В.Л. Катенёв
Профилактическая флюорография – «Периферический рак правого лёгкого».
(Рентгенологическое отделение МУЗ «Красногвардейская центральная районная больница», г. Бирюч Белгородской области).
В широком смысле слова, скрининг — это методический подход, который используется с целью выявления определенного заболевания (группы заболеваний) или факторов, способствующих развитию данного заболевания (фактора риска). Для проведения скрининга проводится так называемое скринирующее обследование.
Уважаемые коллеги! Мы представляем случай из рубрики «Профилактическая флюорография» и просим Вас высказать свои критические замечания и предложения, которые помогут избежать подобных «проколов».
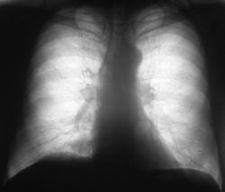
Пациент 76 лет жалоб не предъявляет. В 2006 году был направлен на профилактическую флюорографию.
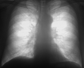
Иллюстрация 1. Флюорограмма в прямой стандартной проекции. При анализе полученного изображения было констатировано усиление и обогащение легочного рисунка справа медио - базально. Было отмечено некоторое уплотнение тени правого корня в области тела. В остальном отмечены изменения возрастного характера.
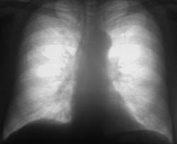
В сентябре 2008 года пациент был направлен на профилактическую флюорографию.
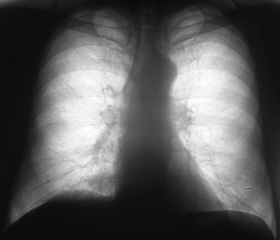
Иллюстрация 2. По флюорограмме, произведенной в прямой стандартной проекции, было отмечено некоторое уплотнение тени правого корня в области тела в виде тонкой лентовидной тени. Справа медио-базально и в области сердечно-диафрагмального синуса определяется снижение прозрачности легочной ткани в виде фокусной тени средней интенсивности с нечеткими контурами. Структура тени по флюорограмме оценена, как неоднородная.

Иллюстрации 3, 4 – фрагменты флюорограммы (с увеличением изображения), демонстрирующие фокусную тень, локализующуюся справа медио – базально. Пациент «взят на контроль».
Иллюстрации 5, 6. Фрагменты рентгенограмм (правое легкое и области хвоста корня и сердечно-диафрагмального синуса). Обращает на себя внимание, то что кроме фокусной тени в области сердечно-диафрагмального синуса, определяется довольно плотная лентовидная тень «по ходу промежуточного бронха).
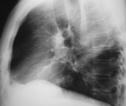
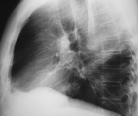
Иллюстрация 7. Рентгенограмма в правой боковой проекции. Четко дифференцируется фокусная тень размерами 3,2 – 2,5 см. над куполом диафрагмы. Определяется уплотнение и увеличение передних бифуркационных лимфатических узлов. Передний косто – диафрагмальный синус «сглажен», четко не дифференцируется. Плевра в главной и малой междолевых щелях уплотнена.

Иллюстрации 8, 9 – фрагменты рентгенограммы в правой боковой проекции. Фокусная тень неправильной формы, интенсивности приближающейся к средней, структуры неоднородной, с довольно ровными, но нечеткими контурами. Создается впечатление наличия более мелкого крупноочагового образования по контуру «основной фокусной тени».
Произведены линейные томограммы в прямой проекции. Иллюстрации 10, 11 – срез 11 см. Вдоль промежуточного бронха определяется муфтообразное утолщение – перибронхиальная инфильтрация. Контуры стенки промежуточного бронха неровные, уступчатые, что по всей видимости свидетельствует об инфильтрации и прорастании стенки бронха. Медио – базально определяется фокусная тень округлой формы, неоднородной структуры (мелкие просветления, по всей видимости, являются мелкофокусным распадом).

Иллюстрации 12, 13 – фрагменты томограммы (с увеличением). По верхнему контуру фокусной тени определяется выраженная вырезка – «вырезка Риглера». Структура тени неоднородная. По нижнему контуру фокусной тени определяется неровность и нечеткость контура с выраженными мелкими спикулоподобными структурами.
Иллюстрация 14. «муфтообразное утолщение» вдоль промежуточного бронха – перибронхиальная инфильтрация.
Срез 12 см. Иллюстрации 15, 16. Четко определяется перибронхиальная инфильтрация вдоль промежуточного бронха. Хорошо визуализируется вырезка Риглера по верхнему контуру фокусной тени.
Иллюстрации 17, 18. Фрагменты томограммы с увеличением. Определяются участки мелкофокусного распада.
Пациенту выставлен диагноз периферического рака правого лёгкого с наличием «секундарных изменений» в правом корне, направлен на консультацию в областной онкологический диспансер.
Не завидую вам, мы не то что томограмм, даже рентгенограммы не делаем! Ограничиваемся, как уже говорил, полипозиционной флюорографией в т. ч. прицельно, с увеличением, реже добавляем рентгеноскопию и отправляем к онкологам или на КТ.
Теперь вставлю 5 копеек о терминологии. Скрининговое - обследование лиц с отсутствием симптомов, для выявления ранних форм заболеваний, которые клинически не проявляются.
Диагностические - а) пациентам с клиническими признаками б-ни; б) пациентам у которых при скрининговом обследовании были выявлены определенные изменения, требующие доп. методов обследования; в) пациентам, имеющим в анамнезе леченное заболевание.
Зри в корень!
Спасибо за комментарий.