Поиск
- « первая
- ‹ предыдущая
- …
- 3
- 4
- 5
- 6
- 7
- 8
- 9
- 10
- 11
- …
- последняя »
- следующая ›
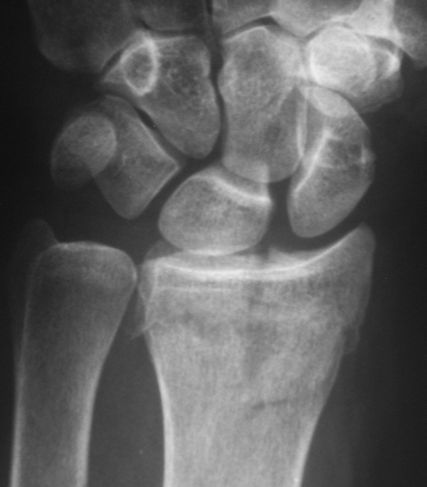
Травма. Пациент направлен на рентгенографию лучезапястного сустава. СЛУЧАЙ № 1. СЛУЧАЙ № 2.
Тип: Клиническое наблюдение
Область: Скелетно-мышечная система
Модальность: Rg
Дата: 20.01.2010 - 22:19
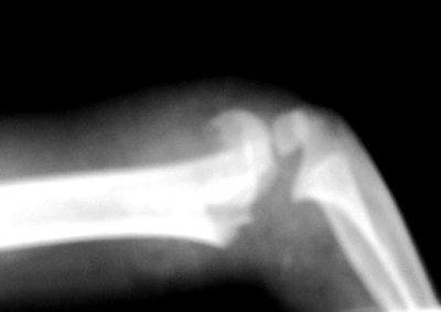
62. Травма голени
Случай №1 Футболсит пришёл на приём после травматолога. Сделали снимок. Случай №2 И другой футболист.
Тип: Клиническое наблюдение
Область: Скелетно-мышечная система
Модальность: Rg
Дата: 11.01.2012 - 18:10
Случай №1 Мужчина пришёл на обследование пазух носа. Случай №2 И второй тоже подошёл следом
Тип: Клиническое наблюдение
Область: Череп и головной мозг
Модальность: Rg
Дата: 27.01.2012 - 17:50
Фрагменты интраоперационных холангиографий. Вот первый случай...желтуха.... Вот второй случай....желтуха... Что скажете, коллеги....?
Тип: Клиническое наблюдение
Область: Пищеварительная система
Модальность: Rg
Дата: 25.07.2014 - 15:26
Случай 1. Клинически - дисфагия. Наличие полипа доказано эндоскопически. Случай 2. Клинически - дисфагия. Дивертикулы - случайная находка.
Тип: Клиническое наблюдение
Область: Пищеварительная система
Модальность: Rg
Верификация: Не требует верификации
Дата: 15.02.2020 - 14:18
Случай 1. Травма. Палец был прищемлен дверью (со слов пациента).
Тип: Объявление
Дата: 03.08.2009 - 14:15
Случай 1. Пациент направлен хирургом на рентгенографию лучезапястного сустава.
Тип: Объявление
Дата: 12.01.2010 - 17:50
68. В\в урография
Представляю Вам в\в урографию без коментариев. Случай классический.
Тип: Клиническое наблюдение
Дата: 04.02.2010 - 19:02
69. И снова МСЭК.
Не знаю будет ли интерестно. Вот такой случай.
Тип: Клиническое наблюдение
Область: Скелетно-мышечная система
Модальность: Rg
Дата: 21.04.2010 - 21:02
этот случай попроще предидущего. представленного мною. Ваше мнение коллеги.
Тип: Клиническое наблюдение
Область: Скелетно-мышечная система
Модальность: Rg
Дата: 27.08.2010 - 19:34
- « первая
- ‹ предыдущая
- …
- 3
- 4
- 5
- 6
- 7
- 8
- 9
- 10
- 11
- …
- последняя »
- следующая ›











