ГМ. Менингиома 3. +

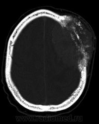
Фронтальная менингиома с гиперостозом и лизисом костной ткани.

 

Отдел патологии, школа медицинских наук.
Государственного Университета Кампинас (UNICAMP).
Кампинас, Сан-Паулу, Бразилия.

Катенёв Валентин Львович аватар
Не на сайте
Был на сайте: 7 лет 5 месяцев назад
Зарегистрирован: 22.03.2008 - 22:15
Публикации: 54876

Продолжение.

 

Приложения: 
1..yy_..slayd134.jpg1..yy_..slayd135.jpg