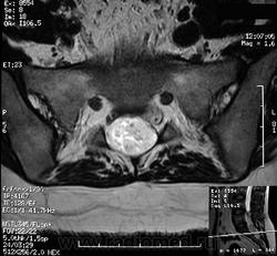
ГМ. СМ. Эпендимома миксопапиллярная. +

Эпендимома миксопапиллярная 

 

Отдел патологии, школа медицинских наук.
Государственного Университета Кампинас (UNICAMP).
Кампинас, Сан-Паулу, Бразилия.