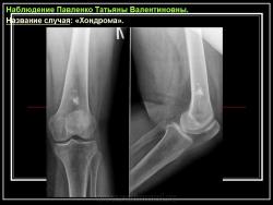
Онкология. Хондрома 2 (энхондроматоз). +

Энхондрома (син.: хондрома, центральная хондрома) — доброкачественная хрящевая опухоль, расположенная в костномозговом канале (интрамедуллярно). Встречается в 10 % случаев от общего числа доброкачественных опухолей костей. Считается, что она возникает из эктопически расположенных островков хряща, отщепившегося от пластинки роста на ранних этапах онтогенеза. В ряде случаев опухоль остается бессимптомной и обнаруживается случайно при рентгенологическом исследовании. В других случаях возникают боль и припухлость. Обычно болезненными становятся все энхондромы фаланг. Наиболее частая локализация: фаланги, главным образом, пальцев кистей, проксимальный конец плечевой кости, проксимальный или дистальный концы бедренной кости. При рентгенологическом исследовании в энхондроме определяются просветления с участками минерализации. Тень кости становится более широкой, кортикальный слой сохраняет целостность, но истончается. В редких случаях энхондрома имеет вид эксцентрически растущего экзофитного новообразования. Макроскопически опухоль представляет собой голубовато-белую полупрозрачную хрящевую ткань, в которую вкраплены желтоватые участки обызвествления. Опухоль состоит из отдельных хрящевых узелков, диаметр которых варьирует в пределах 1 см.

Под микроскопом определяется дольчатая структура энхондромы, в которой каждая долька отделена от соседней узкими полосками молодой костной ткани, незаметно переходящими в хрящ. Вокруг долек энхондромы обнаруживается нормальная кость с кроветворным костным мозгом. Это необходимо иметь в виду при подозрении на инвазивный рост опухоли. Такое чередование хряща и губчатой кости типично для энхондромы и отличает ее от хондросаркомы. Большинство энхондром состоят из нормальных хондроцитов, расположенных в лакунах основного вещества (хондроидного матрикса). Иногда в лакуне лежат несколько хондроцитов. Встречаются дву- и трехъядерные хрящевые клетки, а также хондроциты с крупными ядрами. Имеются участки некроза. Строма опухоли может быть миксоидной, что особенно характерно для энхондром, поражающих мелкие кости. При дифференциальной диагностике следует отличать энхондрому от хондросаркомы.

1.

 

2.

Катенёв Валентин Львович аватар
Не на сайте
Был на сайте: 7 лет 5 месяцев назад
Зарегистрирован: 22.03.2008 - 22:15
Публикации: 54876

Продолжение.

Приложения: 
1.r.1h.slayd6_.jpg2.r.2h.slayd7_.jpg3.r.5h.slayd16.jpg4.r.6h.slayd17.jpg
Катенёв Валентин Львович аватар
Не на сайте
Был на сайте: 7 лет 5 месяцев назад
Зарегистрирован: 22.03.2008 - 22:15
Публикации: 54876

Энхондроматоз (син, болезнь Оллье) — редкая врожденная патология, не передающаяся по наследству, при которой у больных имеется множество доброкачественных хрящевых опухолей, главным образом на конечностях. Пораженная конечность укорачивается и деформируется. После завершения полового созревания заболевание не прогрессирует. Возможна малигнизация, которая отмечается в возрастном промежутке 13—69 лет. Локализация: энхондромы обнаруживаются в метафизах, диафизах, эпифизарных пластинках и суставных хрящах. Это интракортикальные и/или периостальные поражения в виде отдельных опухолей, не сливающихся друг с другом. Им присущ основной признак энхондроматоза — богатство клетками (гипериеллюлярность), причем встречается много двуядерных хондроцитов. И гиперцеллюлярность, и цитологическая атипия при энхондроматозе выражены значительнее, чем при солитарной энхондроме.

Приложения: 
1.e.slayd134.jpg2.e.slayd135.jpg3.e.slayd136.jpg4.e.slayd137.jpg5.e.slayd138.jpg6.e.slayd139.jpg
Катенёв Валентин Львович аватар
Не на сайте
Был на сайте: 7 лет 5 месяцев назад
Зарегистрирован: 22.03.2008 - 22:15
Публикации: 54876

Из литературных источников.

Приложения: 
1.l.1.h.slayd15_0.jpg2.d.2.h.slayd16_0.jpg3.l.3.h.slayd17_0.jpg4.l.11.h.slayd56.jpg4.l.12.h.slayd58.jpg5.l.012.slayd22.jpg6.l.2..slayd12.jpg7.l.3..slayd13.jpg8.l.16e.slayd17.jpg
Катенёв Валентин Львович аватар
Не на сайте
Был на сайте: 7 лет 5 месяцев назад
Зарегистрирован: 22.03.2008 - 22:15
Публикации: 54876

Периостальная хондрома

Периостальная хондрома (син.: юкстакортикальная хондрома, паростальная хондрома редкая доброкачественная опухоль, состоящая из зрелой хрящевой ткани и расположенная над надкостницей. Обычно она разрушает наружную часть коркового слоя, но не прорастает в костно-мозговой канал. Мужчины болеют в два раза чаще женщин. Типичная локализация — проксимальный конец плечевой и бедренной кости дистальный конец бедренной кости, а также фаланги. В редких случаях одновременно поражается несколько костей. Периостальная хондрома обнаруживается большей частью в метафизарной части, лишь у 30 % больных поражаются диафизы. Опухоль достигает в среднем 2—3 см в диаметре. Она окружена зоной остеосклероза и сопровождается периостальным остеогенезом, так что на границе опухоли с костью образуется грушевидное углубление с четкими контурами. Под микроскопом периостальная хондрома имеет тонкие контуры, она как бы погружена в корковый слой и покрыта надкостницей, как тонкой скорлупой. На разрезе ее ткань синюшно-серая или белая, хрящевые элементы обладают дольчатым строением. Участки обызвествления имеют вид желтовато-белых вкраплений. Эта опухоль состоит из гиалинового хряща, дольки которого разделены фиброзными прослойками или костными балками, местами обызвествленными. Кое-где отмечается проникновение опухолевых клеток в костномозговой канал, на большем же протяжении внутренний контур образован компактной костью.

Дифференциальная диагностика представляет известные трудности в тех случаях, когда периостальная хондрома имеет сходство с юкстакортикальной хондросаркомой.

Катенёв Валентин Львович аватар
Не на сайте
Был на сайте: 7 лет 5 месяцев назад
Зарегистрирован: 22.03.2008 - 22:15
Публикации: 54876

Продолжение.

Приложения: 
1.en_.slayd169.jpg2.en_.slayd170.jpg3.en_.slayd171.jpg4.en_.slayd172.jpg5.en_.slayd173.jpg6.en_.slayd174.jpg1.en_.slayd175.jpg2.en_.slayd176.jpg3.en_.slayd177.jpg4.en_.slayd178.jpg5.en_.slayd179.jpg6.en_.slayd180.jpg7.en_.slayd181.jpg8.en_.slayd182.jpg9.en_.slayd183.jpg
Катенёв Валентин Львович аватар
Не на сайте
Был на сайте: 7 лет 5 месяцев назад
Зарегистрирован: 22.03.2008 - 22:15
Публикации: 54876

Продолжение.

Приложения: 
1.h.slayd184.jpg2.h.slayd185.jpg3.h.slayd186.jpg4.h.slayd187.jpg5.h.slayd188.jpg6.h.slayd189.jpg
Катенёв Валентин Львович аватар
Не на сайте
Был на сайте: 7 лет 5 месяцев назад
Зарегистрирован: 22.03.2008 - 22:15
Публикации: 54876

 

Хондрома (солитарная энхондрома, центральная хондрома) - доброкачественная опухоль из гиалинового хряща, расположенная в костномозговом канале кости. Обследовали 23 мужчины и 18 женщин с хондромой кости.

Рентгенологическая картина хондромы представляет четко очерченный опухолевый узел. Очаги минерализации в хондромах выглядят достаточно характерно и представлены очаговыми, глыбчатыми или кольцевидными , арочными отложениями извести. Полного разрушения кортикального слоя трубчатой кости с выходом опухолевых масс в мягкие ткани не наблюдается.

Макроскопическая картина. Большинство хондром не превышают в размерах 3 см и подвергаются кюретажу, поэтому макроскопически выглядят как дольчатые фрагментированные образования.

Микроскопическая картина хондром представлена опухолью с преобладанием гиалинового хрящевого матрикса, отличается малой клеточностью и слабой васкуляризацией. Встречаются клетки с развернутым или дисперстным характером хроматина, мелкими нуклеолами. Клетки равномерно расположены в матриксе или формируют скопления. Более одной клетки в лакуне или единичные двуядерные клетки могут наблюдаться в обычных интактных хондромах. Митотическая активность данных опухолей крайне низкая. 

Катенёв Валентин Львович аватар
Не на сайте
Был на сайте: 7 лет 5 месяцев назад
Зарегистрирован: 22.03.2008 - 22:15
Публикации: 54876

Энхондрома

Приложения: 
0.3.cover_.gif1.f13.mediumenchondromas.gif2.f14.mediumenchondromas.gif
Катенёв Валентин Львович аватар
Не на сайте
Был на сайте: 7 лет 5 месяцев назад
Зарегистрирован: 22.03.2008 - 22:15
Публикации: 54876

Энхондрома

Приложения: 
1.slayd14.op_...jpg2.slayd15.op_..jpg
Катенёв Валентин Львович аватар
Не на сайте
Был на сайте: 7 лет 5 месяцев назад
Зарегистрирован: 22.03.2008 - 22:15
Публикации: 54876

Энхондрома.

Приложения: 
y11slayd85.jpgy11slayd87.jpg
Катенёв Валентин Львович аватар
Не на сайте
Был на сайте: 7 лет 5 месяцев назад
Зарегистрирован: 22.03.2008 - 22:15
Публикации: 54876

Энхондроматоз

Приложения: 
1..1..slayd101.jpg
Катенёв Валентин Львович аватар
Не на сайте
Был на сайте: 7 лет 5 месяцев назад
Зарегистрирован: 22.03.2008 - 22:15
Публикации: 54876

Энхондрома.

Imagerie ostéoarticulaire :
site pour les patients
[Image Osteo Articulaire]

 

Приложения: 
dernierscasmp3_091.jpg
Катенёв Валентин Львович аватар
Не на сайте
Был на сайте: 7 лет 5 месяцев назад
Зарегистрирован: 22.03.2008 - 22:15
Публикации: 54876

Энхондрома.

 

Приложения: 
1.hand_enchondroma.jpg2.hand_enchondroma_dp_1.jpg3._hand_enchondroma_dp_2.jpg4.hand_finger_enchondroma.jpg
Катенёв Валентин Львович аватар
Не на сайте
Был на сайте: 7 лет 5 месяцев назад
Зарегистрирован: 22.03.2008 - 22:15
Публикации: 54876

Продолжение.

 

Приложения: 
131slayd2.jpg249slayd4.jpg350slayd5.jpg
Катенёв Валентин Львович аватар
Не на сайте
Был на сайте: 7 лет 5 месяцев назад
Зарегистрирован: 22.03.2008 - 22:15
Публикации: 54876

Продолжение.

 

Приложения: 
0.radiographics_logo_3.png00.enchondroma1a.jpg00.enchondroma1b.jpg
Катенёв Валентин Львович аватар
Не на сайте
Был на сайте: 7 лет 5 месяцев назад
Зарегистрирован: 22.03.2008 - 22:15
Публикации: 54876

Продолжение.

 

Приложения: 
0.radiographics_logo_3.png00.enchondroma2a.jpg00.enchondroma2b.jpg
Катенёв Валентин Львович аватар
Не на сайте
Был на сайте: 7 лет 5 месяцев назад
Зарегистрирован: 22.03.2008 - 22:15
Публикации: 54876
Катенёв Валентин Львович аватар
Не на сайте
Был на сайте: 7 лет 5 месяцев назад
Зарегистрирован: 22.03.2008 - 22:15
Публикации: 54876
Катенёв Валентин Львович аватар
Не на сайте
Был на сайте: 7 лет 5 месяцев назад
Зарегистрирован: 22.03.2008 - 22:15
Публикации: 54876