Клинические наблюдения

Опубликуйте свое собственное клиническое наблюдение!
06.11.2025 - 16:17
Пациент 63 года. Жалобы на слабость, кашель с мокротой.
Махамбетчин Мурат Максутович аватар
24.10.2025 - 10:59
Ж. 64 г, клиника межреберной невралгии, на КТ инфильтрация в S2 справа плотность 9HU, температуры, кашля нет. На что больше похоже?
12.09.2025 - 12:00
Здравствуйте, проходили флюораграфию, в первом описании очаговый туберкулез, кальцинаты.Через 4 часа новое описание без патологии. Прошли кт органов грудной полости -без патологий. Смущает округлое...
31.07.2025 - 15:36
Пациент 21 год. Проверочное исследование лёгких. Операций и травм не было.Жалоб не предъявляет.
17.07.2025 - 15:27
Пациентка  74 года. Проверочное исследование лёгких.
20.03.2025 - 11:17
Пациент 63 года. Поступил в кардиологическое отделение с диагнозом наджелудочковая тахисистолия.
X-Ray-Man аватар
17.03.2025 - 11:51
Здравствуте, подскажите, пациент 70 лет, отправили после флг, здесь утолщение плевры и деструкция ребра это похоже на злокачественный процесс?
14.03.2025 - 14:48
Женщина 55 лет На момент осмотра 07.03.2025 пациентка предьявляет жалобы: боли в правом подреберье; в правой половине грудной клетки при кашле, в положении лежа. Анамнез: С 01.03.2025...
X-Ray-Man аватар
13.02.2025 - 19:56
Здравствуйте, подскажите пожалуйста, аортографию раньше не описывал, что можно написать про аорту, 2021 году была расслоение восходящей аорты, был прооперирован, как описать вот эти изгибы, есть ли...
26.01.2025 - 15:55
Добрый день. подскажите пожалуйста, как написать в протоколе про грудину.. просто деформация ..?
Махамбетчин Мурат Максутович аватар
09.01.2025 - 13:14
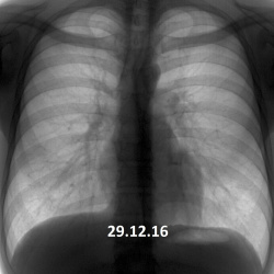
Ж.47 лет, кашель с 3.12.24, темпер-ра до 40 с 23.12.24. Третий курс а/б, без эффекта. Кроме гидроторакса есть значимые изменения в легких?
21.12.2024 - 10:27
- пациент, Ж., 72 лет, жалобы на кашель, в основном сухой, периодически бывает с мокротой, одышка при обычной физической нагрузке. Больна длительно, за мед помощью не обращалась. Обратилась к врачу с...