Мэри Л. Grebenc, CDR, MC, USNR, Мелисса Л. Росадо-де-Кристенсон, полковник ВВС США, MC , Кертис Е. Зеленый, доктор медицинских наук, Аллен П. Берк, доктор медицинских наук и
Мэри Л. Grebenc, CDR, MC, USNR, Мелисса Л. Росадо-де-Кристенсон, полковник ВВС США, MC , Кертис Е. Зеленый, доктор медицинских наук, Аллен П. Берк, доктор медицинских наук и Джеффри Р. Galvin, доктор медицинских наук
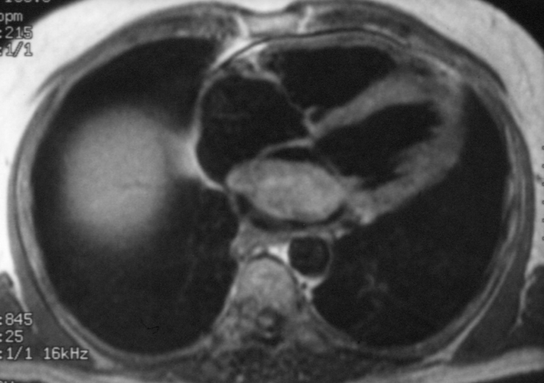
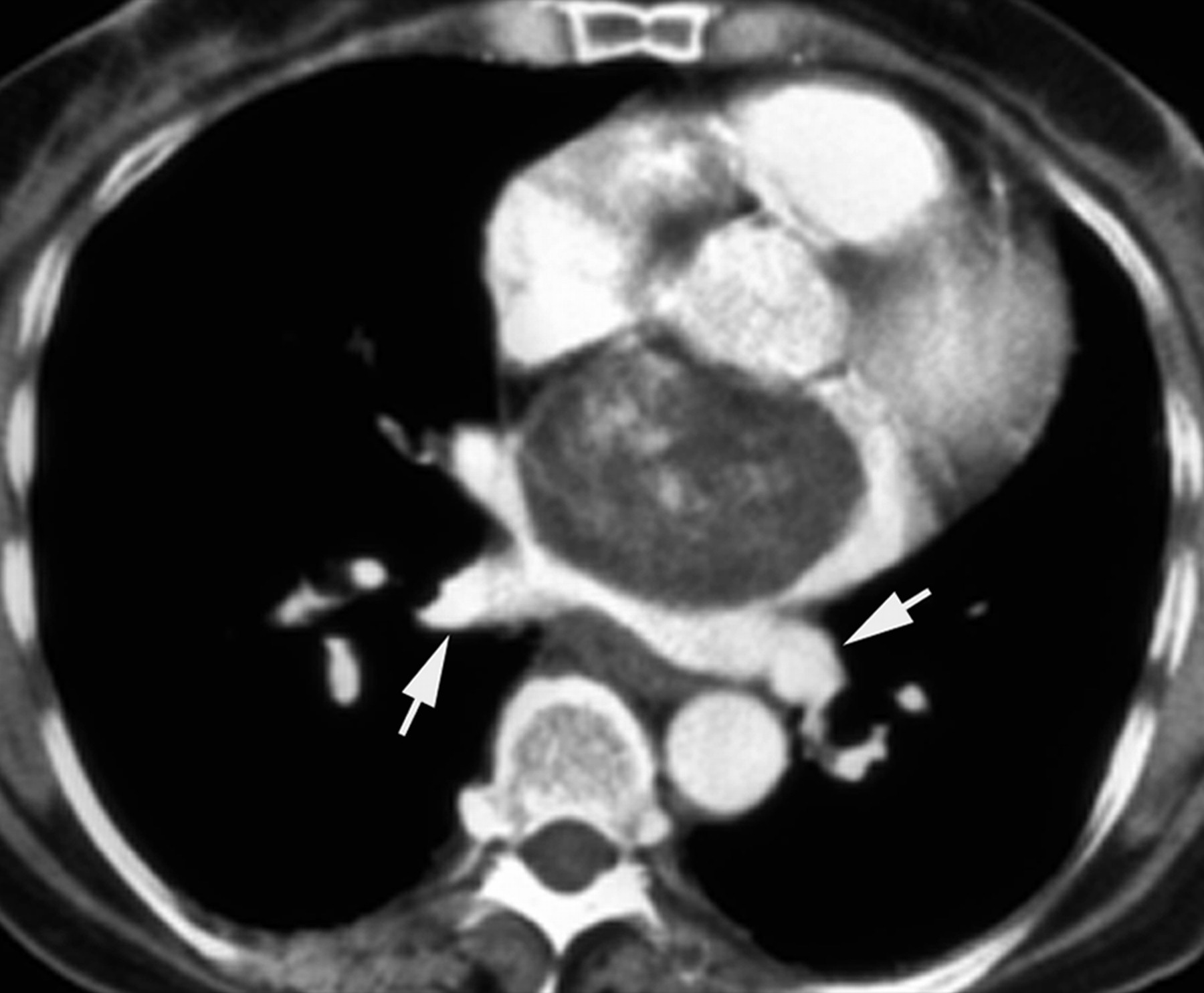
Миксома сердца, составляющая 50—70 % всех новообразований этого органа, является доброкачественной, обычно спорадической опухолью неясного гистогенеза. Она развивается исключительно на поверхности эндокарда, обычно в предсердии рядом с овальной ямкой. Поражает примерно в три раза чаше жен шин, чем мужчин, в возрасте 30—60 лет. Синдром миксомы сердца может включать в себя несколько компонентов: очаговую пигментацию кожи, голубые невусы, миксофиброаденомы молочных желез, очаговую адренокортикольную гиперплазию, аденому гипофиза (акромегалию), сертолиому яичек, псаммоматозную меланотическую шва иному. У 75 % больных опухоль находится в левом предсердии, у 20 % — в правом, примерно у 5 % пациентов обнаруживается биатриальное поражение, единичные наблюдения касаются желудочков сердца. Макроскопически миксома сердца представляет собой узел студенистой, реже более плотной консистенции, иногда покрытый отростками, которые могут становиться источником эмболии, иногда он заполняет большую часть предсердия. Опухоль рецидивирует не более чем в 2 % наблюдений. Под микроскопом видно, что клетки миксомы обладают оксифильной, чаше веретеновидной цитоплазмой с нечеткими контурами и овальным слабо базофильным ядром с мелким(и) круглым(и) ядрышком(-ами). Они экспрсссируют неспецифические гистиоцитарные маркеры: лизоцим, альфа- 1-антихемотрипсин, альфа-1-антитрипсин. Эти клетки лежат поодиночке, могут формировать мелкие узкие тяжи, однослойные кольца вокруг сосудов или небольшие солидные комплексы, часто пронизанные лимфоцитами. Все это, как правило, располагается в миксоидном матриксе, богатом протеогликанами и гемосидерофагами. Встречаются вторичные изменения: фиброз, тромбоз, обызвествление, оссификация, тельца Гамны—Ганди (подобные тем, которые бывают в селезенке при серповидно-клеточной анемии). Очень редко попадаются железистые структуры, выстланные реснитчатым и слизеобразуюшим эпителием. В этом случае необходимо исключить метастаз рака. Миксому сердца следует отличать от миксоидной саркомы сердца (с атипичными веретеновидными клетками и очаговой хондроидной дифференцировкой), папиллярной фиброэластомы эндокарда и пристеночного тромба.
Миксома сердца - первичная внутриполостная гистологически доброкачественная опухоль, встречается в любом возрасте, наиболее часто в 30-60 лет, у женщин в 2-4 раза чаще, чем у мужчин (рис. 61). Миксома наиболее часто локализуется в полости левого (75% ) или правого (20%) предсердия (рис. 62), крайне редко - в желудочках сердца (рис. 63).
Этиология миксомы неясна. Предполагают, что клетки опухоли развиваются из эмбриональной мукоидной ткани или эндотелия с последующей миксоматозной дегенерацией.
Патологическая анатомия. Миксома представляет собой солитарное, реже множественное новообразование округлой или овальной формы, не распространяющееся далее субэндокардиальных слоев сердца. Макроскопически миксомы имеют две разновидности: первая - полупрозрачная, бесцветнаяжелатинозная по консистенции, фиксированная к стенке сердца более или менее широким основанием; вторая - округлая плотная масса, свисающая на ножке (80%). Внешний вид опухоли напоминает полип или виноградную гроздь диаметром от 5 мм до 8 -12 см с крупно-или мелкозернистой поверхностью, масса ее может достигать 250 г. Поверхность опухоли блестящая, капсула отчетливо выражена. Цвет может Рис. 61. Первичные опухоли сердца (по F. Netter, 1969, с изменениями) Рис. 62. ЭхоКГ миксомы правого предсердия (В-режим) варьировать от зеленовато-серого до желтовато-коричневого, опухоль желеобразной или значительно реже эластической консистенции. В самой опухоли могут обнаруживаться дистрофические изменения - некрозы , кровоизлияния, реже происходит обызвествление.
Гистологическое строение миксомы неоднородно. Основная субстанция (матрикс) представлена аморфным оксифильным веществом, в котором рассеяны клетки опухоли веретенообразной формы с круглым или овальным ядром, четким ядрышком, иногда образующие синцитиаль-ные группы, формируя сигарообразные и кольцевидные структуры или тесно окружающие сосуды капиллярного типа. Опухолевые клетки по ультраструктуре напоминают эндотелиальные и могут участвовать в формировании сосудов. Гистологически часто выявляется фиброзное утолщение эндокарда створок атриовентрикулярных клапанов и нижней части предсердия, что обусловлено отложением фибрина на поверхности эндокарда и увеличением количества коллагеновых и эластических Рис. 63. Чреспищеводная эхоКГ двухдольчатой миксомы левого желудочка (по Н. Feigenbaum, 1987, с изменениями) волокон в связи с постоянным трением тела опухоли об эндокард. При выраженном кальцинозе миксомы наблюдается деструкция створок атриовентрикулярных клапанов.
Патологическая физиология. Миксома левого предсердия суживает левое атриовентрикулярное отверстие, возможно также нарушение оттока из легочных вен из-за сужения их отверстий. Обструкция митрального отверстия или легочных вен приводит к легочной венозной и артериальной гипертензии, а также к вторичной правожелудочковой сердечной недостаточности.
Опухоль правого предсердия стенозирует правое атриовентрикулярное отверстие, может затруднять отток из полых вен, что приводит к появлению системной венозной гипертензии. Если миксома пролаби-рует в левый желудочек, то во время ранней систолы она движется от желудочка к предсердию, вызывая в последнем значительное повышение давления, во время ранней диастолы опухоль «проваливается» в полость желудочка, что способствует резкому снижению внутрипредсердного давления. Если опухоль не пролабирует, остается в предсердии и препятствует прохождению крови через атриовентрикулярное отверстие во время диастолы, то гемодинамика похожа на таковую при митральном или трикуспидальном стенозе с замедленным кровотоком через отверстие во время диастолы.
Опухоль левого желудочка суживает его выходной тракт, имитируя обструктивную кардиомиопатию. Правожелудочковая миксома может стенозировать устье легочного ствола.
Клиника и диагностика. Миксома левого предсердия проявляется разнообразной клинической симптоматикой, имитируя ряд заболеваний сердечно-сосудистой системы. Больные обычно предъявляют жалобы общего характера, а также присущие эмболическим осложнениям и вызванные препятствием кровотоку. У больных с миксомой левых отделов сердца преобладают жалобы, обусловленные нарушением кровообращения в малом круге кровообращения: одышка, кровохарканье; у больных с опухолью правых отделов сердца доминируют симптомы, характерные для нарушения кровообращения в большом круге: увеличение печени, отеки.
Небольшие миксомы, если они не приводят к эмболии, обычно асимптоматичны. Опухоли на ножке могут вызывать преходящую обструкцию, например, при перемене положения тела, проявляющуюся эпизодами потери сознания или внезапной смертью. Обструкция кровотоку проявляется обычно в виде какого-либо заболевания сердца, имитируя нередко симптомы порока, чаще всего митрального. При аускультации в фазу ранней или средней диастолы выслушивается низкочастотный шум, называемый опухолевым хлопком (tumorplop), который возникает вследствие резкой остановки опухоли при ударе ее о стенку желудочка или фиброзное кольцо митрального клапана в начале диастолы. Миксома правого предсердия часто манифестирует эмболией легочной артерии, которая может быть причиной летального исхода. При обтурации кровотока на уровне трехстворчатого клапана возможны судороги и другие расстройства функции центральной нервной системы или внезапная смерть.
Системные проявления, отмечающиеся у 90% больных, включают уменьшение массы тела, лихорадку, анемию, повышение СОЭ и концентрации иммуноглобулинов (обычно класса G). Как правило, эти симптомы исчезают после удаления опухоли.
У 50% больных вследствие фрагментации опухоли развиваются системные эмболические осложнения с поражением головного мозга, сердца, почек, конечностей и области бифуркации аорты. Эмболия коронарных артерий приводит к острому инфаркту миокарда, эмболия сосудов головного мозга создает многообразие неврологических поражений от динамического нарушения мозгового кровообращения до параличей или внезапной смерти. Первым признаком миксомы может быть эмболия периферических сосудов.
Выделяют основные клинические симптомы, на основании которых можно заподозрить или диагностировать миксому сердца:
внезапное появление клинических признаков порока сердца (шу
мов) у больного без ревматического анамнеза, которые изменяются при
перемене положения тела (вследствие смещения опухоли относитель
но клапана);
быстрое развитие сердечно-сосудистой недостаточности без ви
димых причин, резистентной к терапии;
небольшая длительность заболевания по сравнению с ревмати
ческими пороками сердца, прогрессирующее течение и неожиданные
«ремиссии»;
возникновение эмболии периферических сосудов или сосудов
легких на фоне синусового ритма, особенно у молодых людей;
одышка или кратковременная потеря сознания, артериальная
гипотензия, тахикардия, появляющаяся внезапно без видимых причин
(возникают при обтурации миксомой клапанных отверстий);
течение заболевания под маской инфекционного эндокардита:
необъяснимая лихорадка, анемия, увеличение СОЭ, несмотря на ле
чение антибиотиками.
ЭКГ не имеет диагностического значения. Степень выраженности изменений зависит от величины стеноза, обусловленного опухолью.
При миксомах предсердий отмечаются признаки гипертрофии предсердий, реже - желудочков.
При фонокардиографии обнаруживается расщепление I тона за счет затрудненного опорожнения предсердий. Наиболее патогномоничным признаком является, особенно при миксоме левого предсердия, отсутствие тона открытия атриовентрикулярного клапана и наличие диа-столического шума соответствующей локализации.
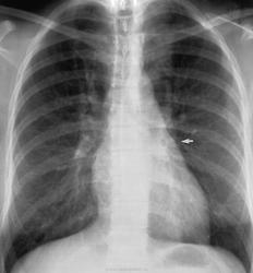
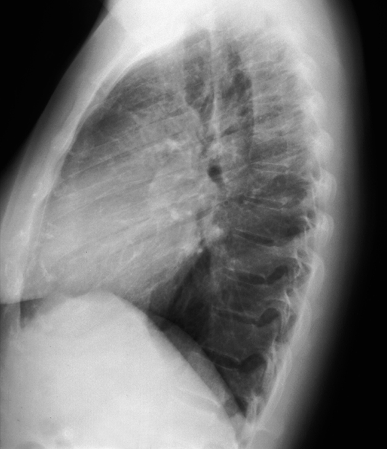
Особенностью рентгенологической картины при миксоме левого предсердия, если нарушения гемодинамики соответствуют митральному стенозу, является отсутствие выбухания ушка левого предсердия, полость левого предсердия расширена меньше, чем при митральном стенозе. При обызвествлении миксомы на рентгенограммах виден каль-циноз.
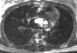
Метод эхокардиографии позволяет верифицировать диагноз. Опухоль левого предсердия вызывает появление «облачка» эхо-сигнала между створками митрального клапана во время диастолы желудочков, во время систолы он виден в полости левого предсердия. При линейном сканировании на протяжении сердечного цикла можно проследить за движением «облачка» из левого предсердия в левый желудочек и обратно. Опухоль искажает характер кривой движения передней створки митрального клапана, вызывая деформацию диастолического движения, и приводит к смещению этой створки к межжелудочковой перегородке. Плотная гладкая капсула миксомы дает четкие контуры отраженного эхо-сигнала, тогда как опухолевые массы без оболочки имеют смазанный контур. При двухмерной эхокардиографии миксо-ма видна в полостях сердца в виде более светлого образования на темном фоне, движение опухоли визуализируется на протяжении всего сердечного цикла.
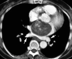
Ангиокардиография получила широкое распространение в диагностике миксом сердца. Характерным симптомом является стойкий дефект наполнения округлой формы с ровными и гладкими контурами, обтекаемый кровью с контрастом.
Дифференциальную диагностику проводят с ревматическим митральным пороком сердца, часто имитирующим опухоль. О наличии опухоли свидетельствуют отсутствие ревматической лихорадки в анамнезе, внезапное начало и быстрое прогрессирование симптомов, несоответствие тяжести состояния и степени нарушения кровообращения незначительно выраженным изменениям контуров сердца, зависимость выраженности симптомов от определенного положения тела, отсутствие тона открытия митрального клапана или несоответствие времени его появления тяжести митральной обструкции, эмболии на фоне синусового ритма, рентгенологические данные о подвижных массах кальция в левых полостях сердца.
Дифференциальная диагностика с инфекционным эндокардитом затруднена, тем более что сама опухоль создает условия для возникновения вторичного инфекционного эндокардита.
Миксома правого предсердия клинически имитирует трикуспидаль-ный стеноз, который практически не встречается как изолированный ревматический порок сердца, или констриктивный перикардит. При последнем обычно рентгенологически выявляют обызвествление перикарда. Изолированная правожелудочковая недостаточность без стеноза легочной артерии должна навести на мысль о наличии миксомы правого предсердия, особенно при признаках трикуспидального стеноза.
Течение. Длительность заболевания миксомой различна. При отсутствии лечения у 30% больных с миксомой наступает внезапная смерть, остальные умирают от сердечной недостаточности или эмболии.
Лечение. Удаление миксомы является единственным радикальным методом лечения, отсрочку операции следует считать грубой ошибкой. Хирургическое лечение опухоли заключается в иссечении места ее прикрепления и ушивании образовавшегося дефекта. У большинства оперированных больных наступает значительное улучшение состояния или полное выздоровление. Госпитальная летальность минимальная.
Мэри Л. Grebenc, CDR, MC, USNR, Мелисса Л. Росадо-де-Кристенсон, полковник ВВС США, MC , Кертис Е. Зеленый, доктор медицинских наук, Аллен П. Берк, доктор медицинских наук и Джеффри Р. Galvin, доктор медицинских наук
Миксома сердца, составляющая 50—70 % всех новообразований этого органа, является доброкачественной, обычно спорадической опухолью неясного гистогенеза. Она развивается исключительно на поверхности эндокарда, обычно в предсердии рядом с овальной ямкой. Поражает примерно в три раза чаше жен шин, чем мужчин, в возрасте 30—60 лет. Синдром миксомы сердца может включать в себя несколько компонентов: очаговую пигментацию кожи, голубые невусы, миксофиброаденомы молочных желез, очаговую адренокортикольную гиперплазию, аденому гипофиза (акромегалию), сертолиому яичек, псаммоматозную меланотическую шва иному. У 75 % больных опухоль находится в левом предсердии, у 20 % — в правом, примерно у 5 % пациентов обнаруживается биатриальное поражение, единичные наблюдения касаются желудочков сердца. Макроскопически миксома сердца представляет собой узел студенистой, реже более плотной консистенции, иногда покрытый отростками, которые могут становиться источником эмболии, иногда он заполняет большую часть предсердия. Опухоль рецидивирует не более чем в 2 % наблюдений. Под микроскопом видно, что клетки миксомы обладают оксифильной, чаше веретеновидной цитоплазмой с нечеткими контурами и овальным слабо базофильным ядром с мелким(и) круглым(и) ядрышком(-ами). Они экспрсссируют неспецифические гистиоцитарные маркеры: лизоцим, альфа- 1-антихемотрипсин, альфа-1-антитрипсин. Эти клетки лежат поодиночке, могут формировать мелкие узкие тяжи, однослойные кольца вокруг сосудов или небольшие солидные комплексы, часто пронизанные лимфоцитами. Все это, как правило, располагается в миксоидном матриксе, богатом протеогликанами и гемосидерофагами. Встречаются вторичные изменения: фиброз, тромбоз, обызвествление, оссификация, тельца Гамны—Ганди (подобные тем, которые бывают в селезенке при серповидно-клеточной анемии). Очень редко попадаются железистые структуры, выстланные реснитчатым и слизеобразуюшим эпителием. В этом случае необходимо исключить метастаз рака. Миксому сердца следует отличать от миксоидной саркомы сердца (с атипичными веретеновидными клетками и очаговой хондроидной дифференцировкой), папиллярной фиброэластомы эндокарда и пристеночного тромба.
Миксома сердца - первичная внутриполостная гистологически доброкачественная опухоль, встречается в любом возрасте, наиболее часто в 30-60 лет, у женщин в 2-4 раза чаще, чем у мужчин (рис. 61). Миксома наиболее часто локализуется в полости левого (75% ) или правого (20%) предсердия (рис. 62), крайне редко - в желудочках сердца (рис. 63).
Этиология миксомы неясна. Предполагают, что клетки опухоли развиваются из эмбриональной мукоидной ткани или эндотелия с последующей миксоматозной дегенерацией.
Патологическая анатомия. Миксома представляет собой солитарное, реже множественное новообразование округлой или овальной формы, не распространяющееся далее субэндокардиальных слоев сердца. Макроскопически миксомы имеют две разновидности: первая - полупрозрачная, бесцветнаяжелатинозная по консистенции, фиксированная к стенке сердца более или менее широким основанием; вторая - округлая плотная масса, свисающая на ножке (80%). Внешний вид опухоли напоминает полип или виноградную гроздь диаметром от 5 мм до 8 -12 см с крупно-или мелкозернистой поверхностью, масса ее может достигать 250 г. Поверхность опухоли блестящая, капсула отчетливо выражена. Цвет может Рис. 61. Первичные опухоли сердца (по F. Netter, 1969, с изменениями) Рис. 62. ЭхоКГ миксомы правого предсердия (В-режим) варьировать от зеленовато-серого до желтовато-коричневого, опухоль желеобразной или значительно реже эластической консистенции. В самой опухоли могут обнаруживаться дистрофические изменения - некрозы , кровоизлияния, реже происходит обызвествление.
Гистологическое строение миксомы неоднородно. Основная субстанция (матрикс) представлена аморфным оксифильным веществом, в котором рассеяны клетки опухоли веретенообразной формы с круглым или овальным ядром, четким ядрышком, иногда образующие синцитиаль-ные группы, формируя сигарообразные и кольцевидные структуры или тесно окружающие сосуды капиллярного типа. Опухолевые клетки по ультраструктуре напоминают эндотелиальные и могут участвовать в формировании сосудов. Гистологически часто выявляется фиброзное утолщение эндокарда створок атриовентрикулярных клапанов и нижней части предсердия, что обусловлено отложением фибрина на поверхности эндокарда и увеличением количества коллагеновых и эластических Рис. 63. Чреспищеводная эхоКГ двухдольчатой миксомы левого желудочка (по Н. Feigenbaum, 1987, с изменениями) волокон в связи с постоянным трением тела опухоли об эндокард. При выраженном кальцинозе миксомы наблюдается деструкция створок атриовентрикулярных клапанов.
Патологическая физиология. Миксома левого предсердия суживает левое атриовентрикулярное отверстие, возможно также нарушение оттока из легочных вен из-за сужения их отверстий. Обструкция митрального отверстия или легочных вен приводит к легочной венозной и артериальной гипертензии, а также к вторичной правожелудочковой сердечной недостаточности.
Опухоль правого предсердия стенозирует правое атриовентрикулярное отверстие, может затруднять отток из полых вен, что приводит к появлению системной венозной гипертензии. Если миксома пролаби-рует в левый желудочек, то во время ранней систолы она движется от желудочка к предсердию, вызывая в последнем значительное повышение давления, во время ранней диастолы опухоль «проваливается» в полость желудочка, что способствует резкому снижению внутрипредсердного давления. Если опухоль не пролабирует, остается в предсердии и препятствует прохождению крови через атриовентрикулярное отверстие во время диастолы, то гемодинамика похожа на таковую при митральном или трикуспидальном стенозе с замедленным кровотоком через отверстие во время диастолы.
Опухоль левого желудочка суживает его выходной тракт, имитируя обструктивную кардиомиопатию. Правожелудочковая миксома может стенозировать устье легочного ствола.
Клиника и диагностика. Миксома левого предсердия проявляется разнообразной клинической симптоматикой, имитируя ряд заболеваний сердечно-сосудистой системы. Больные обычно предъявляют жалобы общего характера, а также присущие эмболическим осложнениям и вызванные препятствием кровотоку. У больных с миксомой левых отделов сердца преобладают жалобы, обусловленные нарушением кровообращения в малом круге кровообращения: одышка, кровохарканье; у больных с опухолью правых отделов сердца доминируют симптомы, характерные для нарушения кровообращения в большом круге: увеличение печени, отеки.
Небольшие миксомы, если они не приводят к эмболии, обычно асимптоматичны. Опухоли на ножке могут вызывать преходящую обструкцию, например, при перемене положения тела, проявляющуюся эпизодами потери сознания или внезапной смертью. Обструкция кровотоку проявляется обычно в виде какого-либо заболевания сердца, имитируя нередко симптомы порока, чаще всего митрального. При аускультации в фазу ранней или средней диастолы выслушивается низкочастотный шум, называемый опухолевым хлопком (tumorplop), который возникает вследствие резкой остановки опухоли при ударе ее о стенку желудочка или фиброзное кольцо митрального клапана в начале диастолы. Миксома правого предсердия часто манифестирует эмболией легочной артерии, которая может быть причиной летального исхода. При обтурации кровотока на уровне трехстворчатого клапана возможны судороги и другие расстройства функции центральной нервной системы или внезапная смерть.
Системные проявления, отмечающиеся у 90% больных, включают уменьшение массы тела, лихорадку, анемию, повышение СОЭ и концентрации иммуноглобулинов (обычно класса G). Как правило, эти симптомы исчезают после удаления опухоли.
У 50% больных вследствие фрагментации опухоли развиваются системные эмболические осложнения с поражением головного мозга, сердца, почек, конечностей и области бифуркации аорты. Эмболия коронарных артерий приводит к острому инфаркту миокарда, эмболия сосудов головного мозга создает многообразие неврологических поражений от динамического нарушения мозгового кровообращения до параличей или внезапной смерти. Первым признаком миксомы может быть эмболия периферических сосудов.
Выделяют основные клинические симптомы, на основании которых можно заподозрить или диагностировать миксому сердца:
внезапное появление клинических признаков порока сердца (шу
мов) у больного без ревматического анамнеза, которые изменяются при
перемене положения тела (вследствие смещения опухоли относитель
но клапана);
быстрое развитие сердечно-сосудистой недостаточности без ви
димых причин, резистентной к терапии;
небольшая длительность заболевания по сравнению с ревмати
ческими пороками сердца, прогрессирующее течение и неожиданные
«ремиссии»;
возникновение эмболии периферических сосудов или сосудов
легких на фоне синусового ритма, особенно у молодых людей;
одышка или кратковременная потеря сознания, артериальная
гипотензия, тахикардия, появляющаяся внезапно без видимых причин
(возникают при обтурации миксомой клапанных отверстий);
течение заболевания под маской инфекционного эндокардита:
необъяснимая лихорадка, анемия, увеличение СОЭ, несмотря на ле
чение антибиотиками.
ЭКГ не имеет диагностического значения. Степень выраженности изменений зависит от величины стеноза, обусловленного опухолью.
При миксомах предсердий отмечаются признаки гипертрофии предсердий, реже - желудочков.
При фонокардиографии обнаруживается расщепление I тона за счет затрудненного опорожнения предсердий. Наиболее патогномоничным признаком является, особенно при миксоме левого предсердия, отсутствие тона открытия атриовентрикулярного клапана и наличие диа-столического шума соответствующей локализации.
Особенностью рентгенологической картины при миксоме левого предсердия, если нарушения гемодинамики соответствуют митральному стенозу, является отсутствие выбухания ушка левого предсердия, полость левого предсердия расширена меньше, чем при митральном стенозе. При обызвествлении миксомы на рентгенограммах виден каль-циноз.
Метод эхокардиографии позволяет верифицировать диагноз. Опухоль левого предсердия вызывает появление «облачка» эхо-сигнала между створками митрального клапана во время диастолы желудочков, во время систолы он виден в полости левого предсердия. При линейном сканировании на протяжении сердечного цикла можно проследить за движением «облачка» из левого предсердия в левый желудочек и обратно. Опухоль искажает характер кривой движения передней створки митрального клапана, вызывая деформацию диастолического движения, и приводит к смещению этой створки к межжелудочковой перегородке. Плотная гладкая капсула миксомы дает четкие контуры отраженного эхо-сигнала, тогда как опухолевые массы без оболочки имеют смазанный контур. При двухмерной эхокардиографии миксо-ма видна в полостях сердца в виде более светлого образования на темном фоне, движение опухоли визуализируется на протяжении всего сердечного цикла.
Ангиокардиография получила широкое распространение в диагностике миксом сердца. Характерным симптомом является стойкий дефект наполнения округлой формы с ровными и гладкими контурами, обтекаемый кровью с контрастом.
Дифференциальную диагностику проводят с ревматическим митральным пороком сердца, часто имитирующим опухоль. О наличии опухоли свидетельствуют отсутствие ревматической лихорадки в анамнезе, внезапное начало и быстрое прогрессирование симптомов, несоответствие тяжести состояния и степени нарушения кровообращения незначительно выраженным изменениям контуров сердца, зависимость выраженности симптомов от определенного положения тела, отсутствие тона открытия митрального клапана или несоответствие времени его появления тяжести митральной обструкции, эмболии на фоне синусового ритма, рентгенологические данные о подвижных массах кальция в левых полостях сердца.
Дифференциальная диагностика с инфекционным эндокардитом затруднена, тем более что сама опухоль создает условия для возникновения вторичного инфекционного эндокардита.
Миксома правого предсердия клинически имитирует трикуспидаль-ный стеноз, который практически не встречается как изолированный ревматический порок сердца, или констриктивный перикардит. При последнем обычно рентгенологически выявляют обызвествление перикарда. Изолированная правожелудочковая недостаточность без стеноза легочной артерии должна навести на мысль о наличии миксомы правого предсердия, особенно при признаках трикуспидального стеноза.
Течение. Длительность заболевания миксомой различна. При отсутствии лечения у 30% больных с миксомой наступает внезапная смерть, остальные умирают от сердечной недостаточности или эмболии.
Лечение. Удаление миксомы является единственным радикальным методом лечения, отсрочку операции следует считать грубой ошибкой. Хирургическое лечение опухоли заключается в иссечении места ее прикрепления и ушивании образовавшегося дефекта. У большинства оперированных больных наступает значительное улучшение состояния или полное выздоровление. Госпитальная летальность минимальная.
Сердечная миксома
ID: 11275 Cardiac myxoma Radswiki - 20 Oct 2010 CT demonstrate a cardiac myxoma in the left atrium This c...
ID: 9285 Cardiac myxoma - gross pathology Dr Frank Gaillard - 29 Mar 2010 Cardiac myxoma. A gelatinous tumor is attached by a narrow pedicle to th...
Случаи и цифры
Дифференциальная диагностика изображения