/styles/case_slider_image/public/user/12/4.pc060035-1a.jpg?itok=itUXckI_
  • https://radiomed.ru/sites/default/files/styles/case_slider_image/public/user/12/5.pc060036.jpg?itok=H_lfJC4r
  • https://radiomed.ru/sites/default/files/styles/case_slider_image/public/user/12/6.pc060036a.jpg?itok=IGuB4PQP
  • https://radiomed.ru/sites/default/files/styles/case_slider_image/public/user/12/7.pc060036-1.jpg?itok=Rtcr7SbH
  • https://radiomed.ru/sites/default/files/styles/case_slider_image/public/user/12/8.pc060036-1a.jpg?itok=1a4GP5mk
ID:9891
Глазков Игорь Артурович аватар
Не на сайте
Был на сайте: 9 месяцев 3 недели назад
Зарегистрирован: 19.12.2008 - 20:41
Публикации: 1597

луча в типичном месте. А вот шиловидный отросток похоже тоже сломался?

Прийди к Себе