Для многоопытных случай несложен, малоопытных может затруднить. Начинающим, надеюсь, окажется полезен после разбора старших.
Жалобы характерные для гипертонического криза. При осмотре неустойчивость в позе Ромберга. t = 37°, АД = 180/100, пульс = 78 уд. в мин.

Расширенный ЛЖ? Застой в сосудах легких ? Может недостаточность клапана??????
Итак, первое мнение Постоянного участника, который скоро станет Активным.
Осталось увидеть ещё 9 мнений и тогда открою карты.
Неоднозначно всё
Я так понимаю, что жалобы для отвлечения внимания были поданы?Или ошибаюсь?
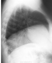
Высокое стояние правого купола диафрагмы.Средостение на месте.На жидкость не похоже.Хотя..на фоне сердца в межодолевой щели видится мне что-то смутно напоминающее оную.Но не факт.
ЛЖ расширен.Аорта уплотнена.
Пока предположу заболевание печени ( опухоль, эхинококк) либо грыжу диафрагмы( врожденную или приобретенную).Скорее второе.
Релаксация правого купола диафрагмы, изменение сог при гипертонии.
релаксация правого купола диафрагмы на фоне поражения диафрагмального нерва
Четко можно говорить о высоком стоянии правого купола диафрагмы - элевации. Причину прежде всего нужно искать в брюшной полости. О релаксации говорить проеждевременно - обязательно должна быть парадоксальная подвижность купола при скопии. Если это есть - занимаемся средстением, диафрагмальным нервом и самим куполом...
На мой взгляд обращает на себя внимание ГЛЖ, бесструктурность корней и высокое расположение правого купола диафрагмы-вызванного скорее всего давлением в брюшной полости, чем снижением его в правом гемитораксе. Приведенные данные полезны, но нужна еще клиника.
The time has come, the rules have changed...
Неоднозначно всё
Высокое стояние правого купола диафрагмы, но мне кажется бедноват легочный рисунок справа и правый корень странноват, а легкое в полном объеме?
На представленных Rg ОГК в двух проекциях, без очаговых и инфильтративных изменений. Легочный рисунок усилен (особенно слева), за счет бронхососудистого компоненка. Корни структурны??? Высокое стояние правого купола диафрагмы - элевация. Сердце увеличено в размерах, за счет левого желудочка. Аорта уплотнена. Требуется исключить патологию органов брюшной полости.
ПЫ.СЫ: Ногами не бить!!!
Релаксация передне-внутреннего отдела диафрагмы На слабость передне-внутреннего отдела диафрагмы указывают следующие рентгеновские симптомы: 1) тень образования по положению и величине соответствует передне-внутреннему отделу диафрагмы; 2) на границе выпячивания заметно пересечение дуг мышечных групп диафрагмы; 3) образование имеет более или менее правильную полушаровидную форму и ровные и четкие контуры; 4) если оно расположено справа, то тень его интенсивна и однородна (обусловлена тканью печени); если слева, то в составе его – газовый пузырь желудка,а иногда и петля толстой кишки; 5) между выпячиванием и внутренней поверхностью передней грудной стенки всегда находится слой легочной ткани; 6) угол между выпячиванием и задненаружным отделом диафрагмы тупой или во всяком случае не меньше прямого;7) тонус и сократительная способность выпяченного отдела диафрагмы пониженные; в начале и в конце вдоха можно заметить его парадоксальные движения. ПЫ.СЫ: Цикл телепередачи "Кто хочет стать Петровичем?".
Кто-нибудь объяснит?
А что, можно объявить конкурс. На случай ухода Петровича. Вон Он стоит уже на пороге и размышляет.
Неоднозначно всё
не красив, но тени ателектаза не видно...
Анна
Гипертрофия ЛЖ, венозный застой в легких, гепатомегалия ("застой в печени"). Думаю, что хроническая сердечная недостаточность, возможно декомпесированная.
Medicus curat, natura sanat
Высокое стояние правого купола диафрагмы. В проекции правого корня дополнительная тень, вероятно имеющаяя отношение к средостению, для того чтобы разобраться, я бы взял пациента на R-скопию( а лучше на КТ, но с этим у нас проблема доступности).
Прямые рентгенологические признаки ТЭЛА:обеднен артериальный сосудистый рисунок правого легкого, расширен корень правого легкого, правая промежуточная артерия не визуализируется, по-видимому, из-за отсутствия кровотока в ней. Косвенные признаки ТЭЛА: высокое стояние правого купола диафрагмы. Если бы присутствовали уплотнения легочной ткани субплеврально( что можно найти при просвечивании), то речь бы шла о симптоме Вестермарка, характерного для ТЭЛА. Учитывая жалобы и клинику, вероятнее всего ТЭЛА.
Петрович, а верифицировался диагноз на аутопсии? :F
The time has come, the rules have changed...
Косвенными признаками также служит расширение сердца в размерах, за счет левого желудочка и левого корня.
вспомнил случаи, когда у больных с нарушенем мозгового кровообращения отмечалось высокое стояние одного из куполов диафрагмы. Взаимосвязано ли это? Ответа у меня нет. Подумал о ТЭЛА, но в практике у подобных больных, без сопутвтвеющего источника ТЭЛА, не встречал. У представленного пациента подъем правого купола диафрагмы обусловлен поражением диафрагмального нерва опухолевым процессом. С уважением Nikolas
Сначала верификацию в студию!
Временно отсутствую на сайте...
Сашуля "Учитывая жалобы и клинику, вероятнее всего ТЭЛА. "
Для ТЭЛА характерны: задышка, кашель, боль в грудной клетке, тахикардия, цианоз, набухание вен шеи, АД понижено. Здесь этого ничего нет.
Medicus curat, natura sanat
Extra-medullar hematopoesis (thalassaemia vs. sickle cell disease)
А что в крови у пациента???!!!
Автор, час Х настал!!! Вам слово!!! Просим...
Аплазия или агенезия нижней доли справа у больного с повышенным АД.
Ну что ж, неплохое ристалище получилось и много нового интересного я узнал)). И только один человек приблизился к верному диагнозу, но остановился на стадии формулирования вопроса при верно подмеченных ключевых симптомах. Добавлю ещё одну репродукцию рентгенограммы, чуть более детальную. Последняя попытка. Через час открываю карты)).
Неоднозначно всё
У представленного пациента подем правого купола диафрагмы, обусловленный поражением диафрагмального нерва опухолевым процессом +, вероятно, метастазы в головной мозг... Приз в студию...
Всем спасибо...
ПЫ.СЫ: Почему у меня твердый знак не печатается???
Неоднозначно всё
Неоднозначно всё
«На конское ристалище намедни я смотрел.» Некрасов - Петрович.
"Ай, да Петрович, ай, да... Умеет заинтересовать...
справа?
Анна
Первые правильные мысли пришли в голову Активного участника sema. Если это не есть редкая случайность, значит, ему с головой повезло: креативная попалась)). Для рентгенолога, как и для сыщика, очень полезно уметь не только увидеть симптомы, но и правильно их оценить, чтобы сложить из них целостную логически непротиворечивую картину. В старину это называлось: "Клиническое мышление", а ещё также "Дедуктивный метод" (но вначале должна быть Индукция, я настаиваю)). Sema фактически и сформулировал(а) правильное заключение, правда только на уровне синдрома и в форме вопроса. Другой способ диагностики, гораздо более распространенный, базируется на поиске аналогий (когда-то видела, где-то читала), открытия таким способом не сделать).
Конечно, рентгеновская картина смотрится нетипично для таких состояний. Но даже если такую картинку видеть не приходилось, выручит знание анатомии сосудов лёгких. Корень правого лёгкого здесь явно усечён, рисунок сосудистый обеднён и это при уменьшении объёма лёгкого означает что?
А теперь документ. Верификация железобетонная: кроме аутопсии есть всё)).
Неоднозначно всё
По имени, правда, не знаю как Вас зовут!!!
Да и я Вас почему-то не знаю…, предлагаю сообщить в личку))ПРИМЕЧАНИЕ
Хирурги обошлись без скрепок (а может, кончились они)), со крепками и студенту понятно будет! Но не только без скрепок: и без спаек обошлись – Чистая работа! Не оставили улик рентгенологам коварные)). Да ещё доля оставшаяся отлично расправилась: видимого смещения средостения нет.
Да, рентгеновская картина смотрится нетипично для таких состояний. Но, даже если подобную картинку видеть ранее не приходилось, выручит знание анатомии лёгочных сосудов (и не только).
Студенты! Учите анатомию и физиологию, а ещё матчасть – это наши Три Кита).
Неоднозначно всё
А какие мысли пришли в вашу голову?или с головой повезло только вам?
что значит когда-то? так обучается и работает большинство (читай: все)- увидели-воплотили в жизнь. или у вас филосовская медитация над каждым снимком?))
А вы.наверно. сразу дали окончательный диагноз,без вопросов-только посмотрев на снимок?
Sema,респект и уважуха!!!
Куда-нибудь ты обязательно попадешь.Нужно только достаточно долго идти.
А что тут нетипичного? Суметь разглядеть опухоль за таким куполом? Так вот знание анатомии (сосудов?) корня легкого в рентг. изображении как раз и поможет заподозрить что-то не ладное...другое дело.что не у каждого глаз "зацепится"
Назовите,пожалуйста, признаки уменьшения объема легкого?
И в заключение, хотелось бы узнать вашу роль по спасению жизни этой пациентки?
P.S. повторяетесь в сообщениях целыми предложениями...старость...
Куда-нибудь ты обязательно попадешь.Нужно только достаточно долго идти.
Вот это вот Недоразумение чеширское – явный клон одной особы неутомимо-злокозненной. Тот же стиль косноязычно-старательный с примесью уплощённого юмора, резонёрство, порождённое самооценкой завышенной.
Если я расстался с Хозяйкой, буду ли я общаться с Тенью? Абсурд!
"Тень, знай своё место!" (с)
Неоднозначно всё
Уважаемый Петрович! большое спасибо за интересную и полезную демонстрацию
"самоуверенность дилетантов - предмет зависти профессионалов"
И Вам спасибо, многоуважаемая Tatyana, за лестную оценку)).
Неоднозначно всё
Петрович, пожалуста, покажите как корень усечен. Если можно)
Medicus curat, natura sanat
Могу объяснить как усечён. Снимок лёгочный (то есть не для средостения) и тем не менее хотя бы контурно должен быть виден верхнедолевой бронх – его нет, угадывается короткая, конусовидная культя. Мы также не видим необходимую для нормального корня «головку» с характерным веерообразным разветвлением сосудов в верхней доле, да и «тело» корня укорочено.
Найдите изображение более-менее нормальной грудной клетки и сравните с тем, что здесь.
Неоднозначно всё
Уважаемый Чеширский, все таки наверно Кот!
Все едим - из одной миски, может и наоборот,
Будет нам не интересно, но сказать Вам должен я -
Мы общаемся тут - тесно, как команда корабля,
И хоть может не друзья мы, и адепты разных тем,
Будте все таки корректны при решении проблем...
Начиная жизнь на сайте - со скандалов и атак,
Вы окажетесь в офсайте, вроде как неравный брак...
После прочтения этой ветки, невольно вспоминаются слова М. Твена - "если ты разгневан, сосчитай до четырёх; если сильно разгневан выругайся".
Сколько бравады ... , сколько пренебрежения ... ! Время сочинять оду "имени себя"!
1 - Надеюсь, думающие коллеги не приняли всерьёз слова автора темы про обеднение сосудистого рисунка. Потому что нет здесь этого симптома!
Изменение корня - его смещение медиально и вверх, но не обеднение сосуд. рисунка.
2 - Смещения средостения нет - потому что печень сместилась, оказалась подвижнее. Чем писать такие "красочные" жалобы и клинический статус, лучше было указать возраст больной!
3 - Любой (неважно, начинающий или нет) рентгенолог, увидивший такой обзорный, спросит у больной про операции (на лёгких). Но скорее всего не потребуется - такие пациенты всегда приходят с выпиской или сами оповещают о перенесённой операции.
4 - Чеширский, за пост № 36 респект! "Филосовская медитация над каждым снимком" - улыбнуло!

--------------
"Просто, по видимости, не видеть логики в очевидных вещах - это тоже одно из свойств некоторых умов, наряду с грустными думами о свойствах ума других." © Vega 08/10/2011
А мы скучали. Теперь понятно... Максималист вернулся!
Уважаемый коллега!
На сайте радиомед не принято так, и в таком тоне вести полемику. Тут, только коллеги, уважаемые коллеги! А, уважаемый коллега, даже, если он и не автолюбитель, должен за "трассою" следить.
Уважемый коллега!
Корректность, корректность и корректность!
Я вынужден сделать Вам серьъёзное замечание. Это, я, делаю первый раз за 4 года существования сайта!
С возвращением Максималист!
Лично я, рад Вашему возвращению.
Как всегда очень точно!
Здравствуйте уважаемый Анатолий Владимирович!
Атак и военных действий не будет, мы "перековали мечи на орала", окончательно и бесповоротно!
Спасибо автору!
Отличный случай, весьма поучительный, да, и "обрубленный" корень хорошо виден, да, и межреберные промежутки справа и слева разнятся. Спасибо Петрович!
Так "мета" не было? Интересно, при контрольном исследовании...
Конечно, солидарность по поводу диафрагмального нерва, с Анатолием Владимировичем и Nikolas, лично у меня имеется.