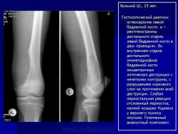
Часто у специалистов, занимающихся вопросами костной патологии, возникают значительные сложности при диагностике высокодифференцированных форм остеосарком - высокодифференцированной телеангиэктатической, внутрикостной высокодифференцированной и паростальной остеосарком. Довольно часто эти формы ошибочно диагностируются как доброкачественные опухоли или опухолеподобные заболевания кости. Внутрикостная высокодифференцированная остеосаркома - редкая (1,2-1,7% от всех остеосарком) опухоль низкой степени анаплазии, по сравнению с обычной низкодифференцированной остеосаркомой характеризующаяся медленным развитием, слабо выраженной склонностью к метастазированию, значительно лучшими выживаемостью и прогнозом. Рентгенологически - общий вид доброкачественного процесса, иногда обнаруживается случайно; в большинстве случаев может наблюдаться деструкция кортикальной пластинки, в ряде случаев - мягкотканый компонент, периостальное костеобразование. Благодаря слабо выраженной атипии клеточных элементов и остеоида эта остеосаркома довольно часто при гистологическом исследовании интерпретируется как доброкачественное поражение. Часто диагностируется только после рецидивирования заболевания, которое ранее при гистологическом исследовании расценивали как фиброзную дисплазию, неоссифицируемую фиброму, аневризмальную кисту, остеобластому или десмопластическую фиброму кости. Обычно диагностируется в более старшем возрасте по сравнению с обычной центральной остеосаркомой - во 2 и 3 десятилетии жизни. Локализация - как при обычной остеосаркоме. Гистологическая картина этой остеосаркомы характеризуется наличием пучков веретеновидных, переплетающихся между собой опухолевых клеток с незначительным полиморфизмом и цитологической атипией, низкой клеточностью, малочисленностью митозов, нерегулярной продукцией остеоида и относительно зрелой кости. После кюретажа или краевой резекции опухоли в большинстве случаев развиваются рецидивы. Телеангиэктатическая остеосаркома - редкий (составляет около 4% всех остеосарком) вариант остеосаркомы, характеризующийся наличием кист, заполненных кровью. При рентгенологическом исследовании обычно выявляется полностью литическое поражение без признаков склерозирования, интенсивное вздутие кортикальной пластинки и ее деструкция, часто обнаруживаются периостальная реакция и распространение патологического процесса в мягкие ткани. Гистологическая диагностика телеангиэктатического варианта остеосаркомы может быть относительно несложной при наличии атипичного остеогенеза и высокой степени анаплазии клеточных элементов. Однако довольно часто, особенно у детей и подростков, диагностика вызывает значительные трудности, так как эта остеосаркома, в основном, представлена высокодифференцированным вариантом. Последний отличается тем, что опухолевые клетки определяются только в области выстилки кист и полостей опухоли, злокачественные клетки характеризуются низкой степенью анаплазии, опухолевый остеоид обнаруживается лишь при целенаправленном исследовании серийных срезов, встречаются участки ткани, в которых клеточные элементы и остеоид не имеют признаков атипизма и микроскопическая картина полностью соответствует аневризмальной кисте кости, в связи с чем не исключена диагностическая ошибка при исследовании небольшого количества материала, особенно биопсийного. Относительно медленное развитие опухоли, обычно чисто литическое поражение кости, сходство рентгенологической картины с аневризмальной кистой или гигантоклеточной опухолью кости также способствуют постановке неверного диагноза. Паростальная остеосаркома - редкая (составляет около 3-4% всех остеосарком) медленно растущая костеобразующая поверхностная (растет на поверхности периоста) высокодифференцированная опухоль. При рентгенологическом исследовании большинство опухолей прикрепляется к кортикальной пластинке на протяжении 1 см или более, крупные опухоли опоясывают кость; определяются дольчатые и кальцинированные массы на метафизарной поверхности длинных костей, центральная часть опухоли более минерализована, чем периферическая, периостальная реакция отсутствует; часто выявляются, особенно при исследовании КТ, неминерализованные мягкотканные массы, расположенные вблизи минерализованного компонента. Гистологическая картина характеризуется формированием среди фибробластоподобного клеточного компонента хорошо дифференцированных афункционально расположенных костных трабекул, может содержать хрящ, в том числе в качестве хрящевого покрытия, периферическая часть опухоли более клеточная и содержит меньше кости. Часто ошибочно интерпретируется как доброкачественное реактивное поражение (посттравматический периостит, флоридный реактивный периостит, оссифицирующий миозит) и, наиболее часто, как костно-хрящевой экзостоз. Однако в последнем хрящевое покрытие не содержит злокачественных клеток, без ядерного полиморфизма и двуядерных клеток, на границе хряща и кости определяется энхондральная оссификация, отсутствует веретеноклеточный компонент, губчатая кость состоит из зрелой пластинчатой кости с жировым костным мозгом. Диагностика высокодифференцированных форм остеосарком является одним из сложнейших вопросов в костной онкологии, где во избежание ошибочной диагностики и с целью выбора правильной тактики лечения требуется тесное сотрудничество между патологоанатомами, специалистами лучевой диагностики и хирургами-ортопедами, и должна проводиться в специализированных учреждениях, занимающихся вопросами костной патологии. Берченко Г.Н., Морозов А.К., Снетков А.И., Балберкин А.В. ЦИТО им. Н.Н. Приорова, г. Москва
Остеогенная саркома является опухолью молодых. Чаще всего остеогенная саркома развивается в период активного роста скелета, характеризующегося интенсивной пролиферацией клеток, поэтому она поражает в первую очередь детей и подростков, находящихся в стадии роста. Наиболее часто остеогенная саркома формируется в период конца полового созревания, то есть в период наиболее интенсивного развития организма - от 12 до 16 лет, предпочтительнее в зонах наиболее активного роста скелета. У людей в возрасте от 10-20 лет выявляется около 60% остеогенных сарком, 10% - в возрасте между 20 и 30 годами. В более старшем возрасте появление остеогенной саркомы обычно очень часто привязано к озлакочествлению доброкачественной опухоли кости или воздействию ионизирующего излучения.
Преимущественно остеогенная саркома развивается в длинных трубчатых костях, чаще нижних конечностей, особенно в области коленных суставов. 80% остеогенных сарком у детей и подростков развивается именно в этих областях. Второй по частоте локализацией остеогенных сарком является верхний отдел плечевой кости. Значительно реже остеогенная саркома возникает в плоских костях таза, малоберцовой, плечевой, ключице, позвоночнике, нижней челюсти. Остеогенная саркома развивается у мальчиков и мужчин в 1,5-2 раза чаще, чем у девочек и женщин.
На долю остеогенной саркомы приходится почти 45% всех сарком костей.
Основные симптомы остеогенной саркомы Первым симптомом опухоли является появление боли, возникающей практически с момента начала роста опухоли. Боль при остеогенной саркоме обусловлена давлением опухоли на надкостницу и окружающие ткани. Характер болевых ощущений носит тупой, ноющий характер. В отличие от боли при воспалительном процессе, боль при остеогенной саркоме не стихает в покое (усиливается по ночам, отсутствует облегчение при фиксации конечностей).
В течение месяца от начала появления боли (в подавляющем большинстве случаев) над местом расположения раковой опухоли появляется припухлость. Появление опухлости, заметной при осмотре является важным симптомом, указывающим на развитие болезни. Как первый признак заболевания безболезненная опухоль встречается значительно реже, чем болевые ощущения.
По мере роста опухоли она становится болезненной при пальпации, возникает отечность мягких тканей, кожи, отмечается синюшность кожных покровов вследствие венозного застоя. Кожа становится напряженной и появляется расширенная поверхностная венозная сеть. Нередко развитие опухоли сопровождается появлением патологического перелома (патологические переломы встречаются в 5% случаев остеосаркомы).
На 3-4-м месяце от начала заболевания из-за боли сначала ограничивается, а затем прекращается движение в ближайшем суставе. В этот момент состояние пациента заметно ухудшается, отмечается подъем температуры до 38? - 39?С, нарастают общие симптомы в виде недомогания, слабости, похудания, нарушения сна.
Остеогенная саркома - чрезвычайно злокачественная опухоль, склонная к быстрому гематогенному метастазированию. У более чем 15% пациентов, впервые обратившихся к онкологу для обследования, выявляются метастазы в легких. До конца первого года от начала заболевания метастазы в легких выявляются у подавляющего числа больных. Поскольку кости не имеют развитой лимфатической системы, раннее распространение остеогенной саркомы в регионарные лимфоузлы встречается редко, но, если это имеет место, то является плохим прогностическим признаком.
По течению можно выделить два вида развития остеогенной саркомы - стремительное развитие опухоли с нарастанием болевого синдрома, нарушением функции пораженной конечности и быстрым летальным исходом, и медленное развитие опухолевого процесса. Для детей и подростков характерен первый вид течения заболевания.
Развитие костных опухолей часто ассоциируется с травмой. Более чем в 50% случаях остеогенной саркомы выявляется указание на травму именного того участка кости, в области которого в дальнейшем появлялась опухоль. При этом срок с момента травмы до появления заболевания варьирует в очень широких пределах.
К факторам, повышающим риск развития остеогенной саркомы можно отнести ионизирующее излучение, которому пациент подвергся в течение 4 - 10 лет перед выявлением опухоли и наличие доброкачественных опухолей кости. (остеохондрома, энхондрома болезнь Педжета и т.д.).
Основные принципы диагностики остеогенной саркомы Ранняя своевременная диагностика остеогенной саркомы представляет определенные трудности. Врачу часто бывает сложно поставить правильный диагноз на начальной стадии заболевания. Почти 70% пациентов до обращения к онкологу имеют другой диагноз (остеомиелит, миозит, невралгия, туберкулез, различные травматические повреждения), в связи с чем получают неадекватное лечение. В то время, как своевременная постановка диагноза значительно облегчает процесс лечения и значительно улучшает прогноз выживаемости.
Точный диагноз ставится по совокупности клинических, рентгенологических и гистологических данных.
Первым исследованием, на основании которого обычно ставится диагноз остеогенной саркомы, является рентгенодиагностика. Это исследование позволяет заподозрить наличие остеосаркомы у пациента, а также выявляет наличие мягкотканного компонента, патологического перелома, определяет размеры опухоли, и оптимальный уровень проведения биопсии.
Биопсия опухоли является очень важным и обязательным компонентом постановки диагноза. Проведение биопсии позволяет поставить точный диагноз, уточнив вид опухоли. Только после постановки точного диагноза врач может назначить правильное лечение.
Для уточнения диагноза, локализации опухоли, выявления дополнительных очагов заболевания, определения ее отношения к окружающим тканям и контроля за эффективностью проводимой химиотерапии возможно проведение дополнительных исследований: компьютерная томография, магнито-резонансная томография, ангиография, остеосцинтиграфия, УЗИ.
Виды остеогенной саркомы, классификация остеогенной саркомы Различают несколько видов остеогенной саркомы: - остеобластическая остеосаркома (более 50% случаев выявленных пациентов) - хондробластическая остеосаркома (более 25% случаев выявленных пациентов) - фибробластическая остеосаркома (менее 20% случаев выявленных пациентов)
Помимо трех основных видов остеогенной саркомы существуют другие виды, которые занимают в общем чуть более 5% от общего количества остеосарком (телеангиэктатическая остеосаркома, юкстакортикальная или параоссальная остеосаркома, периоссальная остеосаркома, интраоссальная остеосаркома, мультифокальная остеосаркома, экстраскелетная остеосаркома, мелкоклеточная остеосаркома, остеосаркома таза). Каждая из видов остеосарком имеет свою степень злокачественности и тип течения.
В зависимости от вида остеогенной саркомы различается степень ее злокачественности. Степень злокачественности определяет прогноз заболевания и во многом тактику лечения. Так, после полного удаления остеосаркомы низкой степени злокачественности обычно не требуется химиотерапия и исход заболевания благоприятный. При остеосаркомах высокой степени злокачественности необходимо применение как оперативного вмешательства, так и химиотерапии. Большинство остеосарком у детей относится к опухолям высокой степени злокачественности.
Стадии развития заболевания определяются по шкале: Стадия IA - Высокодифференцированная опухоль. Очаг ограничен естественным барьером, препятствующим распространению опухоли. Отсутствие метастазов Стадия IB - Высокодифференцированная опухоль. Очаг распространяется за пределы естественного барьера. Отсутствие метастазов Стадия IIA - Низкодифференцированная опухоль. Очаг ограничен естественным барьером. Отсутствие метастазов. Стадия IIB - Низкодифференцированная опухоль. Очаг распространяется за пределы естественного барьера. Отсутствие метастазов. Стадия III - Наличие регионарных и отдаленных метастазов, вне зависимости от степени дифференцировки опухоли
Основные принципы лечения остеогенной саркомы Несмотря на серьёзность заболевания, в последние годы медицина достигла больших успехов в лечении остеогенной саркомы. Основными методами, применяемыми в лечении остеогенной саркомы являются химиотерапия и оперативное лечение.
Обычно лечение начинается с химиотерапии. Первые курсы позволяют подавить микрометастазы в легких, остановить рост первичного очага опухоли, расширив тем самым возможности реконструктивных операций на конечностях. Результат воздействия химиопрепаратов на опухолевые клетки позволяет объективно оценить гистологический ответ опухоли на химиотерапию, что часто определяет прогноз заболевания и тактику дальнейшего лечения.
Операция - второй обязательный этап лечения. Развитие возможностей современной хирургии, а также средств контроля первичного опухолевого очага, позволяют улучшить качество жизни пациентов, применяя органосохраняющие операции. Большое распространение в мире получила имплантация эндопротеза суставов, а также замена резецированного участка кости ауто- и аллотрансплантатом. Тактика проведения оперативного лечения остеогенной саркомы каждый раз определяется онкологом исходя из состояния пациента и развития опухоли. Очень важно, что наличие метастазов при современном уровне развития медицины не является противопоказанием к органосохраняющей операции.
Не менее важно проведение послеоперационной химиотерапии. Послеоперационная химиотерапия проводится с учетом гистологического ответа опухоли на предоперационную химиотерапию (продолжение лечения, либо смена схемы терапии, либо прекращение терапии).
Лучевая терапия для лечения остеогенной саркомы малоэффективна в силу того, что клетки остеогенной саркомы малочувствительны к ионизирующему излучению. Лучевую терапию проводят в том случае, если по какой-либо причине операция невозможна.
В случае своевременной постановки диагноза и проведения грамотного лечения 5-летняя выживаемость больных с локализованной остеогенной саркомой превышает 70%. Выживаемость больных с чувствительными к химиотерапии опухолями достигает 90%.
Развитие метастазов не предопределяет фатальный исход заболевания. Проведение химиотерапии с определением гистологического ответа опухоли на лечение, удаление метастазов из легкого позволяют добиться 5-летней выживаемости у 55% больных с метастазами в легких.
Эффективность лечения остеогенной саркомы зависит от своевременной постановки диагноза. Чем раньше поставлен правильный диагноз, тем быстрее будет начато лечение и тем выше шанс к полному выздоровлению и к возвращению пациента к полноценной жизни. Самое главное – вовремя обратиться к врачу и начать грамотное лечение в рамках официальной медицины. Применение «чудодейственных» средств, БАДов, различных нетрадиционных методов лечения способно нанести непоправимый вред. В случае с опасной и быстрорастущей опухолью, какой является остеогенная саркома, потеря драгоценного времени ведет только к одному – росту опухоли, развитию метастазов, ухудшению состояния. Чем позже пациент начинает правильно лечиться, тем хуже результаты лечения.
Внутрикостная хорошо дифференцированная остеогенная саркома (intraosseus well differentiated osteosarcoma) была выделена и описана в 1977 г. K.K.Unni, D.C.Dahlin, R.A.McLeod, D.I.Pritchard. В результате изучения 1000 препаратов с остеогенной саркомой больных, лечившихся в клинике Мейо, было обнаружено 12 таких опухолей и 15 препаратов было прислано для консультации из других лечебных учреждений. Описание этого вида опухоли появилось во втором издании «Атласа по опухолевой патологии» в 1981 г. под редакцией H.I.Spjut, R.E.Fechner, L.V.Ackerman. Описание составлено на основании статьи K.K.Unni и соавт. (1977). Третья статья, опубликованная в 1983 г. Johannes, Bjornsson, Kristian, K.K.Unni, основана на результатах наблюдения 15 больных, лечившихся в клинике Мейо с 1919 по 1981 г. Открытие этого вида опухоли стало возможным только благодаря тому, что с 1919 г., т.е. более 72 лет, в образцовом порядке хранятся истории болезни, рентгенограммы, морфологические и микроскопические препараты. Этот богатейший банк данных позволил пересмотреть их с новых позиций, сравнить результаты клинических исследований (продолжительность жизни, виды операций, микроскопическая картина) и выделить новый нозологический вид опухоли. В отечественной литературе имеется только одна статья Н.Н.Петровичева и соавт. (1988), в которой они описали больного 20 лет с внутрикостной высокодифференцированной остеогенной саркомой в дистальном конце правой бедренной кости. На рентгенограмме опухоль занимала заднюю половину полуокружности бедренной кости, разрушив в этом месте кортикальный слой, однако над опухолью располагались костной плотности реактивные образования надкостницы. Диагноз колебался между паростальной саркомой и юкстакортикальной хондросаркомой. На компьютерной томографии был обнаружен очаг деструкции неоднородной плотности, окруженный зоной склероза. Кортикальный слой разрушен по задней поверхности, но опухоль прикрыта ассимилированным периостозом, толщина которого в 4 раза превышала толщину кортикального слоя; внекостный массив включал мелкоочаговые оссификаты, а его поверхность большей частью не содержала замыкательной пластинки. Больному произведена резекция дистального конца бедренной кости, дефект замещен эндопротезом. Размеры опухоли 5x5x4 см. Морфологи ЦИТО в настоящее время пересматривают препараты целой группы больных с атипичными формами фиброзной дисплазии и другими заболеваниями. Нет сомнения, что у ряда больных будет обнаружена недиагностированная (не известная ранее) внутрикостная хорошо дифференцированная остеогенная саркома. Описание этого нового вида опухоли приводится по статьям K.K.Unni и соавт. и Johannes and Kristian Bjornsson. Внутрикостная хорошо дифференцированная остеогенная саркома, по данным клиники братьев Мейо, составляет 1 % всех больных, которым в клинике был поставлен диагноз: остеогенная саркома. Мужчины и женщины поражаются одинаково часто. Возраст на момент установления диагноза — от 10 до 70 лет, наибольшее число больных было в возрасте от 20 до 30 лет и старше, что объясняется медленным течением этого опухолевого процесса. Наиболее часто опухоль локализовалась в дистальном метафизе бедренной кости у 11 больных и проксимальном — болыпеберцовой кости у 8, в дистальном конце — у 5 больных; поражение наблюдалось в подвздошной, пяточной кости и нижней челюсти у одного больного, было два очага — в правой подвздошной кости и проксимальном отделе большеберцовой кости, всего наблюдалось 27 больных. Симптоматика. Боли локальные соответственно месту поражения кости, постепенно за месяцы и годы усиливающиеся и поэтому трудно переносимые; хотя размеры очага увеличиваются медленно, у некоторых больных появляются местно пастозность ткани, снижение мышечного тонуса. Поскольку опухоль обычно не выходит за контуры кости, мягкотканный компонент не определяется. Течение медленное — многие годы, краевые резекции обычно приводят к рецидиву процесса. Определить границы необходимой резекции кости на протяжении в настоящее время трудно, поскольку неизвестны отдаленные результаты таких операций у большого числа больных и отсутствуют достаточные сроки наблюдения. По данным клиники Мейо, даже после ампутаций наблюдались рецидивы опухоли, что говорит о возможности распространения опухоли по костномозговому каналу на большом протяжении. После ампутации умерло двое больных — через 15 и 24 мес. Рентгенологическая картина. Опухоль располагается в костномозговом канале в виде одиночного просветления, обычно вытянутого по каналу или разделенного на несколько отделов более плотными полуперегородками. На фоне просветления встречаются более плотные островки с нечеткими контурами, но в некоторых местах имеющие даже склеротический хорошо выраженный край, что дает иногда основание ошибочно предположить, что это доброкачественный процесс. Постепенно разрушается, истончается и даже (правда, неравномерно) полностью разрушается кортикальный слой кости, периостальной реакции чаще не бывает. У детей опухоль со стороны диафиза доходит до зоны роста с ее закрытием, распространяется на метафиз и эпифиз, что дает основание путать ее с гигантоклеточной опухолью — остеобластокластомой. Во время операции опухоль имеет беловато-серовато-розовый цвет, создается впечатление, что она хорошо отграничена от кости, но это впечатление ложное. Опухоль имеет плотную консистенцию, похожа на фиброзную ткань при фиброзной дисплазии и легко может быть с ней спутана. Обычно она только приподнимает надкостницу, не нарушая ее, но возможны случаи, когда опухолевая ткань распространяется за пределы кости. Микроскопически опухоль состоит из фиброзной ткани с остеоидом, содержание которого колеблется, коллагена и веретенообразных клеток, составляющих пучки. Клетки заполнены «активными» зернами хроматина, имеют одинаковое строение, величину, нет характерных для злокачественности атипичных форм, митозы встречаются редко или даже отсутствуют. Иногда трабекулы из остеоида по величине соответствуют нормальной кости и часто минерализуются. Клетки по краям остеоида могут напоминать остеобласты. Стромальные клетки в некоторых фокусах и в других местах кости ориентируются в разных направлениях к проекции кости и под разными углами, некоторые из них устанавливаются под прямым углом к трабекулам, как это встречается при паростальной саркоме. Дифференциальный диагноз должен проводиться с фиброзной дисплазией, десмопластической фибромой, с типичной остеобластомой или агрессивной остеобластомой.
Остеогенная саркома — очень злокачественная опухоль. По частоте возникновения занимает первое место, составляя, по данным D.C.Dahlin (1967), наблюдавшего 650 больных с остеогенной саркомой, 39 % всех больных с саркомами. Из 650 больных с остеогенной саркомой у 20 она возникла в костях, пораженных болезнью Педжета, у 2 — фибросаркомой и у 1 больного — гигантоклеточной опухолью. Чаще она встречалась у лиц мужского пола (62 %). По данным ВОНЦ АМН РФ, с 1952 по 1985 г. лечилось 350 больных с остеогенной саркомой, что составило 38,3 % больных с саркомой костей. В 1922 г. J.Ewing предложил называть саркомы, происходящие из костных клеток, «остеогенными саркомами», следовательно, в эту группу опухолей входили и паростальная саркома, и хондросаркома. Последующими исследователями был внесен целый ряд уточнений [Виноградова Т.П., 1973; Kolodny А., 1927; Phemister D.W., 1930; Geschickter C.F., Copeland M.M., 1951], в результате чего пришли к единому мнению, выраженному в международной гистологической классификации костных опухолей 1974 г.: остеосаркома, остеогенная саркома — это злокачественная опухоль, характеризующаяся непосредственным образованием кости или остеоида опухолевыми клетками. Обнаружение в клетках опухоли щелочной фосфатазы с помощью гистохимического исследования может помочь проведению дифференциальной диагностики. Т.П.Виноградова (1973) особенно подчеркивала, что хотя и принят термин «остеогенная саркома» (происходящая из костеобразующей ткани), ее правильнее было бы называть «остеогенетической саркомой», т.е. образующей костную ткань; следовательно, правомочен также термин «остеопластическая» независимо от того, имеется ли остеопоротическая или остеосклеротическая форма. Т.П.Виноградова принципиально возражала и против употребления широко распространенного названия «остеосаркома», считая его собирательным, неточным. Остеогенная саркома, как правило, возникает в одной кости, но описаны и множественные поражения костей, а также возникновение остеогенной саркомы у 2 сестер и брата практически в одно и то же время [Roberts C.W., Roberts С.P., 1935]. Предположение, что остеогенная саркома возникает из мультипотентных мезенхимальных клеток, подтверждается, по нашему мнению, тем фактом, что описаны больные с внескелетными остеогенными саркомами, развивающимися в мыщцах, матке, почках, щитовидной железе, молочной железе и других тканях, причем опухоли не связаны с рядом расположенными костями. О внескелетных остеогенных саркомах упоминает и Т.П.Виноградова (1973). R.Lorentzon и соавт. (1979) сообщили о 4 больных, из которых в течение 2 лет умерли трое и один жив 14 лет. По данным этих авторов, в 1978 г. в англоязычной литературе описано 107 больных с внекостной остеогенной саркомой, средний возраст которых составил 51 год. Рецидивы опухоли возникают как правило, поэтому необходимы широкие резекции с соблюдением принципа зональности и футлярности, а также современная полихимиотерапия. R.I.Ferguson, E.I.Junis (1978) на основании электронно-микроскопического изучения остеогенных сарком идентифицирует следующие типы клеток: примитивные недифференцированные мезенхимальные клетки и клетки с морфологическими признаками остеобластов, хондробластов и фибробластов в сочетании с многоядерными клетками, часть из которых подобны остеокластам, тогда как в других клетках имеются анапластические и дегенеративные изменения. Авторы полагают, что эти примитивные мезенхимальные клетки являются плюрипотенциальными клетками, способными дифференцироваться в различные клетки. К подобным выводам пришли Л.В.Литвинова (1976), D.Katenkamp и др. (1978), E.Grundmako и соавт. (1981). A.Roessner и соавт. к указанным видам клеток прибавили клетки ангиогенной природы и миофибробластической дифференцировки. В.Ф.Кондаленко и др. (1987) при электронно-микроскопическом исследовании остеогенных и паростальных сарком обнаружили различия во внеклеточном матриксе, в частности протеогликанов. Они считают, что отличие в структуре протеогликанов обусловливает направление и уровень дифференцировки клеток опухоли, что и определяет степень злокачественности опухоли. Так, они обнаружили резкое отличие в структуре протеогликанов в матриксе паростальной и остеогенной сарком, которые клинически резко различаются в своей злокачественности. Электронно-микроскопические данные свидетельствуют о том, что остеогенная саркома, как и другие виды опухолей, может происходить из примитивных недифференцированных мезенхимальных клеток, прямо связанных с рядом биохимических процессов; некоторые из них приведены ниже. В опухолевых клетках тканеспецифические белки отсутствуют или их очень мало, как и ферментов, характерных для нормальных тканей. На этом основании считают, что предшественниками опухолевых клеток являются низкодифференцированные клетки [Potter V.R., 1969, и др.] или возникновение злокачественных опухолей (клеток) связано с процессом недифференцировки, или ретродифференцировки, — процессом, который предшествует появлению опухолевых клеток [Оленев Ю.М., 1977; Uriel J., 1979; Curtin N.J., Snell К., 1983]. Прямое участие в развитии опухолевых клеток принимают ферменты, которые подразделяют на две группы: 1) ферменты, обеспечивающие процесс пролиферации, и 2) ферменты, включенные в системы передачи в клетку регуляторных сигналов извне, т.е. осуществляющие регуляцию пролиферации [Ходостова И.А., 1988]. Длительное время как о чем-то таинственном говорилось об автономности опухолевого роста. Эта особенность присуща опухолевым клеткам и определяет их свойства, но необъяснима. В последние годы было показано, что некоторые протеинкиназы находятся в связи с рецепторами факторов роста, а системы циклических нуклеотидов и ферментов их метаболизма приобретают важное значение в делении клеток нормальных тканей. Было обнаружено также, и это особенно важно, что в опухолевых тканях имеются существенные отклонения характеристик ряда ферментов, участвующих в пролиферации клеток. Это и определяет их автономный рост. Так объясняется с биохимических позиций автономность роста опухоли. И наконец, клетка обладает, с одной стороны, возможностью активировать положительные, необходимые в данное время процессы, а с другой — давать начало процессам, отрицательно отражающимся на функции всего организма или какого-либо органа, ткани. Процессы регуляции активности генов деятельности ДНК (торможение ее функции) происходят в результате сложных процессов, одним из которых является метилирование ДНК ферментами ДНК — метилазами. Химические канцерогены нарушают, изменяют, снижают процесс метилирования ДНК, в результате чего ряд генов (онкогены), кодирующих синтез белков и определяющих появление опухолевых клеток, начинают функционировать и вызывают дифференцировку примитивных недифференцированных мезенхимальных клеток в опухолевую ткань. Нужно помнить, что гены состоят из четырех нуклеотидных оснований: аденина (А), темина (Т), цитозина (Ц), гуанина (Г). Разные комбинации А, Т, Ц и Г кодируют различные белки. Как известно, в 1960 г. была открыта согласуемая хромосомная аберрация в опухолевых клетках при хронической миеломной лейкемии, и с тех пор продолжаются исследования хромосом с точки зрения ракового цитогенеза. N.Mandahl и A.Rydholm (1989) опубликовали данные, полученные ими и другими исследователями, изучавшими изменения в хромосомах у больных со следующими опухолями костей: саркомой Юинга, остеогенной саркомой, хондромами, хондросаркомами, злокачественной фиброзной гистиоцитомой, синовиальной саркомой, липомой, липосаркомой и некоторыми другими. При остеогенной саркоме только в незначительном числе клеток хромосомы оставались неизменными, а в большинстве клеток были обнаружены сложные изменения в наборах хромосом, наблюдались клетки как гиподиплоидные, так и приближающиеся почти до гексадиплоидного уровня, в большинстве опухолей обнаруживались участки с триплоидными и тетраплоидными клетками. Можно надеяться, что изучение хромосом злокачественных опухолей позволит лучше понять процессы, происходящие в клетках. Н.А.Краевский и Ю.Н.Соловьев (1971) описали важные наблюдения, имеющие значение в патои морфогенезе остеогенной саркомы. В теоретическом аспекте они исходили из известного положения о предшествующих опухолевому росту явлениях диспластического и дистрофического характера, согласно которому глубокие метаболические нарушения, приводящие к изменениям в клетках и тканях, влияют на их дифференцировку и являются обязательным условием возникновения опухолей. Изменения энхондрального остеогенеза непосредственно связаны с процессами кровоснабжения и особенностями метаболизма хрящевой ткани зоны роста длинных трубчатых костей, что приводит к нарушению процессов превращения хрящевой ткани в костную, а в период интенсивного роста кости может обусловить появление диспластической хрящевой ткани. Изучение костей, пораженных остеогенной саркомой, у ряда больных в возрасте 12—18 лет позволило Н.А.Краевскому и Ю.Н.Соловьеву выявить отчетливые признаки задержки резорбции хряща и смещение участков метафизарной спонгиозы по оси в диафизарном направлении с отрывом их от эпифизарной хрящевой пластинки. Фактически подобные изменения представляют собой полный аналог зоны, или «пояска» (в известной мере эктопированного), костеобразования, которое наблюдается и при экспериментальном воспроизведении опухолей скелета. Единственным реальным объяснением этого явления может быть только трактовка его с позиции нарушения синхронности процессов костеобразования (энхондрального остеогенеза) и процесса роста кости. Как показали исследования Ederer (1965) и J.E.Fraumani (1967), существует достоверный параллелизм между увеличением и ускорением роста в возрасте 12—17 лет и частотой возникновения остеогенной саркомы. По данным Ю.Н.Соловьева (1959), редукция сосудистого русла костей вблизи зон роста у экспериментальных животных приводит к угнетению энхондрального остеогенеза в зонах роста и персистенции хряща эпифизарных пластинок. По сообщению Н.А.Краевского и Ю.Н.Соловьева, у 98,5 % больных остеогенная саркома возникла в длинных трубчатых костях, а у 80 % развилась в дистальном конце бедренной кости и проксимальных концах большеберцовой и малоберцовой костей, т.е. ростковых зонах, обладающих наибольшей скоростью роста. Известно, что остеогенная саркома наблюдается у пород собак высокого роста и не встречается у низкорослых собак, что нужно прямо связать со скоростью роста костей за счет эпифизарных зон. В настоящее время морфологические данные являются основой, на которой строятся наши представления о патогенезе и развитии опухолей. Процессы, определяющие опухолевые клетки и предшествующие возникновению опухоли как таковой, известны, но не настолько детально изучены, чтобы в своей практической деятельности врачи различных специальностей могли бы улавливать момент возникновения опухоли, точную ее локализацию и направленность изменений биохимических процессов в межклеточной субстанции, которые определяют возникновение новой опухолевой популяции клеток, развивающихся из мезенхимальных клеток — клеток-предшественников, стволовых клеток. Следует считать, что опухолевые клетки возникают под влиянием воздействия многочисленных физических (малоизученных), биохимических нарушений, а также атомных, молекулярных метаболических отклонений, которые приводят к изменениям генов и нарушениям в ДНК, обусловливающим начало опухолевого роста. Н.Н.Трапезников и соавт. (1983) указывали, что во втором десятилетии жизни возникают 80 % остеогенных сарком, при этом у мальчиков 11 — 15 лет они встречаются реже (37,5 %), чем у девочек того же возраста (62,5 %). Противоположное соотношение наблюдается в следующее пятилетие: среди мужчин 16—20 лет опухоль развивается у 62,5 %, а среди женщин того же возраста — у 37,5 %. Приведенные статистические данные с несомненностью говорят о значении эндокринных влияний, скорости роста длинных трубчатых костей в длину за счет зон роста костей, где возникает 97 % опухолей, а в 80 % опухолей развиваются в зонах с наиболее интенсивным ростом: это нижний метафиз бедренной кости, верхний метафиз плечевой кости, затем следуют кости таза, верхняя и нижняя челюсти, позвоночник, ребра, лопатка, кости предплечья, стопы, кисти, при этом определенную роль играет размер площади зоны роста. Отмечено, что у подростков, юношей, девушек высокого роста вероятность возникновения опухоли больше. Некоторые авторы считают, что травма может способствовать началу развития опухоли, если имеется «готовность» тканей к опухолевому процессу, а по мнению других — если имеются бластоматозные клетки. Согласно нашим наблюдениям травма способствовала лишь выявлению уже существовавшего опухолевого процесса. Клиническая картина остеогенной саркомы характерна и соответствует проявлениям быстро растущих злокачественных опухолей. Особенно характерна боль, появляющаяся раньше видимой опухоли; сильная боль отмечается днем и ночью, рано развиваются атрофия мышц, сгибательная контрактура в суставе (наиболее часто в коленном). Повышение местной температуры, истощение, усиленная сеть подкожных вен, метастазы в легких появляются позднее. У части больных все клинические проявления протекают бурно, а у другой части — они менее выражены и развитие опухоли происходит медленнее. Рентгенологическая картина зависит от многих причин: центрального или периферического расположения очага опухоли, превалирования тех или иных гистологических структур, процессов, сопровождающих рост опухоли. Принято выделять остеолитический и остеосклеротический варианты, а также хондробластический и телеангиэктатический типы остеогенной саркомы. Согласно данным Н.Н.Трапезникова, Л.А.Ереминой, Ю.Н.Соловьева и др. менее агрессивное течение наблюдается при остеосклеротическом и хондробластическом типах и более агрессивное — при остеолитическом и телеангиэктатическом типах, однако это бывает не всегда, так как при остеосклеротическом типе возможно и очень злокачественное течение. При остеолитическом типе наблюдаются преимущественно процессы разрушения, лизиса кости; при телеангиэктатическом типе наряду с разрушениями происходит формирование плотных костных опухолевых масс, имеющих на рентгенограммах характерный склеротический вид. Широко известны такие рентгенологические симптомы, как спикулы и периостальный козырек Кодмана. У некоторых больных эти симптомы нерезко выражены, и тогда диагностика представляет значительные трудности; ошибки в диагнозе ведут к неправильному лечению. Сцинтиграфия является ценным диагностическим методом, позволяющим рано выявить первичный очаг и определить состояние всего скелета. Е.К.Колесникова и А.В.Забродина (1988) показали, что возможности компьютерной томографии в диагностике остеогенной саркомы очень велики, поскольку хорошо видны такие изменения кортикального слоя кости, как разрыхление, расслоение, прерывистость, а также изменения надкостницы, ее отслоение, появление спикул, хорошо виден внекостный компонент опухоли. Гистологическое строение остеогенной саркомы весьма разнообразно. Это относится как к разным больным, так и к различным участкам опухоли. Клетки то напоминают остеобласты, то имеют округленную, веретенообразную форму. В опухолевой ткани характерно наличие большего или меньшего количества атипичных костных обызвествленных или необызвествленных остеоидных структур (Т.П.Виноградова). Тщательно проведенные на большом материале исследования И.В.Забродиной (1995) показали, что в 9,8 % случаев метастазы остеогенной саркомы выявляются в костях при еще интактных легких. Это еще раз подтверждает нашу гипотезу, что метастазирование возникает более легко и, следовательно, чаще в тканях, которые по строению близки к ткани опухоли, когда сходно строение «географических мембран» клеток опухолей и клеток тканей. И.В.Забродиной (1995) детально разработаны критерии ранней диагностики опухоли в зависимости от ее локализации: губчатая кость, кортикальная кость, периост. Она также описала две редкие локализации остеогенной саркомы — интракортикальную и периостальную. Для остеогенных сарком характерно метастазирование в легкие (95 %), сравнительно редко в другие кости (около 10 %), мышцу сердца и т.п. обычно в финальной стадии (гематогенный путь метастазирования), что резко ухудшает прогноз. В недалеком прошлом все авторы указывали на плохие результаты лечения (хирургического, лучевого, химиотерапевтического) у большинства больных. С.А.Райнберг (1964) писал: «Прогноз при остеогенной саркоме чрезвычайно неблагоприятен. Болезнь всегда ведет к смерти..., обычные случаи «излечения» остеогенных сарком при помощи того или иного способа лечения — хирургического, лучевого или химиотерапии — относятся к диагностическим ошибкам». Динамическое наблюдение за больными с остеогенной саркомой позволило R.Marcow и соавт. (1970), N.Jaffe и соавт. (1974), E.Cortes и соавт. (1974), C.Pratt и соавт. (1974), Z.Matejovsky и соавт. (1975), Н.Н.Трапезникову, Л.А.Ереминой и др. считать, что клинически не определяемые метастазы в легких и других органах существовали ко времени диагностирования поражения кости и что остеогенную саркому условно можно расценивать как «системное» заболевание. Следовательно, необходимо одновременное лечебное воздействие как на очаг в кости, так и на метастазы в легких, иначе больной погибнет. Особенно трудно лечить больного с метастазами в легкие, поскольку биологические свойства метастазов изменяются. П.А.Боговский писал: «При всех этих разновидностях рецидива в гистологических препаратах можно обнаружить такую же морфологическую структуру, как и в первичном очаге. В таких случаях, исходя из положения о несопряженной прогрессии свойств опухоли, можно допустить, что возникла новая популяция опухолевых клеток, у которых прогрессировали не морфологические признаки, а, напротив, способность метастазировать или (после лечения) резистентность к лекарственным препаратам или облучению» (выделено мною. — С.З.). А.Н.Феденко и П.А.Синюков (1989) писали, что первичная остеогенная саркома и ее метастазы в легких близки по своему строению. Все эти явления хорошо известны врачам, к сожалению, положительные результаты химиоили лучевой терапии сменяются у части больных быстрым ростом злокачественной опухоли. В отделении костной патологии взрослых ЦИТО лечилось 111 больных с остеогенной саркомой, из них 104 были оперированы. Возраст больных: 16—20 лет — 38 больных, 21—30 лет — 41, 31—40 лет 15, 41-50 лет 8, 51-60 лет 6, 61-70 лет 2, 71-80 лет 1 больной. Локализация опухоли: бедренная кость — 58 больных, большеберцовая — 21, плечевая — 12, кости таза — 6, малоберцовая кость — 3, лучевая — 4, локтевая — 1, обе кости — 1, шейный позвонок — 1, поясничный — 1, крестец — 2 больных. Большинство из них было стационировано в 1957— 1975 гг., поскольку, не имея возможности проводить современную химиотерапию, последние 20 лет мы направляли больных в специализированные онкологические отделения. Телеангиэктатическая форма остеогенной саркомы протекает очень неблагоприятно. Мы наблюдали 12 больных с этой формой, что составляет 10,8 % всех больных с остеогенной саркомой. У нас создалось впечатление, что у больных с данной формой болевые ощущения несколько меньше. Этот вид саркомы протекает очень злокачественно, только на ранних стадиях поражение ограничивается костью, как правило, метафизарного отдела, реакция надкостницы бывает незначительной, опухоль рано выходит за пределы кости, и, кроме внекостного ограниченного мягкотканного компонента, наблюдается пастозность окружающих мягких тканей. Вот почему так трудно, а чаще невозможно определить границы этого вида остеогенной саркомы в мягких тканях и произвести сохранную операцию. С.А.Покровский (1954), описывая телеангиэктатический вариант остеогенной саркомы, высказывал мнение, что она относится к опухолям кровеносных сосудов кости и является кавернозной ангиосаркомой. Наличие различного размера сосудистых кист обусловливает и особую рентгенологическую картину, которая заставляет проводить дифференциальную диагностику с аневризматической кистой кости, гигантоклеточной опухолью, сосудистыми опухолями. A.G.Huvos, G.Rosen и др. (1982) с 1921 по 1979 г. наблюдали 124 больных с телеангиэктатической формой остеогенной саркомы, которые составили 11 % всех больных с остеогенной саркомой. Возраст больных колебался от 3 до 67 лет; мужчин было 74—60 %, женщин — 50—40 %. Как и при других формах остеогенных сарком, она наиболее часто встречалась в возрасте 11—16 лет. У 36 пациентов был патологический перелом, что объясняется выраженным лизисом кости с возникновением кистозных образований, стенки которых состояли из опухолевых клеток. С 1975 г., когда начали проводить комбинированные методы лечения (преди послеоперационная химиотерапия — высокие дозы метотрексата, адриомицин или блеомицин, циклофосфан и дактиномицин), результаты лечения стали лучше.
Продолжение.
Продолжение.
Продолжение.
Продолжение.
Продолжение.
Продолжение.
Продолжение.
Продолжение.
Продолжение.
Часто у специалистов, занимающихся вопросами костной патологии, возникают значительные сложности при диагностике высокодифференцированных форм остеосарком - высокодифференцированной телеангиэктатической, внутрикостной высокодифференцированной и паростальной остеосарком. Довольно часто эти формы ошибочно диагностируются как доброкачественные опухоли или опухолеподобные заболевания кости.
Внутрикостная высокодифференцированная остеосаркома - редкая (1,2-1,7% от всех остеосарком) опухоль низкой степени анаплазии, по сравнению с обычной низкодифференцированной остеосаркомой характеризующаяся медленным развитием, слабо выраженной склонностью к метастазированию, значительно лучшими выживаемостью и прогнозом. Рентгенологически - общий вид доброкачественного процесса, иногда обнаруживается случайно; в большинстве случаев может наблюдаться деструкция кортикальной пластинки, в ряде случаев - мягкотканый компонент, периостальное костеобразование. Благодаря слабо выраженной атипии клеточных элементов и остеоида эта остеосаркома довольно часто при гистологическом исследовании интерпретируется как доброкачественное поражение. Часто диагностируется только после рецидивирования заболевания, которое ранее при гистологическом исследовании расценивали как фиброзную дисплазию, неоссифицируемую фиброму, аневризмальную кисту, остеобластому или десмопластическую фиброму кости. Обычно диагностируется в более старшем возрасте по сравнению с обычной центральной остеосаркомой - во 2 и 3 десятилетии жизни. Локализация - как при обычной остеосаркоме. Гистологическая картина этой остеосаркомы характеризуется наличием пучков веретеновидных, переплетающихся между собой опухолевых клеток с незначительным полиморфизмом и цитологической атипией, низкой клеточностью, малочисленностью митозов, нерегулярной продукцией остеоида и относительно зрелой кости. После кюретажа или краевой резекции опухоли в большинстве случаев развиваются рецидивы.
Телеангиэктатическая остеосаркома - редкий (составляет около 4% всех остеосарком) вариант остеосаркомы, характеризующийся наличием кист, заполненных кровью. При рентгенологическом исследовании обычно выявляется полностью литическое поражение без признаков склерозирования, интенсивное вздутие кортикальной пластинки и ее деструкция, часто обнаруживаются периостальная реакция и распространение патологического процесса в мягкие ткани. Гистологическая диагностика телеангиэктатического варианта остеосаркомы может быть относительно несложной при наличии атипичного остеогенеза и высокой степени анаплазии клеточных элементов. Однако довольно часто, особенно у детей и подростков, диагностика вызывает значительные трудности, так как эта остеосаркома, в основном, представлена высокодифференцированным вариантом. Последний отличается тем, что опухолевые клетки определяются только в области выстилки кист и полостей опухоли, злокачественные клетки характеризуются низкой степенью анаплазии, опухолевый остеоид обнаруживается лишь при целенаправленном исследовании серийных срезов, встречаются участки ткани, в которых клеточные элементы и остеоид не имеют признаков атипизма и микроскопическая картина полностью соответствует аневризмальной кисте кости, в связи с чем не исключена диагностическая ошибка при исследовании небольшого количества материала, особенно биопсийного. Относительно медленное развитие опухоли, обычно чисто литическое поражение кости, сходство рентгенологической картины с аневризмальной кистой или гигантоклеточной опухолью кости также способствуют постановке неверного диагноза.
Паростальная остеосаркома - редкая (составляет около 3-4% всех остеосарком) медленно растущая костеобразующая поверхностная (растет на поверхности периоста) высокодифференцированная опухоль. При рентгенологическом исследовании большинство опухолей прикрепляется к кортикальной пластинке на протяжении 1 см или более, крупные опухоли опоясывают кость; определяются дольчатые и кальцинированные массы на метафизарной поверхности длинных костей, центральная часть опухоли более минерализована, чем периферическая, периостальная реакция отсутствует; часто выявляются, особенно при исследовании КТ, неминерализованные мягкотканные массы, расположенные вблизи минерализованного компонента. Гистологическая картина характеризуется формированием среди фибробластоподобного клеточного компонента хорошо дифференцированных афункционально расположенных костных трабекул, может содержать хрящ, в том числе в качестве хрящевого покрытия, периферическая часть опухоли более клеточная и содержит меньше кости. Часто ошибочно интерпретируется как доброкачественное реактивное поражение (посттравматический периостит, флоридный реактивный периостит, оссифицирующий миозит) и, наиболее часто, как костно-хрящевой экзостоз. Однако в последнем хрящевое покрытие не содержит злокачественных клеток, без ядерного полиморфизма и двуядерных клеток, на границе хряща и кости определяется энхондральная оссификация, отсутствует веретеноклеточный компонент, губчатая кость состоит из зрелой пластинчатой кости с жировым костным мозгом.
Диагностика высокодифференцированных форм остеосарком является одним из сложнейших вопросов в костной онкологии, где во избежание ошибочной диагностики и с целью выбора правильной тактики лечения требуется тесное сотрудничество между патологоанатомами, специалистами лучевой диагностики и хирургами-ортопедами, и должна проводиться в специализированных учреждениях, занимающихся вопросами костной патологии.
Берченко Г.Н., Морозов А.К., Снетков А.И., Балберкин А.В.
ЦИТО им. Н.Н. Приорова, г. Москва
Остеогенная саркома является опухолью молодых. Чаще всего остеогенная саркома развивается в период активного роста скелета, характеризующегося интенсивной пролиферацией клеток, поэтому она поражает в первую очередь детей и подростков, находящихся в стадии роста. Наиболее часто остеогенная саркома формируется в период конца полового созревания, то есть в период наиболее интенсивного развития организма - от 12 до 16 лет, предпочтительнее в зонах наиболее активного роста скелета. У людей в возрасте от 10-20 лет выявляется около 60% остеогенных сарком, 10% - в возрасте между 20 и 30 годами. В более старшем возрасте появление остеогенной саркомы обычно очень часто привязано к озлакочествлению доброкачественной опухоли кости или воздействию ионизирующего излучения.
Преимущественно остеогенная саркома развивается в длинных трубчатых костях, чаще нижних конечностей, особенно в области коленных суставов. 80% остеогенных сарком у детей и подростков развивается именно в этих областях. Второй по частоте локализацией остеогенных сарком является верхний отдел плечевой кости. Значительно реже остеогенная саркома возникает в плоских костях таза, малоберцовой, плечевой, ключице, позвоночнике, нижней челюсти.
Остеогенная саркома развивается у мальчиков и мужчин в 1,5-2 раза чаще, чем у девочек и женщин.
На долю остеогенной саркомы приходится почти 45% всех сарком костей.
Основные симптомы остеогенной саркомы
Первым симптомом опухоли является появление боли, возникающей практически с момента начала роста опухоли. Боль при остеогенной саркоме обусловлена давлением опухоли на надкостницу и окружающие ткани. Характер болевых ощущений носит тупой, ноющий характер. В отличие от боли при воспалительном процессе, боль при остеогенной саркоме не стихает в покое (усиливается по ночам, отсутствует облегчение при фиксации конечностей).
В течение месяца от начала появления боли (в подавляющем большинстве случаев) над местом расположения раковой опухоли появляется припухлость. Появление опухлости, заметной при осмотре является важным симптомом, указывающим на развитие болезни. Как первый признак заболевания безболезненная опухоль встречается значительно реже, чем болевые ощущения.
По мере роста опухоли она становится болезненной при пальпации, возникает отечность мягких тканей, кожи, отмечается синюшность кожных покровов вследствие венозного застоя. Кожа становится напряженной и появляется расширенная поверхностная венозная сеть. Нередко развитие опухоли сопровождается появлением патологического перелома (патологические переломы встречаются в 5% случаев остеосаркомы).
На 3-4-м месяце от начала заболевания из-за боли сначала ограничивается, а затем прекращается движение в ближайшем суставе. В этот момент состояние пациента заметно ухудшается, отмечается подъем температуры до 38? - 39?С, нарастают общие симптомы в виде недомогания, слабости, похудания, нарушения сна.
Остеогенная саркома - чрезвычайно злокачественная опухоль, склонная к быстрому гематогенному метастазированию. У более чем 15% пациентов, впервые обратившихся к онкологу для обследования, выявляются метастазы в легких. До конца первого года от начала заболевания метастазы в легких выявляются у подавляющего числа больных. Поскольку кости не имеют развитой лимфатической системы, раннее распространение остеогенной саркомы в регионарные лимфоузлы встречается редко, но, если это имеет место, то является плохим прогностическим признаком.
По течению можно выделить два вида развития остеогенной
саркомы - стремительное развитие опухоли с нарастанием болевого синдрома,
нарушением функции пораженной конечности и быстрым летальным исходом, и
медленное развитие опухолевого процесса. Для детей и подростков характерен
первый вид течения заболевания.
Развитие костных опухолей часто ассоциируется с травмой. Более чем в 50% случаях остеогенной саркомы выявляется указание на травму именного того участка кости, в области которого в дальнейшем появлялась опухоль. При этом срок с момента травмы до появления заболевания варьирует в очень широких пределах.
К факторам, повышающим риск развития остеогенной саркомы можно отнести ионизирующее излучение, которому пациент подвергся в течение 4 - 10 лет перед выявлением опухоли и наличие доброкачественных опухолей кости. (остеохондрома, энхондрома болезнь Педжета и т.д.).
Основные принципы диагностики остеогенной саркомы
Ранняя своевременная диагностика остеогенной саркомы представляет определенные трудности. Врачу часто бывает сложно поставить правильный диагноз на начальной стадии заболевания. Почти 70% пациентов до обращения к онкологу имеют другой диагноз (остеомиелит, миозит, невралгия, туберкулез, различные травматические повреждения), в связи с чем получают неадекватное лечение. В то время, как своевременная постановка диагноза значительно облегчает процесс лечения и значительно улучшает прогноз выживаемости.
Точный диагноз ставится по совокупности клинических, рентгенологических и гистологических данных.
Первым исследованием, на основании которого обычно ставится диагноз остеогенной саркомы, является рентгенодиагностика. Это исследование позволяет заподозрить наличие остеосаркомы у пациента, а также выявляет наличие мягкотканного компонента, патологического перелома, определяет размеры опухоли, и оптимальный уровень проведения биопсии.
Биопсия опухоли является очень важным и обязательным компонентом постановки диагноза. Проведение биопсии позволяет поставить точный диагноз, уточнив вид опухоли. Только после постановки точного диагноза врач может назначить правильное лечение.
Для уточнения диагноза, локализации опухоли, выявления дополнительных очагов заболевания, определения ее отношения к окружающим тканям и контроля за эффективностью проводимой химиотерапии возможно проведение дополнительных исследований: компьютерная томография, магнито-резонансная томография, ангиография, остеосцинтиграфия, УЗИ.
Виды остеогенной саркомы, классификация остеогенной саркомы
Различают несколько видов остеогенной саркомы:
- остеобластическая остеосаркома (более 50% случаев выявленных пациентов)
- хондробластическая остеосаркома (более 25% случаев выявленных пациентов)
- фибробластическая остеосаркома (менее 20% случаев выявленных пациентов)
Помимо трех основных видов остеогенной саркомы существуют другие виды, которые занимают в общем чуть более 5% от общего количества остеосарком (телеангиэктатическая остеосаркома, юкстакортикальная или параоссальная остеосаркома, периоссальная остеосаркома, интраоссальная остеосаркома, мультифокальная остеосаркома, экстраскелетная остеосаркома, мелкоклеточная остеосаркома, остеосаркома таза). Каждая из видов остеосарком имеет свою степень злокачественности и тип течения.
В зависимости от вида остеогенной саркомы различается степень ее злокачественности. Степень злокачественности определяет прогноз заболевания и во многом тактику лечения. Так, после полного удаления остеосаркомы низкой степени злокачественности обычно не требуется химиотерапия и исход заболевания благоприятный. При остеосаркомах высокой степени злокачественности необходимо применение как оперативного вмешательства, так и химиотерапии. Большинство остеосарком у детей относится к опухолям высокой степени злокачественности.
Стадии развития заболевания определяются по шкале:
Стадия IA - Высокодифференцированная опухоль. Очаг ограничен естественным барьером, препятствующим распространению опухоли. Отсутствие метастазов
Стадия IB - Высокодифференцированная опухоль. Очаг распространяется за пределы естественного барьера. Отсутствие метастазов
Стадия IIA - Низкодифференцированная опухоль. Очаг ограничен естественным барьером. Отсутствие метастазов.
Стадия IIB - Низкодифференцированная опухоль. Очаг распространяется за пределы естественного барьера. Отсутствие метастазов.
Стадия III - Наличие регионарных и отдаленных метастазов, вне зависимости от степени дифференцировки опухоли
Основные принципы лечения остеогенной саркомы
Несмотря на серьёзность заболевания, в последние годы медицина достигла больших успехов в лечении остеогенной саркомы. Основными методами, применяемыми в лечении остеогенной саркомы являются химиотерапия и оперативное лечение.
Обычно лечение начинается с химиотерапии. Первые курсы позволяют подавить микрометастазы в легких, остановить рост первичного очага опухоли, расширив тем самым возможности реконструктивных операций на конечностях. Результат воздействия химиопрепаратов на опухолевые клетки позволяет объективно оценить гистологический ответ опухоли на химиотерапию, что часто определяет прогноз заболевания и тактику дальнейшего лечения.
Операция - второй обязательный этап лечения. Развитие возможностей современной хирургии, а также средств контроля первичного опухолевого очага, позволяют улучшить качество жизни пациентов, применяя органосохраняющие операции. Большое распространение в мире получила имплантация эндопротеза суставов, а также замена резецированного участка кости ауто- и аллотрансплантатом. Тактика проведения оперативного лечения остеогенной саркомы каждый раз определяется онкологом исходя из состояния пациента и развития опухоли. Очень важно, что наличие метастазов при современном уровне развития медицины не является противопоказанием к органосохраняющей операции.
Не менее важно проведение послеоперационной химиотерапии. Послеоперационная химиотерапия проводится с учетом гистологического ответа опухоли на предоперационную химиотерапию (продолжение лечения, либо смена схемы терапии, либо прекращение терапии).
Лучевая терапия для лечения остеогенной саркомы малоэффективна в силу того, что клетки остеогенной саркомы малочувствительны к ионизирующему излучению. Лучевую терапию проводят в том случае, если по какой-либо причине операция невозможна.
В случае своевременной постановки диагноза и проведения грамотного лечения 5-летняя выживаемость больных с локализованной остеогенной саркомой превышает 70%. Выживаемость больных с чувствительными к химиотерапии опухолями достигает 90%.
Развитие метастазов не предопределяет фатальный исход заболевания. Проведение химиотерапии с определением гистологического ответа опухоли на лечение, удаление метастазов из легкого позволяют добиться 5-летней выживаемости у 55% больных с метастазами в легких.
Эффективность лечения остеогенной саркомы зависит от своевременной постановки диагноза. Чем раньше поставлен правильный диагноз, тем быстрее будет начато лечение и тем выше шанс к полному выздоровлению и к возвращению пациента к полноценной жизни. Самое главное – вовремя обратиться к врачу и начать грамотное лечение в рамках официальной медицины. Применение «чудодейственных» средств, БАДов, различных нетрадиционных методов лечения способно нанести непоправимый вред. В случае с опасной и быстрорастущей опухолью, какой является остеогенная саркома, потеря драгоценного времени ведет только к одному – росту опухоли, развитию метастазов, ухудшению состояния. Чем позже пациент начинает правильно лечиться, тем хуже результаты лечения.
Остеосаркома.
Внутрикостная хорошо дифференцированная остеогенная саркома (intraosseus well differentiated osteosarcoma) была выделена и описана в 1977 г. K.K.Unni, D.C.Dahlin, R.A.McLeod, D.I.Pritchard. В результате изучения 1000 препаратов с остеогенной саркомой больных, лечившихся в клинике Мейо, было обнаружено 12 таких опухолей и 15 препаратов было прислано для консультации из других лечебных учреждений. Описание этого вида опухоли появилось во втором издании «Атласа по опухолевой патологии» в 1981 г. под редакцией H.I.Spjut, R.E.Fechner, L.V.Ackerman. Описание составлено на основании статьи K.K.Unni и соавт. (1977). Третья статья, опубликованная в 1983 г. Johannes, Bjornsson, Kristian, K.K.Unni, основана на результатах наблюдения 15 больных, лечившихся в клинике Мейо с 1919 по 1981 г. Открытие этого вида опухоли стало возможным только благодаря тому, что с 1919 г., т.е. более 72 лет, в образцовом порядке хранятся истории болезни, рентгенограммы, морфологические и микроскопические препараты. Этот богатейший банк данных позволил пересмотреть их с новых позиций, сравнить результаты клинических исследований (продолжительность жизни, виды операций, микроскопическая картина) и выделить новый нозологический вид опухоли.
В отечественной литературе имеется только одна статья Н.Н.Петровичева и соавт. (1988), в которой они описали больного 20 лет с внутрикостной высокодифференцированной остеогенной саркомой в дистальном конце правой бедренной кости. На рентгенограмме опухоль занимала заднюю половину полуокружности бедренной кости, разрушив в этом месте кортикальный слой, однако над опухолью располагались костной плотности реактивные образования надкостницы. Диагноз колебался между паростальной саркомой и юкстакортикальной хондросаркомой. На компьютерной томографии был обнаружен очаг деструкции неоднородной плотности, окруженный зоной склероза. Кортикальный слой разрушен по задней поверхности, но опухоль прикрыта ассимилированным периостозом, толщина которого в 4 раза превышала толщину кортикального слоя; внекостный массив включал мелкоочаговые оссификаты, а его поверхность большей частью не содержала замыкательной пластинки.
Больному произведена резекция дистального конца бедренной кости, дефект замещен эндопротезом. Размеры опухоли 5x5x4 см. Морфологи ЦИТО в настоящее время пересматривают препараты целой группы больных с атипичными формами фиброзной дисплазии и другими заболеваниями. Нет сомнения, что у ряда больных будет обнаружена недиагностированная (не известная ранее) внутрикостная хорошо дифференцированная остеогенная саркома.
Описание этого нового вида опухоли приводится по статьям K.K.Unni и соавт. и Johannes and Kristian Bjornsson.
Внутрикостная хорошо дифференцированная остеогенная саркома, по данным клиники братьев Мейо, составляет 1 % всех больных, которым в клинике был поставлен диагноз: остеогенная саркома. Мужчины и женщины поражаются одинаково часто. Возраст на момент установления диагноза — от 10 до 70 лет, наибольшее число больных было в возрасте от 20 до 30 лет и старше, что объясняется медленным течением этого опухолевого процесса. Наиболее часто опухоль локализовалась в дистальном метафизе бедренной кости у 11 больных и проксимальном — болыпеберцовой кости у 8, в дистальном конце — у 5 больных; поражение наблюдалось в подвздошной, пяточной кости и нижней челюсти у одного больного, было два очага — в правой подвздошной кости и проксимальном отделе большеберцовой кости, всего наблюдалось 27 больных.
Симптоматика. Боли локальные соответственно месту поражения кости, постепенно за месяцы и годы усиливающиеся и поэтому трудно переносимые; хотя размеры очага увеличиваются медленно, у некоторых больных появляются местно пастозность ткани, снижение мышечного тонуса. Поскольку опухоль обычно не выходит за контуры кости, мягкотканный компонент не определяется. Течение медленное — многие годы, краевые резекции обычно приводят к рецидиву процесса. Определить границы необходимой резекции кости на протяжении в настоящее время трудно, поскольку неизвестны отдаленные результаты таких операций у большого числа больных и отсутствуют достаточные сроки наблюдения. По данным клиники Мейо, даже после ампутаций наблюдались рецидивы опухоли, что говорит о возможности распространения опухоли по костномозговому каналу на большом протяжении. После ампутации умерло двое больных — через 15 и 24 мес.
Рентгенологическая картина. Опухоль располагается в костномозговом канале в виде одиночного просветления, обычно вытянутого по каналу или разделенного на несколько отделов более плотными полуперегородками. На фоне просветления встречаются более плотные островки с нечеткими контурами, но в некоторых местах имеющие даже склеротический хорошо выраженный край, что дает иногда основание ошибочно предположить, что это доброкачественный процесс. Постепенно разрушается, истончается и даже (правда, неравномерно) полностью разрушается кортикальный слой кости, периостальной реакции чаще не бывает.
У детей опухоль со стороны диафиза доходит до зоны роста с ее закрытием, распространяется на метафиз и эпифиз, что дает основание путать ее с гигантоклеточной опухолью — остеобластокластомой.
Во время операции опухоль имеет беловато-серовато-розовый цвет, создается впечатление, что она хорошо отграничена от кости, но это впечатление ложное. Опухоль имеет плотную консистенцию, похожа на фиброзную ткань при фиброзной дисплазии и легко может быть с ней спутана. Обычно она только приподнимает надкостницу, не нарушая ее, но возможны случаи, когда опухолевая ткань распространяется за пределы кости.
Микроскопически опухоль состоит из фиброзной ткани с остеоидом, содержание которого колеблется, коллагена и веретенообразных клеток, составляющих пучки. Клетки заполнены «активными» зернами хроматина, имеют одинаковое строение, величину, нет характерных для злокачественности атипичных форм, митозы встречаются редко или даже отсутствуют. Иногда трабекулы из остеоида по величине соответствуют нормальной кости и часто минерализуются. Клетки по краям остеоида могут напоминать остеобласты. Стромальные клетки в некоторых фокусах и в других местах кости ориентируются в разных направлениях к проекции кости и под разными углами, некоторые из них устанавливаются под прямым углом к трабекулам, как это встречается при паростальной саркоме.
Дифференциальный диагноз должен проводиться с фиброзной дисплазией, десмопластической фибромой, с типичной остеобластомой или агрессивной остеобластомой.
С.Т.Зацепин
Костная патология взрослых
Остеогенная саркома — очень злокачественная опухоль. По частоте возникновения занимает первое место, составляя, по данным D.C.Dahlin (1967), наблюдавшего 650 больных с остеогенной саркомой, 39 % всех больных с саркомами. Из 650 больных с остеогенной саркомой у 20 она возникла в костях, пораженных болезнью Педжета, у 2 — фибросаркомой и у 1 больного — гигантоклеточной опухолью. Чаще она встречалась у лиц мужского пола (62 %).
По данным ВОНЦ АМН РФ, с 1952 по 1985 г. лечилось 350 больных с остеогенной саркомой, что составило 38,3 % больных с саркомой костей.
В 1922 г. J.Ewing предложил называть саркомы, происходящие из костных клеток, «остеогенными саркомами», следовательно, в эту группу опухолей входили и паростальная саркома, и хондросаркома. Последующими исследователями был внесен целый ряд уточнений [Виноградова Т.П., 1973; Kolodny А., 1927; Phemister D.W., 1930; Geschickter C.F., Copeland M.M., 1951], в результате чего пришли к единому мнению, выраженному в международной гистологической классификации костных опухолей 1974 г.: остеосаркома, остеогенная саркома — это злокачественная опухоль, характеризующаяся непосредственным образованием кости или остеоида опухолевыми клетками. Обнаружение в клетках опухоли щелочной фосфатазы с помощью гистохимического исследования может помочь проведению дифференциальной диагностики.
Т.П.Виноградова (1973) особенно подчеркивала, что хотя и принят термин «остеогенная саркома» (происходящая из костеобразующей ткани), ее правильнее было бы называть «остеогенетической саркомой», т.е. образующей костную ткань; следовательно, правомочен также термин «остеопластическая» независимо от того, имеется ли остеопоротическая или остеосклеротическая форма. Т.П.Виноградова принципиально возражала и против употребления широко распространенного названия «остеосаркома», считая его собирательным, неточным.
Остеогенная саркома, как правило, возникает в одной кости, но описаны и множественные поражения костей, а также возникновение остеогенной саркомы у 2 сестер и брата практически в одно и то же время [Roberts C.W., Roberts С.P., 1935]. Предположение, что остеогенная саркома возникает из мультипотентных мезенхимальных клеток, подтверждается, по нашему мнению, тем фактом, что описаны больные с внескелетными остеогенными саркомами, развивающимися в мыщцах, матке, почках, щитовидной железе, молочной железе и других тканях, причем опухоли не связаны с рядом расположенными костями. О внескелетных остеогенных саркомах упоминает и Т.П.Виноградова (1973). R.Lorentzon и соавт. (1979) сообщили о 4 больных, из которых в течение 2 лет умерли трое и один жив 14 лет. По данным этих авторов, в 1978 г. в англоязычной литературе описано 107 больных с внекостной остеогенной саркомой, средний возраст которых составил 51 год. Рецидивы опухоли возникают как правило, поэтому необходимы широкие резекции с соблюдением принципа зональности и футлярности, а также современная полихимиотерапия.
R.I.Ferguson, E.I.Junis (1978) на основании электронно-микроскопического изучения остеогенных сарком идентифицирует следующие типы клеток: примитивные недифференцированные мезенхимальные клетки и клетки с морфологическими признаками остеобластов, хондробластов и фибробластов в сочетании с многоядерными клетками, часть из которых подобны остеокластам, тогда как в других клетках имеются анапластические и дегенеративные изменения. Авторы полагают, что эти примитивные мезенхимальные клетки являются плюрипотенциальными клетками, способными дифференцироваться в различные клетки. К подобным выводам пришли Л.В.Литвинова (1976), D.Katenkamp и др. (1978), E.Grundmako и соавт. (1981). A.Roessner и соавт. к указанным видам клеток прибавили клетки ангиогенной природы и миофибробластической дифференцировки.
В.Ф.Кондаленко и др. (1987) при электронно-микроскопическом исследовании остеогенных и паростальных сарком обнаружили различия во внеклеточном матриксе, в частности протеогликанов. Они считают, что отличие в структуре протеогликанов обусловливает направление и уровень дифференцировки клеток опухоли, что и определяет степень злокачественности опухоли. Так, они обнаружили резкое отличие в структуре протеогликанов в матриксе паростальной и остеогенной сарком, которые клинически резко различаются в своей злокачественности.
Электронно-микроскопические данные свидетельствуют о том, что остеогенная саркома, как и другие виды опухолей, может происходить из примитивных недифференцированных мезенхимальных клеток, прямо связанных с рядом биохимических процессов; некоторые из них приведены ниже.
В опухолевых клетках тканеспецифические белки отсутствуют или их очень мало, как и ферментов, характерных для нормальных тканей. На этом основании считают, что предшественниками опухолевых клеток являются низкодифференцированные клетки [Potter V.R., 1969, и др.] или возникновение злокачественных опухолей (клеток) связано с процессом недифференцировки, или ретродифференцировки, — процессом, который предшествует появлению опухолевых клеток [Оленев Ю.М., 1977; Uriel J., 1979; Curtin N.J., Snell К., 1983].
Прямое участие в развитии опухолевых клеток принимают ферменты, которые подразделяют на две группы: 1) ферменты, обеспечивающие процесс пролиферации, и 2) ферменты, включенные в системы передачи в клетку регуляторных сигналов извне, т.е. осуществляющие регуляцию пролиферации [Ходостова И.А., 1988].
Длительное время как о чем-то таинственном говорилось об автономности опухолевого роста. Эта особенность присуща опухолевым клеткам и определяет их свойства, но необъяснима. В последние годы было показано, что некоторые протеинкиназы находятся в связи с рецепторами факторов роста, а системы циклических нуклеотидов и ферментов их метаболизма приобретают важное значение в делении клеток нормальных тканей. Было обнаружено также, и это особенно важно, что в опухолевых тканях имеются существенные отклонения характеристик ряда ферментов, участвующих в пролиферации клеток. Это и определяет их автономный рост. Так объясняется с биохимических позиций автономность роста опухоли.
И наконец, клетка обладает, с одной стороны, возможностью активировать положительные, необходимые в данное время процессы, а с другой — давать начало процессам, отрицательно отражающимся на функции всего организма или какого-либо органа, ткани. Процессы регуляции активности генов деятельности ДНК (торможение ее функции) происходят в результате сложных процессов, одним из которых является метилирование ДНК ферментами ДНК — метилазами. Химические канцерогены нарушают, изменяют, снижают процесс метилирования ДНК, в результате чего ряд генов (онкогены), кодирующих синтез белков и определяющих появление опухолевых клеток, начинают функционировать и вызывают дифференцировку примитивных недифференцированных мезенхимальных клеток в опухолевую ткань. Нужно помнить, что гены состоят из четырех нуклеотидных оснований: аденина (А), темина (Т), цитозина (Ц), гуанина (Г). Разные комбинации А, Т, Ц и Г кодируют различные белки.
Как известно, в 1960 г. была открыта согласуемая хромосомная аберрация в опухолевых клетках при хронической миеломной лейкемии, и с тех пор продолжаются исследования хромосом с точки зрения ракового цитогенеза. N.Mandahl и A.Rydholm (1989) опубликовали данные, полученные ими и другими исследователями, изучавшими изменения в хромосомах у больных со следующими опухолями костей: саркомой Юинга, остеогенной саркомой, хондромами, хондросаркомами, злокачественной фиброзной гистиоцитомой, синовиальной саркомой, липомой, липосаркомой и некоторыми другими.
При остеогенной саркоме только в незначительном числе клеток хромосомы оставались неизменными, а в большинстве клеток были обнаружены сложные изменения в наборах хромосом, наблюдались клетки как гиподиплоидные, так и приближающиеся почти до гексадиплоидного уровня, в большинстве опухолей обнаруживались участки с триплоидными и тетраплоидными клетками. Можно надеяться, что изучение хромосом злокачественных опухолей позволит лучше понять процессы, происходящие в клетках. Н.А.Краевский и Ю.Н.Соловьев (1971) описали важные наблюдения, имеющие значение в патои морфогенезе остеогенной саркомы. В теоретическом аспекте они исходили из известного положения о предшествующих опухолевому росту явлениях диспластического и дистрофического характера, согласно которому глубокие метаболические нарушения, приводящие к изменениям в клетках и тканях, влияют на их дифференцировку и являются обязательным условием возникновения опухолей. Изменения энхондрального остеогенеза непосредственно связаны с процессами кровоснабжения и особенностями метаболизма хрящевой ткани зоны роста длинных трубчатых костей, что приводит к нарушению процессов превращения хрящевой ткани в костную, а в период интенсивного роста кости может обусловить появление диспластической хрящевой ткани.
Изучение костей, пораженных остеогенной саркомой, у ряда больных в возрасте 12—18 лет позволило Н.А.Краевскому и Ю.Н.Соловьеву выявить отчетливые признаки задержки резорбции хряща и смещение участков метафизарной спонгиозы по оси в диафизарном направлении с отрывом их от эпифизарной хрящевой пластинки. Фактически подобные изменения представляют собой полный аналог зоны, или «пояска» (в известной мере эктопированного), костеобразования, которое наблюдается и при экспериментальном воспроизведении опухолей скелета. Единственным реальным объяснением этого явления может быть только трактовка его с позиции нарушения синхронности процессов костеобразования (энхондрального остеогенеза) и процесса роста кости.
Как показали исследования Ederer (1965) и J.E.Fraumani (1967), существует достоверный параллелизм между увеличением и ускорением роста в возрасте 12—17 лет и частотой возникновения остеогенной саркомы. По данным Ю.Н.Соловьева (1959), редукция сосудистого русла костей вблизи зон роста у экспериментальных животных приводит к угнетению энхондрального остеогенеза в зонах роста и персистенции хряща эпифизарных пластинок.
По сообщению Н.А.Краевского и Ю.Н.Соловьева, у 98,5 % больных остеогенная саркома возникла в длинных трубчатых костях, а у 80 % развилась в дистальном конце бедренной кости и проксимальных концах большеберцовой и малоберцовой костей, т.е. ростковых зонах, обладающих наибольшей скоростью роста. Известно, что остеогенная саркома наблюдается у пород собак высокого роста и не встречается у низкорослых собак, что нужно прямо связать со скоростью роста костей за счет эпифизарных зон.
В настоящее время морфологические данные являются основой, на которой строятся наши представления о патогенезе и развитии опухолей. Процессы, определяющие опухолевые клетки и предшествующие возникновению опухоли как таковой, известны, но не настолько детально изучены, чтобы в своей практической деятельности врачи различных специальностей могли бы улавливать момент возникновения опухоли, точную ее локализацию и направленность изменений биохимических процессов в межклеточной субстанции, которые определяют возникновение новой опухолевой популяции клеток, развивающихся из мезенхимальных клеток — клеток-предшественников, стволовых клеток. Следует считать, что опухолевые клетки возникают под влиянием воздействия многочисленных физических (малоизученных), биохимических нарушений, а также атомных, молекулярных метаболических отклонений, которые приводят к изменениям генов и нарушениям в ДНК, обусловливающим начало опухолевого роста.
Н.Н.Трапезников и соавт. (1983) указывали, что во втором десятилетии жизни возникают 80 % остеогенных сарком, при этом у мальчиков 11 — 15 лет они встречаются реже (37,5 %), чем у девочек того же возраста (62,5 %). Противоположное соотношение наблюдается в следующее пятилетие: среди мужчин 16—20 лет опухоль развивается у 62,5 %, а среди женщин того же возраста — у 37,5 %. Приведенные статистические данные с несомненностью говорят о значении эндокринных влияний, скорости роста длинных трубчатых костей в длину за счет зон роста костей, где возникает 97 % опухолей, а в 80 % опухолей развиваются в зонах с наиболее интенсивным ростом: это нижний метафиз бедренной кости, верхний метафиз плечевой кости, затем следуют кости таза, верхняя и нижняя челюсти, позвоночник, ребра, лопатка, кости предплечья, стопы, кисти, при этом определенную роль играет размер площади зоны роста. Отмечено, что у подростков, юношей, девушек высокого роста вероятность возникновения опухоли больше.
Некоторые авторы считают, что травма может способствовать началу развития опухоли, если имеется «готовность» тканей к опухолевому процессу, а по мнению других — если имеются бластоматозные клетки. Согласно нашим наблюдениям травма способствовала лишь выявлению уже существовавшего опухолевого процесса.
Клиническая картина остеогенной саркомы характерна и соответствует проявлениям быстро растущих злокачественных опухолей. Особенно характерна боль, появляющаяся раньше видимой опухоли; сильная боль отмечается днем и ночью, рано развиваются атрофия мышц, сгибательная контрактура в суставе (наиболее часто в коленном). Повышение местной температуры, истощение, усиленная сеть подкожных вен, метастазы в легких появляются позднее. У части больных все клинические проявления протекают бурно, а у другой части — они менее выражены и развитие опухоли происходит медленнее.
Рентгенологическая картина зависит от многих причин: центрального или периферического расположения очага опухоли, превалирования тех или иных гистологических структур, процессов, сопровождающих рост опухоли. Принято выделять остеолитический и остеосклеротический варианты, а также хондробластический и телеангиэктатический типы остеогенной саркомы. Согласно данным Н.Н.Трапезникова, Л.А.Ереминой, Ю.Н.Соловьева и др. менее агрессивное течение наблюдается при остеосклеротическом и хондробластическом типах и более агрессивное — при остеолитическом и телеангиэктатическом типах, однако это бывает не всегда, так как при остеосклеротическом типе возможно и очень злокачественное течение.
При остеолитическом типе наблюдаются преимущественно процессы разрушения, лизиса кости; при телеангиэктатическом типе наряду с разрушениями происходит формирование плотных костных опухолевых масс, имеющих на рентгенограммах характерный склеротический вид. Широко известны такие рентгенологические симптомы, как спикулы и периостальный козырек Кодмана. У некоторых больных эти симптомы нерезко выражены, и тогда диагностика представляет значительные трудности; ошибки в диагнозе ведут к неправильному лечению.
Сцинтиграфия является ценным диагностическим методом, позволяющим рано выявить первичный очаг и определить состояние всего скелета. Е.К.Колесникова и А.В.Забродина (1988) показали, что возможности компьютерной томографии в диагностике остеогенной саркомы очень велики, поскольку хорошо видны такие изменения кортикального слоя кости, как разрыхление, расслоение, прерывистость, а также изменения надкостницы, ее отслоение, появление спикул, хорошо виден внекостный компонент опухоли.
Гистологическое строение остеогенной саркомы весьма разнообразно. Это относится как к разным больным, так и к различным участкам опухоли. Клетки то напоминают остеобласты, то имеют округленную, веретенообразную форму. В опухолевой ткани характерно наличие большего или меньшего количества атипичных костных обызвествленных или необызвествленных остеоидных структур (Т.П.Виноградова).
Тщательно проведенные на большом материале исследования И.В.Забродиной (1995) показали, что в 9,8 % случаев метастазы остеогенной саркомы выявляются в костях при еще интактных легких. Это еще раз подтверждает нашу гипотезу, что метастазирование возникает более легко и, следовательно, чаще в тканях, которые по строению близки к ткани опухоли, когда сходно строение «географических мембран» клеток опухолей и клеток тканей.
И.В.Забродиной (1995) детально разработаны критерии ранней диагностики опухоли в зависимости от ее локализации: губчатая кость, кортикальная кость, периост. Она также описала две редкие локализации остеогенной саркомы — интракортикальную и периостальную.
Для остеогенных сарком характерно метастазирование в легкие (95 %), сравнительно редко в другие кости (около 10 %), мышцу сердца и т.п. обычно в финальной стадии (гематогенный путь метастазирования), что резко ухудшает прогноз. В недалеком прошлом все авторы указывали на плохие результаты лечения (хирургического, лучевого, химиотерапевтического) у большинства больных. С.А.Райнберг (1964) писал: «Прогноз при остеогенной саркоме чрезвычайно неблагоприятен. Болезнь всегда ведет к смерти..., обычные случаи «излечения» остеогенных сарком при помощи того или иного способа лечения — хирургического, лучевого или химиотерапии — относятся к диагностическим ошибкам».
Динамическое наблюдение за больными с остеогенной саркомой позволило R.Marcow и соавт. (1970), N.Jaffe и соавт. (1974), E.Cortes и соавт. (1974), C.Pratt и соавт. (1974), Z.Matejovsky и соавт. (1975), Н.Н.Трапезникову, Л.А.Ереминой и др. считать, что клинически не определяемые метастазы в легких и других органах существовали ко времени диагностирования поражения кости и что остеогенную саркому условно можно расценивать как «системное» заболевание. Следовательно, необходимо одновременное лечебное воздействие как на очаг в кости, так и на метастазы в легких, иначе больной погибнет.
Особенно трудно лечить больного с метастазами в легкие, поскольку биологические свойства метастазов изменяются. П.А.Боговский писал: «При всех этих разновидностях рецидива в гистологических препаратах можно обнаружить такую же морфологическую структуру, как и в первичном очаге. В таких случаях, исходя из положения о несопряженной прогрессии свойств опухоли, можно допустить, что возникла новая популяция опухолевых клеток, у которых прогрессировали не морфологические признаки, а, напротив, способность метастазировать или (после лечения) резистентность к лекарственным препаратам или облучению» (выделено мною. — С.З.).
А.Н.Феденко и П.А.Синюков (1989) писали, что первичная остеогенная саркома и ее метастазы в легких близки по своему строению. Все эти явления хорошо известны врачам, к сожалению, положительные результаты химиоили лучевой терапии сменяются у части больных быстрым ростом злокачественной опухоли. В отделении костной патологии взрослых ЦИТО лечилось 111 больных с остеогенной саркомой, из них 104 были оперированы. Возраст больных: 16—20 лет — 38 больных, 21—30 лет — 41, 31—40 лет 15, 41-50 лет 8, 51-60 лет 6, 61-70 лет 2, 71-80 лет 1 больной. Локализация опухоли: бедренная кость — 58 больных, большеберцовая — 21, плечевая — 12, кости таза — 6, малоберцовая кость — 3, лучевая — 4, локтевая — 1, обе кости — 1, шейный позвонок — 1, поясничный — 1, крестец — 2 больных. Большинство из них было стационировано в 1957— 1975 гг., поскольку, не имея возможности проводить современную химиотерапию, последние 20 лет мы направляли больных в специализированные онкологические отделения.
Телеангиэктатическая форма остеогенной саркомы протекает очень неблагоприятно. Мы наблюдали 12 больных с этой формой, что составляет 10,8 % всех больных с остеогенной саркомой. У нас создалось впечатление, что у больных с данной формой болевые ощущения несколько меньше.
Этот вид саркомы протекает очень злокачественно, только на ранних стадиях поражение ограничивается костью, как правило, метафизарного отдела, реакция надкостницы бывает незначительной, опухоль рано выходит за пределы кости, и, кроме внекостного ограниченного мягкотканного компонента, наблюдается пастозность окружающих мягких тканей. Вот почему так трудно, а чаще невозможно определить границы этого вида остеогенной саркомы в мягких тканях и произвести сохранную операцию.
С.А.Покровский (1954), описывая телеангиэктатический вариант остеогенной саркомы, высказывал мнение, что она относится к опухолям кровеносных сосудов кости и является кавернозной ангиосаркомой. Наличие различного размера сосудистых кист обусловливает и особую рентгенологическую картину, которая заставляет проводить дифференциальную диагностику с аневризматической кистой кости, гигантоклеточной опухолью, сосудистыми опухолями.
A.G.Huvos, G.Rosen и др. (1982) с 1921 по 1979 г. наблюдали 124 больных с телеангиэктатической формой остеогенной саркомы, которые составили 11 % всех больных с остеогенной саркомой. Возраст больных колебался от 3 до 67 лет; мужчин было 74—60 %, женщин — 50—40 %. Как и при других формах остеогенных сарком, она наиболее часто встречалась в возрасте 11—16 лет. У 36 пациентов был патологический перелом, что объясняется выраженным лизисом кости с возникновением кистозных образований, стенки которых состояли из опухолевых клеток. С 1975 г., когда начали проводить комбинированные методы лечения (преди послеоперационная химиотерапия — высокие дозы метотрексата, адриомицин или блеомицин, циклофосфан и дактиномицин), результаты лечения стали лучше.
С.Т.Зацепин
Костная патология взрослых
Метастаз остеогенной саркомы.