Поиск
- « первая
- ‹ предыдущая
- 1
- 2
- 3
- 4
- 5
- 6
- 7
- 8
- 9
- …
- последняя »
- следующая ›
Это не реклама! Ресурс www.beldiagnost.ru работает в полном режиме. Вход на форум www.forum.beldiagnost.ru Коллеги! Заходите! Ругайте! Болтайте о чем хотите! Этот форум будет и создавался для вас! И...
Тип: Объявление
Дата: 07.11.2008 - 00:00
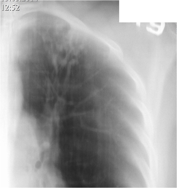
Скажите пожалуйста,что за форрма туберкулеза? Мужчина,19 лет
Тип: Тема форума
Дата: 03.10.2021 - 18:58
13. Туберкулез
Здравствуйте, помогите, пожалуйста с описанием. Какая имеет место быть форма туберкулеза?
Тип: Клиническое наблюдение
Область: Грудная клетка и верхние дыхательные пути, Средостение и сердце
Модальность: Rg
Дата: 18.05.2022 - 16:28
Новое на сайтеУважаемые коллеги! Предлагаю в данной теме собирать все полезные ссылки на сайты, статьи и публикации. Прошу строго следить за соблюдением авторских прав! Ваши ссылки в...
Тип: Тема форума
Дата: 14.02.2016 - 16:31
коллеги! я недавно на форуме, пожалуйста, помогите разобраться... зно ? или локальный язвенный колит?
Тип: Клиническое наблюдение
Область: Пищеварительная система
Модальность: Rg
Дата: 19.02.2013 - 16:12
Лимфомы (продолжение набора) http://www.radiomed.ru/forum/limfomy-golovnogo-mozga-nabor-izobrazheniy
Тип: Тема форума
Дата: 31.07.2010 - 22:06
Ищем причину болей в колене.колено выкладывала ранее https://radiomed.ru/forum/53190-kolenomrtproshu-posmotret
Тип: Тема форума
Дата: 30.08.2020 - 11:26
Уважаемые коллеги, прошу выразить свое мнение по данной R-картине.
Тип: Тема форума
Дата: 21.01.2016 - 11:46
о картине жалоб информацией не располагаю ввиду старости рентгеновских снимков
Тип: Клиническое наблюдение
Область: Грудная клетка и верхние дыхательные пути
Модальность: Rg
Дата: 09.12.2019 - 19:40
Синдром милиарной диссеминации. Определение понятия В настоящем разделе рассматривается рентгенодиагностика и дифференциальная диагностика поражений легких, сопровождающихся своеобразной картиной...
Тип: Публикация
Дата: 05.07.2011 - 20:30
- « первая
- ‹ предыдущая
- 1
- 2
- 3
- 4
- 5
- 6
- 7
- 8
- 9
- …
- последняя »
- следующая ›
















