Угадываем верифицированый диагноз 4

Пол пациента: 
Тип патологии: 
Методы исследования: 

Случай 1.

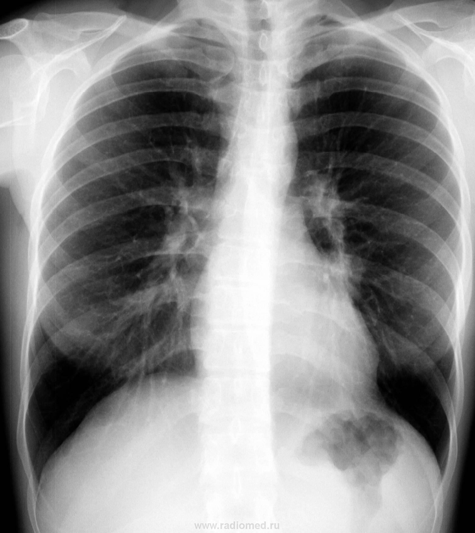
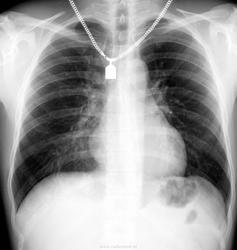
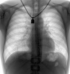
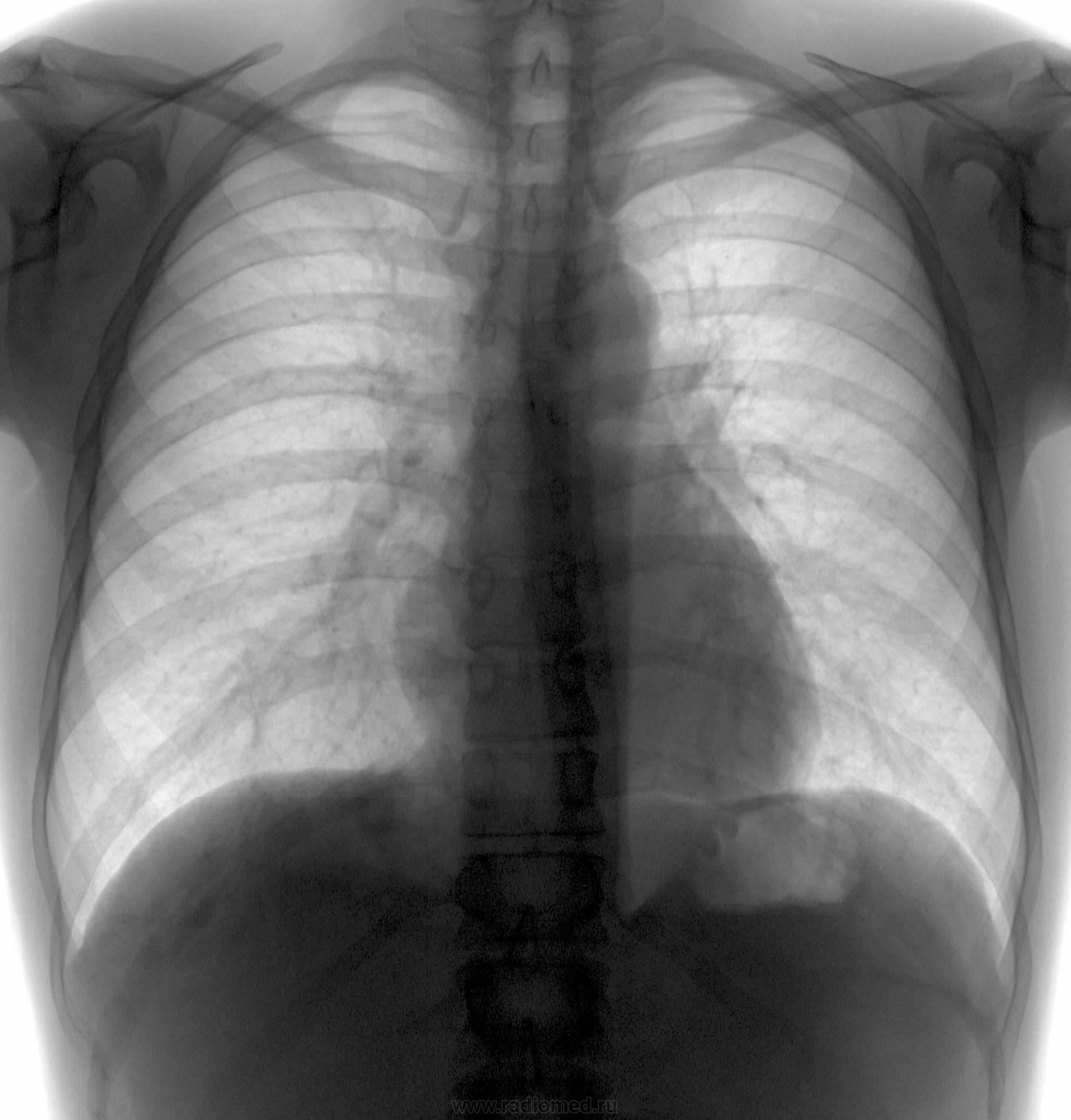
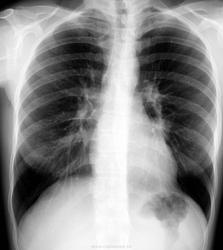
Молодая барышня 28 лет. На момент проведения ц ФГ жалоб нет. Представлена для контроль аналоговая рентгенограмма двухнедельной давности. Динамика отсутствует (посему не выставляю)

 

  

В тот же день проведена КТ (о результате информирован лечащим врачом). Ваше мнение?

Случай 2.

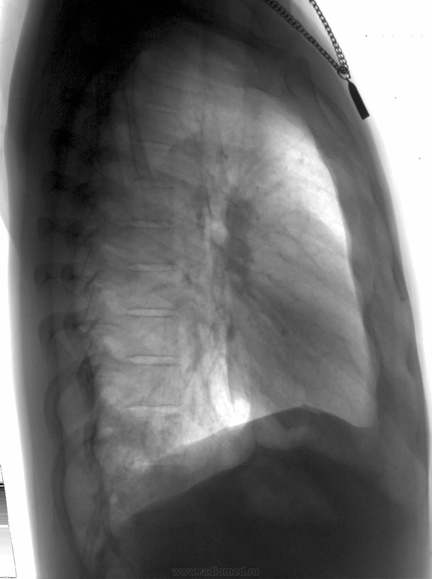
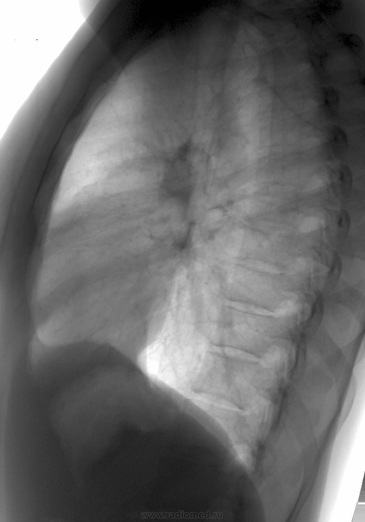
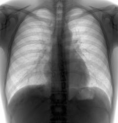
Молодой человек 30 лет. Проводил ц ФГ в 2010 году, после чего был направлен на дообследование (КТ). Сейчас пришел на контроль, протокол КТ предстваил лично.

  

  

 

От бокового снимка отказался...увы. Что скажете?

Что общего между двумя наблюдениями?

  • https://radiomed.ru/sites/default/files/styles/case_slider_image/public/user/2667/nnn2.jpg?itok=KRIiGvNe
  • https://radiomed.ru/sites/default/files/styles/case_slider_image/public/user/2667/nnn3.jpg?itok=GvSUX5UZ
  • https://radiomed.ru/sites/default/files/styles/case_slider_image/public/user/2667/nnn4.jpg?itok=zIAT4wBp
  • https://radiomed.ru/sites/default/files/styles/case_slider_image/public/user/2667/vvv1_10.jpg?itok=50_VPaCD
  • https://radiomed.ru/sites/default/files/styles/case_slider_image/public/user/2667/vvv2_10.jpg?itok=zwNloI8T
  • https://radiomed.ru/sites/default/files/styles/case_slider_image/public/user/2667/vvv3_10.jpg?itok=rHphuxed
  • https://radiomed.ru/sites/default/files/styles/case_slider_image/public/user/2667/vvv4_10.jpg?itok=9ZU1v4ca
  • https://radiomed.ru/sites/default/files/styles/case_slider_image/public/user/2667/vvv5_11.jpg?itok=svaexhCd
ID:16095
tatyana аватар
Не на сайте
Был на сайте: 4 года 1 месяц назад
Зарегистрирован: 24.06.2009 - 08:33
Публикации: 2090

stovbav wrote:

Что общего между двумя наблюдениями?

Шаровидная тень: в S4 в/доли слева (1 случай) и S10 н/доли справа (2 случай)

"самоуверенность дилетантов - предмет зависти профессионалов"

stovbav аватар
Не на сайте
Был на сайте: 2 года 2 месяцев назад
Зарегистрирован: 20.12.2009 - 17:28
Публикации: 7066

tatyana wrote:

Шаровидная тень: в S4 в/доли слева (1 случай) и S10 н/доли справа (2 случай)

Татьяна Валентиновна, асолютно согласен. что основной рентгенологический признак - шаровидные тенеобразования, но...достаточно ли они "шаровидны" и достаточно ли однородны....+молодой, в общем то возраст, + отсутствие существенных жалоб. Конечно, смущает тот факт, что это не первые их ФГ (но у меня то они впервыеwink). Опять же - в С10 (скрывается за тенью печени), в С4 слева (не факт, что раньше было перекрыто левым краем сердца) и, как следствие - не были обнаружены.

tatyana аватар
Не на сайте
Был на сайте: 4 года 1 месяц назад
Зарегистрирован: 24.06.2009 - 08:33
Публикации: 2090

stovbav wrote:

 Что скажете?

Внутрилегочная секвестрация или артериовенозная мальформация.

Козыри (данные КТ) у Вас, Виктор Григорьевич

"самоуверенность дилетантов - предмет зависти профессионалов"

stovbav аватар
Не на сайте
Был на сайте: 2 года 2 месяцев назад
Зарегистрирован: 20.12.2009 - 17:28
Публикации: 7066

tatyana wrote:

stovbav wrote:

 Что скажете?

..... артериовенозная мальформация.

Козыри (данные КТ) у Вас, Виктор Григорьевич

Она самая))). Да, оба случая подтверждены на КТ.

Makcimalist аватар
Не на сайте
Был на сайте: 11 лет 8 месяцев назад
Зарегистрирован: 08.05.2010 - 14:28
Публикации: 1994

Нечего сказать. Вспомнился мой же №5'). из вопросной ветки... С одной стороны патология видна и на обзорных (в обоих случаях). С другой - с учётом отсутствия жалоб, клиники диф. ряд получился бы немалым. Приоритет диагностики в отношении а/в мальформаций, конечно, у КТ/МСКТ, но гарантирую, что во втором случае с парнем поставил бы (если бы не забыл по такой Rg-картине) эту нозологию далеко не в первых числах...

Спасибо за отличные иллюстрации!yes

--------------

"Просто, по видимости, не видеть логики в очевидных вещах - это тоже одно из свойств некоторых умов, наряду с грустными думами о свойствах ума других."  © Vega 08/10/2011

stovbav аватар
Не на сайте
Был на сайте: 2 года 2 месяцев назад
Зарегистрирован: 20.12.2009 - 17:28
Публикации: 7066

Со вторым парнем я тоже растерялся...и просто тупо назначил контрольную КТ, и вот надо же было так совпасть, что явились они оба в один день, и парень - на контроль с данными КТ , и барышня - на первичное обследование. Сначала я выставил барышне подозрение на мальформацию и отправил ее на КТ, почти сразу же после нее пришел парень, где выяснилось и его состояние. Данные по барышне поступили на следующее утро. Вот такая история. А заодно - и "закон парных случаев". Так что сработал я самостоятельно - только на 50%, хорошо, что хоть ничего не пропустил по прямому (это к вашим постам по поводу рентгенографии в одной проекции и пользы от цифровой ФГ).