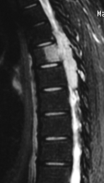
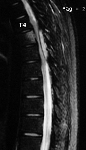
ГМ. СМ. Ганглионейробластома. +

Ганглионейробластома

 

Отдел патологии, школа медицинских наук.
Государственного Университета Кампинас (UNICAMP).
Кампинас, Сан-Паулу, Бразилия.