Лёгкие 23

Пол пациента: 
Методы исследования: 

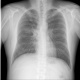
Пациент 41год, проходил проверочное исследование лёгких. Жалобы на кашель со слизистой мокротой, слабость, потливость , сухость во рту. Страдает сахарным диабетом со множественными осложнениями.Двое сыновей пациента, в возрасте 9 лет, находятся на лечении в детском отделении противотуберберкулёзного диспансера, с латентной туберкулёзной инфекцией, 6 А группа диспансерного учёта.

  • Rg-графия лёгких прямой проекции.
  • Rg-графия в боковой проекции.
  • линейные томограммы на левую верхушку.
  • линейная томограмма на левую верхушку 7см
  • линейная томограмма левую верхушку 10 см от деки стола
  • флюорографический архив от 12.2024 года
  • https://radiomed.ru/sites/default/files/styles/case_slider_image/public/user/406/lyogkie_23.2.jpg?itok=QSBlhHus
  • https://radiomed.ru/sites/default/files/styles/case_slider_image/public/user/406/lyogkie_23.3r.jpg?itok=hl2yn1g2
  • https://radiomed.ru/sites/default/files/styles/case_slider_image/public/user/406/lyogkie_23.4r.jpg?itok=jMZydvfN
  • https://radiomed.ru/sites/default/files/styles/case_slider_image/public/user/406/7_sm_r.jpg?itok=mGZIiOLM
  • https://radiomed.ru/sites/default/files/styles/case_slider_image/public/user/406/10_sm.r.jpg?itok=u0dlojJE
  • https://radiomed.ru/sites/default/files/styles/case_slider_image/public/user/406/11.2024.jpg?itok=aFdVP47T
Rg-графия лёгких в 2-х проекциях. ID:94165
Цель публикации: 
NIL аватар
NIL
Не на сайте
Был на сайте: 18 часов 32 минуты назад
Зарегистрирован: 25.11.2013 - 20:50
Публикации: 18202

Хотелось бы ошибиться, но первое, что пришло -Mts


"Слушай всех, прислушивайся к немногим, решай сам".©

Almo аватар
Не на сайте
Был на сайте: 15 часов 10 минут назад
Зарегистрирован: 28.09.2008 - 18:50
Публикации: 8246

Ну, может быть Вы и правы окажетесь, случай ещё в работе. Послушаем ещё, какое слово скажут коллеги.

Миргалина аватар
Не на сайте
Был на сайте: 14 часов 51 минут назад
Зарегистрирован: 06.08.2015 - 20:04
Публикации: 2852

Всем-привет! Не знаю, расстрою или обрадую пациента, но тут- туберкулёз. Ну на крайний  случай в верхних долях и в 6-ке справа -100%. А в н/доле справа - или тот же туберкулёз ( скорей всего), или мтс (что, на мой взгляд, менее вероятно и из уважения к NIL😍) 

Almo аватар
Не на сайте
Был на сайте: 15 часов 10 минут назад
Зарегистрирован: 28.09.2008 - 18:50
Публикации: 8246

Добавлены линейные томограммы на левую верхушку. Был направлен на консультацию в противотуберкулёзный диспансер, где был рекомендован целый ряд лабораторных тестов на туберкулёз. Результат первого теста на ВК отрицательный.

Almo аватар
Не на сайте
Был на сайте: 15 часов 10 минут назад
Зарегистрирован: 28.09.2008 - 18:50
Публикации: 8246

Миргалина wrote:

Всем-привет! Не знаю, расстрою или обрадую пациента, но тут- туберкулёз. Ну на крайний  случай в верхних долях и в 6-ке справа -100%. А в н/доле справа - или тот же туберкулёз ( скорей всего), или мтс (что, на мой взгляд, менее вероятно и из уважения к NIL😍) 

Ну логичнее, радоваться, что не онкология.

Миргалина аватар
Не на сайте
Был на сайте: 14 часов 51 минут назад
Зарегистрирован: 06.08.2015 - 20:04
Публикации: 2852

Ну теперь Вы добавили важные элементы анамнеза и исследований. Поэтому отпадают последние сомнения, у кого они были,- это туберкулёз. 

Миргалина аватар
Не на сайте
Был на сайте: 14 часов 51 минут назад
Зарегистрирован: 06.08.2015 - 20:04
Публикации: 2852

Томограммы только на левую верхушку делали? И почему только две?

Миргалина аватар
Не на сайте
Был на сайте: 14 часов 51 минут назад
Зарегистрирован: 06.08.2015 - 20:04
Публикации: 2852

Полости распада видны и справа

Almo аватар
Не на сайте
Был на сайте: 15 часов 10 минут назад
Зарегистрирован: 28.09.2008 - 18:50
Публикации: 8246

Миргалина wrote:

Томограммы только на левую верхушку делали? И почему только две?

Добавлены  ещё две линейные томограммы на левую верхушку и флюорографический архив от 03.12.2024г.

Миргалина аватар
Не на сайте
Был на сайте: 14 часов 51 минут назад
Зарегистрирован: 06.08.2015 - 20:04
Публикации: 2852

Нда, пропуск патологии налицо. Целый год! Был инфильтративный, стал диссеминированный, с распадом. Жаль, возможно, картина была бы более радостной при адекватном лечении и сохранённой чувствительности МБТ.